Skip to main content

Isolation and characterization of drug delivering potential of type-I collagen from eel fish Evenchelys macrura

Abstract

Acid soluble collagen (ASC) and pepsin-soluble collagen (PSC) from the outer skin waste of marine eel fish (Evenchelys macrura) were isolated and characterized. The prepared collagen was used to test its effective drug delivering potential in vitro condition. Present results were confirmed as collagen by different physico-chemical techniques like SDS–PAGE, HPLC, FTIR and SEM. Further amino acid analysis corroborates isolation of type I collagen. Both ASC and PSC comprising two different α-chains (α 1 and α 2) were characterized as type I and contained imino acid of 190–200 residues, respectively. The denaturation temperatures (Td) of ASC and PSC were 38.5 and 35.0 °C, respectively, which is promising as an advantage for biomedical application due to closeness in Td to mammalian collagen. Furthermore, the gel and film forming capability of collagen samples containing implant standard antibiotic was proved to be a suitable drug delivering system.

This is a preview of subscription content, access via your institution.

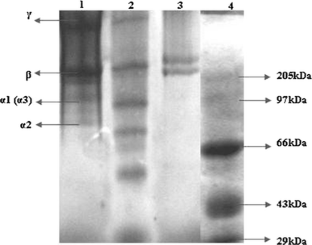
Fig. 1
Fig. 2
Fig. 3
Fig. 4

References

  1. Kielty CM, Hoplinson I, Grant ME. The collagen family, structure, assembly, and organization in the extracellular matrix. In: Royce PM, Steinmann B, editors. Connective tissue and its heritable disorders: molecular genetic and medical aspects. New York: Wiley-Liss, Inc; 1993. p. 103–47.

    Google Scholar 

  2. Rao JV, Ramjee P, Bhanu Prakash GVS. Prospects of marine sponge collagen and its applications in cosmetology. In: Kim SK, editor. Marine cosmeceuticals: trends and prospects. Boca Rotan: CRC-Taylor and Francis; 2011. p. 77–103.

    Chapter  Google Scholar 

  3. Muyonga JH, Cole CGB, Duodu KG. Characterization of acid soluble collagen from skins of young and adult Nile perch (Lates nilotics). Food Chem. 2004;85:81–9.

    Article  CAS  Google Scholar 

  4. Kittiphattanabawon P, Benjakul S, Visesanguan W, Nagai T, Tanaka M. Characterization of acid-soluble collagen from skin and bone of bigeye snapper (Priacanthus tayenus). Food Chem. 2005;89:363–72.

    Article  CAS  Google Scholar 

  5. Dansereau R, Brock M, Redman-Furey N. The solubilization of drug and excipient into hydroxypropyl methylcellulose (HPMC)-based film coating as a function of the coating parameters in a 24 accela-cota. Drug Dev Ind Pharm. 1993;19(7):793–808.

    Article  CAS  Google Scholar 

  6. Nagai T, Yamashita E, Taniguchi K, Kanamori N, Suzuki N. Isolation and characterization of collagen from the outer skin waste material of cuttlefish (Sepia lycidas). Food Chem. 2001;72:425–9.

    Article  CAS  Google Scholar 

  7. Lowry OH, Rosebrough NJ, Farr AL, Randall RJ. Protein measurement with Folin phenol reagent. J Biol Chem. 1951;193:256–75.

    Google Scholar 

  8. Laemmli UK. Cleavage of structural proteins during the assembly of the head of bacteriophage T4. Nature. 1970;227:680–5.

    Article  CAS  Google Scholar 

  9. Zhang Y, Liu WT, Li GY, Shi B, Miao YQ, Wu XH. Isolation and partial characterization of pepsin-soluble collagen from the skin of grass carp (Ctenopharyngodon idella). Food Chem. 2007;103:906–12.

    Article  CAS  Google Scholar 

  10. Jongjareonrak A, Benjakul S, Visessanguan W, Nagai T, Tanaka M. Isolation and characterisation of acid and pepsin-solubilised collagens from the skin of brownstripe red snapper (Lutjanus vitta). Food Chem. 2005;93:475–84.

    Article  CAS  Google Scholar 

  11. Yan M, Li B, Zhao X. Isolation and characterization of collagen from squid (Ommastrephes bartrami) skin. J Ocean Univ China. 2009;8(2):191–6.

    Article  CAS  Google Scholar 

  12. Nagai T. Characterization of collagen from Japanese sea bass caudal fin as waste material. Eur Food Res Technol. 2004;218:424–7.

    Article  CAS  Google Scholar 

  13. Jongjareonrak A, Benjakul S, Visessanguan W, Tanaka M. Isolation and characterisation of collagen from bigeye snapper (Priacanthus marcracanthus) skin. J Sci Food Agric. 2005;85:1203–10.

    Article  CAS  Google Scholar 

  14. Zhang M, Liu W, Li G. Isolation and characterisation of collagens from the skin of largefin longbarbel catfish (Mystus macropterus). Food Chem. 2009;115:826–31.

    Article  CAS  Google Scholar 

  15. Ahmad M, Benjakul S. Extraction and characterisation of pepsin solubilised collagen from the skin of unicorn leatherjacket (Aluterus monocerous). Food Chem. 2010;120:817–24.

    Article  CAS  Google Scholar 

  16. Komsa-Penkova R, Koyonava R, Kostov G, Tenchov B. Discrete reduction of type I collagen thermal stability upon oxidation. Biophys Chem. 1999;83:185–95.

    Article  Google Scholar 

  17. Johnston-Banks FA. Gelatin. In: Harris P, editor. Food gels. London: Elsevier Applied Sci; 1990. p. 233–89.

    Chapter  Google Scholar 

  18. Owusu-Apenten RK. Food protein analysis. Quantitative effects on processing. New York: Marcel Dekker, Inc; 2002.

    Book  Google Scholar 

  19. Joseph G, Jun O, Teruo M. Biodegradable honeycomb collagen scaffold for dermal tissue engineering. J Biomed Mater Res. 2008;87(A):1103–11.

    Google Scholar 

  20. Jansson K, Haegerstrand A, Kratz G. A biodegradable bovine collagen membrane as a dermal template for human in vivo wound healing. Scand J Plast Reconstr Hand Surg. 2001;35:369–75.

    Article  CAS  Google Scholar 

  21. Yannas IV, Lee E, Orgill DP, Skrabut EM, Murphy GF. Synthesis and characterization of a model extracellular matrix that induces partial regeneration of mammalian skin. Proc Natl Acad Sci USA. 1989;86:933–7.

    Article  CAS  Google Scholar 

  22. Ushiki T, Ide C. Three-dimensional organization of the collagen fibrils in the rat sciatic nerve as revealed by transmission- and scanning electron microscopy. Cell Tissue Res. 1990;260(1):175–84.

    Article  CAS  Google Scholar 

  23. Komai Y, Ushikif T. The three-dimensional organization of collagen fibrils in the human cornea and sclera. Invest Ophthalmol Vis Sci. 1991;32:2244–58.

    CAS  Google Scholar 

  24. Song E, Kim SY, Chun T, Byun HJ, Lee YM. Collagen scaffolds derived from a marine source and their biocompatibility. Biomaterials. 2006;27:2951–61.

    Article  CAS  Google Scholar 

  25. Yang SF, Leong KF, Du ZH, Chua CK. The design of scaffolds for use in tissue engineering, Part 1. Traditional factors. Tissue Eng. 2001;7(6):679–89.

    Article  CAS  Google Scholar 

  26. Li H, Liu BL, Gao LZ, Chen HL. Studies on bullfrog skin collagen. Food Chem. 2004;84:65–9.

    Article  CAS  Google Scholar 

  27. Payne KJ, Veis A. Fourier transform IR spectroscopy of collagen and gelatin solutions: deconvolution of the amide I band for conformational studies. Biopol. 1988;27:1749–60.

    Article  CAS  Google Scholar 

  28. Surewicz WK, Mantsch HH. New insight into protein secondary structure from resolution enhanced infrared spectra. Bioch et Bioph Acta. 1988;952:115–30.

    Article  CAS  Google Scholar 

Download references

Acknowledgments

The authors’ thanks the authorities of Annamalai University, Annamalainagar, Tamil Nadu, India, for their support. We also thank to this work was financially supported by the Ministry of Earth Science Govt. of India (MOES), for funded the project under OASTC, scheme.

Author information

Affiliations

Authors

Corresponding author

Correspondence to Anguchamy Veeruraj.

Rights and permissions

Reprints and Permissions

About this article

Cite this article

Veeruraj, A., Arumugam, M., Ajithkumar, T. et al. Isolation and characterization of drug delivering potential of type-I collagen from eel fish Evenchelys macrura . J Mater Sci: Mater Med 23, 1729–1738 (2012). https://doi.org/10.1007/s10856-012-4650-2

Download citation

  • Received:

  • Accepted:

  • Published:

  • Issue Date:

  • DOI: https://doi.org/10.1007/s10856-012-4650-2

Keywords

  • Collagen Fibril
  • Collagen Sample
  • Denaturation Temperature
  • Nile Perch
  • Fish Skin