Skip to main content

Cytoglobin inhibits migration through PI3K/AKT/mTOR pathway in fibroblast cells

Abstract

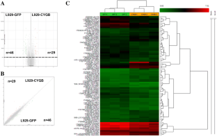
Cell proliferation and migration are crucial in many physiological processes including development, cancer, tissue repair, and wound healing. Cell migration is regulated by several signaling molecules. Identification of genes related to cell migration is required to understand molecular mechanism of non-healing chronic wounds which is a major concern in clinics. In the current study, the role of cytoglobin (CYGB) gene in fıbroblast cell migration and proliferation was described. L929 mouse fibroblast cells were transduced with lentiviral particles for CYGB and GFP, and analyzed for cell proliferation and migration ability. Fibroblast cells overexpressing CYGB displayed decreased cell proliferation, colony formation capacity, and cell migration. Phosphorylation levels of mTOR and two downstream effectors S6 and 4E-BP1 which take part in PI3K/AKT/mTOR signaling declined in CYGB-overexpressing cells. Microarray analysis indicated that CYGB overexpression leads to downregulation of cell proliferation, migration, and tumor growth associated genes in L929 cell line. This study demonstrated the role of CYGB in fibroblast cell motility and proliferation. CYGB could be a promising candidate for further studies as a potential target for diseases related to cell migration such as cancer and chronic wound treatment.

This is a preview of subscription content, access via your institution.

Fig. 1
Fig. 2
Fig. 3
Fig. 4
Fig. 5

References

  1. Burmester T, Ebner B, Weich B, Hankeln T (2002) Cytoglobin: a novel globin type ubiquitously expressed invertebrate tissues. Mol Biol Evol 19(4):416–421

    CAS  Article  PubMed  Google Scholar 

  2. Kawada N, Kristensen DB, Asahina K, Nakatani K, Minamiyama Y, Seki S, Yoshizato K (2001) Characterization of a stellate cell activation-associated protein (STAP) with peroxidase activity found in rat hepatic stellate cells. J Biol Chem 276(27):25318–25323

    CAS  Article  PubMed  Google Scholar 

  3. John R, Chand V, Chakraborty S, Jaiswal N, Nag A (2014) DNA damage induced activation of Cygb stabilizes p53 and mediates G1 arrest. DNA Repair 24:107–112

    CAS  Article  PubMed  Google Scholar 

  4. Stastny V, Okumura N, Girard L, Xie Y, Prinsen C, Thunnissen F, Wistuba I, Czerniak B, Frenkel E, Roth J (2008) Cytoglobin, the newest member of the globin family, functions as a tumor suppressor gene. Cancer Res 68(9 Suppl):LB-165-LB-165

  5. Le Thi Thanh Thuy TT, Thuy V, Matsumoto Y, Hai H, Ikura Y, Yoshizato K, Kawada N (2016) Absence of cytoglobin promotes multiple organ abnormalities in aged mice. Scientific reports 6

  6. Oleksiewicz U, Liloglou T, Field JK, Xinarianos G (2011) Cytoglobin: biochemical, functional and clinical perspective of the newest member of the globin family. Cell Mol Life Sci 68(23):3869–3883

    CAS  Article  PubMed  Google Scholar 

  7. McDougall S, Dallon J, Sherratt J, Maini P (2006) Fibroblast migration and collagen deposition during dermal wound healing: mathematical modelling and clinical implications. Philos Trans R Soc Lond A 364(1843):1385–1405

    CAS  Article  Google Scholar 

  8. Martin P (1997) Wound healing–aiming for perfect skin regeneration. Science 276(5309):75–81

    CAS  Article  PubMed  Google Scholar 

  9. Kim W-S, Park B-S, Sung J-H, Yang J-M, Park S-B, Kwak S-J, Park J-S (2007) Wound healing effect of adipose-derived stem cells: a critical role of secretory factors on human dermal fibroblasts. J Dermatol Sci 48(1):15–24

    CAS  Article  PubMed  Google Scholar 

  10. Epstein FH, Singer AJ, Clark RA (1999) Cutaneous wound healing. N Engl J Med 341(10):738–746

    Article  Google Scholar 

  11. Castilho RM, Squarize CH, Gutkind JS (2013) Exploiting PI3K/mTOR signaling to accelerate epithelial wound healing. Oral Dis 19(6):551–558

    CAS  Article  PubMed  PubMed Central  Google Scholar 

  12. Xue G, Hemmings BA (2013) PKB/Akt-dependent regulation of cell motility. J Natl Cancer Inst:djs648

  13. Squarize CH, Castilho RM, Bugge TH, Gutkind JS (2010) Accelerated wound healing by mTOR activation in genetically defined mouse models. PLoS ONE 5(5):e10643

    Article  PubMed  PubMed Central  Google Scholar 

  14. Dogan A, Yalvaç ME, Sahin F, Kabanov AV, Palotás A, Rizvanov AA (2012) Differentiation of human stem cells is promoted by amphiphilic pluronic block copolymers. Int J Nanomed 7:4849–4860

    CAS  Google Scholar 

  15. Du W, Jiang P, Mancuso A, Stonestrom A, Brewer MD, Minn AJ, Mak TW, Wu M, Yang X (2013) TAp73 enhances the pentose phosphate pathway and supports cell proliferation. Nat Cell Biol 15(8):991–1000

    CAS  Article  PubMed  PubMed Central  Google Scholar 

  16. Ross DT, Scherf U, Eisen MB, Perou CM, Rees C, Spellman P, Iyer V, Jeffrey SS, Van de Rijn M, Waltham M (2000) Systematic variation in gene expression patterns in human cancer cell lines. Nat Genet 24(3):227–235

    CAS  Article  PubMed  Google Scholar 

  17. DiGirolamo CM, Stokes D, Colter D, Phinney DG, Class R, Prockop DJ (1999) Propagation and senescence of human marrow stromal cells in culture: a simple colony-forming assay identifies samples with the greatest potential to propagate and differentiate. Br J Haematol 107(2):275–281

    CAS  Article  PubMed  Google Scholar 

  18. Doğan A, Yalvaç ME, Yılmaz A, Rizvanov A, Şahin F (2013) Effect of F68 on cryopreservation of mesenchymal stem cells derived from human tooth germ. Appl Biochem Biotechnol 171(7):1819–1831

    Article  PubMed  Google Scholar 

  19. Sarbassov DD, Ali SM, Kim D-H, Guertin DA, Latek RR, Erdjument-Bromage H, Tempst P, Sabatini DM (2004) Rictor, a novel binding partner of mTOR, defines a rapamycin-insensitive and raptor-independent pathway that regulates the cytoskeleton. Curr Biol 14(14):1296–1302

    CAS  Article  PubMed  Google Scholar 

  20. Nakatani K, Okuyama H, Shimahara Y, Saeki S, Kim D-H, Nakajima Y, Seki S, Kawada N, Yoshizato K (2004) Cytoglobin/STAP, its unique localization in splanchnic fibroblast-like cells and function in organ fibrogenesis. Lab Invest 84(1):91–101

    CAS  Article  PubMed  Google Scholar 

  21. Xu H-W, Huang Y-J, Xie Z-Y, Lin L, Guo Y-C, Zhuang Z-R, Lin X-P, Zhou W, Li M, Huang H-H (2013) The expression of cytoglobin as a prognostic factor in gliomas: a retrospective analysis of 88 patients. BMC Cancer 13(1):1

    Article  Google Scholar 

  22. White ES, Sagana RL, Booth AJ, Yan M, Cornett AM, Bloomheart CA, Tsui JL, Wilke CA, Moore BB, Ritzenthaler JD (2010) Control of fibroblast fibronectin expression and alternative splicing via the PI3K/Akt/mTOR pathway. Exp Cell Res 316(16):2644–2653

    CAS  Article  PubMed  PubMed Central  Google Scholar 

  23. Lima MH, Caricilli AM, de Abreu LL, Araujo EP, Pelegrinelli FF, Thirone AC, Tsukumo DM, Pessoa AFM, dos Santos MF, de Moraes MA (2012) Topical insulin accelerates wound healing in diabetes by enhancing the AKT and ERK pathways: a double-blind placebo-controlled clinical trial. PLoS ONE 7(5):e36974

    CAS  Article  PubMed  PubMed Central  Google Scholar 

  24. Demidova-Rice TN, Hamblin MR, Herman IM (2012) Acute and impaired wound healing: pathophysiology and current methods for drug delivery, part 1: normal and chronic wounds: biology, causes, and approaches to care. Adv Skin Wound Care 25(7):304

    Article  PubMed  PubMed Central  Google Scholar 

  25. Moh MC, Shen S (2009) The roles of cell adhesion molecules in tumor suppression and cell migration: a new paradox. Cell Adh Migr 3(4):334–336

    Article  PubMed  PubMed Central  Google Scholar 

  26. Wakayama T, Iseki S (2009) Role of the spermatogenic–Sertoli cell interaction through cell adhesion molecule-1 (CADM1) in spermatogenesis. Anat Sci Int 84(3):112–121

    CAS  Article  PubMed  Google Scholar 

  27. Pal SK, Nguyen CTK, Morita Ki, Miki Y, Kayamori K, Yamaguchi A, Sakamoto K (2016) THBS1 is induced by TGFB1 in the cancer stroma and promotes invasion of oral squamous cell carcinoma. J Oral Pathol Med

  28. Kyriakides TR, MacLauchlan S (2009) The role of thrombospondins in wound healing, ischemia, and the foreign body reaction. J Cell Commun Signal 3(3–4):215–225

    Article  PubMed  PubMed Central  Google Scholar 

  29. Chris J. Storbeck SW, Paul O’Reilly, Marlene McKay, Robin J. Parks, Heiner Westphal, Luc A. Sabourin (2009) The Ldb1 and Ldb2 Transcriptional Cofactors Interact with the Ste20-like Kinase SLK and Regulate Cell Migration. Mol Biol Cell 20(19):4174–4182

  30. K-h Yoon, Ragoczy T, Lu Z, Kondoh K, Kuang D, Groudine M, Buck LB (2015) Olfactory receptor genes expressed in distinct lineages are sequestered in different nuclear compartments. Proc Natl Acad Sci 112(18):E2403–E2409

    Article  Google Scholar 

  31. Gara S, Kebebew E (2015) HABP2 mutation and nonmedullary thyroid cancer. N Engl J Med 373:2086–2087

    Article  PubMed  Google Scholar 

  32. Mambetsariev N, Mirzapoiazova T, Mambetsariev B, Sammani S, Lennon FE, Garcia JG, Singleton PA (2010) Hyaluronic acid binding protein 2 is a novel regulator of vascular integrity. Arterioscler Thromb Vasc Biol 30(3):483–490

    CAS  Article  PubMed  Google Scholar 

  33. Baple EL, Maroofian R, Chioza BA, Izadi M, Cross HE, Al-Turki S, Barwick K, Skrzypiec A, Pawlak R, Wagner K (2014) Mutations in KPTN cause macrocephaly, neurodevelopmental delay, and seizures. Am J Hum Genet 94(1):87–94

    CAS  Article  PubMed  PubMed Central  Google Scholar 

  34. Bearer EL, Chen A, Chen A, Li Z, Mark H-F, Smith R, Jackson C (2000) 2E4/Kaptin (KPTN)—a candidate gene for the hearing loss locus, DFNA4. Ann Hum Genet 64(03):189–196

    CAS  Article  PubMed  PubMed Central  Google Scholar 

  35. Luo Q, Lin H, Ye X, Huang J, Lu S, Xu L (2015) Trim44 facilitates the migration and invasion of human lung cancer cells via the NF-κB signaling pathway. Int J Clin Oncol 20(3):508–517

    CAS  Article  PubMed  Google Scholar 

  36. Xu C, D-m Hu, Zhu Q (2013) eEF1A2 promotes cell migration, invasion and metastasis in pancreatic cancer by upregulating MMP-9 expression through Akt activation. Clin Exp Metastasis 30(7):933–944

    Article  PubMed  Google Scholar 

  37. Diederich M (2009) Natural compounds and their role in apoptotic cell signaling pathways. Wiley

  38. Adhihetty PJ, Uguccioni G, Leick L, Hidalgo J, Pilegaard H, Hood DA (2009) The role of PGC-1α on mitochondrial function and apoptotic susceptibility in muscle. Am J Physiol Cell Physiol 297(1):C217–C225

    CAS  Article  PubMed  Google Scholar 

  39. Charos AE, Reed BD, Raha D, Szekely AM, Weissman SM, Snyder M (2012) A highly integrated and complex PPARGC1A transcription factor binding network in HepG2 cells. Genome Res 22(9):1668–1679

    CAS  Article  PubMed  PubMed Central  Google Scholar 

  40. Przemyslaw L, Boguslaw HA, Elzbieta S, Malgorzata SM (2013) ADAM and ADAMTS family proteins and their role in the colorectal cancer etiopathogenesis. BMB Rep 46(3):139–150

    CAS  Article  PubMed  PubMed Central  Google Scholar 

  41. Perez-Branguli F, Zagar Y, Shanley DK, Graef IA, Chedotal A, Mitchell KJ (2016) Reverse signaling by Semaphorin-6A regulates cellular aggregation and neuronal morphology. bioRxiv:036095

  42. Loria R, Bon G, Perotti V, Gallo E, Bersani I, Baldassari P, Porru M, Leonetti C, Di Carlo S, Visca P (2015) Sema6A and Mical1 control cell growth and survival of BRAFV600E human melanoma cells. Oncotarget 6(5):2779–2793

    Article  PubMed  Google Scholar 

  43. Wong EV, Schaefer AW, Landreth G, Lemmon V (1996) Casein kinase II phosphorylates the neural cell adhesion molecule L1. J Neurochem 66(2):779–786

    CAS  Article  PubMed  Google Scholar 

  44. Hsu Y-C, Osinski J, Campbell CE, Litwack ED, Wang D, Liu S, Bachurski CJ, Gronostajski RM (2011) Mesenchymal nuclear factor IB regulates cell proliferation and epithelial differentiation during lung maturation. Dev Biol 354(2):242–252

    CAS  Article  PubMed  PubMed Central  Google Scholar 

  45. Tsuneki M, Maruyama S, Yamazaki M, Xu B, Essa A, Abé T, Babkair H, Cheng J, Yamamoto T, Saku T (2013) Extracellular heat shock protein A9 is a novel interaction partner of podoplanin in oral squamous cell carcinoma cells. Biochem Biophys Res Commun 434(1):124–130

    CAS  Article  PubMed  Google Scholar 

  46. Banman SL, McFie PJ, Wilson HL, Roesler WJ (2010) Nuclear redistribution of TCERG1 is required for its ability to inhibit the transcriptional and anti-proliferative activities of C/EBPα. J Cell Biochem 109(1):140–151

    CAS  Article  PubMed  Google Scholar 

  47. Montes M, Coiras M, Becerra S, Moreno-Castro C, Mateos E, Majuelos J, Oliver FJ, Hernández-Munain C, Alcamí J, Suñé C (2015) Functional consequences for apoptosis by transcription elongation regulator 1 (TCERG1)-mediated Bcl-x and Fas/CD95 alternative splicing. PLoS ONE 10(10):e0139812

    Article  PubMed  PubMed Central  Google Scholar 

  48. Chan B, VanderLaan PA, Sukhatme VP (2013) 6-Phosphogluconate dehydrogenase regulates tumor cell migration in vitro by regulating receptor tyrosine kinase c-Met. Biochem Biophys Res Commun 439(2):247–251

    CAS  Article  PubMed  Google Scholar 

  49. Bolaños JP (2013) Adapting glycolysis to cancer cell proliferation: the MAPK pathway focuses on PFKFB3. Biochem J 452(3):e7–e9

    Article  PubMed  Google Scholar 

  50. Hu KY, Wang DG, Liu PF, Cao YW, Wang YH, Yang XC, Hu CX, Sun LJ, Niu HT (2016) Targeting of MCT1 and PFKFB3 influences cell proliferation and apoptosis in bladder cancer by altering the tumor microenvironment. Oncol Rep 36(2):945–951

    CAS  Article  PubMed  Google Scholar 

  51. Jiao Y, George SK, Zhao Q, Hulver MW, Hutson SM, Bishop CE, Lu B (2012) Mex3c mutation reduces adiposity and increases energy expenditure. Mol Cell Biol 32(21):4350–4362

    CAS  Article  PubMed  PubMed Central  Google Scholar 

  52. Ohl L, Mohaupt M, Czeloth N, Hintzen G, Kiafard Z, Zwirner J, Blankenstein T, Henning G, Förster R (2004) CCR7 governs skin dendritic cell migration under inflammatory and steady-state conditions. Immunity 21(2):279–288

    CAS  Article  PubMed  Google Scholar 

  53. Pierce EM, Carpenter K, Jakubzick C, Kunkel SL, Evanoff H, Flaherty KR, Martinez FJ, Toews GB, Hogaboam CM (2007) Idiopathic pulmonary fibrosis fibroblasts migrate and proliferate to CC chemokine ligand 21. Eur Respir J 29(6):1082–1093

    CAS  Article  PubMed  Google Scholar 

  54. Lin T-C, Su C-Y, Wu P-Y, Lai T-C, Pan W-A, Jan Y-H, Chang Y-C, Yeh C-T, Chen C-L, Ger L-P (2016) The nucleolar protein NIFK promotes cancer progression via CK1α/β-catenin in metastasis and Ki-67-dependent cell proliferation. eLife 5:e11288

  55. Choudhry H, Albukhari A, Morotti M, Haider S, Moralli D, Smythies J, Schödel J, Green C, Camps C, Buffa F (2015) Tumor hypoxia induces nuclear paraspeckle formation through HIF-2α dependent transcriptional activation of NEAT1 leading to cancer cell survival. Oncogene 34(34):4482–4490

    CAS  Article  PubMed  Google Scholar 

Download references

Acknowledgements

We would like to thank NIH Fellows editorial board for their assistance for manuscript editing.

Funding

This study was supported by Yeditepe University.

Author information

Affiliations

Authors

Corresponding author

Correspondence to Ayşegül Doğan.

Ethics declarations

Conflict of interest

The authors declare that they have no conflict of interest.

Rights and permissions

Reprints and Permissions

About this article

Verify currency and authenticity via CrossMark

Cite this article

Demirci, S., Doğan, A., Apdik, H. et al. Cytoglobin inhibits migration through PI3K/AKT/mTOR pathway in fibroblast cells. Mol Cell Biochem 437, 133–142 (2018). https://doi.org/10.1007/s11010-017-3101-2

Download citation

  • Received:

  • Accepted:

  • Published:

  • Issue Date:

  • DOI: https://doi.org/10.1007/s11010-017-3101-2

Keywords

  • Cytoglobin
  • Cell migration
  • Wound healing
  • Microarray
  • Tumor suppressor