Skip to main content

Alternative splicing generates a novel FADS2 alternative transcript in baboons

Abstract

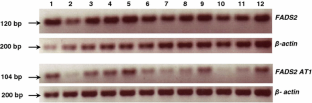
The mammalian fatty acid desaturase 2 (FADS2) gene codes for catalytic activity considered to be the rate limited step in long chain polyunsaturated fatty acid (LCPUFA) synthesis. FADS2 catalyzes 6-desaturation in at least five substrates and 8-desaturation in at least two substrates. However, the molecular mechanisms that regulate FADS2-mediated desaturation remain ill-defined. We report here characterization of an alternative transcript (AT1) of primate FADS2 and compare its expression to that of the classical transcript in 12 tissues of a 12 week old neonate baboon, and in human SK-N-SH neuroblastoma (NB) cells. RT-PCR analysis indicates relatively greater abundance of classical transcript than AT1 in all tissues. However, AT1 expression is highly variable, showing greater expression in liver, retina, occipital lobe, hippocampus, spleen, and ovary, than in other tissues, whereas classical transcript displayed little variability. These data suggest that FADS2 AT1 is a candidate for regulation of LCPUFA synthesis.

This is a preview of subscription content, access via your institution.

Fig. 1
Fig. 2
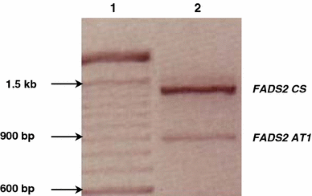
Fig. 3
Fig. 4

References

  1. Marquardt A, Stohr H, White K, Weber BH (2000) cDNA cloning, genomic structure, and chromosomal localization of three members of the human fatty acid desaturase family. Genomics 66(2):175–183

    Article  CAS  PubMed  Google Scholar 

  2. Nakamura MT, Nara TY (2004) Structure, function, and dietary regulation of delta6, delta5, and delta9 desaturases. Annu Rev Nutr 24:345–376

    Article  CAS  PubMed  Google Scholar 

  3. D’Andrea S, Guillou H, Jan S, Catheline D, Thibault JN, Bouriel M, Rioux V, Legrand P (2002) The same rat delta6-desaturase not only acts on 18- but also on 24-carbon fatty acids in very-long-chain polyunsaturated fatty acid biosynthesis. Biochem J 364(Pt 1):49–55

    PubMed  Google Scholar 

  4. Guillou H, D’Andrea S, Rioux V, Jan S, Legrand P (2004) The surprising diversity of delta6-desaturase substrates. Biochem Soc Trans 32(Pt 1):86–87

    Article  CAS  PubMed  Google Scholar 

  5. Park WJ, Kothapalli KS, Lawrence P, Tyburczy C, Brenna JT (2009) An alternate pathway to long-chain polyunsaturates: the FADS2 gene product delta8-desaturates 20:2n–6 and 20:3n–3. J Lipid Res 50(6):1195–1202

    Article  CAS  PubMed  Google Scholar 

  6. Park WJ, Kothapalli KS, Reardon HT, Kim LY, Brenna JT (2009) Novel fatty acid desaturase 3 (FADS3) transcripts generated by alternative splicing. Gene

  7. Hsieh AT, Anthony JC, Diersen-Schade DA, Rumsey SC, Lawrence P, Li C, Nathanielsz PW, Brenna JT (2007) The influence of moderate and high dietary long chain polyunsaturated fatty acids (LCPUFA) on baboon neonate tissue fatty acids. Pediatr Res 61(5 Pt 1):537–545

    CAS  PubMed  Google Scholar 

  8. Bottenstein JE (1992) Environmental influences on cells in culture. In: Boulton A, Baker G, Walz W (eds) Neuromethods, vol 23. The Humana Press, NJ, pp 63–86

    Google Scholar 

  9. Dong JM, Lim L (1996) Selective up-regulation of alpha 1-chimaerin mRNA in SK-N-SH neuroblastoma cells by K+/−induced depolarisation. Eur J Biochem 236(3):820–826

    Article  CAS  PubMed  Google Scholar 

  10. Lu Z, Szafron D, Greiner R, Lu P, Wishart DS, Poulin B, Anvik J, Macdonell C, Eisner R (2004) Predicting subcellular localization of proteins using machine-learned classifiers. Bioinformatics 20(4):547–556

    Article  CAS  PubMed  Google Scholar 

  11. Sayanova O, Haslam R, Venegas Caleron M, Napier JA (2007) Cloning and characterization of unusual fatty acid desaturases from Anemone leveillei: identification of an acyl-coenzyme A C20 delta5-desaturase responsible for the synthesis of sciadonic acid. Plant Physiol 144(1):455–467

    Article  CAS  PubMed  Google Scholar 

Download references

Acknowledgments

This work was supported by NIH grant GM071534 and by a Cornell University Center for Vertebrate Genomics seed grant. The authors thank Yun-sang Huh for technical assistance.

Author information

Affiliations

Authors

Corresponding authors

Correspondence to Kumar S. D. Kothapalli or J. Thomas Brenna.

Rights and permissions

Reprints and Permissions

About this article

Cite this article

Park, W.J., Reardon, H.T., Tyburczy, C. et al. Alternative splicing generates a novel FADS2 alternative transcript in baboons. Mol Biol Rep 37, 2403–2406 (2010). https://doi.org/10.1007/s11033-009-9750-9

Download citation

  • Received:

  • Accepted:

  • Published:

  • Issue Date:

  • DOI: https://doi.org/10.1007/s11033-009-9750-9

Keywords

  • Fatty acid desaturases
  • Alternative transcript
  • Long chain polyunsaturated fatty acids
  • Baboon