Skip to main content

Molecular Cloning and Expression of α-Globin and β-Globin Genes from Crocodile (Crocodylus siamensis)

Abstract

The first report of complete nucleotide sequences for α- and β-globin chains from the Siamese hemoglobin (Crocodylus siamensis) is given in this study. The cDNAs encoding α- and β-globins were cloned by RT-PCR using the degenerate primers and by the rapid amplification of cDNA ends method. The full-length α-globin cDNA contains an open reading frame of 423 nucleotides encoding 141 amino acid residues, whereas the β-globin cDNA contains an open reading frame of 438 nucleotides encoding 146 amino acid residues. The authenticity of both α- and β-globin cDNA clones were also confirmed by the heterologous expression in Escherichia coli (E. coli). This is the first time that the recombinant C. siamensis globins were produced in prokaryotic system. Additionally, the heme group was inserted into the recombinant proteins and purified heme-bound proteins were performed by affinity chromatography using Co2+-charged Talon resins. The heme-bound proteins appeared to have a maximum absorbance at 415 nm, indicated that the recombinant proteins bound to oxygen and formed active oxyhemoglobin (HbO2). The results indicated that recombinant C. siamensis globins were successfully expressed in prokaryotic system and possessed an activity as ligand binding protein.

This is a preview of subscription content, access via your institution.

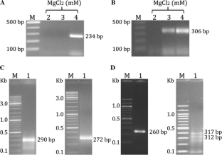
Fig. 1
Fig. 2
Fig. 3
Fig. 4
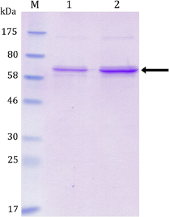
Fig. 5
Fig. 6

Abbreviations

GSP:

Gene specific primers

Hb:

Hemoglobin

IPTG:

Isopropyl-β-D-thiogalactopyranoside

RACE-PCR:

Rapid amplification of cDNA ends

References

  1. Alam SL, Dutton DP, Satterlee JD (1994) Biochem 33:10337–10344

    Article  CAS  Google Scholar 

  2. Altschul S, Madden T, Schaffer A, Zhang J, Zhang Z, Miller W, Lipman D (1997) Nucleic Acids Res 25:3389–3402

    Article  CAS  Google Scholar 

  3. Bonini-Domingos CR, Silva MB, Romero RM, Zamaro PJA, Ondei LS, Zago CES, Moreira SB, Salgado CG (2007) Genet Mol Res 6:415–421

    CAS  Google Scholar 

  4. Bordin S, Meza AN, Saad STO, Ogo SH, Costa FF (1997) Biochem Mol Biol Int 42:255–260

    CAS  Google Scholar 

  5. Brunori M, Cutruzzola F, Vallone B (1995) Curr Biol 5:462–465

    Article  CAS  Google Scholar 

  6. Bunn HF, Forget BG (1986) Animal Hemoglobin. In: John D (ed) Hemoglobin: molecular, genetic and clinical aspects in reptile. W. B. Saunders Company, Philadelphia, pp 151–152

  7. Dafre AL, Brandao TAS, Reischl E (2007) J Zoology 85:404–412(409)

    Google Scholar 

  8. Deng L, Pan X, Wang Y, Wang L, Zhou XE, Li M, Feng Y, Wu Q, Wang B, Huang N (2009) Hum Reprod 24:211–218

    Article  CAS  Google Scholar 

  9. Falk JE (1964) Dynamic coordination chemistry of metalloporphyrins. In: Peter H (ed) Porphyrins and Metalloporphyrins. Elsevier, Amsterdam, p 240

  10. Hoffman B, Key B, Ofer B, Kiryat T (2002) In (United States) US 6,340,667

  11. Jandaruang J, Siritapetawee J, Thumanu K, Songsiriritthigul C, Krittanai C, Daduang S, Dhiravisit A, Thammasirirak S (2012) Protein J 31:43–50

    Article  CAS  Google Scholar 

  12. Kleinschmidt T, Sgouros J (1987) Biol Chem Hoppe Seyler 368:579–615

    Article  CAS  Google Scholar 

  13. Komiyama N, Nagai K (1999) In (United States) US 5,942,488

  14. Komiyama NH, Miyazaki G, Tame J, Nagai K (1995) Nature 373:244–246

    Article  CAS  Google Scholar 

  15. Liepke C, Baxmann S, Heine C, Breithaupt N, Standker L, Forssmann WG (2003) J Chromatogr B 791:345–356

    Article  CAS  Google Scholar 

  16. Melo MB, Bordin S, Duarte ASS, Ogo SH, Torsoni MA, Saad STO, Costa FF (2003) Comp Biochem Physiol Part B 134:389–395

    Article  Google Scholar 

  17. Merchant M, Pallansch M, Paulman R, Wells J, Nalca A, Ptak R (2005) Antiviral Res 66:35–38

    Article  CAS  Google Scholar 

  18. Merchant M, Roche C, Elsey R, Prudhomme J (2003) Comp Biochem Physiol Part B 136:505–513

    Article  Google Scholar 

  19. Merchant M, Thibodeaux D, Loubser K, Elsey R (2004) J Parasitol 90:1480–1483

    Article  Google Scholar 

  20. Mook CC (1921) Bull Am Mus Nat Hist XLIV:67–100

    Google Scholar 

  21. Nedjar-Arroume N, Dubois-Delval V, Adje EY, Traisnel J, Krier F, Mary P, Kouach M, Briand G, Guillochon D (2008) Peptides 29:969–977

    Article  CAS  Google Scholar 

  22. Oinuma KI, Hashimoto Y, Konishi K, Goda M, Noguchi T, Higashibata H, Kobayashi K (2003) J Biol Chem 278:29600–29608

    Article  CAS  Google Scholar 

  23. Pata S, Yaraksa N, Daduang S, Temsiripong Y, Svasti J, Araki T, Thammasirirak S (2011) Dev Comp Immunol 35:545–553

    Article  CAS  Google Scholar 

  24. Preecharram S, Daduang S, Bunyatratchata W, Araki T, Thammasirirak S (2008) Afr Biotechnol 7:3121–3128

    CAS  Google Scholar 

  25. Preecharram S, Jearranaiprepame P, Daduang S, Temsiripong Y, Somdee T, Fukamizo T, Svasti J, Araki T, Thammasirirak S (2010) Anim Sci J 81:393–401

    Article  CAS  Google Scholar 

  26. Rajesh R, Pattabhi V (2003–2004) ICA New Lett

  27. Shaharbanay M, Gollop N, Ravin S, Golomb E, Demarco L, Ferriera PC, Boson WL, Friedman E (1999) J Antimicrob Chemother 44:416–418

    Article  Google Scholar 

  28. Shishikura F (2002) Zool Sci 19:197–206

    Article  CAS  Google Scholar 

  29. Siegel LM, Murphy MJ, Kamin H (1973) J Biol Chem 248:251–264

    CAS  Google Scholar 

  30. Siroski PA, Pina CI, Larriera A, Merchant ME, Conza JD (2009) Zool Stud 48:238–242

    Google Scholar 

  31. Srihongthong S, Pakdeesuwan A, Daduang S, Araki T, Dhiravisit A, Thammasirirak S (2012) Protein J 31:466–476

    Article  CAS  Google Scholar 

  32. Sun Q, Luo Y, Shen H, Li X, Yao L (2012) Food Sci Technol 47:148–154

    CAS  Google Scholar 

  33. Tamura K, Dudley J, Nei M, Kumar S (2007) Mol Biol Evol 24:1596–1599

    Article  CAS  Google Scholar 

Download references

Acknowledgments

This research was supported by the Royal Golden Jubilee (RGJ) Ph.D Program of Thailand Research Fund and National Research University Project of Thailand, Office of the Higher Education Commission through financial support. We would also like to thank the Protein and Proteomics Research Group at the Department of Biochemistry, Faculty of Science, Khon Kaen University, Mahidol University, Thailand and Department of Bioscience, School of Agriculture, Tokai University, Japan for their supports. We wish to acknowledge the support of the Khon Kaen University Publication Clinic, Research and Technology Transfer Affairs, Khon Kaen University, for their assistance.

Author information

Affiliations

Authors

Corresponding author

Correspondence to Sompong Thammasirirak.

Rights and permissions

Reprints and Permissions

About this article

Cite this article

Anwised, P., Kabbua, T., Temsiripong, T. et al. Molecular Cloning and Expression of α-Globin and β-Globin Genes from Crocodile (Crocodylus siamensis). Protein J 32, 172–182 (2013). https://doi.org/10.1007/s10930-013-9474-5

Download citation

  • Published:

  • Issue Date:

  • DOI: https://doi.org/10.1007/s10930-013-9474-5

Keywords

  • Crocodilians
  • cDNA cloning
  • Hemoglobin
  • Heme insertion
  • Protein expression