Skip to main content

Non-invasive stereotactic body radiation therapy for refractory ventricular arrhythmias: an institutional experience

Abstract

Background

Initial studies have reported excellent safety and efficacy for stereotactic body radiation therapy (SBRT) in patients with refractory ventricular tachycardia (VT).

Methods

This is a single-center retrospective analysis of eight consecutive patients who underwent SBRT for refractory, scar-related VT. The anatomic target for radioablation was defined based on surface 12-lead ECG VT morphology, cardiac magnetic resonance imaging, and electroanatomic mapping data when available. The target volume treated and the prescribed radiation dose (15–25 Gy) was based on the combined clinical assessment of the cardiac electrophysiologist and radiation oncologist. Ventricular arrhythmias, radiation-related outcomes, and adverse events were monitored at follow-up.

Results

Eight patients underwent nine SBRT sessions. All patients were male with an average age of 75 ± 7.3 years and mean ejection fraction of 21 ± 7%. SBRT was performed with delivery of an average of 22.2 ± 3.6 Gy in a single session with a procedure time of 18.2 ± 6.0 min. All but one session was performed on an inpatient basis. No acute complications occurred. During a median follow-up of 7.8 months (IQR 4.8, 9.9), ICD therapies decreased from median 69.5 (43.5, 115.8) pre-SBRT to 13.3 (IQR 7.7, 35.8) post-SBRT (p = 0.036). There were three patient deaths in the follow-up period, unrelated to SBRT. Apparent clinical benefit occurred 33% of the time after SBRT.

Conclusions

The patients experienced overall reduction in VT burden following SBRT, though not with the immediate effect seen in other patient series. Further studies (basic, translational, and clinical) are essential to determine the benefit of SBRT and if so, the optimal protocols and patient selection.

This is a preview of subscription content, access via your institution.

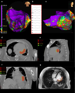
Fig. 1
Fig. 2

References

  1. Al-Khatib SM, Stevenson WG, Ackerman MJ, Bryant WJ, Callans DJ, Curtis AB, et al. 2017 AHA/ACC/HRS guideline for management of patients with ventricular arrhythmias and the prevention of sudden cardiac death: executive summary: a report of the American College of Cardiology/American Heart Association Task Force on Clinical Practice Guidelines and the Heart Rhythm Society. J Am Coll Cardiol. 2017;72:1677–749. https://doi.org/10.1016/j.jacc.2017.10.053.

    Article  PubMed  Google Scholar 

  2. Cuculich PS, Schill MR, Kashani R, Mutic S, Lang A, Cooper D, et al. Noninvasive cardiac radiation for ablation of ventricular tachycardia. N Engl J Med. 2017;377(24):2325–36. https://doi.org/10.1056/NEJMoa1613773.

    Article  PubMed  PubMed Central  Google Scholar 

  3. Robinson CG, Samson PP, Moore KMS, Hugo GD, Knutson N, Mutic S, et al. Phase I/II trial of electrophysiology-guided noninvasive cardiac radioablation for ventricular tachycardia. Circulation. 2019;139(3):313–21. https://doi.org/10.1161/CIRCULATIONAHA.118.038261.

    Article  PubMed  PubMed Central  Google Scholar 

  4. Scholz EP, Seidensaal K, Naumann P, Andre F, Katus HA, Debus J. Risen from the dead: cardiac stereotactic ablative radiotherapy as last rescue in a patient with refractory ventricular fibrillation storm. HeartRhythm Case Rep. 2019;5(6):329–32. https://doi.org/10.1016/j.hrcr.2019.03.004.

    Article  PubMed  PubMed Central  Google Scholar 

  5. Jumeau R, Ozsahin M, Schwitter J, Vallet V, Duclos F, Zeverino M, et al. Rescue procedure for an electrical storm using robotic non-invasive cardiac radio-ablation. Radiother Oncol. 2018;128(2):189–91. https://doi.org/10.1016/j.radonc.2018.04.025.

    Article  PubMed  Google Scholar 

  6. Loo BW Jr, Soltys SG, Wang L, Lo A, Fahimian BP, Iagaru A, et al. Stereotactic ablative radiotherapy for the treatment of refractory cardiac ventricular arrhythmia. Circ Arrhythm Electrophysiol. 2015;8(3):748–50. https://doi.org/10.1161/CIRCEP.115.002765.

    Article  PubMed  Google Scholar 

  7. Neuwirth R, Cvek J, Knybel L, Jiravsky O, Molenda L, Kodaj M, et al. Stereotactic radiosurgery for ablation of ventricular tachycardia. Europace. 2019;21(7):1088–95. https://doi.org/10.1093/europace/euz133.

    Article  PubMed  Google Scholar 

  8. Rashid S, Rapacchi S, Vaseghi M, Tung R, Shivkumar K, Finn JP, et al. Improved late gadolinium enhancement MR imaging for patients with implanted cardiac devices. Radiology. 2014;270(1):269–74. https://doi.org/10.1148/radiol.13130942.

    Article  PubMed  PubMed Central  Google Scholar 

  9. Benedict SH, Yenice KM, Followill D, Galvin JM, Hinson W, Kavanagh B, et al. Stereotactic body radiation therapy: the report of AAPM Task Group 101. Med Phys. 2010;37(8):4078–101. https://doi.org/10.1118/1.3438081.

    Article  PubMed  Google Scholar 

  10. Diamantakos E, Harvey R, Shivkumar K, Bradfield JS. Structural interventions and potential unforeseen limits on access to ventricular tachycardia substrates. JACC Clin Electrophysiol. 2019;5(8):996–7. https://doi.org/10.1016/j.jacep.2019.04.010.

    Article  PubMed  Google Scholar 

  11. Di Biase L, Santangeli P, Burkhardt DJ, Bai R, Mohanty P, Carbucicchio C, et al. Endo-epicardial homogenization of the scar versus limited substrate ablation for the treatment of electrical storms in patients with ischemic cardiomyopathy. J Am Coll Cardiol. 2012;60(2):132–41. https://doi.org/10.1016/j.jacc.2012.03.044.

    Article  PubMed  Google Scholar 

  12. Gianni C, Rivera D, Burkhardt JD, Pollard B, Gardner E, Maguire P, et al. Stereotactic arrhythmia radioablation for refractory scar-related ventricular tachycardia. Heart Rhythm. 2020;17:1241–8. https://doi.org/10.1016/j.hrthm.2020.02.036.

    Article  PubMed  Google Scholar 

  13. Chun SG, Hu C, Choy H, Komaki RU, Timmerman RD, Schild SE, et al. Impact of intensity-modulated radiation therapy technique for locally advanced non-small-cell lung cancer: a secondary analysis of the NRG Oncology RTOG 0617 Randomized Clinical Trial. J Clin Oncol. 2017;35(1):56–62. https://doi.org/10.1200/JCO.2016.69.1378.

    Article  PubMed  Google Scholar 

  14. Sharma A, Wong D, Weidlich G, Fogarty T, Jack A, Sumanaweera T, et al. Noninvasive stereotactic radiosurgery (CyberHeart) for creation of ablation lesions in the atrium. Heart Rhythm. 2010;7(6):802–10. https://doi.org/10.1016/j.hrthm.2010.02.010.

    Article  PubMed  Google Scholar 

  15. Zei PC, Wong D, Gardner E, Fogarty T, Maguire P. Safety and efficacy of stereotactic radioablation targeting pulmonary vein tissues in an experimental model. Heart Rhythm. 2018;15(9):1420–7. https://doi.org/10.1016/j.hrthm.2018.04.015.

    Article  PubMed  Google Scholar 

  16. Lehmann HI, Graeff C, Simoniello P, Constantinescu A, Takami M, Lugenbiel P, et al. Feasibility study on cardiac arrhythmia ablation using high-energy heavy ion beams. Sci Rep. 2016;6:38895. https://doi.org/10.1038/srep38895.

    CAS  Article  PubMed  PubMed Central  Google Scholar 

  17. Blanck O, Bode F, Gebhard M, Hunold P, Brandt S, Bruder R, et al. Dose-escalation study for cardiac radiosurgery in a porcine model. Int J Radiat Oncol Biol Phys. 2014;89(3):590–8. https://doi.org/10.1016/j.ijrobp.2014.02.036.

    Article  PubMed  Google Scholar 

  18. Refaat MM, Ballout JA, Zakka P, Hotait M, Al Feghali KA, Gheida IA, et al. Swine atrioventricular node ablation using stereotactic radiosurgery: methods and in vivo feasibility investigation for catheter-free ablation of cardiac arrhythmias. J Am Heart Assoc. 2017;6(11). https://doi.org/10.1161/JAHA.117.007193.

Download references

Funding

This study was supported by OT OT2OD028201 (to KS, MV, OAA, and JB).

Author information

Affiliations

Authors

Corresponding author

Correspondence to Jason S. Bradfield.

Ethics declarations

Retrospective data analysis was performed under a protocol approved by the institutional review board.

Conflict of interest

The authors declare that they have no conflict of interest.

Additional information

Publisher’s note

Springer Nature remains neutral with regard to jurisdictional claims in published maps and institutional affiliations.

Electronic supplementary material

ESM 1

(DOCX 14 kb).

Rights and permissions

Reprints and Permissions

About this article

Verify currency and authenticity via CrossMark

Cite this article

Chin, R., Hayase, J., Hu, P. et al. Non-invasive stereotactic body radiation therapy for refractory ventricular arrhythmias: an institutional experience. J Interv Card Electrophysiol 61, 535–543 (2021). https://doi.org/10.1007/s10840-020-00849-0

Download citation

  • Received:

  • Accepted:

  • Published:

  • Issue Date:

  • DOI: https://doi.org/10.1007/s10840-020-00849-0

Keywords

  • Ventricular tachycardia
  • Stereotactic body radiation therapy
  • Ablation
  • Non-invasive