Skip to main content

PBMC activation via the ERK and STAT signaling pathways enhances the anti-tumor activity of Staphylococcal enterotoxin A

Abstract

Staphylococcal enterotoxin A (SEA) is well known as a superantigen and is highly potent in activating T lymphocytes. And it has been used clinically as an immunomodifier in the treatment of a number of tumors for years. However, the mechanism of its action remains largely unclear. In this study, SEA was found to significantly inhibit the proliferation and induce the death of human lung carcinoma A549 cells when co-cultured with human peripheral blood mononuclear cells (PBMCs). SEA could also induce the proliferation of human PBMCs and stimulate human PBMCs to release a wide range of cytokines that have broad anti-tumor activities such as IFN-γ, TNF-α, IL-2. Furthermore, SEA was found in PBMCs to induce a rapid and long-lasting phosphorylation of extracellular signal-regulated kinases (ERKs) which was significantly inhibited by MEK/ERK pathway inhibitors U0126 and PD0325901, and a late onset of phosphorylation of signal transducers and activators of transcription (STATs) which was significantly inhibited by a pan-JAK inhibitor Pyridone 6 (P6). Unexpectedly constitutive ERK or STATs phosphorylation was also significantly inhibited by P6 or U0126 in a dose-dependent manner, respectively. Summing up, our data reveal SEA may function as a novel protein drug used for cancer immunotherapy via inducing activation of PBMCs, immune cell crosstalk-dependent activation of ERK and STATs, and production of tumor-suppressive cytokines.

This is a preview of subscription content, access via your institution.

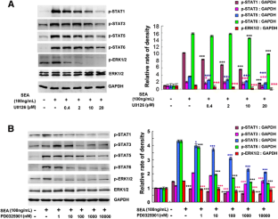
Fig. 1
Fig. 2
Fig. 3
Fig. 4
Fig. 5
Fig. 6
Fig. 7

References

  1. Shaked Y (2016) Balancing efficacy of and host immune responses to cancer therapy: the yin and yang effects. Nat Rev Clin Oncol. doi:10.1038/nrclinonc.2016.57

    PubMed  Google Scholar 

  2. Khalil DN, Smith EL, Brentjens RJ, Wolchok JD (2016) The future of cancer treatment: immunomodulation, CARs and combination immunotherapy. Nat Rev Clin Oncol 13(5):273–290. doi:10.1038/nrclinonc.2016.25

    CAS  Article  PubMed  PubMed Central  Google Scholar 

  3. Spaulding AR, Salgado-Pabon W, Kohler PL, Horswill AR, Leung DY, Schlievert PM (2013) Staphylococcal and streptococcal superantigen exotoxins. Clin Microbiol Rev 26(3):422–447. doi:10.1128/CMR.00104-12

    CAS  Article  PubMed  PubMed Central  Google Scholar 

  4. Pinchuk IV, Beswick EJ, Reyes VE (2010) Staphylococcal enterotoxins. Toxins (Basel) 2(8):2177–2197. doi:10.3390/toxins2082177

    CAS  Article  Google Scholar 

  5. Li H, Llera A, Malchiodi EL, Mariuzza RA (1999) The structural basis of T cell activation by superantigens. Annu Rev Immunol 17:435–466. doi:10.1146/annurev.immunol.17.1.435

    CAS  Article  PubMed  Google Scholar 

  6. Stow NW, Douglas R, Tantilipikorn P, Lacroix JS (2010) Superantigens. Otolaryngol Clin North Am 43(3):489–502. doi:10.1016/j.otc.2010.02.008

    Article  PubMed  Google Scholar 

  7. Dohlsten M, Sundstedt A, Bjorklund M, Hedlund G, Kalland T (1993) Superantigen-induced cytokines suppress growth of human colon-carcinoma cells. Int J Cancer 54(3):482–488

    CAS  Article  PubMed  Google Scholar 

  8. van Horssen R, Ten Hagen TL, Eggermont AM (2006) TNF-alpha in cancer treatment: molecular insights, antitumor effects, and clinical utility. Oncologist 11(4):397–408. doi:10.1634/theoncologist.11-4-397

    Article  PubMed  Google Scholar 

  9. Zaidi MR, Merlino G (2011) The two faces of interferon-gamma in cancer. Clin Cancer Res 17(19):6118–6124. doi:10.1158/1078-0432.CCR-11-0482

    CAS  Article  PubMed  PubMed Central  Google Scholar 

  10. Lando PA, Hedlund G, Dohlsten M, Kalland T (1991) Bacterial superantigens as anti-tumour agents: induction of tumour cytotoxicity in human lymphocytes by staphylococcal enterotoxin A. Cancer Immunol Immunother 33(4):231–237

    CAS  Article  PubMed  Google Scholar 

  11. Holzer U, Orlikowsky T, Zehrer C, Bethge W, Dohlsten M, Kalland T, Niethammer D, Dannecker GE (1997) T-cell stimulation and cytokine release induced by staphylococcal enterotoxin A (SEA) and the SEAD227A mutant. Immunology 90(1):74–80

    CAS  Article  PubMed  PubMed Central  Google Scholar 

  12. Giantonio BJ, Alpaugh RK, Schultz J, McAleer C, Newton DW, Shannon B, Guedez Y, Kotb M, Vitek L, Persson R, Gunnarsson PO, Kalland T, Dohlsten M, Persson B, Weiner LM (1997) Superantigen-based immunotherapy: a phase I trial of PNU-214565, a monoclonal antibody-staphylococcal enterotoxin A recombinant fusion protein, in advanced pancreatic and colorectal cancer. J Clin Oncol 15(5):1994–2007

    CAS  Article  PubMed  Google Scholar 

  13. Topalian SL, Weiner GJ, Pardoll DM (2011) Cancer immunotherapy comes of age. J Clin Oncol 29(36):4828–4836. doi:10.1200/JCO.2011.38.0899

    CAS  Article  PubMed  PubMed Central  Google Scholar 

  14. Santarpia L, Lippman SM, El-Naggar AK (2012) Targeting the MAPK-RAS-RAF signaling pathway in cancer therapy. Expert Opin Ther Targets 16(1):103–119. doi:10.1517/14728222.2011.645805

    CAS  Article  PubMed  PubMed Central  Google Scholar 

  15. Kiu H, Nicholson SE (2012) Biology and significance of the JAK/STAT signalling pathways. Growth Factors 30(2):88–106. doi:10.3109/08977194.2012.660936

    CAS  Article  PubMed  PubMed Central  Google Scholar 

  16. McCarthy F, Roshani R, Steele J, Hagemann T (2013) Current clinical immunotherapy targets in advanced nonsmall cell lung cancer (NSCLC). J Leukoc Biol 94(6):1201–1206. doi:10.1189/jlb.0313121

    Article  PubMed  Google Scholar 

  17. Shepherd FA, Douillard JY, Blumenschein GR Jr (2011) Immunotherapy for non-small cell lung cancer: novel approaches to improve patient outcome. J Thorac Oncol 6(10):1763–1773. doi:10.1097/JTO.0b013e31822e28fc

    Article  PubMed  Google Scholar 

  18. Terman DS, Serier A, Dauwalder O, Badiou C, Dutour A, Thomas D, Brun V, Bienvenu J, Etienne J, Vandenesch F, Lina G (2013) Staphylococcal entertotoxins of the enterotoxin gene cluster (egcSEs) induce nitrous oxide- and cytokine dependent tumor cell apoptosis in a broad panel of human tumor cells. Front Cell Infect Microbiol 3:38. doi:10.3389/fcimb.2013.00038

    Article  PubMed  PubMed Central  Google Scholar 

  19. Ruitenberg JJ, Mulder CB, Maino VC, Landay AL, Ghanekar SA (2006) VACUTAINER CPT and Ficoll density gradient separation perform equivalently in maintaining the quality and function of PBMC from HIV seropositive blood samples. BMC Immunol 7:11. doi:10.1186/1471-2172-7-11

    Article  PubMed  PubMed Central  Google Scholar 

  20. Gascoigne NR, Ames KT (1991) Direct binding of secreted T-cell receptor beta chain to superantigen associated with class II major histocompatibility complex protein. Proc Natl Acad Sci USA 88(2):613–616

    CAS  Article  PubMed  PubMed Central  Google Scholar 

  21. Rosendahl A, Kristensson K, Hansson J, Riesbeck K, Kalland T, Dohlsten M (1998) Perforin and IFN-gamma are involved in the antitumor effects of antibody-targeted superantigens. J Immunol 160(11):5309–5313

    CAS  PubMed  Google Scholar 

  22. Sun J, Zhao L, Teng L, Lin F, Zhang H, Li Z, Gao Q (2011) Solid tumor-targeted infiltrating cytotoxic T lymphocytes retained by a superantigen fusion protein. PLoS ONE 6(2):e16642. doi:10.1371/journal.pone.0016642

    CAS  Article  PubMed  PubMed Central  Google Scholar 

  23. Mondal TK, Bhatta D, Biswas S, Pal P (2002) Superantigen-induced apoptotic death of tumor cells is mediated by cytotoxic lymphocytes, cytokines, and nitric oxide. Biochem Biophys Res Commun 290(4):1336–1342. doi:10.1006/bbrc.2002.6359

    CAS  Article  PubMed  Google Scholar 

  24. Rosendahl A, Kristensson K, Hansson J, Ohlsson L, Kalland T, Dohlsten M (1998) Repeated treatment with antibody-targeted superantigens strongly inhibits tumor growth. Int J Cancer 76(2):274–283

    CAS  Article  PubMed  Google Scholar 

  25. Dohlsten M, Hansson J, Ohlsson L, Litton M, Kalland T (1995) Antibody-targeted superantigens are potent inducers of tumor-infiltrating T lymphocytes in vivo. Proc Natl Acad Sci USA 92(21):9791–9795

    CAS  Article  PubMed  PubMed Central  Google Scholar 

  26. Litton MJ, Dohlsten M, Rosendahl A, Ohlsson L, Sogaard M, Andersson J, Andersson U (1999) The distinct role of CD4+ and CD8+ T-cells during the anti-tumour effects of targeted superantigens. Br J Cancer 81(2):359–366. doi:10.1038/sj.bjc.6690701

    CAS  Article  PubMed  PubMed Central  Google Scholar 

  27. Steelman LS, Pohnert SC, Shelton JG, Franklin RA, Bertrand FE, McCubrey JA (2004) JAK/STAT, Raf/MEK/ERK, PI3K/Akt and BCR-ABL in cell cycle progression and leukemogenesis. Leukemia 18(2):189–218. doi:10.1038/sj.leu.2403241

    CAS  Article  PubMed  Google Scholar 

  28. Saxena NK, Sharma D, Ding X, Lin S, Marra F, Merlin D, Anania FA (2007) Concomitant activation of the JAK/STAT, PI3K/AKT, and ERK signaling is involved in leptin-mediated promotion of invasion and migration of hepatocellular carcinoma cells. Cancer Res 67(6):2497–2507. doi:10.1158/0008-5472.CAN-06-3075

    CAS  Article  PubMed  PubMed Central  Google Scholar 

  29. Favata MF, Horiuchi KY, Manos EJ, Daulerio AJ, Stradley DA, Feeser WS, Van Dyk DE, Pitts WJ, Earl RA, Hobbs F, Copeland RA, Magolda RL, Scherle PA, Trzaskos JM (1998) Identification of a novel inhibitor of mitogen-activated protein kinase kinase. J Biol Chem 273(29):18623–18632

    CAS  Article  PubMed  Google Scholar 

  30. Bain J, Plater L, Elliott M, Shpiro N, Hastie CJ, McLauchlan H, Klevernic I, Arthur JS, Alessi DR, Cohen P (2007) The selectivity of protein kinase inhibitors: a further update. Biochem J 408(3):297–315. doi:10.1042/BJ20070797

    CAS  Article  PubMed  PubMed Central  Google Scholar 

  31. Pedranzini L, Dechow T, Berishaj M, Comenzo R, Zhou P, Azare J, Bornmann W, Bromberg J (2006) Pyridone 6, a pan-Janus-activated kinase inhibitor, induces growth inhibition of multiple myeloma cells. Cancer Res 66(19):9714–9721. doi:10.1158/0008-5472.CAN-05-4280

    CAS  Article  PubMed  Google Scholar 

  32. Kwak HB, Kim HS, Lee MS, Kim KJ, Choi EY, Choi MK, Kim JJ, Cho HJ, Kim JW, Bae JM, Kim YK, Park BH, Ha H, Chun CH, Oh J (2009) Pyridone 6, a pan-Janus-activated kinase inhibitor, suppresses osteoclast formation and bone resorption through down-regulation of receptor activator of nuclear factor-kappaB (NF-kappaB) ligand (RANKL)-induced c-Fos and nuclear factor of activated T cells (NFAT) c1 expression. Biol Pharm Bull 32(1):45–50

    CAS  Article  PubMed  Google Scholar 

  33. Warnecke N, Poltorak M, Kowtharapu BS, Arndt B, Stone JC, Schraven B, Simeoni L (2012) TCR-mediated Erk activation does not depend on Sos and Grb2 in peripheral human T cells. EMBO Rep 13(4):386–391. doi:10.1038/embor.2012.17

    CAS  Article  PubMed  PubMed Central  Google Scholar 

Download references

Acknowledgements

We thank Lucinda Beck for her critical reading of the manuscript. This work was supported by the National Natural Science Foundation of China [Grant Numbers 81301948]; the Grow Seedlings Project of Department of Education of Guangdong Province [2013LYM0070]; and the Natural Science Foundation from Guangdong Science and Technology Department [Grant Number 2014A020212343].

Author information

Affiliations

Authors

Contributions

XL and AT conceived and designed the experiments; XL, YX, LX, and LZ performed the experiments; JZ, SW, JZ, and YH analyzed the data; HC and ZHZ contributed reagents/materials/analysis tools; XL, ZQZ, and AT wrote the manuscript.

Corresponding authors

Correspondence to Ailin Tao or Jianguo Zhang.

Ethics declarations

Conflicts of interest

The authors declare no conflict of interest.

Electronic supplementary material

Below is the link to the electronic supplementary material.

Supplementary material 1 Fig. S1. ELISA

analysis of cytokines and chemokines secretion by SEA-stimulated PBMCs in vitro. Fig. S2. Quantitation of mRNA expression of cytokines and chemokines production in SEA-stimulated PBMCs in vitro. Fig. S3. Quantitation of CNE2 cell growth after co-cultured with SEA pretreated PBMCs. Table S1. Primers used for real-time quantitative PCR. (DOC 1610 kb)

Rights and permissions

Reprints and Permissions

About this article

Verify currency and authenticity via CrossMark

Cite this article

Liu, X., Zeng, L., Zhao, Z. et al. PBMC activation via the ERK and STAT signaling pathways enhances the anti-tumor activity of Staphylococcal enterotoxin A. Mol Cell Biochem 434, 75–87 (2017). https://doi.org/10.1007/s11010-017-3038-5

Download citation

  • Received:

  • Accepted:

  • Published:

  • Issue Date:

  • DOI: https://doi.org/10.1007/s11010-017-3038-5

Keywords

  • Staphylococcal enterotoxin A
  • Cancer immunotherapy
  • MEK/ERK pathway
  • STATs
  • PBMCs
  • Cytokines