Skip to main content

Expression, Crystallization and Preliminary X-ray Diffraction Analyses of Med-ORF10 in the Biosynthetic Pathway of an Antitumor Antibiotic Medermycin

Abstract

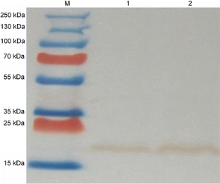
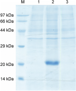
Medermycin, as a prominent member of benzoisochromanequinones, possesses strong antitumor activity and is biosynthesized under the control of a 29-ORF-containing biosynthetic gene cluster. Most of ORFs in this gene cluster have not been characterized, including a small protein encoding gene med-ORF10, proposed to play a regulatory role in biosynthesis of medermycin in an unknown mode. In this study, we reported the expression, protein preparation, crystallization and preliminary X-ray diffraction analyses of Med-ORF10 of the wild type Streptomyces strain. Firstly, we cloned and overexpressed med-ORF10 in Escherichia coli and purified the protein with 98 % purity and 3 mg/L yield. Then, we crystallized the protein at concentration of 20 mg/mL in condition 22 % PEG 3350, 0.2 M magnesium formate and collected the data at 1.78 Å resolution. Finally, we detected the expression of Med-ORF10 in Streptomyces by western blotting. In conclusion, this study confirmed the expression of Med-ORF10 protein in the wild-type strain of Streptomyces AM-7161 and collected the X-ray diffraction data of Med-ORF10 crystal at 1.78 Å resolution. These studies provide evidences for the functional Med-ORF10 protein in Streptomyces strains and facilitate our further investigation.

This is a preview of subscription content, access via your institution.

Fig. 1
Fig. 2
Fig. 3
Fig. 4
Fig. 5
Fig. 6

Abbreviations

MED:

Medermycin

ORF:

Open reading frame

BIQ:

Benzoisochromanequinones

ACT:

Actinorhodin

GRA:

Granaticin

E. coli :

Escherichia coli

References

  1. Ichinose K, Taguchi T, Ebizuka Y, Hopwood DA (1998) Biosynthetic gene clusters of benzoisochromanequinone Antibiotics in Streptomyces spp. identification of genes involved in post-PKS tailoring steps. Actinomycetologica 12:99–109

    Article  CAS  Google Scholar 

  2. Kakinuma S, Ikeda H, Omura S (1991) Genetic studies of the biosynthesis of kalafungin, a benzoisochromanequinone antibiotic. Tetrahedron 47:6059–6068

    Article  CAS  Google Scholar 

  3. Wang W, Wang H, Li A (2012) Biosynthesis of benzoisochromanequinones antibiotics from streptomycetes. Wei sheng wu xue bao = Acta Microbiol Sinica 52:541–549

    CAS  Google Scholar 

  4. Takano S, Hasuda K, Ito A, Koide Y, Ishii F, Haneda I, Chihara S, Koyama Y (1976) A new antibiotic, medermycin. J Antibiot 29:765–768

    Article  CAS  Google Scholar 

  5. Okabe T, Nomoto K, Funabashi H, Okuda S, Suzuki H, Tanaka N (1985) Lactoquinomycin, a novel anticancer antibiotic. II. Physico-chemical properties and structure assignment. J Antibiot 38:1333–1336

    Article  CAS  Google Scholar 

  6. Tanaka N, Okabe T, Isono F, Kashiwagi M, Nomoto K, Takahashi M, Shimazu A, Nishimura T (1985) Lactoquinomycin, a novel anticancer antibiotic. I. Taxonomy, isolation and biological activity. J Antibiot 38:1327–1332

    Article  CAS  Google Scholar 

  7. Tatsuta K, Ozeki H, Yamaguchi M, Tanaka M, Okui T (1990) Enantioselective total synthesis of medermycin (lactoquinomycin). Tetrahedron Lett 31:5495–5498

    Article  CAS  Google Scholar 

  8. Fayard E, Tintignac LA, Baudry A, Hemmings BA (2005) Protein kinase B/Akt at a glance. J Cell Sci 118:5675–5678

    Article  CAS  Google Scholar 

  9. Toral-Barza L, Zhang WG, Huang X, McDonald LA, Salaski EJ, Barbieri LR, Ding WD, Krishnamurthy G, Hu YB, Lucas J (2007) Discovery of lactoquinomycin and related pyranonaphthoquinones as potent and allosteric inhibitors of AKT/PKB: mechanistic involvement of AKT catalytic activation loop cysteines. Mol Cancer Ther 6:3028–3038

    Article  CAS  Google Scholar 

  10. Salaski EJ, Krishnamurthy G, Ding WD, Yu K, Insaf SS, Eid C, Shim J, Levin JI, Tabei K, Toral-Barza L (2009) Pyranonaphthoquinone lactones: a new class of AKT selective kinase inhibitors alkylate a regulatory loop cysteine. J Med Chem 52:2181–2184

    Article  CAS  Google Scholar 

  11. Ichinose K, Ozawa M, Itou K, Kunieda K, Ebizuka Y (2003) Cloning, sequencing and heterologous expression of the medermycin biosynthetic gene cluster of Streptomyces sp. AM-7161: towards comparative analysis of the benzoisochromanequinone gene clusters. Microbiology 149:1633–1645

    Article  CAS  Google Scholar 

  12. Ozawa M, Taguchi T, Itoh T, Ebizuka Y, Booker-Milburn KI, Stephenson GR, Ichinose K (2003) Structure and biosynthetic implication of (S)-NHAB, a novel shunt product, from a disruptant of the actVI-ORFA gene for actinorhodin biosynthesis in Streptomyces coelicolor A3 (2). Tetrahedron 59:8793–8798

    Article  CAS  Google Scholar 

  13. Li A, Itoh T, Taguchi T, Xiang T, Ebizuka Y, Ichinose K (2005) Functional studies on a ketoreductase gene from Streptomyces sp. AM-7161 to control the stereochemistry in medermycin biosynthesis. Bioorg Med Chem 13:6856–6863

    Article  CAS  Google Scholar 

  14. Taguchi T, Okamoto S, Lezhava A, Li A, Ochi K, Ebizuka Y, Ichinose K (2007) Possible involvement of ActVI-ORFA in transcriptional regulation of ActVI tailoring-step genes for actinorhodin biosynthesis. FEMS Microbiol Lett 269:234–239

    Article  CAS  Google Scholar 

  15. Lü J, He Q, Huang L, Cai X, Guo W, He J, Zhang L, Li A (2015) Accumulation of a bioactive benzoisochromanequinone compound kalafungin by a wild type antitumor-medermycin-producing streptomycete strain. PLoS ONE 10:e0117690

    Article  Google Scholar 

  16. Kieser T, Bibb M, Buttner M, Chater K, Hopwood D (2000) Practical Streptomyces genetics. The John Innes Foundation, Norwich

    Google Scholar 

  17. Otwinowski Z, Minor W, Charles Carter W Jr (1997) Processing of X-ray diffraction data collected in oscillation mode. Methods Enzymol 276C:307–326

    Article  Google Scholar 

  18. Taguchi T, Itou K, Ebizuka Y, Malpartida F, Hopwood DA, Surti CM, Booker-Milburn KI, Stephenson GR, Ichinose K (2000) Chemical characterisation of disruptants of the Streptomyces coelicolor A3 (2) ActVI genes involved in actinorhodin biosynthesis. J Antibiot 53:144–152

    Article  Google Scholar 

  19. Sun R, Liu M, Gong C, Wang W, Zeng A, Li A (2012) Expression detection of med-ORF12 encoding a stereochemical ketoreductase possibly involved in medermycin biosynthesis. Wei sheng wu xue bao = Acta Microbiol Sinica 52:60–68

    CAS  Google Scholar 

Download references

Acknowledgments

We are grateful to Prof. Ichinose Koji for the generous gift of plasmid pIK340. We would like to thank Aiping Dong for collecting the data and revising the manuscript. Results shown in this report are derived from work performed at Argonne National Laboratory, Structural Biology Center at the Advanced Photon Source. This study was supported by the project of Hubei Key Laboratory of Genetic Regulation and Integrative Biology (GRIB201403) and the Fundamental Research Funds for the Central Universities (No. CCNU15A05036).Thanks for financial supports by the National Natural Science Foundation of China (Nos. 31500613, 31170050) and the Xinjiang production and construction corps key laboratory of protection and utilization of biological resources in Tarim Basin (No. BRZD1401).

Author Contributions

Yanli Liu, Shasha Liu and Ke Liu purified, crystallized the protein and conducted the statistics analyses of the diffraction data; Tingting Yang, Xiaoxia Guo and Yali Jiang cloned the gene; Jinlin Liu and Jihong Yang performed western blotting of Med-ORF10; Haobin Zhao and Yi Yang made the table and figures; Chao Qi and Aiying Li conceived of and designed the experiment; Yanli Liu, Aiying Li, Kashif Rafiq Zahid and Chao Qi wrote the paper.

Author information

Affiliations

Authors

Corresponding authors

Correspondence to Aiying Li or Chao Qi.

Ethics declarations

Conflict of interest

The authors declare no conflict of interest.

Rights and permissions

Reprints and Permissions

About this article

Verify currency and authenticity via CrossMark

Cite this article

Liu, Y., Liu, S., Yang, T. et al. Expression, Crystallization and Preliminary X-ray Diffraction Analyses of Med-ORF10 in the Biosynthetic Pathway of an Antitumor Antibiotic Medermycin. Protein J 34, 404–410 (2015). https://doi.org/10.1007/s10930-015-9635-9

Download citation

  • Published:

  • Issue Date:

  • DOI: https://doi.org/10.1007/s10930-015-9635-9

Keywords

  • Med-ORF10
  • Gene cloning
  • Expression and purification
  • Crystallization
  • X-ray diffraction