Skip to main content

A trypsin homolog in amphioxus: expression, enzymatic activity and evolution

Abstract

Trypsin has been documented in a variety of species including both vertebrates and invertebrates, but little is known about it in amphioxus, a model organism for insights into the origin and evolution of vertebrates. Here we identified a trypsin gene in Branchiostoma japonicum. The cDNA was 978 bp long with an ORF encoding a deduced protein of 272 amino acids. The deduced protein had an N-terminal signal peptide of 15 amino acids, a 16 activation peptide with the typical cleavage site Arg/Ile, a Tryp_SPc domain with the catalytic triad His72-Asp118-Ser215 and the S1 substrate binding residue Asp209, which are all characteristic of trypsinogens. The recombinant trypsin protein was able to hydrolyse the trypsin prototypic substrate BAEE, which was inhibited by the trypsin-specific inhibitor soybean trypsin inhibitor. Both northern blotting and tissue-section in situ hybridization demonstrated that trypsin gene was expressed in a tissue-specific manner, with most abundant levels in the hepatic caecum, mid-gut and ovary. And the whole mount in situ hybridization showed that it began to express in the middle third of the full-length primitive gut in 2-day larvae, where the hepatic caecum will form later during development. Phylogenetic analysis indicated that both amphioxus and ascidian trypsins are more closer to each other than to vertebrate trypsins, suggesting a continuous evolutionary divergence of vertebrate trypsins after split from protochordate/vertebrate common ancestor.

This is a preview of subscription content, access via your institution.

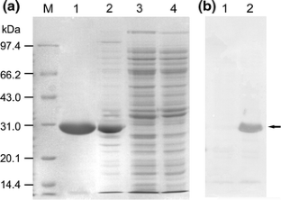
Fig. 1
Fig. 2
Fig. 3
Fig. 4
Fig. 5

References

  1. Kühne W (1876) Über das trypsin (Enzyme des Pankreas). Heidelberg Nat Med Ver 1:194–198

    Google Scholar 

  2. Polgár L (2005) The catalytic triad of serine peptidases. Cell Mol Life Sci 62:2161–2172

    PubMed  Article  Google Scholar 

  3. Gráf L, Jancsó A, Szilágyi L, Hegyi G, Pintér K, Náray-Szabó G, Hepp J, Medzihradszky K, Rutter WJ (1988) Electrostatic complementarity within the substrate-binding pocket of trypsin. Proc Natl Acad Sci USA 85:4961–4965

    PubMed  Article  Google Scholar 

  4. Hedstrom L, Perona JJ, Rutter WJ (1994) Converting trypsin to chymotrypsin: residue 172 is a substrate specificity determinant. Biochemistry 33:8757–8763

    PubMed  Article  CAS  Google Scholar 

  5. Le HuErou I, Wicker C, Guilloteau P, Toullec R, Puigserver A (1990) Isolation and nucleotide sequence of cDNA clone for bovine pancreatic anionic trypsinogen. Structural identity within the trypsin family. Eur J Biochem 193:767–773

    PubMed  Article  CAS  Google Scholar 

  6. Roach JC, Wang K, Gan L, Hood L (1997) The molecular evolution of the vertebrate trypsinogens. J Mol Evol 45:640–652

    PubMed  Article  CAS  Google Scholar 

  7. Roach JC (2002) A clade of trypsins found in cold-adapted fish. Proteins 47:31–44

    PubMed  Article  CAS  Google Scholar 

  8. Male R, Lorens JB, Smalas AO, Torrissen KR (1995) Molecular cloning and characterization of anionic and cationic variants of trypsin from Atlantic salmon. Eur J Biochem 232:677–685

    PubMed  Article  CAS  Google Scholar 

  9. Kim JC, Cha SH, Jeong ST, Oh SK, Byun SM (1991) Molecular cloning and nucleotide sequence of Streptomyces griseus trypsin gene. Biochem Biophys Res Commun 181:707–713

    PubMed  Article  CAS  Google Scholar 

  10. Rypniewski WR, Hastrup S, Betzel C, Dauter M, Dauter Z, Papendorf G, Branner S, Wilson KS (1993) The sequence and X-ray structure of the trypsin from Fusarium oxysporum. Protein Eng 6:341–348

    PubMed  Article  CAS  Google Scholar 

  11. Wang S, Magoulas C, Hickey D (1999) Concerted evolution within a trypsin gene cluster in Drosophila. Mol Biol Evol 16:1117–1124

    PubMed  CAS  Google Scholar 

  12. Yang Z, Xia X, Wang X, He G (2010) cDNA cloning, heterogeneous expression and biochemical characterization of a novel trypsin-like protease from Nilaparvata lugens. Z Naturforsch C 65(1–2):109–118

    PubMed  CAS  Google Scholar 

  13. Bougatef A, Souissi N, Fakhfakh N, Ellouz-Triki Y, Nasri M (2007) Purification and characterization of trypsin from the viscera of sardine (Sardina pilchardus). Food Chem 102:343–350

    Article  CAS  Google Scholar 

  14. Shi YB, Brown DD (1990) Developmental and thyroid hormone-dependent regulation of pancreatic genes in Xenopus laevis. Genes Dev 4:1107–1113

    PubMed  Article  CAS  Google Scholar 

  15. Wang K, Gan L, Lee I, Hood L (1995) Isolation and characterization of the chicken trypsinogen gene family. Biochem J 307:471–479

    PubMed  CAS  Google Scholar 

  16. Emi M, Nakamura Y, Ogawa M, Yamamoto T, Nishide T, Mori T, Matsubara K (1986) Cloning, characterization and nucleotide sequences of two cDNAs encoding human pancreatic trypsinogens. Gene 41:305–310

    PubMed  Article  CAS  Google Scholar 

  17. Pinsky SD, LaForge KS, Scheele G (1985) Differential regulation of trypsinogen mRNA translation: full-length mRNA sequences encoding two oppositely charged trypsinogen isoenzymes in the dog pancreas. Mol Cell Biol 5:2669–2676

    PubMed  CAS  Google Scholar 

  18. MacDonald RJ, Stary SJ, Swift GH (1982) Two similar but nonallelic rat pancreatic trypsinogens: nucleotide sequences of the cloned cDNAs. J Biol Chem 257:9724–9732

    PubMed  CAS  Google Scholar 

  19. Rypniewski WR, Perrakis A, Vorgias CE, Wilson KS (1994) Evolutionary divergence and conservation of trypsin. Protein Eng 7:57–64

    PubMed  Article  CAS  Google Scholar 

  20. Muhlia-Almazán A, Sánchez-Paz A, García-Carreño FL (2008) Invertebrate trypsins: a review. J Comp Physiol B 178:655–672

    PubMed  Article  Google Scholar 

  21. Stach T (2008) Chordate phylogeny and evolution: a not so simple three-taxon problem. J Zool 276(2):117–141

    Article  Google Scholar 

  22. Zhang Y, Zhang SC, Liang YJ (2009) Identification and tissue-specific expression of a promethin-like homolog in amphioxus Branchiostoma belcheri. Mol Biol Rep 37:2279–2283

    PubMed  Article  Google Scholar 

  23. Putnam NH, Butts T, Ferrier DE, Furlong RF, Hellsten U, Kawashima T, Robinson-Rechavi M, Shoguchi E, Terry A, Yu JK, Benito-Gutiérrez EL, Dubchak I, Garcia-Fernàndez J, Gibson-Brown JJ, Grigoriev IV, Horton AC, de Jong PJ, Jurka J, Kapitonov VV, Kohara Y, Kuroki Y, Lindquist E, Lucas S, Osoegawa K, Pennacchio LA, Salamov AA, Satou Y, Sauka-Spengler T, Schmutz J, Shin-I T, Toyoda A, Bronner-Fraser M, Fujiyama A, Holland LZ, Holland PW, Satoh N, Rokhsar DS (2008) The amphioxus genome and the evolution of the chordate karyotype. Nature 453(7198):1064–1071

    PubMed  Article  CAS  Google Scholar 

  24. Holland PWH, Garcia-Fernàndez J, Williams NA, Sidow A (1994) Gene duplications and the origin of vertebrate development. Development suppl: 125–133

  25. Holland ND, Holland LZ (1999) Amphioxus and the utility of molecular genetic data for hypothesizing body part homologies between distantly related animals. Am Zool 39:630–640

    Google Scholar 

  26. Sun T, Zhang S, Ji G (2009) Identification and expression of an elastase homologue in Branchiostoma belcheri with implications to the origin of vertebrate pancreas. Mol Biol Rep 37(7):3303–3309

    PubMed  Article  Google Scholar 

  27. Wang S, Zhang S, Zhao B, Lun L (2009) Up-regulation of C/EBP by thyroid hormones: a case demonstrating the vertebrate-like thyroid hormone signaling pathway in amphioxus. Mol Cell Endocrinol 313(1–2):57–63

    PubMed  Article  CAS  Google Scholar 

  28. Saitou N, Nei M (1987) The neighbor-joining method: a new method for reconstructing phylogenetic trees. Mol Biol Evol 4:406–425

    PubMed  CAS  Google Scholar 

  29. Thompson JD, Higgins DG, Gibson TJ (1994) CLUSTAL W: improving the sensitivity of progressive multiple sequence alignment through sequence weighting, positions-specific gap penalties and weighted matrix choice. Nucl Acid Res 22:4673–4680

    Article  CAS  Google Scholar 

  30. Liu MY, Zhang SC (2009) A kringle-containing protease with plasminogen-like activity in the basal chordate Branchiostoma belcheri. Biosci Rep 29:385–395

    PubMed  Article  CAS  Google Scholar 

  31. Blanco RM, Guisán JM (1989) Stabilization of enzymes by multipoint covalent attachment to agarose-aldehyde gels. Borohydride reduction of trypsin-agarose derivatives. Enzyme Microb Technol 11:360–366

    Article  CAS  Google Scholar 

  32. Berglund GI, Smalàs AO (1998) Purfication and characterization of pancreatic elastase from North Atlantic salmon (Salmo salar). Mol Mar Biol Biot 7(2):105–114

    CAS  Google Scholar 

  33. Fan CX, Zhang SC, Liu ZH, Li L, Luan J, Saren G (2007) Identification and expression of a novel class of glutathione-S-transferase from amphioxus (Branchiostoma belcheri) with implications to the origin of vertebrate liver. Int J Biochem Cell Biol 39:450–461

    PubMed  Article  CAS  Google Scholar 

  34. Tian JX, Zhang SC, Liu ZH, Wang YJ (2008) Evolution and expression of gamma-aminobutyric acid type A receptor-associated protein from the amphioxus Branchiostoma belcheri. DNA Seq 19(3):319–325

    PubMed  Article  CAS  Google Scholar 

  35. Holland LZ, Holland PWH, Holland ND (1996) Revealing homologies between body parts of distantly related animals by in situ hybridization to developmental genes: amphioxus versus vertebrates. In: Ferraris JD, Palumbe S (eds) Molecular zoology: advances strategies and protocols. Wiley-Liss, New York, pp 267–282

    Google Scholar 

  36. Bown DP, Wilkinson HS, Gatehouse JA (1997) Differentially regulated inhibitor-sensitive and insensitive protease genes from the phytophagous insect pest, Helicoverpa armigera, are members of complex multigene families. Insect Biochem Mol Biol 27(7):625–638

    PubMed  Article  CAS  Google Scholar 

  37. Craik CS, Choo QL, Swift GH, Quinto C, MacDonald RJ, Rutter WJ (1984) Structure of two related rat pancreatic trypsin genes. J Biol Chem 259:14255–14264

    PubMed  CAS  Google Scholar 

  38. Chen JM, Kukor Z, Le Maréchal C, Tóth M, Tsakiris L, Raguénès O, Férec C, Sahin-Tóth M (2003) Evolution of trypsinogen activation peptides. Mol Biol Evol 20(11):1767–1777

    PubMed  Article  CAS  Google Scholar 

  39. Klein B, Le Moullac G, Sellos D, Van Wormhoudt A (1996) Molecular cloning and sequencing of trypsin cDNAs from Penaeus vannamei (Crustacea, Decapoda): use in assessing gene expression during the molt cycle. Int J Biochem Cell Biol 28(5):551–563

    PubMed  Article  CAS  Google Scholar 

  40. Titani K, Sasagawa T, Woodbury RG, Ericsson LH, Dörsam H, Kraemer M, Neurath H, Zwilling R (1983) Amino acid sequence of crayfish (Astacus fluviatilis) trypsin If. Biochemistry 22(6):1459–1465

    PubMed  Article  CAS  Google Scholar 

  41. Kasahara M (2007) The 2R hypothesis: an update. Curr Opin Immunol 19(5):547–552

    PubMed  Article  CAS  Google Scholar 

  42. Dionysius DA, Hoek KS, Milne JM, Slattery SL (1993) Trypsin-like enzyme from sand crab (Portunus pelagicus): purification and characterization. J Food Sci 58:780–784

    Article  CAS  Google Scholar 

  43. Kishimura H, Hayashi K (2003) N-terminal amino acid sequence of trypsin from the pyloric ceca of starfish Asterias amurensis. Fisheries Sci 69:867–869

    Article  Google Scholar 

  44. Lopes AR, Juliano MA, Marana SR, Juliano L, Terra WR (2006) Substrate specificity of insect trypsins and the role of their subsites in catalysis. Insect Biochem Mol Biol 36:130–140

    PubMed  Article  CAS  Google Scholar 

  45. Hammar JA (1898) Zur Kenntnis der Leberentwicklung bei Amphioxus. Anat Anz 14:602–606

    Google Scholar 

  46. Han L, Zhang SC, Wang YJ, Sun XT (2006) Immuno- histo-chemical localization of vitellogenin in the hepatic diverticulum of the amphioxus Branchiostoma belcheri tsingtauense, with implications for the origin of the liver. Invertebr Biol 125(2):172–176

    Article  Google Scholar 

  47. Barrington EJW (1938) The digestive system of Amphioxus (Branchiostoma) lanceolatus. Phil Trans R Soc Lond B 228:269–311

    Article  Google Scholar 

  48. Holland LZ (2000) Body-plan evolution in the Bilateria: early antero-posterior patterning and the deuterostome-protostome dichotomy. Curr Op Genetics Dev 10:434–442

    Article  CAS  Google Scholar 

  49. Reinecke M (1981) Immunohistochemical localization of poly-peptide hormones in endocrine cells of the digestive tract of Branchiostoma lanceolatum. Cell Tissue Res 219:445–456

    PubMed  Article  CAS  Google Scholar 

  50. Berger A, Schechter I (1970) Mapping the active site of papain with the aid of peptide substrates and inhibitors. Philos Trans R Soc Lond B Biol Sci 257:249–264

    PubMed  Article  CAS  Google Scholar 

Download references

Acknowledgments

This work was supported by a grant (2008AA09260) of Ministry of Science and Technology (MOST) of China.

Author information

Affiliations

Authors

Corresponding author

Correspondence to Shicui Zhang.

Electronic supplementary material

Below is the link to the electronic supplementary material.

11033_2011_915_MOESM1_ESM.tif

Supplementary Fig. 1 Nucleotide and deduced amino acid sequences of amphioxus (Branchiostoma japonicum) trypsinogen cDNA (GenBank accession number: ADO08222). The start codon is boxed. The asterisk (*) represents the stop codon. The predicted signal sequence at the N-terminus is underlined. The polyadenylation signal (AATAAA) and polyadenylation tail is marked with double underlines. The Tryp_SPc domain is between two arrowheads and His, Asp and Ser residues of the catalytic triad are marked by closed squares (■). The number of the nucleotide and amino acid sequences is shown on the left. (TIFF 23595 kb)

11033_2011_915_MOESM2_ESM.tif

Supplementary Fig. 2 Diagram of the genomic structures of trypsin genes from human, cattle, chicken, zebrafish, amphioxus and ascidians. Boxes represent the exons. Thin joining lines indicate the sequences of introns. Solid boxes represent the region coding for the structural sequences of the protein. Blank boxes represent the untranslated region. The values below the lines and boxes indicate the sizes of the introns and exons, respectively. (TIFF 42826 kb)

Rights and permissions

Reprints and Permissions

About this article

Cite this article

Feng, W., Zhang, S. A trypsin homolog in amphioxus: expression, enzymatic activity and evolution. Mol Biol Rep 39, 1745–1753 (2012). https://doi.org/10.1007/s11033-011-0915-y

Download citation

  • Received:

  • Accepted:

  • Published:

  • Issue Date:

  • DOI: https://doi.org/10.1007/s11033-011-0915-y

Keywords

  • Amphioxus
  • Lancelet
  • Branchiostoma
  • Trypsin
  • Evolution