Abstract
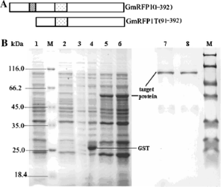
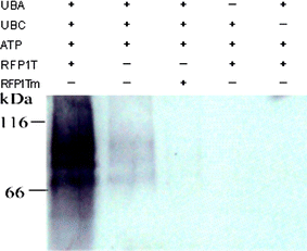
RING-finger proteins with E3 ubiquitin ligase activity play important roles in the regulation of plant growth and development. In this study, a cDNA clone encoding a novel RING-finger protein, designated as GmRFP1, was isolated and characterized from soybean. GmRFP1 was an intronless gene encoding a predicted protein product of 392 amino acid residues with a molecular mass of ~43 kDa. The protein contained a RING-H2 motif and an N-terminal transmembrane domain. The transcript was observed in all detected organs and was up-regulated by abscisic acid (ABA) and salt stress, but down-regulated by cold and drought treatments. We further expressed and purified both wild type and mutant version of GmRFP1 in E. coli. In vitro assays showed that the purified GmRFP1 induced the formation of polyubiquitin chains while mutation within the RING-finger region abolished the ubiquitination activity. These findings suggest that GmRFP1 is a previously unknown E3 ubiquitin ligase in soybean and that the RING domain is required for its activity. It may play unappreciated roles in ABA signaling and stress responses via mediating the ubiquitination and degradation of target proteins through the ubiquitin-proteasome pathway.




Abbreviations
- RING:
-
Really interesting new gene
- GmRFP1:
-
Glycine max RING-finger protein 1
- Ub:
-
Ubiquitin
- E1:
-
Ubiquitin-activating enzyme
- E2:
-
Ubiquitin-conjugating enzyme
- E3:
-
Ubiquitin-protein ligase
- HECT:
-
Homology to E6-AP carboxy terminus
- SCF:
-
Skp1-Cullin-F-box
- APC:
-
Anaphase-promoting complex
- ABA:
-
Abscisic acid
- SAM:
-
Shoot apical meristem
- DAF:
-
Days after flowering
- RT:
-
Reverse transcription
- qRT-PCR:
-
Quantitative real-time polymerase chain reaction
- RACE:
-
Rapid amplification of cDNA ends
- PEG:
-
Polyethylene glycol
- GST:
-
Glutathione S-transferase
- IPTG:
-
Isopropyl-1-thio-β-D-galactopyranoside
- PBS:
-
Phosphate buffered saline
- SDS-PAGE:
-
Sodium dodecyl sulfate-polyacrylamide gel electrophoresis
References
Xu R, Li QQ (2003) A RING-H2 zinc-finger protein gene RIE1 is essential for seed development in Arabidopsis. Plant Mol Biol 53:37–50. doi:10.1023/B:PLAN.0000009256.01620.a6
Chen H, Shen Y, Tang X, Yu L, Wang J, Guo L, Zhang Y, Zhang H, Feng S, Strickland E, Zheng N, Deng XW (2006) Arabidopsis CULLIN4 forms an E3 ubiquitin ligase with RBX1 and the CDD complex in mediating light control of development. Plant Cell 18(8):1991–2004. doi:10.1105/tpc.106.043224
Hershko A, Ciechanover A (1998) The ubiquitin system. Annu Rev Biochem 67:425–479. doi:10.1146/annurev.biochem.67.1.425
Glickman MH, Ciechanover A (2002) The ubiquitin-proteasome proteolytic pathway: destruction for the sake of construction. Physiol Rev 82:373–428
Bachmair A, Novatchkova M, Potuschak T, Eisenhaber F (2001) Ubiquitylation in plants: a postgenomic look at a post-translational modification. Trends Plant Sci 6:463–470. doi:10.1016/S1360-1385(01)02080-5
Stone SL, Callis J (2007) Ubiquitin ligases mediate growth and development by promoting protein death. Curr Opin Plant Biol 10:624–632. doi:10.1016/j.pbi.2007.07.010
Dong CH, Agarwal M, Zhang Y, Xie Q, Zhu JK (2006) The negative regulator of plant cold responses, HOS1, is a RING E3 ligase that mediates the ubiquitination and degradation of ICE1. Proc Natl Acad Sci USA 103:8281–8286. doi:10.1073/pnas.0602874103
Stone SL, Hauksdóttir H, Troy A, Herschleb J, Kraft E, Callis J (2005) Functional analysis of the RING-type ubiquitin ligase family of Arabidopsis. Plant Physiol 137:13–30. doi:10.1104/pp.104.052423
Barlow PN, Luisi B, Milner A, Elliott M, Everett R (1994) Structure of the C3HC4 domain by 1H-nuclear magnetic resonance spectroscopy: a new structural class of zinc-finger. J Mol Biol 237:201–211. doi:10.1006/jmbi.1994.1222
Borden KL (2000) RING domains: master builders of molecular scaffolds? J Mol Biol 295:1103–1112. doi:10.1006/jmbi.1999.3429
Borden KL, Boddy MN, Lally J, O’Reilly NJ, Martin S, Howe K, Solomon E, Freemont PS (1995) The solution structure of the RING finger domain from the acute promyelocytic leukaemia proto-oncoprotein PML. EMBO J 14:1532–1541
Lovering R, Hanson IM, Borden KL, Martin S, O’Reilly NJ, Evan GI, Rahman D, Pappin DJ, Trowsdale J, Freemont PS (1993) Identification and preliminary characterization of a protein motif related to the zinc finger. Proc Natl Acad Sci USA 90:2112–2116. doi:10.1073/pnas.90.6.2112
Hewitt EW, Duncan L, Mufti D, Baker J, Stevenson PG, Lehner PJ (2002) Ubiquitylation of MHC class I by the K3 viral protein signals internalization and TSG101-dependent degradation. EMBO J 21:2418–2429. doi:10.1093/emboj/21.10.2418
Dasgupta A, Ramsey KL, Smith JS, Auble DT (2004) Sir antagonist 1 (San1) is a ubiquitin ligase. J Biol Chem 279:26830–26838. doi:10.1074/jbc.M400894200
Albert TK, Hanzawa H, Legtenberg YI, de Ruwe MJ, van den Heuvel FA, Collart MA, Boelens R, Timmers HT (2002) Identification of a ubiquitin-protein ligase subunit within the CCR4-NOT transcription repressor complex. EMBO J 21:355–364. doi:10.1093/emboj/21.3.355
Song XJ, Huang W, Shi M, Zhu MZ, Lin HX (2007) A QTL for rice grain width and weight encodes a previously unknown RING-type E3 ubiquitin ligase. Nat Genet 39:623–630. doi:10.1038/ng2014
Freemont PS (1993) The RING finger. a novel protein sequence motif related to the zinc finger. Ann N Y Acad Sci 684:174–192. doi:10.1111/j.1749-6632.1993.tb32280.x
Lorick KL, Jensen JP, Fang S, Ong AM, Hatakeyama S, Weissman AM (1999) RING fingers mediate ubiquitin-conjugating enzyme (E2)-dependent ubiquitination. Proc Natl Acad Sci USA 96:11364–11369. doi:10.1073/pnas.96.20.11364
Borden KL, Freemont PS (1996) The RING finger domain: a recent example of a sequence-structure family. Curr Opin Struct Biol 6:395–401. doi:10.1016/S0959-440X(96)80060-1
Saurin AJ, Borden KL, Boddy MN, Freemont PS (1996) Does this have a familiar RING? Trends Biochem Sci 21:208–214
Kosarev P, Mayer KF, Hardtke CS (2002) Evaluation and classification of RING-finger domains encoded by the Arabidopsis genome. Genome Biol 3:RESEARCH0016
Holm M, Ma LG, Qu LJ, Deng XW (2002) Two interacting bZIP proteins are direct targets of COP1-mediated control of light-dependent gene expression in Arabidopsis. Genes Dev 16:1247–1259. doi:10.1101/gad.969702
Seo HS, Yang JY, Ishikawa M, Bolle C, Ballesteros ML, Chua NH (2003) LAF1 ubiquitination by COP1 controls photomorphogenesis and is stimulated by SPA1. Nature 423:995–999. doi:10.1038/nature01696
Osterlund MT, Hardtke CS, Wei N, Deng XW (2000) Targeted destabilization of HY5 during light-regulated development of Arabidopsis. Nature 405:462–466. doi:10.1038/35013076
Yang J, Lin R, Sullivan J, Hoecker U, Liu B, Xu L, Deng XW, Wang H (2005) Light regulates COP1-mediated degradation of HFR1, a transcription factor essential for light signaling in Arabidopsis. Plant Cell 17:804–821. doi:10.1105/tpc.104.030205
Hardtke CS, Okamoto H, Stoop-Myer C, Deng XW (2002) Biochemical evidence for ubiquitin ligase activity of the Arabidopsis COP1 interacting protein 8 (CIP8). Plant J 30:385–394. doi:10.1046/j.1365-313X.2002.01298.x
Matsuda N, Suzuki T, Tanaka K, Nakano A (2001) Rma1, a novel type of RING finger protein conserved from Arabidopsis to human, is a membrane-bound ubiquitin ligase. J Cell Sci 114:1949–1957
Xie Q, Guo HS, Dallman G, Fang SY, Weissman AM, Chua NH (2002) SINAT5 promotes ubiquitin-related degradation of NAC1 to attenuate auxin signals. Nature 419:167–170. doi:10.1038/nature00998
Zhang X, Garreton V, Chua NH (2005) The AIP2 E3 ligase acts as a novel negative regulator of ABA signaling by promoting ABI3 degradation. Genes Dev 19:1532–1543. doi:10.1101/gad.1318705
Zhang Y, Yang C, Li Y, Zheng N, Chen H, Zhao Q, Gao T, Guo H, Xie Q (2007) SDIR1 is a RING finger E3 ligase that positively regulates stress-responsive abscisic acid signaling in Arabidopsis. Plant Cell 19(6):1912–1929. doi:10.1105/tpc.106.048488
Stone SL, Williams LA, Farmer LM, Vierstra RD, Callis J (2006) Keep on going, a RING E3 ligase essential for Arabidopsis growth and development, is involved in abscisic acid signaling. Plant Cell 18:3415–3428. doi:10.1105/tpc.106.046532
Cao Y, Dai Y, Cui S, Ma L (2008) Histone H2B monoubiquitination in the chromatin of flowering locus C regulates flowering time in Arabidopsis. Plant Cell 20:2586–2602. doi:10.1105/tpc.108.062760
Xu L, Ménard R, Berr A, Fuchs J, Cognat V, Meyer D, Shen WH (2009) The E2 ubiquitin-conjugating enzymes, AtUBC1 and AtUBC2, play redundant roles and are involved in activation of FLC expression and repression of flowering in Arabidopsis thaliana. Plant J 57:279–288. doi:10.1111/j.1365-313X.2008.03684.x
Gu X, Jiang D, Wang Y, Bachmair A, He Y (2009) Repression of the floral transition via histone H2B monoubiquitination. Plant J 57:522–533. doi:10.1111/j.1365-313X.2008.03709.x
Liu J, Zhang Y, Qin G, Tsuge T, Sakaguchi N, Luo G, Sun K, Shi D, Aki S, Zheng N, Aoyama T, Oka A, Yang W, Umeda M, Xie Q, Gu H, Qu LJ (2008) Targeted degradation of cyclin-dependent kinase inhibitor ICK4/KRP6 by the RING-type E3 ligases is essential for mitotic cell cycle progression during Arabidopsis gametogenesis. Plant Cell 20:1538–1554. doi:10.1105/tpc.108.059741
Qin F, Sakuma Y, Tran LS, Maruyama K, Kidokoro S, Fujita Y, Fujita M, Umezawa T, Sawano Y, Miyazono K, Tanokura M, Shinozaki K, Yamaguchi-Shinozaki K (2008) Arabidopsis DREB2A–interacting proteins function as RING E3 ligases and negatively regulate plant drought stress–responsive gene expression. Plant Cell 20:1693–1707. doi:10.1105/tpc.107.057380
Kawasaki T, Nam J, Boyes DC, Holt BF, Hubert DA, Wiig A, Dang JL (2005) A duplicated pair of Arabidopsis RING-finger E3 ligases contribute to the RPM1- and RPS2-mediated hypersensitive response. Plant J 44:258–270. doi:10.1111/j.1365-313X.2005.02525.x
Serrano M, Guzmán P (2004) Isolation and gene expression analysis of Arabidopsis thaliana mutants with constitutive expression of ATL2, an early elicitor-response RING-H2 zinc-finger gene. Genetics 167(2):919–929. doi:10.1534/genetics.104.028043
Dhawan R, Luo H, Foerster AM, Qamar SA, Du HN, Briggs SD, Scheid OM, Mengiste T (2009) Histone monoubiquitination1 interacts with a subunit of the mediator complex and regulates defense against necrotrophic fungal pathogens in Arabidopsis. Plant Cell. doi:10.1105/tpc.108.062364
Molnar G, Bancos S, Nagy F, Szekeres M (2002) Characterisation of BRH1, a brassinosteroid-responsive RING-H2 gene from Arabidopsis thaliana. Planta 215:127–133. doi:10.1007/s00425-001-0723-z
Weising K, Atkinson RG, Gardner RC (1995) Genomic fingerprinting by microsatellite-primed PCR: a critical evaluation. PCR Methods Appl 4:249–255
Huang F, Chi YJ, Meng QC, Gai JY, Yu DY (2006) GmZFP1 encoding a single zinc finger protein is expressed with enhancement in reproductive organs and late seed development in soybean (Glycine max). Mol Biol Rep 33:279–285. doi:10.1007/s11033-006-9012-z
Livak KJ, Schmittgen TD (2001) Analysis of relative gene expression data using real-time quantitative PCR and the 2−ΔΔCT method. Methods 25:402–408. doi:10.1006/meth.2001.1262
Sambrook J, Fritsch EF, Maniatis T (1989) Molecular cloning: a laboratory manual, 2nd edn. Cold Spring Harbor Laboratory Press, Cold Spring Harbor, NewYork
Bradford MM (1976) A rapid and sensitive method for the quantitation of microgram quantities of protein utilizing the principle of protein-dye binding. Anal Biochem 72:248–254. doi:10.1016/0003-2697(76)90527-3
Laemmli UK (1970) Cleavage of structural proteins during the assembly of the head of bacteriophage T4. Nature 227:680–685. doi:10.1038/227680a0
Jackson PK, Eldridge AG, Freed E, Furstenthal L, Hsu JY, Kaiser BK, Reimann JD (2000) The lore of the RINGs: substrate recognition and catalysis by ubiquitin ligases. Trends Cell Biol 10:429–439. doi:10.1016/S0962-8924(00)01834-1
Joazeiro CA, Weissman AM (2000) RING finger proteins: mediators of ubiquitin ligase activity. Cell 102:549–552. doi:10.1016/S0092-8674(00)00077-5
Smalle J, Vierstra RD (2004) The ubiquitin 26 s proteasome proteolytic pathway. Annu Rev Plant Biol 55:555–590. doi:10.1146/annurev.arplant.55.031903.141801
Thomashow MF (1999) Plant cold acclimation: freezing tolerance genes and regulatory mechanisms. Annu Rev Plant Physiol Plant Mol Biol 50:571–599. doi:10.1146/annurev.arplant.50.1.571
Shinozaki K, Yamaguchi-Shinozaki K, Seki M (2003) Regulatory network of gene expression in the drought and cold stress responses. Curr Opin Plant Biol 6:410–417. doi:10.1016/S1369-5266(03)00092-X
Zhu JK (2002) Salt and drought stress signal transduction in plants. Annu Rev Plant Biol 53:247–273. doi:10.1146/annurev.arplant.53.091401.143329
Finkelstein RR, Gampala SS, Rock CD (2002) Abscisic acid signaling in seeds and seedlings. Plant Cell 14(Suppl):S15–S45
Liu K, Wang L, Xu Y, Chen N, Ma Q, Li F, Chong K (2007) Overexpression of OsCOIN, a putative cold inducible zinc finger protein, increased tolerance to chilling, salt and drought, and enhanced proline level in rice. Planta 226:1007–1016. doi:10.1007/s00425-007-0548-5
Leung J, Bouvierdurand M, Morris PC, Guerrier D, Chefdor F, Giraudat J (1994) Arabidopsis ABA response gene ABI1–Features of a calcium-modulated protein phosphatase. Science 264:1448–1452. doi:10.1126/science.7910981
Rodriguez PL, Benning G, Grill E (1998) ABI2, a second protein phosphatase 2C involved in abscisic acid signal transduction in Arabidopsis. FEBS Lett 421:185–190. doi:10.1016/S0014-5793(97)01558-5
Finkelstein RR, Wang ML, Lynch TJ, Rao S, Goodman HM (1998) The Arabidopsis abscisic acid response locus ABI4 encodes an APETALA 2 domain protein. Plant Cell 10:1043–1054
Finkelstein RR, Lynch TJ (2000) The Arabidopsis abscisic acid response gene ABI5 encodes a basic leucine zipper transcription factor. Plant Cell 12:599–609
Lopez-Molina L, Chua NH (2000) A null mutation in a bZIP factor confers ABA-insensitivity in Arabidopsis thaliana. Plant Cell Physiol 41:541–547
Lopez-Molina L, Mongrand S, McLachlin DT, Chait BT, Chua NH (2002) ABI5 acts downstream of ABI3 to execute an ABA-dependent growth arrest during germination. Plant J 32:317–328. doi:10.1046/j.1365-313X.2002.01430.x
Brocard-Gifford IM, Lynch TJ, Finkelstein RR (2003) Regulatory networks in seeds integrating developmental, abscisic acid, sugar, and light signaling. Plant Physiol 131:78–92. doi:10.1104/pp.011916
Acknowledgments
We thank Dr. Fei Li (University of California, Berkeley, CA) for revising the manuscript, Dr. Aifen Zhou (University of Oklahoma, Norman, OK) for helpful suggestions and valuable discussions. We also thank Wenbiao Shen (Nanjing Agriculture University, Nanjing, China) for technical advice. This work was supported in part by National 973 Projects (no. 2004CB117206, no. 2002CB111304), National 863 Projects (no. 2006AA10Z1C1, 2007AA10Z193, no. 2006AA10A111), National Natural Science Foundation of China (no. 30490250, no. 30771362), the Specific Grant from the Ministry of Agriculture (no. 200803060), and the 111 Project from the Ministry of Education (B08025).
Author information
Authors and Affiliations
Corresponding author
Rights and permissions
About this article
Cite this article
Du, QL., Cui, WZ., Zhang, CH. et al. GmRFP1 encodes a previously unknown RING-type E3 ubiquitin ligase in Soybean (Glycine max). Mol Biol Rep 37, 685 (2010). https://doi.org/10.1007/s11033-009-9535-1
Received:
Accepted:
Published:
DOI: https://doi.org/10.1007/s11033-009-9535-1