Abstract
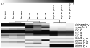
The chemical composition of plant surfaces plays a role in selection of host plants by herbivorous insects. Once the insect reaches the plant, these cues determine host acceptance. Laboratory studies have shown that the stem borer Busseola fusca (Lepidoptera: Noctuidae), an important pest of sorghum and maize in sub-Saharan Africa, is able to differentiate between host and non-host plant species. However, no information is available on the cues used by this insect to seek and accept the host plant. Thus, the role of surface phytochemical stimuli on host selection and oviposition by B. fusca was studied in the laboratory using two host plants, sorghum, Sorghum bicolor, and maize, Zea mays, and one non-host plant, Napier grass, Pennisetum purpureum. The numbers of eggs and egg masses deposited on the three plant species were compared first under no-choice and choice conditions. In both cases, more eggs and egg masses were laid on maize and sorghum than on the non-host. Artificial surrogate stems treated with a water or chloroform surface extract of each plant were then compared with surrogate stems treated with, respectively, water or chloroform as controls, under similar conditions. Surrogate stems treated with plant water extracts did not show an increase in oviposition when compared to controls, indicating that the major compounds in these extracts, i.e., simple sugars and free amino acids, are not significantly responsible for the oviposition preference. By contrast, a chloroform extract of sorghum enhanced oviposition on the surrogate stems compared to the control, while those of maize and Napier grass showed no significant effects. Analysis of the chloroform extract of sorghum showed higher amounts of α-amyrin, ß-amyrin, and n-nonacosane compared to those of maize and Napier grass. A blend of the three chemicals significantly increased oviposition compared to the chloroform-treated control, indicating that these compounds are part of the surface chemical signature of the plant responsible for host recognition and oviposition by B. fusca.



Similar content being viewed by others
References
Bernays EA, Chapman RF (1994) Host-plant selection by phytophagous insects. Chapman and Hall, London
Brooks JS, Williams EH, Feeny P (1996) Quantification of contact ovipositional stimulants for swallowtail butterfly, Papilio polyxenes, on the leaf surfaces of wild carrot, Daucus carota. J Chem Ecol 22:2341–2357
Calatayud P-A, Chimtawi M, Tauban D, Marion-Poll F, Le Ru BP, Silvain J-F, Frérot B (2006) Sexual dimorphism of antennal, tarsal and ovipositor chemosensilla in the African stem borer, Busseola fusca (fuller) (Lepidoptera: Noctuidae). Ann Soc Entomol Fr 42:403–412
Calatayud P-A, Guénégo H, Le Ru B, Silvain J-F, Frérot B (2007) Temporal patterns of emergence, calling behaviour and oviposition period of the maize stem borer, Busseola fusca (fuller 1901) (Lepidoptera: Noctuidae). Ann Soc Entomol Fr 43:63–68
Calatayud P-A, Guénégo H, Ahuya P, Wanjoya A, Le Ru B, Silvain J-F, Frérot B (2008a) Flight and oviposition behaviour of the African stem borer, Busseola fusca, on various host plant species. Entomol Exp Appl 129:348–355
Calatayud P-A, Juma G, Njagi PJN, Faure N, Calatayud S, Dupas S, Le Ru B, Magoma G, Silvain J-F, Frérot B (2008b) Differences in mate acceptance and host plant recognition between wild and laboratory-reared Busseola fusca (fuller). J Appl Entomol 132:255–264
Calatayud P-A, Ahuya P, Wanjoya A, Le Ru B, Silvain J-F, Frérot B (2008c) Importance of plant physical cues in host acceptance for oviposition by Busseola fusca. Entomol Exp Appl 126:233–243
Chamberlain K, Khan ZR, Pickett JA, Tashova T, Wadhams LJ (2006) Diel periodicity in the production of green leaf volatiles by wild and cultivated host plants of stemborer moths, Chilo partellus and Busseola fusca. J Chem Ecol 32:565–577
Cook SM, Khan ZR, Pickett JA (2007) The use of “push-pull” strategies in intergrated pest management. Annu Rev Entomol 52:375–400
Derridj S, Gregoire V, Boutin JP, Fiala V (1989) Plant growth stages in the interspecific ovipoistion preference of the European corn borer and relations with chemicals present on the leaf surfaces. Entomol Exp Appl 53:267–276
Derridj S, Wu BR, Stammitti L, Garrec JP, Derrien A (1996) Chemicals on the leaf surface, information about the plant available to insects. Entomol Exp Appl 80:197–201
Eigenbrode SD, Espelie KE (1995) Effects of plant epicuticular lipids on insect herbivores. Annu Rev Entomol 40:171–194
Eisen MB, Spellman PT, Brown PO, Botstein D (1998) Cluster analysis and display of genome-wide expression patterns. Proc Natl Acad Sci U S A 95:14863–14868
Fiala V, Glad C, Martin M, Jolivet E, Derridj S (1990) Occurrence of soluble carbohydrates on the phylloplane of maize (Zea mays L.)/variations in relation to leaf heterogeneity and position on the plant. New Phytol 115:609–615
Huang X, Renwick JAA (1993) Differential selection of host plants by two Pieris species: the role of oviposition stimulants and deterrents. Entomol Exp Appl 68:59–69
Jallow MFA, Zalucki MP, Fitt GP (1999) Role of chemical cues from cotton in mediating host selection and oviposition behaviour in Helicoverpa armigera Hubner (Lepidoptera: Noctuidae). Aust J Entomol 38:359–366
Kaufmann T (1983) Behavioural biology, feeding habits and ecology of three species of maize stemborers: Eldana saccharina (Lepidoptera: Pyralidae), Sesamia calamistis and Busseola fusca (Noctuidae) in Ibadan, Nigeria, West Africa. J Ga Entomol Soc 18:259–272
Kfir R, Overholt WA, Khan ZR, Polaszek A (2002) Biology and management of economically important lepidopteran cereal stem borers in Africa. Annu Rev Entomol 47:701–731
Khan ZR, Pickett JA (2004) The “push-pull” strategy for stemborer management: a case study in exploiting biodiversity and chemical ecology. In: Gurr GM, Wratten SD, Altieri MA (eds) Ecological engineering for pest management: advances in habitat manipulation for arthropods. CABI Publishing, CABI, Wallingford, Oxon, UK, pp. 155–164
Khan ZR, Pickett JA, Van den Berg J, Wadhams LJ, Woodcock CM (2000) Exploiting chemical ecology and species diversity: stem borer and striga control for maize and sorghum in Africa. Pest Manag Sci 56:957–962
Khan ZR, Pickett JA, Wadhams LJ, Muyekho F (2001) Habitat management strategies for the control of cereal stemborers and striga in maize in Kenya. Insect Sci Appl 21:375–380
Konstantopoulou MA, Krokos FD, Mazomenos BE (2002) Chemical stimuli from corn plants affect host selection and oviposition behaviour of Sesamia nonagriodes (Lepidoptera: Noctuidae). J Econ Entomol 95:1289–1293
Kumar H (1986) Enhancement of oviposition by Chilo partellus (swinhoe) (Lepidoptera: Pyralidae) on maize plants by larval feeding. Appl Entomol Zool 21:539–545
Le Ru BP, Ong’amo GO, Moyal P, Muchungu E, Ngala L, Musyoka B, Abdullah Z, Matama-Kauma T, Lada VY, Pallangyo K, Sidumo A, Omwega C, Schulthess F, Calatayud P-A, Silvain J-F (2006a) Major ecological characteristics of east African noctuid stem borers. Ann Soc Entomol Fr 42:353–361
Le Ru BP, Ong’amo GO, Moyal P, Ngala L, Musyoka B, Abdullah Z, Cugala D, Defabachew B, Haile TA, Matama-Kauma T, Lada VY, Negassi B, Pallangyo K, Ravolonandrianina J, Sidumo A, Omwega CO, Schulthess F, Calatayud P-A, Silvain J-F (2006b) Diversity of lepidopteran stem borers on monocotyledonous plants in eastern Africa and the islands of Madagascar and Zanzibar revisited. Bull Entomol Res 96:1–9
Li G, Ishikawa Y (2006) Leaf epicuticular was chemicals of the Japanese knotweed Fallopia japonica as oviposition stimulants for Ostrinia latipennis. J Chem Ecol 32:595–604
Lombarkia N, Derridj S (2002) Incidence of apple fruit and leaf surface metabolites on Cydia pomonella oviposition. Entomol Exp Appl 104:79–87
Lombarkia N, Derridj S (2008) Resistance of apple trees to Cydia pomonella egg-laying due to leaf surface metabolites. Entomol Exp Appl 128:57–65
Lum P (1979) Degeneration of ova in the bulla seminalis of Lepidoptera. J Insect Physiol 25:595–599
Maher N, Thiéry D (2004) Distribution of chemo- and mechanoreceptors on the tarsi and ovipositor of female European gravepine moth, Lobesia botrana. Entomol Exp Appl 110:135–143
Marion-Poll FC, Guillaumin D, Masson C (1992) Sexual dimorphism of tarsal receptors and sensory equipment of the ovipositor in the European corn borer, Ostrinia nubilalis. Cell Tissue Res 267:507–518
Miller JR, Cowles RS (1990) Stimulo-deterrent diversion: a concept and its possible application to onion maggot control. J Chem Ecol 16:3197–3212
Ong’amo GO, Le Ru B, Dupas S, Moyal P, Calatayud P-A, Silvain J-F (2006) Distribution, pest status and agroclimatic preferences of lepidopteran stemborers of maize and sorghum in Kenya. Ann Soc Entomol Fr 42:171–177
Onyango FO, Ochieng’-Odero JPR (1994) Continuous rearing of the maize stem borer Busseola fusca on an artificial diet. Entomol Exp Appl 73:139–144
Peterson JK, Elsey KD (1995) Chemical factors involved in selection of host plant for oviposition by the pickleworm moth (Lepidoptera: Pyralidae). Fla Entomol 78:482–492
Prokopy RJ, Owens ED (1983) Visual detection of plants by herbivorous insects. Annu Rev Entomol 28:337–364
Rebe M, Van Den Berg J, Donaldson G (2004) The status of leaf feeding resistance and oviposition preference of Busseola fusca (fuller) (Lepidoptera: Noctuidae) and Chilo partellus (swinhoe) (Lepidoptera: Crambidae) for sweet sorghum (Sorghum bicolor) landraces. Int J Pest Manage 50:49–53
Renwick JAA, Chew FS (1994) Oviposition behavior in lepidoptera. Annu Rev Entomol 39:377–400
SAS Institute (2003) Users' guide: statistics. SAS Institute Inc., Cary, NC, USA
Schoonhoven LM, Van Loon JJA, Dicke M (2005) Insect-plant biology, Second edn. Oxford University Press, New York
Srinivasan R, Uthamasamy S, Talekar NS (2006) Characterization of oviposition attractants of Helicoverpa armigera in two solanaceous plants, Solanum viarum and Lycopersicon esculentum. Curr Sci 90:846–850
Stammitti L, Derridj S, Garrec JP (1996) Leaf epicuticular lipids of Prunus laurocerasus: importance of extraction methods. Phytochemistry 43:45–48
Steinbauer MJ, Davies NW, Gaertner C, Derridj S (2009) Epicuticular waxes and plant primary metabolites on the surfaces of juvenile Eucalyptus globulus and E. nitens (Myrtaceae) leaves. Aust J Bot 57:474–485
Thompson JN, Pellmyr O (1991) Evolution of oviposition behaviour and host preference in Lepidoptera. Annu Rev Entomol 65:65–89
Udayagiri S, Mason CE (1995) Host plant constituents as oviposition stimulants for a generalist herbivore: European corn borer. Entomol Exp Appl 76:59–65
Udayagiri S, Mason CE (1997) Epicuticular wax chemicals in Zea mays influence oviposition in Ostrinia nubilalis. J Chem Ecol 23:1675–1687
Valencia L, Rice MJ (1982) Contact chemoreceptors on the ovipositor of the potato moth, Phthorimaea operculella (Zell.)(Lepidoptera: Gelichiidae). Int J Insect Morphol Embryol 11:121–128
Van Rensburg JBJ, Walters MC, Giliomee JH (1987) Ecology of the maize stalk borer, Busseola fusca (fuller) (Lepidoptera: Noctuidae). Bull Entomol Res 77:255–269
Van Rensburg JBJ, Walters MC, Giliomee JH (1988) Plant population and cultivar effects caused by the maize stalk borer, Busseola fusa (Lepidoptera: Noctuidae). S Afr J Plant Soil 5:215–218
Van Rensburg JBJ, Walters MC, Giliomee JH (1989) Selective oviposition by the maize stalk borer, Busseola fusca (fuller). J Entomol Soc South Afr 52:105–108
Varshney AK, Babu BR, Singh AK, Agarwal HC, Jain SC (2003) Ovipositional responses of Chilo partellus (swinhoe) (Lepidoptera: Pyralidae) to natural products from leaves of two maize (Zea mays L.) cultivars. J Agric Food Chem 51:4008–4012
Waladde SM (1983) Chemoreception of adult stem-borers: tarsal and ovipositor sensilla on Chilo partellus and Eldana saccharina. Insect Sci Appl 4:159–165
Acknowledgments
We are grateful to Boaz Musyoka, Anthony Kibe, and Gerphas Okuku for assistance in regular field collection of B. fusca. Many thanks also go to Lucien Kerhoas (INRA) and Georges Piombo (CIRAD) for help on initial analyses of chloroform extracts and to Fritz Schulthess for critical reading of the manuscript and corrections to the English. We also thank the French Ministry of Foreign Affairs for financial support.
Author information
Authors and Affiliations
Corresponding author
Electronic supplementary material
ESM 1
(DOCX 1177 kb)
Rights and permissions
About this article
Cite this article
Juma, G., Clément, G., Ahuya, P. et al. Influence of Host-Plant Surface Chemicals on the Oviposition of the Cereal Stemborer Busseola Fusca. J Chem Ecol 42, 394–403 (2016). https://doi.org/10.1007/s10886-016-0704-0
Received:
Revised:
Accepted:
Published:
Issue Date:
DOI: https://doi.org/10.1007/s10886-016-0704-0


