Skip to main content

Porous ceramic bone scaffolds for vascularized bone tissue regeneration

Abstract

Hydroxyapatite scaffolds with a multi modal porosity designed for use in tissue engineering of vascularized bone graft substitutes were prepared by three dimensional printing. Depending on the ratio of coarse (mean particle size 50 μm) to fine powder (mean particle size 4 μm) in the powder granulate and the sintering temperature total porosity was varied from 30% to 64%. While macroscopic pore channels with a diameter of 1 mm were created by CAD design, porosity structure in the sintered solid phase was governed by the granulate structure of the printing powder. Scaffolds sintered at 1,250 °C were characterized by a bimodal pore structure with intragranular pores of 0.3–0.4 μm and intergranular pores of 20 μm whereas scaffolds sintered at 1,400 °C exhibit a monomodal porosity with a maximum of pore size distribution at 10–20 μm. For in-vivo testing, matrices were implanted subcutaneously in four male Lewis rats. Scaffolds with 50% porosity and an average pore size of ∼18 μm were successfully transferred to rats and vascularized within 4 weeks.

This is a preview of subscription content, access via your institution.

Fig. 1
Fig. 2
Fig. 3
Fig. 4
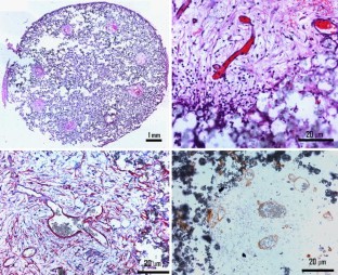
Fig. 5
Fig. 6
Fig. 7
Fig. 8
Fig. 9

References

  1. K. A. HING, Int. J. Appl. Ceram. Technol. 2 (2005) 184

    Article  CAS  Google Scholar 

  2. A. A. WHITE, S. M. BEST and I. A. KINLOCH, Int. J. Appl. Ceram. Technol. 4 (2007) 1

    Article  CAS  Google Scholar 

  3. J. R. JONES and L. L. HENCH, Curr. Opin. Solid State Mater. Sci. 71 (2003) 301

    Article  CAS  Google Scholar 

  4. A. J. SALGADO, O. P. CAUTINHO and R. L. REIS, Macromol. Biosci. 4 (2004) 743

    Article  CAS  Google Scholar 

  5. K. D. KARAGEORGIOU, Biomaterials 37 (2005) 533

    Google Scholar 

  6. C. D. HOLY, M. S. SHOICHET and J. E. DAVIES, J. Biomed. Mater. Res. 51 (2000) 376

    Article  CAS  Google Scholar 

  7. R. Z. LEGEROS, Clin. Orthop. Relat. Res. 395 (2002) 81

    Article  Google Scholar 

  8. S. DOROZHKIN, J. Mater. Sci. 42 (2007) 1061

    Article  CAS  Google Scholar 

  9. U. KNESER, P. M. KAUFMANN, H. C. FIEGEL, J. M. POLLOK, D. KLUTH, H. HERBST and X. ROGIERS, J. Biomed. Mater. Res. 47 (1999) 494

    Article  CAS  Google Scholar 

  10. A. D. BACH, J. P. BEIER, J. STERN-STAETER and R. E. HORCH, J. Cell. Mol. Med. 8 (2004) 413

    Article  CAS  Google Scholar 

  11. K. NORRBY, J. Cell. Mol. Med. 10 (2006) 588

    Article  CAS  Google Scholar 

  12. O. C. CASSELL, S. O. HOFER, W. A. MORRISON and K. R. KNIGHT, Br. J. Plast. Surg. 55 (2002) 603

    Article  CAS  Google Scholar 

  13. E. POLYKANDRIOTIS, R. E. HORCH, A. ARKUDAS, A. LABANARIS, K. BRUNE, P. GREIL, A. D. BACH, J. KOPP, A. HESS and U. KNESER, Adv. Exp. Med. Biol. 585 (2006) 311

    CAS  Google Scholar 

  14. E. POLYKANDRIOTIS, J. TJIAWI, S. EULER, A. ARKUDASN, A. HESS, K. BRUNE, P. GREIL, A. LAMETSCHWANDTNER, R. E. HORCH and U. KNESER, Microvasc. Res. 1 (2008) 25

  15. E. POLYKANDRIOTIS, A. ARKUDAS, S. EULER, J. P. BEIER, R. E. HORCH and U. KNESER, Handchir. Mikrochir. Plast. Chir. 38 (2006) 217

    Article  CAS  Google Scholar 

  16. U. KNESER, E. POLYKANDRIOTIS, J. OHNHOLZ, K. HEIDNER, L. GRABINGER, S. EULER, K. AMANN, A. HESS, K. BRUNE, P. GREIL, M. STÜRZL and R. E. HORCH, Tissue Eng. 12 (2006) 1721

    Article  CAS  Google Scholar 

  17. E. POLYKANDRIOTIS, R. E. HORCH, M. STURZL, U. KNESER, J. Cell. Mol. Med. 11 (2007) 6

    Article  CAS  Google Scholar 

  18. P. DUCHEYNE, M. MARCOLONGO and E. SCHEPERS, “Bioceramic composites.” In An Introduction to Bioceramics, edited by L. L. HENCH and J. WILSON (New York: World Scientific Publishing Co., 1993) p. 281

    Google Scholar 

  19. W. BONFIELD, “Design of bioactive ceramic-polymer composites.” In An Introduction to Bioceramics, edited by L. L. HENCH and J. WILSON (New York: World Scientific Publishing Co., 1993) p. 299

    Google Scholar 

  20. G. DE WITH and A. J. CORBIJN, J. Mater. Sci. 24 (1989) 3411

    Article  Google Scholar 

  21. J. LI, L. HERMANSSON and R. SOREMARK, J. Mater. Sci. Mater. Med. 4 (1993) 50

    Article  CAS  Google Scholar 

  22. J. LI, B. FARTASH and L. HERMANSSON, Biomaterials 16 (1995) 417

    Article  CAS  Google Scholar 

  23. J. D. SANTOS, P. L. SILVA, J. C. KNOWLES, S. TALAL and F. J. MONTEIRO, J. Mater. Sci. Mater. Med. 7 (1996) 187

    Article  CAS  Google Scholar 

  24. K. KONDO, M. OKUYAMA, H. OGAWA and Y. ABE, J. Am. Ceram. Soc. 67 (1984) C 222

    Article  CAS  Google Scholar 

  25. F. C. M. DRIESSENS, J. Biosci. 35 (1980) 357

    CAS  Google Scholar 

  26. J. R. JONES and L. L. HENCH, Curr. Opin. Solid State Mater. Sci. 71 (2003) 301

    Article  CAS  Google Scholar 

  27. L. L. HENCH, Biomaterials 19 (1998) 1419

    Article  CAS  Google Scholar 

  28. E. C. SHORS and R. E. HOLMES, “Porous hydroxyapatite.” In An Introduction to Bioceramics, edited by L. L. HENCH and J. WILSON (New York: World Scientific Publishing Co., 1993) p. 181

    Google Scholar 

  29. S. PRAMANIK, A. K. AGARWAL, K. N. RAI and A. GARG, Ceram. Int. 33 (2007) 419

    Article  CAS  Google Scholar 

  30. J. WERNER, B. LINNER-KRCMAR, W. FRIESS and P. GREIL, Biomaterials 23 (2003) 4285

    Article  Google Scholar 

  31. M. FABBRI, G. C. CELOTTI and A. RAVAGLIOLI, Biomaterials 16 (1995) 225

    Article  CAS  Google Scholar 

  32. P. SEPULVEDA, J. G. P. BINNER, S. O. ROGERO, O. Z. HIGA and J. C. BRESSIANI, J. Biomed. Mater. Res. 50 (2000) 27

    Article  CAS  Google Scholar 

  33. D. M. ROY and S. K. LINNEHAN, Nature 247 (1974) 220

    Article  CAS  Google Scholar 

  34. S. DEVILLE, E. SAIZ, K. R. NALLA and P. A. TOMSIA, Science 311 (2006) 515

    Article  CAS  Google Scholar 

  35. C. X. F. LAM, X. M. MO, S. H. TEOH and D. W. HUTMACHER, Mater. Sci. Eng. C 20 (2002) 49

    Article  Google Scholar 

  36. H. SEITZ, W. RIEDER, S. IRSEN, B. LEUKERS and C. TILLE, J. Biomed. Mater. Res. B 74 (2005) 782

    Article  CAS  Google Scholar 

  37. R. CHUMNANKLANG, T. PANYATHAMMAPORN, K. SITTHISERIPRATIP and J. SUWANPRATEEB, Mater. Sci. Eng. C 27 (2007) 914

    Google Scholar 

  38. B. LEUKERS, H. GÜLKAN, S. H. IRSEN, S. MILZ, C. TILLE, M. SCHIECKER and H. SEITZ, J. Mater. Sci. 16 (2005) 1121

    Article  CAS  Google Scholar 

  39. H. Y. SOHN and C. MORELAND, Can. J. Chem. Eng. 46 (1968) 162

    Article  Google Scholar 

  40. A. R. DEXTER and D. W. TANNER, Nature Phys. Sci. 238 (1972) 31

    Article  Google Scholar 

  41. P. A. CUNDALL and O. D. L. STRACK, Geotechnique 29 (1979) 47

    Article  Google Scholar 

  42. G. T. NOLAN and P. E. KAVANAGH, Powder Technol. 72 (1992) 149

    Article  CAS  Google Scholar 

  43. C. A. ANDERSSON, J. Am. Ceram. Soc. 79 (1996) 2181

    Article  CAS  Google Scholar 

  44. J. A. FUNK and D. R. DINGER, Predictive Process Control of Crowded Particulate Suspensions (Norwell, Massachusetts: Kluwer Academic Publishers, 1994)

    Google Scholar 

  45. J. A. FUNK, D. R. DINGER, Ceram. Bull. 67 (1988) 890

    CAS  Google Scholar 

  46. R. Z. LEGEROS and J. P. LEGEROS, “Dense hydroxyapatite.” In An Introduction to Bioceramics, edited by L. L. HENCH and J. WILSON (New York: World Scientific Publishing Co., 1993) p. 154

    Google Scholar 

  47. M. BOHNER, Int. J. Care. Inj. 31 (2000) 37

    Google Scholar 

  48. L. L. HENCH, J. Am. Ceram. Soc. 74 (1991) 1487

    Article  CAS  Google Scholar 

  49. K. A. HING, S. M. BEST and W. BONFIELD, J. Mater. Sci. Mater. Med. 10 (1999) 134

    Google Scholar 

  50. R. W. RICE and W. R. GRACE, J. Mater. Sci. 31 (1996) 102

    Article  CAS  Google Scholar 

  51. C. A. ANDERSSON, J. Am. Ceram. Soc. 79 (1996) 2181

    Article  CAS  Google Scholar 

  52. K. DE GROOT, “Ceramics of calcium phosphate, preparation and properties.” In Bioceramics of Calcium Phosphate, edited by K. DE GROOT (Boca Raton, FL: CRC-Press, 1983) p. 102

    Google Scholar 

  53. T. D. TONYAN and L. J. GIBSON, J. Mater. Sci. 27 (1992) 6371

    Article  CAS  Google Scholar 

  54. L. J. GIBSON and M. F. ASHBY, Cellular Solids, Structure and Properties, 2nd edn. (Oxford: Pergamon Press, 2001)

    Google Scholar 

  55. R. E. HOLMES, Plast. Reconstr. Surg. 63 (1979) 626

    CAS  Article  Google Scholar 

  56. A. BIGNON, J. CHOUTEAU, J. CHEVALIER, G. FANTOZZI, J. P. CARRET, P. CHAVASSIEUX, G. BOIVIN, M. MELIN and D. HARTMANN, J. Mater. Sci. Mater. Med. 14 (2003) 1089

    Article  CAS  Google Scholar 

Download references

Author information

Affiliations

Authors

Corresponding author

Correspondence to Julia Will.

Rights and permissions

Reprints and Permissions

About this article

Cite this article

Will, J., Melcher, R., Treul, C. et al. Porous ceramic bone scaffolds for vascularized bone tissue regeneration. J Mater Sci: Mater Med 19, 2781–2790 (2008). https://doi.org/10.1007/s10856-007-3346-5

Download citation

  • Received:

  • Accepted:

  • Published:

  • Issue Date:

  • DOI: https://doi.org/10.1007/s10856-007-3346-5

Keywords

  • Compressive Strength
  • Compression Strength
  • Bone Graft Substitute
  • Dimensional Printing
  • Bimodal Mixture