Skip to main content

Evaluation of a new Mg–Zn–Ca–Y alloy for biomedical application

Abstract

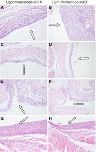
In this study, a new Mg–Zn–Ca–Y alloy was evaluated for blood compatibility and in vivo biocompatibility in rabbits after implantation in the sacral crest muscle. Blood test and HE staining was performed to examine the host response, and scanning electron microscope was used to observe the fibrous membrane and corrosion of the magnesium alloy. The results showed that hemolysis rate decreased with the Mg2+ concentration, in particularly, the hemolysis rate was 47.24 % for the magnesium alloy 100 % mixture solution, while was 0.1372 % for the 1 % extract solution. After implantation, the rabbits showed generally good condition, without swelling and wound secretions. One week after implantation, in the experimental group, a few lymphocytes and macrophages could be observed around the local muscle tissue, and fiber membrane structure had not yet formed; after 2 weeks, loose fiber membranes formed, while the number of inflammatory cells decreased; the fiber membrane became thinner at 4 and 12 weeks,. The fiber membrane thickness at 24 weeks were measured by scanning electron microscopy, at about 15–25 μm, which accord with the U.S. ASTM-F4 implant requirements (<30 μm). Acceptable degradation and corrosion were observed after implantation into rabbits. Through the in vivo study, the new magnesium alloy exhibited good biocompatibility and non-toxic in the experimental animals. Addition of Zn, Ca and Y can slow the degradation rate, and have acceptable side effects in vivo, resulting in improved corrosion properties and desirable biocompatibility at the same time.

This is a preview of subscription content, access via your institution.

Fig. 1
Fig. 2
Fig. 3
Fig. 4

References

  1. Kannan MB, Raman RK. In vitro degradation and mechanical integrity of calcium-containing magnesium alloys in modified-simulated body fluid. Biomaterials. 2008;29:2306–14.

    Article  Google Scholar 

  2. Staiger MP, Pietak AM, Huadmai J, Dias G. Magnesium and its alloys as orthopedic biomaterials: a review. Biomaterials. 2006;27:1728–34.

    Article  Google Scholar 

  3. Zhu S, Xu L, Huang N. Development of biodegradable magnesium-based biomaterials. Sheng Wu Yi Xue Gong Cheng Xue Za Zhi. 2009;26(437–439):451.

    Google Scholar 

  4. Waizy H, Seitz JM, Reifenrath J, Weizbauer A, Bach FW, Meyer-Lindenberg A, Denkena B, Windhagen H. Biodegradable magnesium implants for orthopedic applications. J Mater Sci. 2013;48:39–50.

    Article  Google Scholar 

  5. Witte F, Hort N, Vogt C, Cohen S, Kainer KU, Willumeit R, Feyerabend F. Degradable biomaterials based on magnesium corrosion. Curr Opin Solid State Mater Sci. 2008;12:63–72.

    Article  Google Scholar 

  6. Dziuba D, Meyer-Lindenberg A, Seitz JM, Waizy H, Angrisani N, Reifenrath J. Long-term in vivo degradation behaviour and biocompatibility of the magnesium alloy ZEK100 for use as a biodegradable bone implant. Acta Biomater. 2013;9:8548–60.

    Article  Google Scholar 

  7. Ding YF, Wen CE, Hodgson P, Li YC. Effects of alloying elements on the corrosion behavior and biocompatibility of biodegradable magnesium alloys: a review. J Mater Chem B. 2014;2:1912–33.

    Article  Google Scholar 

  8. Hong D, Saha P, Chou DT, Lee B, Collins BE, Tan ZQ, Dong ZY, Kumta PN. In vitro degradation and cytotoxicity response of Mg–4% Zn–0.5% Zr (ZK40) alloy as a potential biodegradable material. Acta Biomater. 2013;9:8534–47.

    Article  Google Scholar 

  9. Sun Y, Kong MX, Jiao XH. In-vitro evaluation of Mg–4.0Zn–0.2Ca alloy for biomedical application. Trans Nonferrous Metals Soc China. 2011;21:S252–7.

    Article  Google Scholar 

  10. Birbilis N, Cavanaugh MK, Sudholz AD, Zhu SM, Easton MA, Gibson MA. A combined neural network and mechanistic approach for the prediction of corrosion rate and yield strength of magnesium-rare earth alloys. Corros Sci. 2011;53:168–76.

    Article  Google Scholar 

  11. Al-Samman T, Li X. Sheet texture modification in magnesium-based alloys by selective rare earth alloying. Mater Sci Eng A. 2011;528:3809–22.

    Article  Google Scholar 

  12. Salahshoor M, Guo YB. Biodegradable orthopedic magnesium-calcium (MgCa) alloys, processing, and corrosion performance. Materials. 2012;5:135–55.

    Article  Google Scholar 

  13. Loos A, Rohde R, Haverich A, Barlach S. In vitro and in vivo biocompatibility testing of absorbable metal stents. Macromolecular Symposia. 2007;253:103–8.

    Article  Google Scholar 

  14. Walker J, Shadanbaz S, Woodfield TBF, Staiger MP, Dias GJ. The in vitro and in vivo evaluation of the biocompatibility of Mg alloys. Biomed Mater 2014; 9.

  15. Gu X, Zheng Y, Cheng Y, Zhong S, Xi T. In vitro corrosion and biocompatibility of binary magnesium alloys. Biomaterials. 2009;30:484–98.

    Article  Google Scholar 

  16. Gao JC, Li LC, Wang Y, Qiao LY. Biocompatibility of magnesium after surface modification by heat-organic films-treatment. Rare Metal Mater Eng. 2005;34:903–6.

    Google Scholar 

  17. Song GL. Control of biodegradation of biocompatable magnesium alloys. Corros Sci. 2007;49:1696–701.

    Article  Google Scholar 

  18. Wan YZ, Xiong GY, Luo HL, He F, Huang Y, Zhou XS. Preparation and characterization of a new biomedical magnesium-calcium alloy. Mater Des. 2008;29:2034–7.

    Article  Google Scholar 

  19. Zhang EL, Yang L. Microstructure, mechanical properties and bio-corrosion properties of Mg–Zn–Mn–Ca alloy for biomedical application. Mater Sci Eng A. 2008;497:111–8.

    Article  Google Scholar 

  20. Li ZJ, Gu XN, Lou SQ, Zheng YF. The development of binary Mg–Ca alloys for use as biodegradable materials within bone. Biomaterials. 2008;29:1329–44.

    Article  Google Scholar 

  21. Li Z, Gu X, Lou S, Zheng Y. The development of binary Mg–Ca alloys for use as biodegradable materials within bone. Biomaterials. 2008;29:1329–44.

    Article  Google Scholar 

  22. Post JI, Eibl JK, Ross GM. Zinc induces motor neuron death via a selective inhibition of brain-derived neurotrophic factor activity. Amyotroph Lateral Scler. 2008;9:149–55.

    Article  Google Scholar 

  23. Bobby Kannan M, Dietzel W, Blawert C, Atrens A, Lyon P. Stress corrosion cracking of rare-earth containing magnesium alloys ZE41, QE22 and Elektron 21 (EV31A) compared with AZ80. Mater Sci Eng A. 2008;480:529–39.

    Article  Google Scholar 

  24. Ogawa Y, Suzuki S, Naito K, Saito M, Kamata E, Hirose A, Kaneko T, Chiba M, Inaba Y, Kurokawa Y. Studies on the biological effects of yttrium: effects of repeated oral-administration tests in rats. Jpn J Toxicol Environ Health. 1994;40:374–82.

    Article  Google Scholar 

  25. Xin Y, Hu T. Chu PK: In vitro studies of biomedical magnesium alloys in a simulated physiological environment: A review. Acta Biomater. 2011;7:1452–9.

    Article  Google Scholar 

  26. Zhang EL, Xu LP, Yu GN, Pan F, Yang K. In vivo evaluation of biodegradable magnesium alloy bone implant in the first 6 months implantation. J Biomed Mater Res A. 2009;90A:882–93.

    Article  Google Scholar 

Download references

Author information

Affiliations

Authors

Corresponding author

Correspondence to Jianwu Zhao.

Rights and permissions

Reprints and Permissions

About this article

Verify currency and authenticity via CrossMark

Cite this article

Qu, Y., Kang, M., Dong, R. et al. Evaluation of a new Mg–Zn–Ca–Y alloy for biomedical application. J Mater Sci: Mater Med 26, 16 (2015). https://doi.org/10.1007/s10856-014-5342-x

Download citation

  • Received:

  • Accepted:

  • Published:

  • DOI: https://doi.org/10.1007/s10856-014-5342-x

Keywords

  • Magnesium Alloy
  • Fiber Membrane
  • Fibrous Membrane
  • Hemolysis Test
  • Hemolysis Rate