Abstract
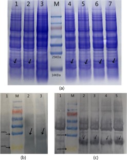
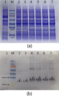
Phycobilin lyase plays an important role in the binding of phycobilin chromophores to phycobiliprotein. The bilin lyase cpeT gene was cloned from Gracilariopsis lemaneiformis to study the synthesis of fluorescent phycobiliprotein. Two recombinant plasmids, one containing the genes (ho1 and pebA, pebB) that produce phycoerythrobilin and the other containing the two subunit genes (rpeB, rpeA) of phycoerythrin (R-PE), as well as the lyase gene cpeT, were constructed and transformed into Escherichia coli. The recombinant strain with lyase CpeT and the β-subunit of phycoerythrin (R-PeB) enhanced the optical activity of R-PE, indicating that lyase CpeT catalyzes the synthesis of the R-PeB with optical activity. Another two recombinant plasmids, one containing the genes (ho(314), pcyA(314)) that produce phycocyanobilin and the other containing the two subunit genes (rpcB, rpcA) of phycocyanin (R-PC), as well as the lyase gene cpeT, were constructed and transformed into Escherichia coli. However, there was no enhancement in fluorescence in this recombinant strain, revealing that lyase CpeT cannot catalyze the synthesis of optically active R-PC. Thereafter, Cys-82 and Cys-158 of R-PeB were individually mutated to identify the possible binding sites of apoproteins with phycobilins catalyzed by CpeT. We found that there was a significant decrease in the fluorescence of the mutated Cys-158 recombinant strain, suggesting that Cys-158 is the active site for the binding of the β-subunit with CpeT-catalyzed phycoerythrobilin in G. lemaneiformis. The results of this study lay the foundation for understanding the synthesis of fluorescent phycobiliprotein.






Similar content being viewed by others
Explore related subjects
Discover the latest articles and news from researchers in related subjects, suggested using machine learning.References
Biasini M, Bienert S, Waterhouse A, Arnold K, Studer G, Schmidt T, Kiefer F, Gallo Cassarino T, Bertoni M, Bordoli L, Schwede T (2014) SWISS-MODEL: modelling protein tertiary and quaternary structure using evolutionary information. Nucleic Acids Res 42:W252–W258
Bishop JE, Lagarias JC, Nagy JO, Schoenleber RW, Rapoport H, Klotz AV, Glazer AN (1986) Phycobiliprotein-bilin linkage diversity. I. Structural studies on A- and D-ring-linked phycocyanobilins. J Biol Chem 261:6790–6796
Biswas A, Boutaghou MN, Alvey RM, Kronfel CM, Cole RB, Bryant DA, Schluchter WM (2011) Characterization of the activities of the CpeY, CpeZ, and CpeS bilin lyases in phycoerythrin biosynthesis in Fremyella diplosiphon strain UTEX 481. J Biol Chem 286:35509–35521
Fairchild CD, Zhao J, Zhou J, Colson SE, Bryant DA, Glazer AN (1992) Phycocyanin alpha-subunit phycocyanobilin lyase. Proc Natl Acad Sci U S A 89:7017–7021
Frankenberg N, Mukougawa K, Kohchi T, Lagarias JC (2001) Functional genomic analysis of the HY2 family of ferredoxin-dependent bilin reductases from oxygenic photosynthetic organisms. Plant Cell 13:965–978
Gasper R, Schwach J, Hartmann J, Holtkamp A, Wiethaus J, Riedel N, Hofmann E, Frankenberg Dinkel N (2017) Distinct features of cyanophage-encoded T-type phycobiliprotein lyase ΦCpeT. J Biol Chem 292:3089–3098
Glazer AN (1984) Phycobilisome a macromolecular complex optimized for light energy transfer. Biochim Biophys Acta Rev Bioenerg 768:29–51
Glazer AN (1985) Light harvesting by phycobilisomes. Ann Biophys Biophys Chem 14:47–77
Glazer AN (1989) Light guides. Directional energy transfer in a photosynthetic antenna. J Biol Chem 264:1–4
Holzwarth AR (1985) Energy-transfer kinetics in phycobilisomes. In: Michel-Beyerle ME (ed) Antennas and reaction centers of photosynthetic bacteria. Springer, Berlin, pp 45–52
Huang X, Zang X, Wu F, Jin Y, Wang H, Liu C, Ding Y, He B, Xiao D, Song X, Liu Z (2017) Transcriptome sequencing of Gracilariopsis lemaneiformis to analyze the genes related to optically active phycoerythrin synthesis. PLoS One 12:e0170855
Johnson M, Zaretskaya I, Raytselis Y, Merezhuk Y, McGinnis S, Madden TL (2008) NCBI BLAST: a better web interface. Nucleic Acids Res 36:W5–W9
Kohchi T, Mukougawa K, Frankenberg N, Masuda M, Yokota A, Lagarias JC (2001) The Arabidopsis HY2 gene encodes phytochromobilin synthase, a ferredoxin-dependent biliverdin reductase. Plant Cell 13:425–436
MacColl R (1998) Cyanobacterial phycobilisomes. J Struct Biol 124:311–334
Saitou N, Nei M (1987) The neighbor-joining method: a new method for reconstructing phylogenetic trees. Mol Biol Evol 4:406–425
Sapay N, Guermeur Y, Deleage G (2006) Prediction of amphipathic in-plane membrane anchors in monotopic proteins using a SVM classifier. BMC Bioinformatics 7:255
Saunee NA, Williams SR, Bryant DA, Schluchter WM (2008) Biogenesis of phycobiliproteins: II. CpcS-I and CpcU comprise the heterodimeric bilin lyase that attaches phycocyanobilin to CYS-82 of β-phycocyanin and CYS-81 of allophycocyanin subunits in Synechococcus sp. PCC 7002. J Biol Chem 283:7513–7522
Shen G, Saunée NA, Williams SR, Gallo EF, Schluchter WM, Bryant DA (2006) Identification and characterization of a new class of bilin lyase: the cpcT gene encodes a bilin lyase responsible for attachment of phycocyanobilin to Cys-153 on the β-subunit of phycocyanin in Synechococcus sp. PCC 7002. J Biol Chem 281:17768–17778
Shen G, Schluchter WM, Bryant DA (2008) Biogenesis of phycobiliproteins: I. cpcS-I and cpcU mutants of the cyanobacterium Synechococcus sp. PCC 7002 define a heterodimeric phyococyanobilin lyase specific for β-phycocyanin and allophycocyanin subunits. J Biol Chem 283:7503–7512
Shukla A, Biswas A, Blot N, Partensky F, Karty JA, Hammad LA, Garczarek L, Gutu A, Schluchter WM, Kehoe DM (2012) Phycoerythrin-specific bilin lyase-isomerase controls blue-green chromatic acclimation in marine Synechococcus. Proc Natl Acad Sci U S A 109:20136–20141
Sun L, Wang S, Zhao M, Fu X, Gong X, Chen M, Wang L (2009) Phycobilisomes from cyanobacteria
Tamura K, Peterson D, Peterson N, Stecher G, Nei M, Kumar S (2011) MEGA5: molecular evolutionary genetics analysis using maximum likelihood, evolutionary distance, and maximum parsimony methods. Mol Biol Evol 28:2731–2739
Tooley AJ, Cai YA, Glazer AN (2001) Biosynthesis of a fluorescent cyanobacterial C-phycocyanin holo-α subunit in a heterologous host. Proc Natl Acad Sci U S A 98:10560–10565
Williams VP, Glazer AN (1978) Structural studies on phycobiliproteins. I. Bilin-containing peptides of C-phycocyanin. J Biol Chem 253:202–211
Zhang R, Feng XT, Wu F, Ding Y, Zang XN, Zhang XC, Yuan DY, Zhao BR (2014) Molecular cloning and expression analysis of a new bilin lyase: the cpcT gene encoding a bilin lyase responsible for attachment of phycocyanobilin to Cys-153 on the β-subunit of phycocyanin in Arthrospira platensis FACHB314. Gene 544:191–197
Zhao KH, Deng MG, Zheng M, Zhou M, Parbel A, Storf M, Meyer M, Strohmann B, Scheer H (2000) Novel activity of a phycobiliprotein lyase: both the attachment of phycocyanobilin and the isomerization to phycoviolobilin are catalyzed by the proteins PecE and PecF encoded by the phycoerythrocyanin operon. FEBS Lett 469:9–13
Zhao KH, Su P, Li J, Tu JM, Zhou M, Bubenzer C, Scheer H (2006) Chromophore attachment to phycobiliprotein β-subunits: phycocyanobilin:cysteine-β84 phycobiliprotein lyase activity of CpeS-like protein from Anabaena Sp. PCC7120. J Biol Chem 281:8573–8581
Zhao KH, Su P, Tu JM, Wang X, Liu H, Ploscher M, Eichacker L, Yang B, Zhou M, Scheer H (2007a) Phycobilin:cystein-84 biliprotein lyase, a near-universal lyase for cysteine-84-binding sites in cyanobacterial phycobiliproteins. Proc Natl Acad Sci U S A 104:14300–14305
Zhao KH, Zhang J, Tu JM, Bohm S, Ploscher M, Eichacker L, Bubenzer C, Scheer H, Wang X, Zhou M (2007b) Lyase activities of CpcS- and CpcT-like proteins from Nostoc PCC7120 and sequential reconstitution of binding sites of phycoerythrocyanin and phycocyanin β-subunits. J Biol Chem 282:34093–34103
Zhou JH, Gasparich GE, Stirewalt VL, Delorimier R, Bryant DA (1992) The Cpce and Cpcf genes of Synechococcus sp PCC-7002 - Construction and phenotypic characterization of interposon mutants. J Biol Chem 267:16138–16145
Zhou W, Ding WL, Zeng XL, Dong LL, Zhao B, Zhou M, Scheer H, Zhao KH, Yang X (2014) Structure and mechanism of the phycobiliprotein lyase CpcT. J Biol Chem 289:26677–26689
Funding
This research was supported by China Agriculture Research System (CRAS-50) and the National Natural Science Foundation of China (grant no. 31472255).
Author information
Authors and Affiliations
Corresponding author
Ethics declarations
Conflict of interest
The authors declare that they have no conflict of interest.
Ethical approval
All applicable international, national, and institutional guidelines for the care and use of animals were followed.
Additional information
Publisher’s note
Springer Nature remains neutral with regard to jurisdictional claims in published maps and institutional affiliations.
Rights and permissions
About this article
Cite this article
Cao, X., Zang, X., Liu, Z. et al. Molecular cloning of the cpeT gene encoding a bilin lyase responsible for attachment of phycoerythrobilin to Cys-158 on the β-subunit of phycoerythrin in Gracilariopsis lemaneiformis. J Appl Phycol 31, 3331–3340 (2019). https://doi.org/10.1007/s10811-019-01778-w
Received:
Revised:
Accepted:
Published:
Issue Date:
DOI: https://doi.org/10.1007/s10811-019-01778-w


