Skip to main content

A Review of Breast Ultrasound

Abstract

Frequent advances in transducer design, electronics, computers, and signal processing have improved the quality of ultrasound images to the extent that sonography is now a major mode of imaging for the clinical diagnosis of breast cancer. Breast ultrasound is routinely used for differentiating cysts and solid nodules with high specificity. In combination with mammography, ultrasound is used to characterize solid masses as benign or malignant. There is growing interest in using Doppler ultrasound and contrast agents for measuring tumor blood flow and for imaging tumor vascularity. Ease of use and real-time imaging capability make breast ultrasound a method of choice for guiding breast biopsies and other interventional procedures. Breast ultrasound is used in many forms. B-mode is the most common form of imaging for the breast, although compound imaging and harmonic imaging are being increasingly applied to better visualize breast lesions and to reduce image artifacts. These developments, together with the formulation of a standardized lexicon of solid mass features, have improved the diagnostic performance of breast ultrasound. Several approaches that are currently being investigated to further improve performance include: (1) computer-aided-diagnosis; (2) the assessment of tumor vascularity and tumor blood flow with Doppler ultrasound and contrast agents; and (3) tissue elasticity imaging. In the future, ultrasound will play a greater role in differentiating benign from malignant masses and in the diagnosis of breast cancer.

This is a preview of subscription content, access via your institution.

Figure 1
Figure 2
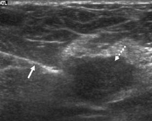
Figure 3
Figure 4
Figure 5
Figure 6
Figure 7

Abbreviations

CAD:

computer-aided-diagnosis

DCIS:

ductal carcinoma in situ

ROC:

receiver operating characteristics

References

  1. Wild JJ. The scientific discovery of sonic reflection by soft tissues and application of ultrasound to diagnostic medicine and tumor screening. Third Meeting of the World Federation for Ultrasound in Medicine and Biology (Scientific Exhibit Section) Brighton, England—July 1982. (Cantab) Medico-Technological Research Institute of Minneapolis, Minneapolis, Minnesota, USA

  2. Sabel M, Aichinger H. Recent developments in breast imaging. Phys Med Biol 1996;41:315–68.

    PubMed  CAS  Article  Google Scholar 

  3. Wade G. Ultrasonic imaging by reconstructive tomography. Acoust Imag 1980;9:379–431.

    Google Scholar 

  4. Greenleaf JF, Bahn RC. Clinical imaging with transmission ultrasonic computerized tomography. IEEE Trans Biomed Eng BME 1981;28:177–85.

    CAS  Google Scholar 

  5. Hiller D, Ermert H. Ultrasound computerized tomography using transmission and reflection mode: application to medical diagnosis. Acoust Imag 1982;12:553–64.

    Google Scholar 

  6. Schreiman JS, Gisvold JJ, Greenleaf JF, Bahn RC. Ultrasound transmission computed tomography of the breast. Radiology 1984;150:523–30.

    PubMed  CAS  Google Scholar 

  7. Scherzinger AL, Belgam RA, Carson PL, Meyer CR, Sutherland JV, Bookstein FL, et al. Assessment of ultrasonic computed tomography in symptomatic breast patients by discriminant analysis. Ultrasound Med Biol 1989;15:21–8.

    PubMed  CAS  Article  Google Scholar 

  8. Friedrich M, Hundt E, Maderlechner G. Computerized ultrasound echo tomography of the breast. Eur J Radiol 1982;2:78–87.

    PubMed  CAS  Google Scholar 

  9. Kremkau FW. Diagnostic ultrasound: principles and instruments. 5th ed. Philadelphia: WB Saunders; 1984.

    Google Scholar 

  10. Hedrick WR, Hykes DL, Starchman DE. Ultrasound physics and instrumentation. 3rd ed. St Louis: Mosby; 1995.

    Google Scholar 

  11. Zagzebski JA. Essentials of ultrasound physics. St Louis: Mosby; 1996.

    Google Scholar 

  12. Stavros AT. Breast ultrasound. Philadelphia: Williams and Wilkins; 2004.

    Google Scholar 

  13. Helmut M. The practice of breast ultrasound: techniques, findings, differential diagnosis. New York: Thieme; 2000.

    Google Scholar 

  14. Bassett LW, Kimme-Smith C, Sutherland LK, Gold RH, Sarti D, King W, 3rd. Automated and hand-held breast US: effect on patient management. Radiology 1987;165:103–8.

    PubMed  CAS  Google Scholar 

  15. Bassett LW, Ysrael M, Gold RH, Ysrael C. Usefulness of mammography and sonography in women less than 35 years of age. Radiology 1991;180:831–5.

    PubMed  CAS  Google Scholar 

  16. Lamas AM, Horwitz RI, Peck D. Usefulness of mammography in the diagnosis and management of breast disease in postmenopausal women. JAMA 1984;252:2999–3002.

    PubMed  CAS  Article  Google Scholar 

  17. Venta LA, Dudiak CM, Salomon CG, Flisak ME. Sonographic evaluation of the breast. Radiographics 1994;14:29–50.

    PubMed  CAS  Google Scholar 

  18. Jackson VP. The current role of ultrasonography in breast imaging. Radiol clin North Am 1995;33:1161–70.

    PubMed  CAS  Google Scholar 

  19. Bassett LW, Kimme-Smith C. Breast sonography. Am J Roentgenol 1991;156:449–55.

    CAS  Google Scholar 

  20. Hogg JP, Harris KM, Skolnick ML. The role of ultrasound-guided needle aspiration of breast masses. Ultrasound Med Biol 1988;14 Suppl 1:13–21.

    PubMed  Article  Google Scholar 

  21. Nightingale KR, Kornguth PJ, Trahey GE. The use of acoustic streaming in breast lesion diagnosis: a clinical study. Ultrasound Med Biol 1999;25:75–87.

    PubMed  CAS  Article  Google Scholar 

  22. Gordon PB, Goldenberg SL. Malignant breast masses detected only by ultrasound. A retrospective review. Cancer 1995;76:626–30.

    PubMed  CAS  Article  Google Scholar 

  23. Kopans DB, Feig SA, Sickles EA. Malignant breast masses detected only by ultrasound: a retrospective review. Cancer 1996;77:208–9.

    PubMed  CAS  Article  Google Scholar 

  24. Kolb TM, Lichy J, Newhouse JH. Occult cancer in women with dense breasts: detection with screening US-diagnostic yield and tumor characteristics. Radiology 1998;207:191–9.

    PubMed  CAS  Google Scholar 

  25. Berg WA. Rationale for a trial of screening breast ultrasound: American College of Radiology Imaging Network (ACRIN). Am J Roentgenol 2003;180:1225–8.

    Google Scholar 

  26. Drukker K, Giger ML, Mendelson EB. Computerized analysis of shadowing on breast ultrasound for improved lesion detection. Med Phys 2003;30:1833–42.

    PubMed  Article  Google Scholar 

  27. Jackson VP, Reynolds HE, Hawes DR. Sonography of the breast. Semin Ultrasound CT MR 1996;17:460–75.

    PubMed  CAS  Article  Google Scholar 

  28. Stavros AT, Thickman D, Rapp CL, Dennis MA, Parker SH, Sisney GA. Solid breast nodules: use of sonography to distinguish between benign and malignant lesions. Radiology 1995;196:123–34.

    PubMed  CAS  Google Scholar 

  29. Jackson VP. Management of solid breast nodules: what is the role of sonography? Radiology 1995;196:14–5.

    PubMed  CAS  Google Scholar 

  30. Paulinelli RR, Freitas-Junior R, Moreira MA, Moraes VA, Bernardes-Junior JR, Vidal CS, et al. Risk of malignancy in solid breast nodules according to their sonographic features. J Ultrasound Med 2005;24:635–41.

    PubMed  Google Scholar 

  31. Arger PH, Sehgal CM, Conant EF, Zuckerman J, Rowling SE, Patton JA, et al. Interreader variability and predictive value of US descriptions of solid breast masses: pilot study. Acad Radiol 2001;8:335–42.

    PubMed  CAS  Article  Google Scholar 

  32. American College of Radiology. BI-RADS: Ultrasound, 1st ed. In: Breast imaging reporting and data system: BI-RADS atlas, 4th ed. Reston, Virginia: American College of Radiology; 2003.

    Google Scholar 

  33. Mendelson EB, Berg WA, Merritt CRB. Toward a standardized breast ultrasound lexicon, BI-RADS: ultrasound. Semin Roentgenol 2001;36:217–25.

    PubMed  CAS  Article  Google Scholar 

  34. Baker JA, Kornguth PJ, Soo MS, Walsh R, Mengoni P. Sonography of solid breast lesions: observer variability of lesion description and assessment. Am J Roentgenol 1999;172:1621–5.

    CAS  Google Scholar 

  35. Hong AS, Rosen EL, Soo MS, Baker JA. BI-RADS for sonography: positive and negative predictive values of sonographic features. Am J Roentgenol 2005;184:1260–5.

    Google Scholar 

  36. Kuo WJ, Chang RF, Moon WK. Computer aided diagnosis of breast tumors with different US systems. Acad Radiol 2002;9:793–9.

    PubMed  Article  Google Scholar 

  37. Horsch K, Giger ML, Vyborny CJ, Venta LA. Performance of computer-aided diagnosis in the interpretation of lesions on breast sonography. Acad Radiol 2004;11:272–80.

    PubMed  Article  Google Scholar 

  38. Goldberg V, Manduca A, Ewert DL, Gisvold JJ, Greenleaf JF. Improvement in specificity of ultrasonography for diagnosis of breast tumors by means of artificial intelligence. Med Phys 1992;19:1475–81.

    PubMed  CAS  Article  Google Scholar 

  39. Koyama S, Obata Y, Shimamoto K, Ishigaki T, Ishii N, Isomoto Y, et al. Breast ultrasonography: computer-aided diagnosis using fuzzy inference. J Ultrasound Med 1997;16:665–72.

    PubMed  CAS  Google Scholar 

  40. Chen DR, Chang RF, Huang YL. Computer-aided diagnosis applied to US of solid breast nodules by using neural networks. Radiology 1999;213:407–12.

    PubMed  CAS  Google Scholar 

  41. Chen DR, Kuo WJ, Chang RF, Moon WK, Lee CC. Use of the bootstrap technique with small training sets for computer-aided diagnosis in breast ultrasound. Ultrasound Med Biol 2002;28:897–902.

    PubMed  CAS  Article  Google Scholar 

  42. Kuo WJ, Chang RF, Lee CC, Moon WK, Chen DR. Retrieval technique for the diagnosis of solid breast tumors on sonogram. Ultrasound Med Biol 2002;28:903–9.

    PubMed  Article  Google Scholar 

  43. Shankar PM, Dumane VA, Piccoli CW, Reid JM, Forsberg F, Goldberg BB. Classification of breast masses in ultrasonic B-mode images using a compounding technique in the Nakagami distribution domain. Ultrasound Med Biol 2002;28:1295–1300.

    PubMed  CAS  Article  Google Scholar 

  44. Sahiner B, Chan HP, Roubidoux MA, Helvie MA, Hadjiiski LM, Ramachandran A, et al. Computerized characterization of breast masses on three-dimensional ultrasound volumes. Med Phys 2004;31:744–54.

    PubMed  Article  Google Scholar 

  45. Dumane VA, Shankar PM, Piccoli CW, Reid JM, Forsberg F, Goldberg BB. Computer aided classification of masses in ultrasonic mammography. Med Phys 2002;29:1968–73.

    PubMed  CAS  Article  Google Scholar 

  46. Chen CM, Chou YH, Han KC, Hung GS, Tiu CM, Chiou HJ, et al. Breast lesions on sonograms: computer-aided diagnosis with nearly setting-independent features and artificial neural networks. Radiology 2003;226:504–14.

    PubMed  Google Scholar 

  47. Drukker K, Giger ML, Vyborny CJ, Mendelson EB. Computerized detection and classification of cancer on breast ultrasound. Acad Radiol 2004;11:526–35.

    PubMed  Article  Google Scholar 

  48. Sehgal CM, Cary TW, Kangas SA, Weinstein SP, Schultz SM, Arger PH, et al. Computer-based margin analysis of breast sonography for differentiating malignant and benign masses. J Ultrasound Med 2004;23:1201–9.

    PubMed  Google Scholar 

  49. Piliouras N, Kalatzis I, Dimitropoulos N, Cavouras D. Development of the cubic least squares mapping linear-kernel support vector machine classifier for improving the characterization of breast lesions on ultrasound. Comput Med Imaging Graph 2004;28:247–55.

    PubMed  CAS  Article  Google Scholar 

  50. Cary TW, Conant EF, Arger PH, Sehgal CM. Diffuse boundary extraction of breast masses on ultrasound by leak plugging. Med Phys 2005;32:3318–28.

    PubMed  CAS  Article  Google Scholar 

  51. Song JH, Venkatesh SS, Conant EF, Arger PH, Sehgal CM. Comparative analysis of logistic regression and artificial neural network for computer-aided diagnosis of breast masses. Acad Radiol 2005;12:487–95.

    PubMed  Article  Google Scholar 

  52. Weinstein SP, Seghal CM, Conant EF, Patton JA. Microcalcifications in breast tissue phantoms visualized with acoustic resonance coupled with power Doppler US: initial observations. Radiology 2002;224:265–9.

    PubMed  Google Scholar 

  53. Alizad A, Fatemi M, Wold LE, Greenleaf JF. Performance of vibro-acoustography in detecting microcalcifications in excised human breast tissue: a study of 74 tissue samples. IEEE Trans Med Imag 2004;23:307–12.

    Article  Google Scholar 

  54. Fornage BD, Sneige N, Edeiken BS. Interventional breast sonography. Eur J Radiol 2002;42:17–31.

    PubMed  Article  Google Scholar 

  55. Burkhardt C. Speckle in ultrasound B-mode scans. IEEE Trans Sonics Ultrason 1978;25:1–6.

    Google Scholar 

  56. Entrekin R, Jackson P, Jago JR, Porter BA. Real time spatial compound imaging in breast ultrasound: technology and early clinical experience. Medicamundi 1999;43:35–43.

    Google Scholar 

  57. Kwak JY, Kim EK, You JK, Oh KK. Variable breast conditions: comparison of conventional and real-time compound ultrasonography. J Ultrasound Med 2004;23:85–96.

    PubMed  Google Scholar 

  58. Kangas SA, Schultz SM, Conant EF, Weinstein S, Arger PH, Schnall MD, et al. Differences between conventional and compound ultrasound imaging of solid breast lesions (Abstract). Radiology Society of North America Chicago, Nov 28–Dec 3, 2004:142.

  59. Rosen EL, Soo MS. Tissue harmonic imaging sonography of breast lesions: improved margin analysis, conspicuity, and image quality compared to conventional ultrasound. Clin Imaging 2001;25:379–84.

    PubMed  CAS  Article  Google Scholar 

  60. Szopinski KT, Pajk AM, Wysocki M, Amy D, Szopinska M, Jakubowski W. Tissue harmonic imaging: utility in breast sonography. J Ultrasound Med 2003;22:479–87.

    PubMed  Google Scholar 

  61. Kubota K, Hisa N, Ogawa Y, Yoshida S. Evaluation of tissue harmonic imaging for breast tumors and axillary lymph nodes. Oncol Rep 2002;9:1335–8.

    PubMed  Google Scholar 

  62. Kubota K, Ogawa Y, Nishigawa T, Yoshida S. Tissue harmonic imaging sonography of the axillary lymph nodes: evaluation of response to neoadjuvant chemotherapy in breast cancer patients. Oncol Rep 2003;10:1911–4.

    PubMed  Google Scholar 

  63. Sehgal CM, Brown GM, Bahn RC, Greenleaf JF. Measurement and use of acoustic nonlinearity and sound speed to estimate composition of excised livers. Ultrasound Med Biol 1986;12:865–74.

    PubMed  CAS  Article  Google Scholar 

  64. Law WK, Frizzell LA, Dunn F. Determination of the nonlinearity parameter B/A of biological media. Ultrasound Med Biol 1985;11:138–307.

    Article  Google Scholar 

  65. Cosgrove DO, Kedar RP, Bamber JC, al-Murrani B, Davey JB, Fisher C, et al. Breast diseases: color Doppler US in differential diagnosis. Radiology 1993;189:99.

    PubMed  CAS  Google Scholar 

  66. Huber S, Delorme S, Knopp MP, Junkermann H, Zuna I, von Fournier D, et al. Breast tumors: computer-assisted quantitative assessment with color Doppler US. Radiology 1994;192:797.

    PubMed  CAS  Google Scholar 

  67. Raza S, Baum JK. Solid breast lesions: evaluation with power Doppler US. Radiology 1997;203:164.

    PubMed  CAS  Google Scholar 

  68. Birdwell RL, Ikeda DM, Jeffrey SS, Jeffrey RB Jr. Preliminary experience with power Doppler imaging of solid breast masses. AJR 1997;169:703.

    PubMed  CAS  Google Scholar 

  69. Sehgal CM, Arger PH, Kotlar EY, Pugh CR, Kirchoffer JI, Bovee KH. Quantitative analysis of color and power Doppler images to differentiate between malignant and benign lesions. J Ultrasound Med 1998;17:S105.

    Google Scholar 

  70. Carson PL, Fowlkes JB, Roubidoux MA, Moskalik AP, Govil A, Normolle D, et al. 3-D color Doppler image quantification of breast masses. Ultrasound Med Biol 1998;24:945.

    PubMed  CAS  Article  Google Scholar 

  71. Sehgal CM, Arger PH, Rowling SE. Quantitative vascularity of breast masses by Doppler imaging: regional variations and diagnostic implications. J Ultrasound Med 2000;19:427–40.

    PubMed  CAS  Google Scholar 

  72. Lee SW, Choi HY, Baek SY, Lim SM. Role of color and power Doppler imaging in differentiating between malignant and benign solid breast masses. J Clin Ultrasound 2002;30:459–64.

    PubMed  Article  Google Scholar 

  73. Wilkens TH, Burke BJ, Cancelada DA, Jatoi I. Evaluation of palpable breast masses with color Doppler sonography and gray scale imaging. J Ultrasound Med 1998;17:109–15.

    PubMed  CAS  Google Scholar 

  74. Del Cura JL, Elizagaray E, Zabala R, Legorburu A, Grande D. The use of unenhanced Doppler sonography in the evaluation of solid breast lesions. AJR 2005;184:1788–94.

    PubMed  Google Scholar 

  75. Pugh CR, Arger PH, Sehgal CM. Power, spectral, and color flow Doppler enhancement by a new ultrasonographic contrast agent. J Ultrasound Med 1996;15:843–82.

    PubMed  CAS  Google Scholar 

  76. Kedar RP, Cosgrove D, McCready VR, Bamber JC, Carter ER. Microbubble contrast agent for color Doppler US: effect on breast masses. Work in progress. Radiology 1996;198:679–86.

    PubMed  CAS  Google Scholar 

  77. Huber S, Helbich T, Kettenbach J, Dock W, Zuna I, Delorme S. Effects of a microbubble contrast agent on breast tumors: computer-assisted quantitative assessment with color Doppler US-early experience. Radiology 1998;208:485–9.

    PubMed  CAS  Google Scholar 

  78. Alamo L, Fischer U. Contrast-enhanced color Doppler ultrasound characteristics in hypervascular breast tumors: comparison with MRI. Eur Radiol 2001;11:970–7.

    PubMed  CAS  Article  Google Scholar 

  79. Reinikainen H, Rissanen T, Paivansalo M, Paakko E, Jauhiainen J, Suramo I. B-mode, power Doppler and contrast-enhanced power Doppler ultrasonography in the diagnosis of breast tumors. Acta Radiol 2001;42:106–13.

    PubMed  CAS  Article  Google Scholar 

  80. Forsberg F, Goldberg BB, Merritt CR, Parker L, Maitino AJ, Palazzo JJ, et al. Diagnosing breast lesions with contrast-enhanced 3-dimensional power Doppler imaging. J Ultrasound Med 2004;23:173–82.

    PubMed  Google Scholar 

  81. Yang WT, Tse GM, Lam PK, Metreweli C, Chang J. Correlation between color power Doppler sonographic measurement of breast tumor vasculature and immunohistochemical analysis of microvessel density for the quantitation of angiogenesis. J Ultrasound Med 2002;21:1227–35.

    PubMed  CAS  Google Scholar 

  82. Hall TJ. AAPM/RSNA physics tutorial for residents: topics in US: beyond the basics: elasticity imaging with US. Radiographics 2003;23:1657–71.

    PubMed  Google Scholar 

  83. Gao L, Parker KJ, Lerner RM, Levinson SF. Imaging of the elastic properties of tissue—a review. Ultrasound Med Biol 1996;22:959–77.

    PubMed  CAS  Article  Google Scholar 

  84. Ophir J, Alam SK, Garra B, Kallel F, Konofagou E, Krouskop T, et al. Elastography: ultrasonic estimation and imaging of the elastic properties of tissues. Proceedings of the Institution of Mechanical Engineers, Part H–J. Eng Med 1999;213:203–33.

    CAS  Google Scholar 

  85. Insana MF, Bamber JC. Tissue motion and elasticity imaging. Phys Med Biol 2000;45(6):v–vi (2 p preceding 1409).

  86. Wilson LS, Robinson DE, Dadd MJ. Elastography—the movement begins. Phys Med Biol 2000;45:1409–21.

    PubMed  CAS  Article  Google Scholar 

  87. Fatemi M, Greenleaf JF. Probing the dynamics of tissue at low frequencies with the radiation force of ultrasound. Phys Med Biol 2000;45:1449–64.

    Google Scholar 

  88. Plewes DB, Bishop J, Samani A, Sciarretta J. Visualization and quantification of breast cancer biomechanical properties with magnetic resonance elastography. Phys Med Biol 2000;45:1591–1610.

    PubMed  CAS  Article  Google Scholar 

  89. Fung Y. Biomechanics: mechanical properties of living tissue. 2nd ed. Berlin Heidelberg New York: Springer; 1993.

    Google Scholar 

  90. Sarvazyan A, et al. Elasticity imaging as a new modality of medical imaging for cancer detection. Proc. Int. Workshop on Interaction of Ultrasound with Biological Media, Valenciennes, France. (1994). pp 69–81.

  91. Sarvazyan A, et al. Biophysical bases of elasticity imaging. Acoust Imag 1995;21:223–40.

    Google Scholar 

  92. Hall TJ, Zhu Y, Spalding CS. In vivo real-time freehand palpation imaging. Ultrasound Med Biol 2003;29:427–35.

    PubMed  Article  Google Scholar 

  93. Hiltawsky KM, Kruger M, Starke C, Heuser L, Ermert H, Jensen A. Freehand ultrasound elastography of breast lesions: clinical results. Ultrasound Med Biol 2001;27:1461–9.

    PubMed  CAS  Article  Google Scholar 

  94. Garra BS, Cespedes EI, Ophir J, Spratt SR, Zuurbier RA, Magnant CM, et al. Elastography of breast lesions: initial clinical results. Radiology 1997;202:79–86.

    PubMed  CAS  Google Scholar 

  95. Sohn C, Baudendistel A, Bastert G. Diagnosis of the breast tumor entity “vocal fremitus” in ultrasound diagnosis. Bildgebung 1994;61:291–4.

    PubMed  CAS  Google Scholar 

  96. Sohn C, Baudendistel A, Kaufmann M, Bastert MG. The positive “vocal fremitus” in malignant breast tumors in color MEM ultrasound imaging—an exciting artifact in confirming the diagnosis. Geburtshilfe Frauenheilkd 1994;54:427–31.

    PubMed  CAS  Article  Google Scholar 

  97. Sohn C, Baudendistel A. Differential diagnosis of mammary tumors with vocal fremitus in sonography: preliminary report. Ultrasound Obstet Gynecol 1995;6:205–7.

    PubMed  CAS  Article  Google Scholar 

  98. Nightingale KR, Palmeri ML, Nightingale RW, Trahey GE. On the feasibility of remote palpation using acoustic radiation force. J Acoust Soc Am 2001;110:625–34.

    PubMed  CAS  Article  Google Scholar 

  99. Alizad A, Whaley DH, Greenleaf JF, Fatemi M. Potential applications of vibro-acoustography in breast imaging. Technol Cancer Res Treat 2005;4:151–8.

    PubMed  Google Scholar 

  100. Fatemi M, Wold LE, Alizad A, Greenleaf JF. Vibro-acoustic tissue mammography. IEEE Trans Med Imag 2002;21:1–8.

    Article  Google Scholar 

  101. Schultz SM, Conant EF, Weinstein S, Kangas SA, Arger PH, Schnall MD, et al. Evaluation of ultrasound imaging parameters on the fremitus effects in breast imaging. Radiology Society of North America. Chicago, Nov 28–Dec 3, 2004;142.

  102. Kapur A, Carson PL, Eberhard J, Goodsitt MM, Thomenius K, Lokhandwalla M, et al. Combination of digital mammography with semi-automated 3D breast ultrasound. Technol Cancer Res Treat 2004;3(4):325–34.

    Google Scholar 

Download references

Acknowledgments

The authors gratefully acknowledge the assistance from Susan M Schultz and Theodore W Cary in preparing this manuscript. This work was in part supported by NIH grants CA-85424 and CA-87526.

Author information

Affiliations

Authors

Corresponding author

Correspondence to Chandra M. Sehgal.

Rights and permissions

Reprints and Permissions

About this article

Cite this article

Sehgal, C.M., Weinstein, S.P., Arger, P.H. et al. A Review of Breast Ultrasound. J Mammary Gland Biol Neoplasia 11, 113–123 (2006). https://doi.org/10.1007/s10911-006-9018-0

Download citation

  • Published:

  • Issue Date:

  • DOI: https://doi.org/10.1007/s10911-006-9018-0

Keywords

  • Breast cancer
  • Ultrasound imaging
  • Neoplasm
  • Sonography