Skip to main content

Cytotoxic, hematologic and histologic effects of niobium pentoxide in Swiss mice

Abstract

The use of metal devices in medical application is increasing but it remains incompletely understood the physiological effects of component degradation. Niobium (Nb) alloys have already been investigated in the 1980’s and recent studies demonstrated the potential of Nb as an implant material. The purpose of this study was to determine cytotoxic, hematologic and histologic effects of niobium in Swiss mice. Animals were treated with a single dose of 3 % niobium oxide (Nb2O5) diluted in PBS, i.p. Cytotoxic assay, hematologic and histologic evaluation were done 3, 7 and 12 days after niobium treatment. Data have shown increased number of cells after niobium treatment, but there was no difference in cell viability. Furthermore, it was not observed hematological modification 3, 7 or 12 days after niobium treatment. Despite the fact that animals treated with niobium for 3 and 7 days showed mild degeneration in hepatocytes, mice kept alive for 12 days showed liver cells regeneration. Our results suggested that niobium cytotoxicity was not progressive because 12 days after treatment there was an evident liver regeneration. Data obtained indicated that niobium may be promising alternatives to biomedical applications.

This is a preview of subscription content, access via your institution.

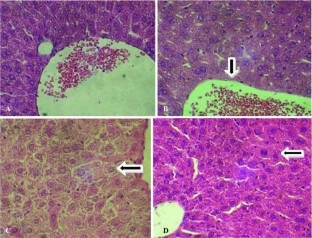
Fig. 1

References

  1. Sista S, Wen C, Hodgson PD, Pande G. The influence of surface energy of titanium–zirconium alloy on osteoblast cell functions in vitro. J Biomed Mater Res Part A. 2011;97A:27–36.

    Article  Google Scholar 

  2. Niinomi M, Nakai M, Hieda J. Development of new metallic alloys for biomedical applications. Acta Biomater. 2012;8:3888–903.

    Article  Google Scholar 

  3. Rubitschek F, Niendorf T, Karaman I, Maier HJ. Corrosion fatigue behavior of a biocompatible ultrafine-grained niobium alloy in simulated body fluid. J Mech Behav Biomed Mater. 2011;5:181–92.

    Article  Google Scholar 

  4. Leitune VCB, Collares FM, Takimi A, de Lima GB, Petzhold CL, Bergmann CP, Samuel SMW. Niobium pentoxide as a novel filler for dental adhesive resin. J Dent. 2013;41(2):106–13. doi:10.1016/j.jdent.2012.04.022.

    Article  Google Scholar 

  5. Wilmes S, Zwick G. Effect of niobium and vanadium as an alloying element in tool steels with high chromium content. In: The Use of Tool Steels: Experience and Re-search. 2002;1: 227–243

  6. Braic V, Balaceanu M, Braic M, Vladescu A, Panseri S, Russo A. Characterization of multi-principal-element (TiZrNbHfTa)N and (TiZrNbHfTa)C coatings for biomedical applications. J Mech Behav Biomed Mater. 2012;10:197–205.

    Article  Google Scholar 

  7. Olivares-Navarrete R, Olaya JJ, Ramírez C, Rodil SE. Biocompatibility of niobium coatings. Coatings. 2011;1:72–87.

    Article  Google Scholar 

  8. Matsuno H, Yokoyama A, Watari F, Uo M, Kawasaki T. Biocompatibility and osteogenesis of refractory metal implants, titanium, hafnium, niobium, tantalum and rhenium. Biomaterials. 2011;22:1253–62.

    Article  Google Scholar 

  9. Semlitsch MF, Weber H, Sttreicher RM, Schön R. Joint replacement components made of hot-forged and surface-treated Ti–6Al–7Nb alloy. Biomaterials. 1992;13:781–8.

    Article  Google Scholar 

  10. Godmann SB, Davidson JA, Fornasier VL, Mishra AK. Histological response to cylinders of a low modulus titanium alloy (Ti–13Nb–13Zr) and a wear resistant zirconium alloy (Zr–2.5Nb) implanted in the rabbit tibia. J Appl Biomater. 1993;4:331–9.

    Article  Google Scholar 

  11. Yamamoto A, Honma R, Sumita M. Cytotoxicity evaluation of 43 metal salts using murine fibroblasts and osteoblastic cells. J Biomed Mater Res. 1998;39:331–40.

    Article  Google Scholar 

  12. Metikoš-Huković M, Kwokal A, Piljac J. The influence of niobium and vanadium on passivity of titanium-based implants in physiological solution. Biomaterials. 2003;24:3765–75.

    Article  Google Scholar 

  13. McMahon RE, Ma J, Verkhoturov SV, Munoz-Pinto D, Karaman I, Rubitschek F, Maier HJ, Hahn MS. A comparative study of the cytotoxicity and corrosion resistance of nickel–titanium and titanium–niobium shape memory alloys. Acta Biomater. 2012;8:2863–70.

    Article  Google Scholar 

  14. Challa VSA, Mali S, Misra RDK. Reduced toxicity and superior cellular response of preosteoblasts to Ti–6Al–7Nb alloy and comparison with Ti–6Al–4V. J Biomed Mater Res Part A. 2013;101(7):2083–9. doi:10.1002/jbm.a.34492.

    Article  Google Scholar 

  15. Fraqueza G, Ohlin CA, Casey WH, Aureliano M. Sarcoplasmic reticulum calcium ATPase interactions with decaniobate, decavanadate, vanadate, tungstate and molybdate. J Inorg Biochem. 2012;107:82–9.

    Article  Google Scholar 

  16. Fraqueza G, de Carvalho LAEB, Marques MPM, Maia L, Ohlin CA, Casey WHM, Aureliano M. Decavanadate, decaniobate, tungstate and molybdate interactions with sarcoplasmic reticulum Ca(2+)-ATPase: quercetin prevents cysteine oxidation by vanadate but does not reverse ATPase inhibition. Dalton Trans. 2012;41:12749–58.

    Article  Google Scholar 

Download references

Author information

Affiliations

Authors

Corresponding author

Correspondence to Fernando Luiz Affonso Fonseca.

Rights and permissions

Reprints and Permissions

About this article

Cite this article

Dsouki, N.A., de Lima, M.P., Corazzini, R. et al. Cytotoxic, hematologic and histologic effects of niobium pentoxide in Swiss mice. J Mater Sci: Mater Med 25, 1301–1305 (2014). https://doi.org/10.1007/s10856-014-5153-0

Download citation

  • Received:

  • Accepted:

  • Published:

  • Issue Date:

  • DOI: https://doi.org/10.1007/s10856-014-5153-0

Keywords

  • Niobium
  • Nb2O5
  • Swiss Mouse
  • Niobium Oxide
  • Human Osteoblast Cell