Abstract
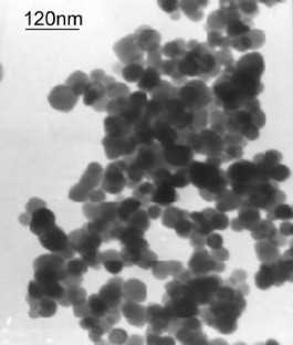
The synthesis of rutile (TiO2) nanostructured materials at low temperature from TiCl4 aqueous solution was described. TiO2 coatings on polystyrene (PS) particles were prepared by layer-by-layer assembly technique. The samples were characterized by DTA-TG, SEM, XPS, TEM and XRD techniques. The experimental results showed that pure rutile-TiO2 coatings with nanocrystal structure were synthesized at 100 °C. On the surface of PS particles, sphere-type TiO2 coatings exhibited uniform shape and a narrow size distribution. The amount of TO2 (wt%) and shell thickness of particles increased with the adding of coating layers. Hollow TiO2 spheres were obtained by calcination at 450 °C. TiO2/PS with 2 coating layers showed higher degradation rate. The photocatalytic activity of hollow TiO2 spheres was higher than that of TiO2/PS.









Similar content being viewed by others
Explore related subjects
Discover the latest articles and news from researchers in related subjects, suggested using machine learning.References
Yang J, Mei S, Ferreira JMF, Norby P, Quaresma S (2005) J Collid Interface Sci 283:102
Chen Y-F, Lee C-Y, Yeng M-Y, Chiu H-T (2003) J Cryst Growth 247:364
Hoffmann MR, Martin ST, Choi W, Bahnemann DW (1995) Chem Rev 95:9
Yin S, Hasegawa H, Maeda D, Ishitsuka M, Sato T (2004) J Photochem Photobio 163:1
Kim KJ, Benksten KD, Van De Lagemaat J, Frank AJ (2002) J Chem Mater 14:1042
Tao N, Zhao J, Guo Y, Jiang Y, Ding X, Wang Z (2004) Mater Chem Phys 84:58
Yang Q, Xie C, Xu Z, Gao Z, Du Y (2005) J Phys Chem B 109:5554
Wang W, Gu B, Liang L, Hamilton AW, Wesolowski DJ (2004) J Phys Chem B 108:14789
Wu M, Lin G, Chen D, Wang G, He D, Feng S, Xu R (2002) Mater Chem 14:1974
Navrotsky A (2003) Geochem Trans 4:34
Park HK, Kim WDK, Kim CH (1997) J Am Ceram Soc 80:743
Li Y, Fan Y, Chen Y (2002) J Mater.Chem 12:1387
Samuel V, Pasricha R, Ravi V (2005) Ceram Int 31:555
Li Y-L, Ishigaki T (2004) J Phys Chem B 108:15536
Ito S, Takeuchi T, Katayama T, Sugiyama M et al. (2003) Chem Mater 15:2824
Eiden S, Maret G. (2002) J Colloid Interf Sci 250:281
Boccaccini AR, Karapappas P, Marijuan JM (2004) J Mater Sci 39:851
Nishino J, Teekateerawej S, Nosaka Y (2003) J Mater Sci Letters 22:1007
Zan L, Peng Z-H, Xia Y-L, Huang L (2004) J Mater Sci 39:761
Eiden S, Maret G (2002) J Collid Interf Sci 250:281
Yin S, (2002) Mater Chem Phys 75:76
Li Y, Lee N-H, Hwang D-S, Song JS, Lee EG, Kim S-J (2004) Langmuir 20:10838
Yang Q, Xi C, Xu Z, Ga Z, Du Y (2005) J Phys Chem B 109:5554
Acknowledgement
This work was supported by a grant from the National Natural Science Foundation of China (50342016).
Author information
Authors and Affiliations
Corresponding author
Rights and permissions
About this article
Cite this article
Chen, RF., Zhang, L., Wei, Y. et al. Preparation of rutile (TiO2) nanostructured materials at low temperature from TiCl4 aqueous solution. J Mater Sci 42, 7141–7146 (2007). https://doi.org/10.1007/s10853-007-1681-z
Received:
Accepted:
Published:
Issue Date:
DOI: https://doi.org/10.1007/s10853-007-1681-z

