Skip to main content

Phosphorylation of Recombinant Tristetraprolin In vitro

Abstract

Tristetraprolin/zinc finger protein 36 (TTP/ZFP36) binds and destabilizes some proinflammatory cytokine mRNAs. TTP-deficient mice develop a profound inflammatory syndrome due to excessive production of proinflammatory cytokines. TTP gene expression is induced by various factors including insulin, cinnamon, and green tea extracts. Previous studies have shown that TTP is highly phosphorylated in vivo and multiple phosphorylation sites are identified in human TTP. This study evaluated the potential protein kinases that could phosphorylate recombinant TTP in vitro. Motif scanning suggested that TTP was a potential substrate for various kinases. SDS-PAGE showed that in vitro phosphorylation of TTP with p42 and p38 MAP kinases resulted in visible electrophoretic mobility shift of TTP to higher molecular masses. Autoradiography showed that TTP was phosphorylated in vitro by GSK3b, PKA, PKB, PKC, but not Cdc2, in addition to p42, p38, and JNK. These results demonstrate that TTP is a substrate for a number of protein kinases in vitro.

This is a preview of subscription content, access via your institution.

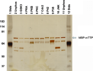
Fig. 1
Fig. 2
Fig. 3
Fig. 4

Abbreviations

TTP:

Tristetraprolin

hTTP:

Human TTP

mTTP:

Mouse TTP

ARE:

AU-rich element

Cdc2:

Cyclin-dependent kinase 2

CIAP:

Calf intestine alkaline phosphatase

GSK3b:

Glycogen synthase kinase 3B

JNK:

c-Jun-N-terminal kinase

LPS:

Lipopolysaccharide

MAPK:

Mitogen-activated protein kinase

MBP:

Maltose binding protein

MK2:

MAP kinase-activated protein kinase 2

PK:

Protein kinase

SDS-PAGE:

Sodium dodecyl sulfate-polyacrylamide gel electrophoresis

TNF:

Tumor necrosis factor alpha

ZFP:

Zinc finger protein

ZFP36L:

ZFP36-like

References

  1. Blackshear PJ (2002) Biochem Soc Trans 30:945–952

    Article  CAS  Google Scholar 

  2. Blackshear PJ, Phillips RS, Ghosh S, Ramos SB, Richfield EK, Lai WS (2005) Biol Reprod 73:297–307

    Article  CAS  Google Scholar 

  3. Blackshear PJ, Lai WS, Kennington EA, Brewer G, Wilson GM, Guan X, Zhou P (2003) J Biol Chem 278:19947–19955

    Article  CAS  Google Scholar 

  4. Cao H, Dzineku F, Blackshear PJ (2003) Arch Biochem Biophys 412:106–120

    Article  CAS  Google Scholar 

  5. Cao H (2004) Biochemistry 43:13724–13738

    Article  CAS  Google Scholar 

  6. Carballo E, Lai WS, Blackshear PJ (1998) Science 281:1001–1005

    Article  CAS  Google Scholar 

  7. Carballo E, Cao H, Lai WS, Kennington EA, Campbell D, Blackshear PJ (2001) J Biol Chem 276:42580–42587

    Article  CAS  Google Scholar 

  8. Phillips K, Kedersha N, Shen L, Blackshear PJ, Anderson P (2004) Proc Natl Acad Sci USA 101:2011–2016

    Article  CAS  Google Scholar 

  9. Worthington MT, Pelo JW, Sachedina MA, Applegate JL, Arseneau KO, Pizarro TT (2002) J Biol Chem 277:48558–48564

    Article  CAS  Google Scholar 

  10. Lai WS, Carballo E, Strum JR, Kennington EA, Phillips RS, Blackshear PJ (1999) Mol Cell Biol 19:4311–4323

    CAS  Google Scholar 

  11. Lai WS, Kennington EA, Blackshear PJ (2003) Mol Cell Biol 23:3798–3812

    Article  CAS  Google Scholar 

  12. Taylor GA, Carballo E, Lee DM, Lai WS, Thompson MJ, Patel DD, Schenkman DI, Gilkeson GS, Broxmeyer HE, Haynes BF, Blackshear PJ (1996) Immunity 4:445–454

    Article  CAS  Google Scholar 

  13. Carballo E, Lai WS, Blackshear PJ (2000) Blood 95:1891–1899

    CAS  Google Scholar 

  14. DuBois RN, McLane MW, Ryder K, Lau LF, Nathans D (1990) J Biol Chem 265:19185–19191

    CAS  Google Scholar 

  15. Lai WS, Stumpo DJ, Blackshear PJ (1990) J Biol Chem 265:16556–16563

    CAS  Google Scholar 

  16. Varnum BC, Ma QF, Chi TH, Fletcher B, Herschman HR (1991) Mol Cell Biol 11:1754–1758

    CAS  Google Scholar 

  17. Cao H, Tuttle JS, Blackshear PJ (2004) J Biol Chem 279:21489–21499

    Article  CAS  Google Scholar 

  18. Cao H, Kelly MA, Kari F, Dawson HD, Urban JF Jr, Coves S, Roussel AM, Anderson RA (2007a) J Inflamm (Lond) 4:1–12

    Article  CAS  Google Scholar 

  19. Cao H, Polansky MM, Anderson RA (2007b) Arch Biochem Biophys 459:214–222

    Article  CAS  Google Scholar 

  20. Taylor GA, Thompson MJ, Lai WS, Blackshear PJ (1995) J Biol Chem 270:13341–13347

    Article  CAS  Google Scholar 

  21. Zhu W, Brauchle MA, Di Padova F, Gram H, New L, Ono K, Downey JS, Han J (2001) Am J Physiol Lung Cell Mol Physiol 281:499–508

    Google Scholar 

  22. Chrestensen CA, Schroeder MJ, Shabanowitz J, Hunt DF, Pelo JW, Worthington MT, Sturgill TW (2004) J Biol Chem 279:10176–10184

    Article  CAS  Google Scholar 

  23. Mahtani KR, Brook M, Dean JL, Sully G, Saklatvala J, Clark AR (2001) Mol Cell Biol 21:6461–6469

    Article  CAS  Google Scholar 

  24. Ming XF, Stoecklin G, Lu M, Looser R, Moroni C (2001) Mol Cell Biol 21:5778–5789

    Article  CAS  Google Scholar 

  25. Stoecklin G, Stubbs T, Kedersha N, Wax S, Rigby WF, Blackwell TK, Anderson P (2004) EMBO J 23:1313–1324

    Article  CAS  Google Scholar 

  26. Cao H, Deterding LJ, Venable JD, Kennington EA, Yates JR III, Tomer KB, Blackshear PJ (2006) Biochem J 394:285–297

    Article  CAS  Google Scholar 

  27. Cao H, Deterding LJ, Blackshear PJ (2007) Expert Rev Proteomics 4:711–726

    Article  CAS  Google Scholar 

  28. Obenauer JC, Cantley LC, Yaffe MB (2003) Nucl Acids Res 31:3635–3641

    Article  CAS  Google Scholar 

  29. Yaffe MB, Leparc GG, Lai J, Obata T, Volinia S, Cantley LC (2001) Nat Biotechnol 19:348–353

    Article  CAS  Google Scholar 

  30. Pearson G, Robinson F, Beers Gibson T, Xu BE, Karandikar M, Berman K, Cobb MH (2001) Endocr Rev 22:153–183

    Article  CAS  Google Scholar 

  31. Hawkins J, Zheng S, Frantz B, LoGrasso P (2000) Arch Biochem Biophys 382:310–313

    Article  CAS  Google Scholar 

  32. Blom N, Sicheritz-Ponten T, Gupta R, Gammeltoft S, Brunak S (2004) Proteomics 4:1633–1649

    Article  CAS  Google Scholar 

  33. Frame S, Cohen P (2001) Biochem J 359:1–16

    Article  CAS  Google Scholar 

  34. Nishikawa K, Toker A, Johannes F-J, Songyang Z, Cantley L (1997) J Biol Chem 272:952–960

    Article  CAS  Google Scholar 

  35. Rangel-Aldao R, Kupiec JW, Rosen OM (1979) J Biol Chem 254:2499–2508

    CAS  Google Scholar 

  36. Rodriguez P, Bhogal MS, Colyer J (2003) J Biol Chem 278:38593–38600

    Article  CAS  Google Scholar 

  37. Kapust RB, Waugh DS (1999) Protein Sci 8:1668–1674

    CAS  Article  Google Scholar 

  38. Liu Y, Manna A, Li R, Martin WE, Murphy RC, Cheung AL, Zhang G (2001) Proc Natl Acad Sci USA 98:6877–6882

    Article  CAS  Google Scholar 

  39. Hitti E, Iakovleva T, Brook M, Deppenmeier S, Gruber AD, Radzioch D, Clark AR, Blackshear PJ, Kotlyarov A, Gaestel M (2006) Mol Cell Biol 26:2399–2407

    Article  CAS  Google Scholar 

  40. Brook M, Tchen CR, Santalucia T, McIlrath J, Arthur JS, Saklatvala J, Clark AR (2006) Mol Cell Biol 26:2408–2418

    Article  CAS  Google Scholar 

  41. Johnson BA, Stehn JR, Yaffe MB, Blackwell TK (2002) J Biol Chem 277:18029–18036

    Article  CAS  Google Scholar 

  42. Sun L, Stoecklin G, Van WS, Hinkovska-Galcheva V, Guo RF, Anderson P, Shanley TP (2007) J Biol Chem 282:3766–3777

    Article  CAS  Google Scholar 

Download references

Acknowledgements

This work was supported in part by USDA-ARS Human Nutrition Research Program and NIH-NIEHS Intramural Research Program. A preliminary report of this study was presented at the Experimental Biology 2006 in San Francisco, California, on April 1–5, 2006. We greatly appreciate Dr. Perry J. Blackshear (NIH/NIEHS) for his generous support. We also thank Dr. Joseph F. Urban Jr. (USDA/ARS) for his helpful comments on the manuscript.

Author information

Affiliations

Authors

Corresponding author

Correspondence to Heping Cao.

Rights and permissions

Reprints and Permissions

About this article

Cite this article

Cao, H., Lin, R. Phosphorylation of Recombinant Tristetraprolin In vitro. Protein J 27, 163–169 (2008). https://doi.org/10.1007/s10930-007-9119-7

Download citation

  • Published:

  • Issue Date:

  • DOI: https://doi.org/10.1007/s10930-007-9119-7

Keywords

  • Glycogen synthase kinase 3b
  • Inflammation
  • Phosphorylation
  • Protein kinase
  • Recombinant protein
  • Tristetraprolin
  • Zinc finger protein