Skip to main content

The effects of sildenafil citrate on urinary podocin and nephrin mRNA expression in an l-NAME model of pre-eclampsia

Abstract

We investigated the effects of sildenafil citrate (SC) on podocyturia in N ω-nitro-l-arginine methyl ester hydrochloride (l-NAME) model of pre-eclampsia (PE). One hundred and twenty Sprague–Dawley rats (SDR) were divided into five groups like pregnant control (PC), early-onset PE (EOPE), late-onset PE(LOPE), early and late-onset PE with SC-treated groups [EOPE (SC); LOPE (SC)]. PE was induced in SDR by oral administration of l-NAME in drinking water for 4–8 days for EOPE and 8–14 day for LOPE. The blood pressure, urine volume and total urine protein were increased in EOPE and LOPE groups when compared to PC, and all the above parameters decreased in EOPE (SC) and LOPE (SC) groups when compared to EOPE and LOPE groups, respectively. The EOPE and LOPE groups showed an increase in urinary nephrin mRNA and podocin mRNA levels compared to PC group. Increases in serum and renal soluble fms-like tyrosine kinase-1 (sFlt-1) expression levels and decreases in renal vascular endothelial growth factor (VEGF) expression and serum placenta growth factor (PlGF) levels were observed in EOPE and LOPE groups when compared to PC group. In addition, decreases in serum and renal sFlt-1 expression levels and increases in renal VEGF expression and serum PlGF levels were observed in EOPE (SC) and LOPE (SC) groups when compared to EOPE and LOPE groups, respectively. The light microscopy showed that the renal tissue of l-NAME-treated rats had extensive glomerular damage, tubular damage and infiltration by mononuclear cells when compared to PC group. Therefore, SC ameliorated podocyturia through its effects on the antiangiogenic/angiogenic status in this animal model.

This is a preview of subscription content, access via your institution.

Fig. 1
Fig. 2
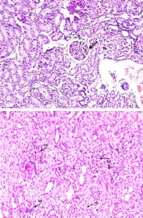
Fig. 3
Fig. 4

References

  1. Bates DO (2011) An unexpected tail of VEGF and PlGF in pre-eclampsia. Biochem Soc Trans 39:1576–1582. doi:10.1042/BST20110671

    CAS  Article  PubMed  PubMed Central  Google Scholar 

  2. Duley L (2009) The global impact of pre-eclampsia and eclampsia. Semin Perinatol 33:130–137. doi:10.1053/j.semperi.2009.02.010

    Article  PubMed  Google Scholar 

  3. Tang P, Xu J, Xie BJ, Wang QM (2016) Use of serum and urinary soluble sFlt-1 and PLGF in the diagnosis of preeclampsia. Hypertens Pregnancy 11:1–5. doi:10.1080/10641955.2016.1237642

    Article  Google Scholar 

  4. Steegers EA, von Dadelszen P, Duvekot JJ, Pijnenborg R (2010) Pre-eclampsia. Lancet 376:631–644. doi:10.1016/S0140-6736(10)60279-6

    Article  PubMed  Google Scholar 

  5. Xia Y, Kellems RE (2013) Angiotensin receptor agonistic autoantibodies and hypertension: preeclampsia and beyond. Circ Res 113:78–87. doi:10.1161/CIRCRESAHA

    CAS  Article  PubMed  PubMed Central  Google Scholar 

  6. Redman CW, Sargent I (2005) Latest advances in understanding preeclampsia. Science 308:1592–1594. doi:10.1126/science.1111726

    CAS  Article  PubMed  Google Scholar 

  7. Chen Y (2009) Novel angiogenic factors for predicting preeclampsia: sFlt-1, PlGF, and soluble endoglin. Open Clin Chem J 2:1–6

    Article  Google Scholar 

  8. De Vivo A, Baviera G, Giordano D, Todarello G, Corrado F, D’Anna R (2008) Endoglin, PlGF and sFlt-1 as markers for predicting pre-eclampsia. Acta Obstet Gynecol Scand 87:837–842. doi:10.1080/00016340802253759

    Article  PubMed  Google Scholar 

  9. Kim J, Li JJ, Jung D, Kwak S, Ryu D, Yoo T, Han SH, Choi HY, Kim HJ, Han DS, Kang S (2007) Differential expression of nephrin according to glomerular size in early diabetic kidney disease. J Am Nephrol 18:2303–2310. doi:10.1681/ASN.2006101145

    CAS  Article  Google Scholar 

  10. Koop K, Eikmans M, Baelde HJ, Kawachi H, De Heer E, Paul LC, Bruijn JA (2003) Expression of podocyte-associated molecules in acquired human kidney diseases. J Am Soc Nephrol 14:2063–2071

    CAS  Article  PubMed  Google Scholar 

  11. Henao DE, Mathieson PW, Saleem MA, Bueno JC, Cadavid A (2007) A novel renal perspective of preeclampsia: a look from the podocyte. Nephrol Dial Transplant 22:1477–1490. doi:10.1093/ndt/gfl804

    CAS  Article  PubMed  Google Scholar 

  12. Govender L, Mackraj I, Gathiram P, Moodley J (2012) The role of angiogenic, ani angiogenic and vasoactive factors in pre-eclamptic African women: early versus late-onset pre-eclampsia. Cardiovasc J Afr 23:153–159. doi:10.5830/CVJA-2012-003

    Article  PubMed  PubMed Central  Google Scholar 

  13. Muller Deile J, Schiffer M (2011) Renal involvement in preeclampsia: similarities to VEGF ablation therapy. J Pregnancy 2011:176973. doi:10.1155/2011/176973

    Article  PubMed  Google Scholar 

  14. Baijnath S, Soobryan N, Mackraj I, Gathiram P, Moodley J (2014) The optimization of a chronic nitric oxide synthase (NOS) inhibition model of pre-eclampsia by evaluating physiological changes. Eur J Obstet Gynecol Reprod Biol 182:71–75. doi:10.1016/j.ejogrb.2014.08.021

    CAS  Article  PubMed  Google Scholar 

  15. Yu D, Peterman A, Kunter U, Rong S, Shankland SJ, Floege J (2005) Urinary podocyte loss is a more specific marker of ongoing glomerular damage than proteinuria. J Am Soc Neohrol 16:1733–1741. doi:10.1681/ASN.2005020159

    CAS  Article  Google Scholar 

  16. Garovic VD, Craici IM, Wagner SJ, White SJ, Brost BC, Rose CH, Grande JP, Barnridge DR (2013) Mass spectrometry as a novel method for the detection of podocyturia in pre-eclampsia. Nephrol Dial Transplant 28:1555–1561. doi:10.1093/ndt/gfs074

    CAS  Article  PubMed  Google Scholar 

  17. Ramesar S, Mackraj I, Gathiram P, Moodley J (2010) Sildenafil citrate improves fetal outcomes in pregnant, l-NAME treated Sprague–Dawley rats. Eur J Obstet Gynecol Reprod Biol 149:22–26. doi:10.1016/j.ejogrb.2009.11.005

    CAS  Article  PubMed  Google Scholar 

  18. Motta C, Grosso C, Zanuzzi C, Molinero D, Picco N, Bellingeri R, Alustiza F, Barbeito C, Vivas A, Romanini MC (2015) Effect of sildenafil on pre-eclampsia-like mouse model induced by l-NAME. Reprod Domest Anim 50:611–616. doi:10.1111/rda.12536

    CAS  Article  PubMed  Google Scholar 

  19. Ramesar S, Mackraj I, Gathiram P, Moodley J (2011) Sildenafil citrate decreases sflt-1 and seng in pregnant l-NAME treated Sprague–Dawley rats. Eur J Obstet Gynecol Reprod Biol 157:136–140. doi:10.1016/j.ejogrb.2011.03.005

    CAS  Article  PubMed  Google Scholar 

  20. Katsumi H, Nishikawa M, Hashida M (2007) Development of nitric oxide donors for the treatment of cardiovascular diseases. Cardiovasc Hematol Agents Med Chem 5:204–208

    CAS  Article  PubMed  Google Scholar 

  21. Saravanakumar M, Raja B, Manivannan J, Silambarasan T, Prahalathan P, Kumar S, Mishra SK (2015) Oral administration of veratric acid, a constituent of vegetables and fruits, prevents cardiovascular remodelling in hypertensive rats: a functional evaluation. Br J Nutr 114:1385–1394. doi:10.1017/S0007114515003086

    CAS  Article  PubMed  Google Scholar 

  22. Jim B, Jean-Lois P, Qipo A, Garry D, Mian S, Matos T, Provenzano C, Acharya A (2012) Podocyturia as a diagnostic marker for preeclampsia amongst high-risk pregnant patients. J pregnancy 2012:984630. doi:10.1155/2012/984630

    Article  PubMed  PubMed Central  Google Scholar 

  23. Kane LB, Klings ES (2006) Present and future treatment strategies for pulmonary arterial hypertension: focus on phosphodiesterase-5 inhibitors. Treat Respir Med 5:271–282

    CAS  Article  PubMed  Google Scholar 

  24. Salloum FN, Chau VQ, Hoke NN, Abbate A, Varma A, Ockaili RA, Toldo S, Kukreja RC (2009) Phosphodiesterase-5 inhibitor, tadalafil, protects against myocardial ischemia/reperfusion through protein-kinase g-dependent generation of hydrogen sulfide. Circulation 120:S31–36. doi:10.1161/CIRCULATIONAHA.108.843979

    CAS  Article  PubMed  PubMed Central  Google Scholar 

  25. Tabassum A, Rajeshwari T, Soni N, Raju DSB, Yadav M, Nayarisseri A, Jahan P (2014) Structural characterization and mutational assessment of podocin-A novel drug target to nephrotic syndrome—An in silico approach. Interdiscip Sci 6:32–39. doi:10.1007/s12539-014-0190-4

    CAS  Article  PubMed  Google Scholar 

  26. Eremina V, Sood M, Haigh J, Nagy A, Lajoie G, Ferrara N, Gerber HP, Kikkawa Y, Miner JH, Quaggin SE (2003) Glomerular-specific alterations of VEGF-A expression lead to distinct congenital and acquired renal diseases. J Clin Invest 111:707–716. doi:10.1172/JCI17423

    CAS  Article  PubMed  PubMed Central  Google Scholar 

  27. Kendall RL, Thomas KA (1993) Inhibition of vascular endothelial cell growth factor activity by endogenously encoded soluble receptor. Proc Natl Acad Sci 90:10705–10709

    CAS  Article  PubMed  PubMed Central  Google Scholar 

  28. Stillman IE, Karamunchi SA (2007) The glomerular injury of preeclampsia. J Am Soc Nephrol 18:2281–2284. doi:10.1681/ASN.2007020255

    Article  PubMed  Google Scholar 

  29. Kukreja RC (2012) Phosphodiesterase-5 and retargeting of subcellular cGMP signaling during pathological hypertrophy. Circulation 126:916–919. doi:10.1161/CIRCULATIONAHA.112.124966

    Article  PubMed  Google Scholar 

  30. Kukreja RC, Salloum FN, Das A (2012) Cyclic guanosine monophosphate signaling and phosphodiesterase-5 inhibitors in cardioprotection. J Am Coll Cardiol 59:1921–1927

    CAS  Article  PubMed  PubMed Central  Google Scholar 

  31. Schwartz BG, Levine LA, Comstock G, Stecher VJ, Kloner RA (2012) Cardiac uses of phosphodiesterase-5 inhibitors. J Am Coll Cardiol 59:9–15

    CAS  Article  PubMed  Google Scholar 

  32. Ockaili R, Salloum F, Hawkins J, Kukreja RC (2002) Sildenafil (Viagra) induces powerful cardioprotective effect via opening of mitochondrial K(ATP) channels in rabbits. Am J Physiol Heart Circ Physiol 283:H1263–H1269

    CAS  Article  PubMed  Google Scholar 

  33. George EM, Granger JP (2011) Mechanisms and potential therapies for pre-eclampsia. Curr Hypertens Rep 13:269–275. doi:10.1007/s11906-011-0204-0

    CAS  Article  PubMed  PubMed Central  Google Scholar 

  34. Wang K, Ahmad S, Cai M, Rennie J, Fujisawa T, Crispi F, Baily J, Miller MR et al (2013) Dysregulation of hydrogen sulfide producing enzyme cystathionine γ-lyase contributes to maternal hypertension and placental abnormalities in pre-eclampsia. Circulation 127:2514–2522. doi:10.1161/CIRCULATIONAHA.113.001631

    CAS  Article  PubMed  Google Scholar 

  35. Lauver DA, Carey EG, Bergin IL, Luchhesi BR, Gurm HS (2014) Sildenafil citrate for prophylaxis of nephropathy in an animal model of contrast-induced acute kidney injury. PLoS ONE 9:e113598. doi:10.1371/journal.pone.0113598

    Article  PubMed  PubMed Central  Google Scholar 

  36. Sato Y, Wharram BL, Lee SK, Wickman L, Goyal M, Venkatareddy M, Chang JW, Wiggins JE, Lieczewski C, Kretzler M (2009) Urine podocyte mRNAs mark progression of renal disease. J Am Soc Nephrol 20:1041–1052. doi:10.1681/ASN.2007121328

    CAS  Article  PubMed  PubMed Central  Google Scholar 

Download references

Acknowledgements

The authors would like to extend our deepest gratitude to Ms. K. Moodley, Dr. S.D. Singh, Dr. L. Bester and the staff of the Biomedical Resource Unit for technical assistance with the animal study. This project was funded by the National Research Foundation, South Africa (Grant Number: 91544).

Author information

Affiliations

Authors

Corresponding authors

Correspondence to Saravanakumar Murugesan or Irene Mackraj.

Rights and permissions

Reprints and Permissions

About this article

Verify currency and authenticity via CrossMark

Cite this article

Baijnath, S., Murugesan, S., Mackraj, I. et al. The effects of sildenafil citrate on urinary podocin and nephrin mRNA expression in an l-NAME model of pre-eclampsia. Mol Cell Biochem 427, 59–67 (2017). https://doi.org/10.1007/s11010-016-2897-5

Download citation

  • Received:

  • Accepted:

  • Published:

  • Issue Date:

  • DOI: https://doi.org/10.1007/s11010-016-2897-5

Keywords

  • Sildenafil citrate
  • Pre-eclampsia
  • Podocyturia
  • sFlt-1
  • PlGF