Skip to main content

Fluorofenidone attenuates renal interstitial fibrosis in the rat model of obstructive nephropathy

Abstract

Fluorofenidone (FD) is a novel pyridone agent with significant antifibrotic effects in vitro. The purpose of this study is to investigate the effects of FD on renal interstitial fibrosis in rats with obstructive nephropathy caused by unilateral ureteral obstruction (UUO). With pirfenidone (PD, 500 mg/kg/day) and enalapril (10 mg/kg/day) as the positive treatment controls, the rats in different experimental groups were administered with FD (500 mg/kg/day) from day 4 to day 14 after UUO. The tubulointerstitial injury, interstitial collagen deposition, and expression of type I and type III collagen, transforming growth factor-β1 (TGF-β1), connective tissue growth factor (CTGF), platelet-derived growth factor (PDGF), α-smooth muscle actin (α-SMA), and tissue inhibitor of metalloproteinase-1 (TIMP-1) were assessed. FD treatment significantly attenuated the prominently increased scores of tubulointerstitial injury, interstitial collagen deposition, and protein expression of type I and type III collagen in ureter-obstructed kidneys, respectively. As compared with untreated rats, FD also significantly reduced the expression of α-SMA, TGF-β1, CTGF, PDGF, and inhibitor of TIMP-1 in the obstructed kidneys. Fluorofenidone attenuates renal interstitial fibrosis in the rat model of obstructive nephropathy through its regulation on fibrogenic growth factors, tubular cell transdifferentiation, and extracellular matrix.

This is a preview of subscription content, access via your institution.

Fig. 1
Fig. 2
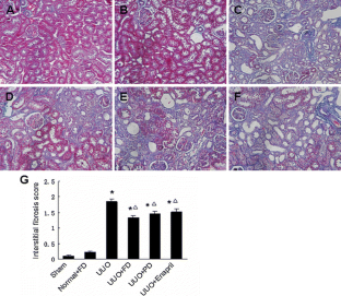
Fig. 3
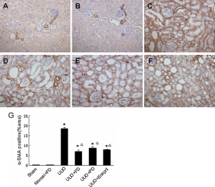
Fig. 4
Fig. 5
Fig. 6
Fig. 7
Fig. 8
Fig. 9

References

  1. Yang J, Liu Y (2002) Blockage of tubular epithelial to myofibroblast transition by hepatocyte growth factor prevents renal interstitial fibrosis. J Am Soc Nephrol 13(1):96–107

    Article  CAS  PubMed  Google Scholar 

  2. Klahr S, Morrissey J (2002) Obstructive nephropathy and renal fibrosis. Am J Physiol Renal Physiol 283(5):F861–F875

    PubMed  Google Scholar 

  3. Tang WW, Feng L, Xia Y, Wilson CB (1994) Extracellular matrix accumulation in immune-mediated tubulointerstitial injury. Kidney Int 45(4):1077–1084

    Article  CAS  PubMed  Google Scholar 

  4. Nakayama S, Mukae H, Sakamoto N, Kakugawa T, Yoshioka S, Soda H et al (2008) Pirfenidone inhibits the expression of HSP47 in TGF-beta1-stimulated human lung fibroblasts. Life Sci 82(3–4):210–217

    Article  CAS  PubMed  Google Scholar 

  5. Cho ME, Smith DC, Branton MH, Penzak SR, Kopp JB (2007) Pirfenidone slows renal function decline in patients with focal segmental glomerulosclerosis. Clin J Am Soc Nephrol 2(5):906–913

    Article  CAS  PubMed  Google Scholar 

  6. Di Sario A, Bendia E, Macarri G, Candelaresi C, Taffetani S, Marzioni M et al (2004) The anti-fibrotic effect of pirfenidone in rat liver fibrosis is mediated by downregulation of procollagen alpha1(I), TIMP-1 and MMP-2. Dig Liver Dis 36(11):744–751

    Article  CAS  PubMed  Google Scholar 

  7. Azuma A, Nukiwa T, Tsuboi E, Suga M, Abe S, Nakata K et al (2005) Double-blind, placebo-controlled trial of pirfenidone in patients with idiopathic pulmonary fibrosis. Am J Respir Crit Care Med 171(9):1040–1047

    Article  PubMed  Google Scholar 

  8. Cao W, He L, Liu W, Huang Z, Cheng Z (2006) Determination of AKF-PD in whole blood of rat by HPLC-UV. J Chromatogr B Analyt Technol Biomed Life Sci 833(2):257–259

    Article  CAS  PubMed  Google Scholar 

  9. Tao LJ, Zhang J, Hu GY (2004) Effects of 1-(3-fluorophenyl)-5-methyl-2-(1H)-pyridone on renal fibroblast in rats. Zhong Nan Da Xue Xue Bao Yi Xue Ban 29(2):139–141

    CAS  PubMed  Google Scholar 

  10. Wang L, Hu GY, Shen H, Peng ZZ, Ning WB, Tao LJ (2009) Fluorofenidone inhibits TGF-beta1 induced CTGF via MAPK pathways in mouse mesangial cells. Pharmazie 64(10):680–684

    CAS  PubMed  Google Scholar 

  11. Peng ZZ, Hu GY, Shen H, Wang L, Ning WB, Xie YY et al (2009) Fluorofenidone attenuates collagen I and transforming growth factor-beta1 expression through a nicotinamide adenine dinucleotide phosphate oxidase-dependent way in NRK-52E cells. Nephrology 14(6):565–572

    Article  CAS  PubMed  Google Scholar 

  12. Ishidoya S, Morrissey J, McCracken R, Klahr S (1996) Delayed treatment with enalapril halts tubulointerstitial fibrosis in rats with obstructive nephropathy. Kidney Int 49(4):1110–1119

    Article  CAS  PubMed  Google Scholar 

  13. Radford MG Jr, Donadio JV Jr, Bergstralh EJ, Grande JP (1997) Predicting renal outcome in IgA nephropathy. J Am Soc Nephrol 8(2):199–207

    PubMed  Google Scholar 

  14. Lin SL, Chen RH, Chen YM, Chiang WC, Lai CF, Wu KD et al (2005) Pentoxifylline attenuates tubulointerstitial fibrosis by blocking Smad3/4-activated transcription and profibrogenic effects of connective tissue growth factor. J Am Soc Nephrol 16(9):2702–2713

    Article  CAS  PubMed  Google Scholar 

  15. Broekema M, Harmsen MC, van Luyn MJ, Koerts JA, Petersen AH, van Kooten TG et al (2007) Bone marrow-derived myofibroblasts contribute to the renal interstitial myofibroblast population and produce procollagen I after ischemia/reperfusion in rats. J Am Soc Nephrol 18(1):165–175

    Article  CAS  PubMed  Google Scholar 

  16. Shen H, Huang G, Hadi M, Choy P, Zhang M, Minuk GY et al (2003) Transforming growth factor-beta1 downregulation of Smad1 gene expression in rat hepatic stellate cells. Am J Physiol Gastrointest Liver Physiol 285(3):G539–G546

    CAS  PubMed  Google Scholar 

  17. Winer J, Jung CK, Shackel I, Williams PM (1999) Development and validation of real-time quantitative reverse transcriptase-polymerase chain reaction for monitoring gene expression in cardiac myocytes in vitro. Anal Biochem 270(1):41–49

    Article  CAS  PubMed  Google Scholar 

  18. Shen H, Fan Y, Yang X, Burczynski FJ, Li P, Gong Y (2005) Increased expression of cystic fibrosis transmembrane conductance regulator in rat liver after common bile duct ligation. J Cell Physiol 203(3):599–603

    Article  CAS  PubMed  Google Scholar 

  19. Boor P, Sebekova K, Ostendorf T, Floege J (2007) Treatment targets in renal fibrosis. Nephrol Dial Transplant 22(12):3391–3407

    Article  CAS  PubMed  Google Scholar 

  20. Chatziantoniou C, Dussaule JC (2005) Insights into the mechanisms of renal fibrosis: is it possible to achieve regression? Am J Physiol Renal Physiol 289(2):F227–F234

    Article  CAS  PubMed  Google Scholar 

  21. Duymelinck C, Deng JT, Dauwe SE, De Broe ME, Verpooten GA (1998) Inhibition of the matrix metalloproteinase system in a rat model of chronic cyclosporine nephropathy. Kidney Int 54(3):804–818

    Article  CAS  PubMed  Google Scholar 

  22. RamachandraRao SP, Zhu Y, Ravasi T, McGowan TA, Toh I, Dunn SR et al (2009) Pirfenidone is renoprotective in diabetic kidney disease. J Am Soc Nephrol 20(8):1765–1775

    Article  CAS  PubMed  Google Scholar 

  23. Al-Bayati MA, Xie Y, Mohr FC, Margolin SB, Giri SN (2002) Effect of pirfenidone against vanadate-induced kidney fibrosis in rats. Biochem Pharmacol 64(3):517–525

    Article  CAS  PubMed  Google Scholar 

  24. Shimizu T, Kuroda T, Hata S, Fukagawa M, Margolin SB, Kurokawa K (1998) Pirfenidone improves renal function and fibrosis in the post-obstructed kidney. Kidney Int 54(1):99–109

    Article  CAS  PubMed  Google Scholar 

  25. Bottinger EP, Bitzer M (2002) TGF-beta signaling in renal disease. J Am Soc Nephrol 13(10):2600–2610

    Article  PubMed  Google Scholar 

  26. Phanish MK, Winn SK, Dockrell ME (2010) Connective tissue growth factor-(CTGF, CCN2)—a marker, mediator and therapeutic target for renal fibrosis. Nephron Exp Nephrol 114(3):e83–e92

    Article  CAS  PubMed  Google Scholar 

  27. Gupta S, Clarkson MR, Duggan J, Brady HR (2000) Connective tissue growth factor: potential role in glomerulosclerosis and tubulointerstitial fibrosis. Kidney Int 58(4):1389–1399

    Article  CAS  PubMed  Google Scholar 

  28. Wang S, Denichilo M, Brubaker C, Hirschberg R (2001) Connective tissue growth factor in tubulointerstitial injury of diabetic nephropathy. Kidney Int 60(1):96–105

    Article  CAS  PubMed  Google Scholar 

  29. Yokoi H, Mukoyama M, Nagae T, Mori K, Suganami T, Sawai K et al (2004) Reduction in connective tissue growth factor by antisense treatment ameliorates renal tubulointerstitial fibrosis. J Am Soc Nephrol 15(6):1430–1440

    Article  CAS  PubMed  Google Scholar 

  30. Taneda S, Hudkins KL, Topouzis S, Gilbertson DG, Ophascharoensuk V, Truong L et al (2003) Obstructive uropathy in mice and humans: potential role for PDGF-D in the progression of tubulointerstitial injury. J Am Soc Nephrol 14(10):2544–2555

    Article  CAS  PubMed  Google Scholar 

  31. Duymelinck C, Dauwe SE, De Greef KE, Ysebaert DK, Verpooten GA, De Broe ME (2000) TIMP-1 gene expression and PAI-1 antigen after unilateral ureteral obstruction in the adult male rat. Kidney Int 58(3):1186–1201

    Article  CAS  PubMed  Google Scholar 

  32. Badid C, Vincent M, Fouque D, Laville M, Desmouliere A (2001) Myofibroblast: a prognostic marker and target cell in progressive renal disease. Ren Fail 23(3–4):543–549

    Article  CAS  PubMed  Google Scholar 

  33. Kisseleva T, Brenner DA (2008) Mechanisms of fibrogenesis. Exp Biol Med 233(2):109–122

    Article  CAS  Google Scholar 

  34. Sharma K, Cook A, Smith M, Valancius C, Inscho EW (2005) TGF-beta impairs renal autoregulation via generation of ROS. Am J Physiol Renal Physiol 288:F1069–F1077

    Article  CAS  PubMed  Google Scholar 

  35. Hewitson TD, Kelynack KJ, Tait MG, Martic M, Jones CL, Margolin SB et al (2001) Pirfenidone reduces in vitro rat renal fibroblast activation and mitogenesis. J Nephrol 14(6):453–460

    CAS  PubMed  Google Scholar 

  36. Ishidoya S, Morrissey J, McCracken R, Reyes A, Klahr S (1995) Angiotensin II receptor antagonist ameliorates renal tubulointerstitial fibrosis caused by unilateral ureteral obstruction. Kidney Int 47(5):1285–1294

    Article  CAS  PubMed  Google Scholar 

  37. Shihab FS, Bennett WM, Tanner AM, Andoh TF (1997) Angiotensin II blockade decreases TGF-beta1 and matrix proteins in cyclosporine nephropathy. Kidney Int 52(3):660–673

    Article  CAS  PubMed  Google Scholar 

  38. Finckenberg P, Lassila M, Inkinen K, Pere AK, Krogerus L, Lindgren L et al (2001) Cyclosporine induces myocardial connective tissue growth factor in spontaneously hypertensive rats on high-sodium diet. Transplantation 71(7):951–958

    Article  CAS  PubMed  Google Scholar 

Download references

Acknowledgments

This work was supported by the National Natural Science Foundation of China (Grant No. 30873110), by the Key Project of Science and Technology from the Ministry of Education (No. 107133), by the Key Project of the Natural Science Foundation (No. 07-JJ3056) of Hunan Province to Dr. Li-jian Tao. The technical help of Ji-ying Chen, Xuan Zheng, Jiao Qin, Ling Wang, Ling-hao Wang, and Wang-bin Ning is gratefully acknowledged.

Author information

Affiliations

Authors

Corresponding author

Correspondence to Li-jian Tao.

Rights and permissions

Reprints and Permissions

About this article

Cite this article

Li, Bx., Tang, Yt., Wang, W. et al. Fluorofenidone attenuates renal interstitial fibrosis in the rat model of obstructive nephropathy. Mol Cell Biochem 354, 263–273 (2011). https://doi.org/10.1007/s11010-011-0826-1

Download citation

  • Received:

  • Accepted:

  • Published:

  • Issue Date:

  • DOI: https://doi.org/10.1007/s11010-011-0826-1

Keywords

  • Fluorofenidone
  • Obstructive nephropathy
  • Renal interstitial fibrosis
  • Transforming growth factor-β1