Skip to main content

Characterization of ascorbate peroxidase in soybean under flooding and drought stresses

Abstract

Flooding and drought are the two different forms of water stress that adversely affect the growth and development of soybean plant in particular at early stage. Ascorbate peroxidase (APX) is a known antioxidant enzyme that plays key role in abiotic stresses. To investigate the changes in APX in soybean under drought and flooding stresses, western blotting, enzyme activity assay and biophoton emission techniques were used. Flooding stress was imposed by adding excess amount of water in the sand and drought by withholding water supply. Under flooding stress, a decrease in APX was detected with time. Completely opposite trend was evident in hypocotyl and root of plants exposed to drought. Western blotting and APX activity results are complementary to each other. Biophoton emissions further confirmed the increasing and decreasing trend of APX under drought and flooding stress, respectively.

This is a preview of subscription content, access via your institution.

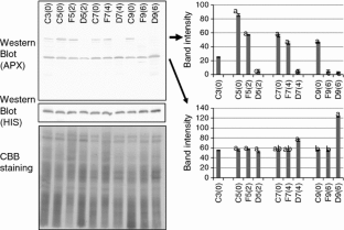
Fig. 1
Fig. 2
Fig. 3
Fig. 4

Abbreviations

APX:

Ascorbate peroxidase

ROS:

Reactive oxygen species

CBB:

Coomassie brilliant blue

References

  1. Armstrong W (1979) Aeration in higher plants. Adv Bot Res 7:225–232

    Article  CAS  Google Scholar 

  2. Jackson MB, Colmer TD (2005) Response and adaptation by plants to flooding stress. Ann Bot (London) 96:501–505

    Article  CAS  Google Scholar 

  3. Dornbos D, Mullen RE, Shibles RE (1988) Drought stress effects during seed fill on soybean seed germination and vigor. Crop Sci 29:476–480

    Article  Google Scholar 

  4. Westgate ME, Peterson CM (1993) Flower and pod development in water-deficient soybean (Glycine max L. Merr.). J Exp Bot 258:109–117

    Article  Google Scholar 

  5. Wang Q-M (2006) Effect of drought stress on protective enzyme activities and membrane lipid peroxidation in leaves of soybean seedlings. J Agro Environ Sci 04:143–148

    Google Scholar 

  6. Shigeoka S, Ishikawa T, Tamoi M, Miyagawa Y, Takeda T, Yabuta Y, Yoshimura K (2002) Regulation and function of ascorbate peroxidase isoenzymes. J Exp Bot 53:1305–1319

    PubMed  Article  CAS  Google Scholar 

  7. Mittler R, Zilinskas BA (1994) Regulation of pea cytosolic ascorbate peroxidase and other antioxidant enzymes during the progression of drought stress and following recovery from drought. Plant J 5:397–405

    PubMed  Article  CAS  Google Scholar 

  8. Shi F, Yamamoto R, Shimamura S, Hiraga S, Nakayama N, Nakamura T, Yukawa K, Hachinohe M, Matsumoto H, Komatsu S (2008) Cytosolic ascorbate peroxidase 2 (cAPX 2) is involved in the soybean response to flooding. Phytochemistry 69:1295–1303

    PubMed  Article  CAS  Google Scholar 

  9. Hossain Z, Nouri MZ, Komatsu S (2012) Plant cell organelle proteomics in response to abiotic stress. J Proteome Res 11:37–48

    PubMed  Article  CAS  Google Scholar 

  10. Komatsu S, Hiraga S, Yanagawa Y (2012) Proteomics techniques for the development of flood tolerant crops. J Proteome Res 11:68–78

    PubMed  Article  CAS  Google Scholar 

  11. Inaba H (1988) Super-high sensitivity systems for detection and spectral analysis of ultraweak photon emission from biological cells and tissues. Experientia 44:550–559

    PubMed  Article  CAS  Google Scholar 

  12. Bennett M, Mehta M, Grant M (2005) Biophoton imaging: a nondestructive method for assaying R gene responses. Mol Plant Microbe Interact 18:95–102

    PubMed  Article  CAS  Google Scholar 

  13. Mansfield JW (2005) Biophoton distress flares signal the onset of the hypersensitive reaction. Trends Plant Sci 10:307–309

    PubMed  Article  CAS  Google Scholar 

  14. Makino T, Kato K, Iyozumi H, Honzawa H, Tachiiri Y, Hiramatsu M (1996) Ultraweak luminescence generated by sweet potato and Fusarium oxysporum interaction associated with a defense response. Photochem Photobiol 64:9530–9956

    Article  Google Scholar 

  15. Havaux M (2003) Spontaneous and thermoinduced photon emission: new methods to detect and quantify oxidative stress in plants. Trends Plant Sci 8:409–413

    PubMed  Article  CAS  Google Scholar 

  16. Colli L, Facchini U, Guidotti G, Dugnani Lonati R, Orenigo M, Sommariva O (1955) Further measurements on the bioluminescence of the seedlings. Experientia 11:479–481

    Article  Google Scholar 

  17. Kobayashi M, Devaraj B, Usa M, Tanno Y, Takeda M, Inaba H (1997) Two-dimensional imaging of ultraweak photon emission from germinating soybean seedlings with a highly sensitive CCD camera. Photochem Photobiol 65:535–537

    Article  CAS  Google Scholar 

  18. Prasad A, Pospisil P (2011) Linoleic acid-induced ultra-weak photon emission from Chlamydomonas reinhardtii as a tool for monitoring of lipid peroxidation in the cell membranes. PLoS ONE 6:1–10

    Article  Google Scholar 

  19. Komatsu S, Yamamoto A, Nakamura T, Nouri M-Z, Nanjo Y, Nishizawa K, Furukawa K (2011) Comprehensive analysis of mitochondria in roots and hypocotyls of soybean under flooding stress using proteomics and metabolomics techniques. J Proteome Res 10:3993–4004

    PubMed  Article  CAS  Google Scholar 

  20. Bradford MM (1976) A rapid and sensitive method for the quantitation of microgram quantities of protein utilizing the principle of protein-dye binding. Anal Biochem 72:248–254

    PubMed  Article  CAS  Google Scholar 

  21. Nakano Y, Asada K (1987) Purification of ascorbate peroxidase in spinach chloroplasts; its inactivation in ascorbate-depleted medium and reactivation by monodehydroascorbate radical. Plant Cell Physiol 28:131–140

    CAS  Google Scholar 

  22. Asada K (1992) Ascorbate peroxidase, a H2O2 scavenging enzyme in plants. Physiol Plant 85:235–241

    Article  CAS  Google Scholar 

  23. Van Heerden PDR, Kruger GHT (2002) Separately and simultaneously induced dark chilling and drought stress effects on photosynthesis, proline accumulation and antioxidant metabolism in soybean. J Plant Physiol 159:1077–1086

    Article  Google Scholar 

  24. Naya L, Ladrera R, Ramos J, Gonzalez EM, Arrese-Igor C, Minchin FR, Becana M (2007) The response of carbon metabolism and antioxidant defenses of alfalfa nodules to drought stress and to the subsequent recovery of plants. Plant Physiol 144:1104–1114

    PubMed  Article  CAS  Google Scholar 

  25. Hideg E (1993) On the spontaneous ultra weak light emission of plants. J Photochem Photobiol 18:239–244

    Article  Google Scholar 

  26. Kobayashi M, Sasaki K, Enomoto M, Ehara Y (2007) Highly sensitive determination of transient generation of biophotons during hypersensitive response to cucumber mosaic virus in cowpea. J Exp Bot 58:465–472

    PubMed  Article  CAS  Google Scholar 

  27. Zhang Y, Yang J, Lu S, Cai J, Guo Z (2008) Over expressing SgNCEDI in tobacco increases ABA level, antioxidant enzyme activities and stress tolerance. J Plant Growth Regul 27:151–158

    Article  Google Scholar 

Download references

Acknowledgments

The authors thank Dr. Yohei Nanjo and Dr. Keito Nishizawa at National Institute of Crop Science for their valuable comments and discussion. We also thank Higher Education Commission of Pakistan for awarding International Research Support Initiative Scholarship grant. We thankfully acknowledge the financial support provided through the DST-BOYSCAST fellowship programme, Government of India. We also acknowledge National Institute of Crop Science, Japan for providing the research facilities. This work was supported by a Grant-in-Aid for Challenging Exploratory Research (23658063) from Japan Society for the Promotion of Science.

Author information

Affiliations

Authors

Corresponding author

Correspondence to Setsuko Komatsu.

Rights and permissions

Reprints and Permissions

About this article

Cite this article

Kausar, R., Hossain, Z., Makino, T. et al. Characterization of ascorbate peroxidase in soybean under flooding and drought stresses. Mol Biol Rep 39, 10573–10579 (2012). https://doi.org/10.1007/s11033-012-1945-9

Download citation

  • Received:

  • Accepted:

  • Published:

  • Issue Date:

  • DOI: https://doi.org/10.1007/s11033-012-1945-9

Keywords

  • Soybean
  • Flooding
  • Drought
  • Ascorbate peroxidase
  • Biophoton