Abstract
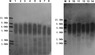
Telomeres have lately received considerable attention in the development of tree species. Normal somatic cells have limited replicative capacity and telomeres get shorten with each round of DNA replication. For broad-leaved tree species, to determine what changes happen to their somatic cells in its annual development cycle, an exhaustive research on different ages of gingko trees telomere length changes was carried out. Analysis of changes in leaf telomere lengths in the annual development cycle of Ginkgo biloba L. showed no significant changes (P > 0.05) from April to August, but a dramatic decrease in September and October (P < 0.05). Statistical analyses showed that TRF length of males and females are equal, the p values of the three age groups comparison were all bigger than 0.05. The results showed that specific apoptotic changes occur in the annual development cycle of Ginkgo biloba L.






Similar content being viewed by others
Explore related subjects
Discover the latest articles and news from researchers in related subjects, suggested using machine learning.References
Greider CW (1991) Telomerase is processive. Mol Cell Biol 11:4572–4580
Harley CB, Futcher AB, Greider CW (1990) Telomeres shorten during ageing of human fibroblasts. Nature 345:458–460
Watson JD (1972) Origin of concatemeric T7 DNA. Nat New Biol 239:197–201
Fajkus J, Sykorova E, Leitch AR (2005) Telomeres in evolution and evolution of telomeres. Chromosome Res 13:469–479
Ganal MW, Lapitan NL, Tanksley SD (1991) Macrostructure of the tomato telomeres. Plant Cell 3:87–94
Murray BG, Friesen N, Heslop-Harrison JS (2002) Molecular cytogenetic analysis of Podocarpus and comparison with other gymnosperm species. Ann Bot (Lond) 89:483–489
Flanary BE, Kletetschka G (2005) Analysis of telomere length and telomerase activity in tree species of various life-spans, and with age in the bristlecone pine Pinus longaeva. Biogerontology 6:101–111
Flanary BE, Streit WJ (2003) Telomeres shorten with age in rat cerebellum and cortex in vivo. J Anti Aging Med 6:299–308
Hastie ND, Dempster M, Dunlop MG, Thompson AM, Green DK, Allshire RC (1990) Telomere reduction in human colorectal carcinoma and with ageing. Nature 346:866–868
Broun P, Ganal MW, Tanksley SD (1992) Telomeric arrays display high levels of heritable polymorphism among closely related plant varieties. Proc Natl Acad Sci USA 89:1354–1357
Liu D, Qiao N, Song H, Hua X, Du J, Lu H, Li F (2007) Comparative analysis of telomeric restriction fragment lengths in different tissues of Ginkgo biloba trees of different age. J Plant Res 120:523–528
Nakamura K, Izumiyama-Shimomura N, Sawabe M, Arai T, Aoyagi Y, Fujiwara M, Tsuchiya E, Kobayashi Y, Kato M, Oshimura M, Sasajima K, Nakachi K, Takubo K (2002) Comparative analysis of telomere lengths and erosion with age in human epidermis and lingual epithelium. J Invest Dermatol 119:1014–1019
Grant JD, Broccoli D, Muquit M, Manion FJ, Tisdall J, Ochs MF (2001) Telometric: a tool providing simplified, reproducible measurements of telomeric DNA from constant field agarose gels. Biotechniques 31:1314–1316, 1318
Koukalova B, Kovarik A, Fajkus J, Siroky J (1997) Chromatin fragmentation associated with apoptotic changes in tobacco cells exposed to cold stress. FEBS Lett 414:289–292
Kenton A, Parokonny AS, Gleba YY, Bennett MD (1993) Characterization of the Nicotiana tabacum L. genome by molecular cytogenetics. Mol Gen Genet 240:159–169
Fajkus J, Kovarik A, Kralovics R, Bezdek M (1995) Organization of telomeric and subtelomeric chromatin in the higher plant Nicotiana tabacum. Mol Gen Genet 247:633–638
Kiss T, Kis M, Solymosy F (1989) Nucleotide sequence of a 25S rRNA gene from tomato. Nucleic Acids Res 17:796
Richards EJ, Ausubel FM (1988) Isolation of a higher eukaryotic telomere from Arabidopsis thaliana. Cell 53:127–136
Shakirov EV, Shippen DE (2004) Length regulation and dynamics of individual telomere tracts in wild-type Arabidopsis. Plant Cell 16:1959–1967
Riha K, Fajkus J, Siroky J, Vyskot B (1998) Developmental control of telomere lengths and telomerase activity in plants. Plant Cell 10:1691–1698
Mayer S, Bruderlein S, Perner S, Waibel I, Holdenried A, Ciloglu N, Hasel C, Mattfeldt T, Nielsen KV, Moller P (2006) Sex-specific telomere length profiles and age-dependent erosion dynamics of individual chromosome arms in humans. Cytogenet Genome Res 112:194–201
Allsopp RC, Vaziri H, Patterson C, Goldstein S, Younglai EV, Futcher AB, Greider CW, Harley CB (1992) Telomere length predicts replicative capacity of human fibroblasts. Proc Natl Acad Sci USA 89:10114–10118
Siderakis M, Tarsounas M (2007) Telomere regulation and function during meiosis. Chromosome Res 15:667–679
Chin L, Artandi SE, Shen Q, Tam A, Lee SL, Gottlieb GJ, Greider CW, DePinho RA (1999) p53 deficiency rescues the adverse effects of telomere loss and cooperates with telomere dysfunction to accelerate carcinogenesis. Cell 97:527–538
Acknowledgments
This work was supported by the National Natural Science Foundation of China (Grant No. 30571473). The authors thank Nan Qiao and members of the Botany laboratory for their support during data analysis and many helpful discussions and Renyuan Zhu and Xiaohong Zhou for support during sample collection in the Wofo Temple of the Beijing Botanical Garden and the Fragrant Hills Park. The authors also thank Pengjun Cheng for revising the manuscript.
Author information
Authors and Affiliations
Corresponding authors
Rights and permissions
About this article
Cite this article
Song, H., Liu, D., Chen, X. et al. Change of season-specific telomere lengths in Ginkgo biloba L.. Mol Biol Rep 37, 819–824 (2010). https://doi.org/10.1007/s11033-009-9627-y
Received:
Accepted:
Published:
Issue Date:
DOI: https://doi.org/10.1007/s11033-009-9627-y


