Skip to main content

Ellagic acid ameliorates cisplatin toxicity in chemically induced colon carcinogenesis

Abstract

Cis-diamminedichloroplatinum(II) (cisplatin) (CP) is an important chemotherapeutic agent used in the treatment of several cancers. However, it has several side effects including nephrotoxicity gonadotoxicity, hepatotoxicity, and ototoxicity. In in vitro experiments, antioxidants or reactive oxygen species scavengers have a cytoprotective effect on cells exposed to cisplatin (CP). Ellagic acid (EA) is one such bioactive polyphenol that is abundant in some fruits, nuts, and seeds. Various authors have reported that EA has strong antioxidant and antitumor potential. The present study was, therefore, carried out to explore the protective potential of EA on CP-induced gonadotoxicity and nephrotoxicity in colon tumor-bearing mice. Animals were divided into five groups: Group I: normal control, Group II: DMH treated. After 20 weeks of DMH treatment, the animals were divided into four subgroups, viz., Group III: no treatment, Group IV: EA, Group V: CP, and Group VI: CP + EA. Administration of EA significantly ameliorated the toxicity caused by CP as indicated by improved kidney function tests and reproductive function tests. EA treatment to CP-abused mice also led to a marked reduction in the extent of peroxidative damage to tissue as was evident from the improvement in the histopathological changes in kidney and testis. Blood counts were also improved on administration of EA to CP-treated mice. This article provides the evidence that antioxidant efficacy of EA has beneficial effects on CP-induced nephrotoxicity and gonadotoxicity and contributes to understanding the role of oxidative stress, and suggests several points as part of the mechanism of CP toxicity.

This is a preview of subscription content, access via your institution.

Fig. 1
Fig. 2
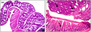
Fig. 3
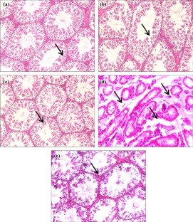
Fig. 4
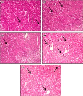
Fig. 5

References

  1. Jacobs S, Harmon BE, Ollberding NJ, Wilkens LR, Monroe KR, Kolonel LN, Le Marchand L, Boushey CJ, Maskarinec G (2016) Among 4 diet quality indexes, only the alternate Mediterranean diet score is associated with better colorectal cancer survival and only in African American women in the multiethnic cohort. J Nutr 146:1746–1755

    Article  CAS  PubMed  PubMed Central  Google Scholar 

  2. Venook AP, Niedzwiecki D, Lopatin M, Ye X, Lee M, Friedman PN, Frankel W, Clark-Langone K, Millward C, Shak S, Goldberg RM (2013) Biologic determinants of tumor recurrence in stage II colon cancer: validation study of the 12-gene recurrence score in cancer and leukemia group B (CALGB) 9581. J Clin Oncol 31:1775

    Article  PubMed  PubMed Central  Google Scholar 

  3. Feng X, Song Q, Yu A, Tang H, Peng Z, Wang X (2015) Receptor-interacting protein kinase 3 is a predictor of survival and plays a tumor suppressive role in colorectal cancer. Neoplasma 62:592–601

    Article  CAS  PubMed  Google Scholar 

  4. Basu S, Haase G, Ben-Ze’ev A (2016) Wnt signaling in cancer stem cells and colon cancer metastasis. F1000Res

  5. Labianca R, Nordlinger B, Beretta GD, Mosconi S, Mandalà M, Cervantes A, Arnold D, ESMO Guidelines Working Group (2013) Early colon cancer: ESMO Clinical Practice Guidelines for diagnosis, treatment and follow-up. Ann Oncol 24:vi64–vi72

    Article  PubMed  Google Scholar 

  6. Wong JC, Hasan MR, Rahman M, Angel CY, Chan SK, Schaeffer DF, Kennecke HF, Lim HJ, Owen D, Tai IT (2013) Nucleophosmin 1, upregulated in adenomas and cancers of the colon, inhibits p53-mediated cellular senescence. Int J Cancer 133:1567–1577

    Article  CAS  PubMed  Google Scholar 

  7. Tirino V, Desiderio V, Paino F, De Rosa A, Papaccio F, La Noce M, Laino L, De Francesco F, Papaccio G (2013) Cancer stem cells in solid tumors: an overview and new approaches for their isolation and characterization. FASEB J 27:13–24

    Article  CAS  PubMed  Google Scholar 

  8. Lordick F, Kang YK, Chung HC, Salman P, Oh SC, Bodoky G, Kurteva G, Volovat C, Moiseyenko VM, Gorbunova V, Park JO (2013) Capecitabine and cisplatin with or without cetuximab for patients with previously untreated advanced gastric cancer (EXPAND): a randomised, open-label phase 3 trial. Lancet Oncol 14:490–499

    Article  CAS  PubMed  Google Scholar 

  9. Sabharwal SS, Schumacker PT (2014) Mitochondrial ROS in cancer: initiators, amplifiers or an Achilles’ heel? Nat Rev Cancer 14:709–721

    Article  CAS  PubMed  PubMed Central  Google Scholar 

  10. Sinha K, Das J, Pal PB, Sil PC (2013) Oxidative stress: the mitochondria-dependent and mitochondria-independent pathways of apoptosis. Arch Toxicol 87:1157–1180

    Article  CAS  PubMed  Google Scholar 

  11. Mertens-Talcott SU, Percival SS (2005) Ellagic acid and quercetin interact synergistically with resveratrol in the induction of apoptosis and cause transient cell cycle arrest in human leukemia cells. Cancer Lett 218:141–151

    Article  CAS  PubMed  Google Scholar 

  12. Tomás-Barberán FA, García-Villalba R, Gonzalez-Sarrias A, Selma MV, Espín JC (2014) Ellagic acid metabolism by human gut microbiota: consistent observation of three urolithin phenotypes in intervention trials, independent of food source, age, and health status. J Agric Food Chem 62:6535–6538

    Article  CAS  PubMed  Google Scholar 

  13. Moron MS, Depierre JW, Mannervik B (1979) Levels of glutathione, glutathione reductase and glutathione S-transferase activities in rat lung and liver. BBA-Gen Subj 582:67–78

    Article  CAS  Google Scholar 

  14. Trush MA, Mimnaugh EG, Ginsburg E, Gram TE (1981) In vitro stimulation by paraquat of reactive oxygen-mediated lipid peroxidation in rat lung microsomes. Toxicol Appl Pharmacol 15:279–286

    Article  Google Scholar 

  15. Dacie JV, Lewis MS (1968) Practical haematology. Churchill Livingstone Ltd., London

    Google Scholar 

  16. Dacie JV, Lewis SM (1991) Reference ranges and normal values. Practical haematology. Churchill Livingstone, New York

    Google Scholar 

  17. Wang H, Joseph JA (1999) Quantifying cellular oxidative stress by dichlorofluorescein assay using microplate reader. Free Radic Biol Med 27:612–616

    Article  CAS  PubMed  Google Scholar 

  18. Humason GL (1962) Animal tissue techniques. W.H. Freeman, San Francisco.

    Book  Google Scholar 

  19. Rosenberg SA, Restifo NP, Yang JC, Morgan RA, Dudley ME (2008) Adoptive cell transfer: a clinical path to effective cancer immunotherapy. Nat Rev Cancer 8:299

    Article  CAS  PubMed  PubMed Central  Google Scholar 

  20. Ateşşahín A, Çeríbaşi AO, Yuce A, Bulmus Ö, Çikim G (2007) Role of ellagic acid against cisplatin-induced nephrotoxicity and oxidative stress in rats. Basic Clin Pharmacol Toxicol 100:121–126

    Article  Google Scholar 

  21. Borse V, Al Aameri RF, Sheehan K, Sheth S, Kaur T, Mukherjea D, Tupal S, Lowy M, Ghosh S, Dhukhwa A, Bhatta P (2017) Epigallocatechin-3-gallate, a prototypic chemopreventative agent for protection against cisplatin-based ototoxicity. Cell Death Dis 8:2921

    Article  CAS  Google Scholar 

  22. Baek B, Lee SH, Kim K, Lim HW, Lim CJ (2016) Ellagic acid plays a protective role against UV-B-induced oxidative stress by up-regulating antioxidant components in human dermal fibroblasts. Korean J Physiol Pharmacol 20:269–277

    Article  CAS  PubMed  PubMed Central  Google Scholar 

  23. Sánchez-González PD, López-Hernández FJ, Dueñas M, Prieto M, Sánchez-López E, Thomale J, Ruiz-Ortega M, López-Novoa JM, Morales AI (2017) Differential effect of quercetin on cisplatin-induced toxicity in kidney and tumor tissues. Food Chem Toxicol 107:226–236

    Article  CAS  PubMed  Google Scholar 

  24. Isoda K, Daibo T, Yushina K, Yoshioka Y, Tsutsumi Y, Akimoto Y, Kawakami H, Taira Y, Taira I, Yanoshita R, Nishimura T (2017) Hepatotoxicity, nephrotoxicity, and drug/chemical interaction toxicity of platinum nanoparticles in mice. Pharmazie 72:10–16

    CAS  PubMed  Google Scholar 

  25. Ko JL, Tsai CH, Liu TC, Lin MY, Lin HL, Ou CC (2016) Differential effects of grape juice on gastric emptying and renal function from cisplatin-induced acute adverse toxicity. Hum Exp Toxicol 35:808–817

    Article  CAS  PubMed  Google Scholar 

  26. Aboryag NB, Mohamed DM, Dehe L, Shaqura M, Treskatsch S, Shakibaei M, Schäfer M, Mousa SA (2017) Histopathological changes in the kidney following congestive heart failure by volume overload in rats. Oxid Med Cell Longev. https://doi.org/10.1155/2017/6894040

    Article  PubMed  PubMed Central  Google Scholar 

  27. Ekinci Akdemir FN, Albayrak M, Çalik M, Bayir Y, Gülçin İ (2017) The protective effects of p-coumaric acid on acute liver and kidney damages induced by cisplatin. Biomedicines 5:18

    Article  CAS  PubMed Central  Google Scholar 

  28. Aminsharifi A, Hekmati P, Noorafshan A, Karbalay-Doost S, Nadimi E, Aryafar A, Hosseinabadi OK, Naseri MM, ZarePoor M (2016) Scrotal cooling to protect against cisplatin-induced spermatogenesis toxicity: preliminary outcome of an experimental controlled trial. Urology 91:90–98

    Article  PubMed  Google Scholar 

  29. Ateşşahin A, Karahan I, Türk G, Gür S, Yılmaz S, Çeribaşı AO (2006) Protective role of lycopene on cisplatin-induced changes in sperm characteristics, testicular damage and oxidative stress in rats. Reprod Toxicol 21:42–47

    Article  CAS  PubMed  Google Scholar 

  30. Sanchez-Gonzalez PD, Lopez-Hernandez FJ, Perez-Barriocanal F, Morales AI, Lopez-Novoa JM (2011) Quercetin reduces cisplatin nephrotoxicity in rats without compromising its anti-tumour activity. Nephrol Dial Transplant 26:3484–3495

    Article  CAS  PubMed  Google Scholar 

  31. Sung MJ, Kim DH, Jung YJ, Kang KP, Lee AS, Lee S, Kim W, Davaatseren M, Hwang JT, Kim HJ, Kim MS (2008) Genistein protects the kidney from cisplatin-induced injury. Kidney Int 74:1538–1547

    Article  CAS  PubMed  Google Scholar 

  32. Dietrich J, Han R, Yang Y, Mayer-Pröschel M, Noble M (2006) CNS progenitor cells and oligodendrocytes are targets of chemotherapeutic agents in vitro and in vivo. J Biol 5:22

    Article  PubMed  PubMed Central  Google Scholar 

  33. Elf SE, Chen J (2014) Targeting glucose metabolism in patients with cancer. Cancer 120:774–780

    Article  PubMed  Google Scholar 

  34. Trump DL, Grem JL, Tutsch KD, Willson JK, Simon KJ, Alberti D, Storer B, Tormey DC (1987) Platinum analogue combination chemotherapy: cisplatin and carboplatin: a phase I trial with pharmacokinetic assessment of the effect of cisplatin administration on carboplatin excretion. J Clin Oncol 5:1281–1289

    Article  CAS  PubMed  Google Scholar 

  35. Seidel C, von Bueren AO, Bojko S, Hoffmann M, Pietsch T, Gielen GH, Warmuth-Metz M, Bison B, Kortmann RD, Kramm CM (2017) Concurrent radiotherapy with temozolomide vs. concurrent radiotherapy with a cisplatinum-based polychemotherapy regimen. Strahlenther Onkol 194:1–10

    Google Scholar 

  36. Koren E, Kohen R, Ginsburg I (2010) Polyphenols enhance total oxidant-scavenging capacities of human blood by binding to red blood cells. Exp Biol Med 235:689–699

    Article  CAS  Google Scholar 

  37. Ramadan LA, El-Habit OH, Arafa H, Sayed-Ahmed MM (2001) Effect of cremophor-el on cisplatin-induced organ toxicity in normal rat. J Egypt Nat Cancer Inst 13:139–145

    Google Scholar 

  38. Wong NL, Walker VR, Wong EF, Sutton RA (1993) Mechanism of polyuria after cisplatin therapy. Nephron 65:623–627

    Article  CAS  PubMed  Google Scholar 

  39. Francescato HDC, Costa RS, Camargo SMR, Zanetti MA, Lavrador MA, Bianchi MDLP (2001) Effect of oral selenium administration on cisplatin-induced nephrotoxicity in rats. Pharmacol Res 43:77–82

    Article  CAS  PubMed  Google Scholar 

  40. García-Niño WR, Zazueta C (2015) Ellagic acid: pharmacological activities and molecular mechanisms involved in liver protection. Pharmacol Res 97:84–103

    Article  CAS  PubMed  Google Scholar 

  41. Larrosa M, Tomás-Barberán FA, Espín JC (2006) The dietary hydrolysable tannin punicalagin releases ellagic acid that induces apoptosis in human colon adenocarcinoma Caco-2 cells by using the mitochondrial pathway. J Nutr Biochem 17:611–625

    Article  CAS  PubMed  Google Scholar 

Download references

Acknowledgements

The present research was supported by the UGC-BSR fellowship in science, New Delhi, India (Award No: F.25-1/2013-14(BSR)/7-209/2009), DST-PURSE Grant, New Delhi, India (Award No: 49/RPC-29/04/16), and the Departmental Grant from the Panjab University, Sector-25, Chandigarh, India.

Author information

Affiliations

Authors

Corresponding author

Correspondence to Pavitra Ranawat.

Ethics declarations

Conflict of interest

The authors declare no conflict of interest.

Rights and permissions

Reprints and Permissions

About this article

Verify currency and authenticity via CrossMark

Cite this article

Goyal, Y., Koul, A. & Ranawat, P. Ellagic acid ameliorates cisplatin toxicity in chemically induced colon carcinogenesis. Mol Cell Biochem 453, 205–215 (2019). https://doi.org/10.1007/s11010-018-3446-1

Download citation

  • Received:

  • Accepted:

  • Published:

  • Issue Date:

  • DOI: https://doi.org/10.1007/s11010-018-3446-1

Keywords

  • Cisplatin
  • Colon cancer
  • Nephrotoxicity
  • Testicular-toxicity
  • Ellagic acid