Abstract
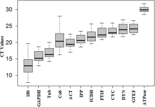
Alexandrium catenella is a cosmopolitan harmful algal bloom (HAB) forming dinoflagellate. To comprehend its mechanisms of bloom formation, gene expression analysis is indispensable. Quantitative real-time reverse transcription PCR (qRT-PCR) is an ideal method for swift and precise quantification of gene expression analysis that greatly relies on selection of apposite reference genes for data normalization. To date, limited studies have focused on the screening of reference genes in dinoflagellates. The unavailability of valid reference gene for normalizing poses hindrances in the appliance of qRT-PCR to the HAB forming group. The work presented here evaluated 12 reference genes for their expression stability using qRT-PCR under diverse nutritional conditions together with high light. Statistical algorithm such as RefFinder was used that analyze data using geNorm and NormFinder, comparative delta-CT method along with a combination approach that declares comprehensive ranking contingent upon the geometric mean of the results procured from other methods. Comprehensive analysis across all condition by geNorm showed ACT, IPP, and GAPDH as genes possessing highest stability followed by Tubα and ICDH. Comprehensive analysis by Normfinder declared that IPP is the most stable gene followed by ACT, CYC, GAPDH, and GTEF. Combination approach using comparative delta CT, geNorm and NormFinder analysis programs through RefFinder as well as ranking by standard deviation of delta CT declared IPP as the most stable gene followed by ACT and GAPDH. IPP, ACT, and GAPDH represented the top 4 listed stable reference genes among all the analysis methods used. The results of pairwise variation by geNorm showed that V2/V3 value under all the tested conditions was below the cut-off value of 0.15 which shows that two genes are sufficient for normalization. Our results in accord with other widely conducted studies emphasize the significance of reference gene validation in precise experimental setup before appliance to avoid serious misinterpretation of the results. It is highly expected that the procedures and outcome of the report may be helpful for future studies in the gene expression analysis of A. catenella and to screen out reference genes for other algae.







Similar content being viewed by others
Explore related subjects
Discover the latest articles and news from researchers in related subjects, suggested using machine learning.References
Andersen CL, Jensen JL, Ørntoft TF (2004) Normalization of real-time quantitative reverse transcription-PCR data: a model-based variance estimation approach to identify genes suited for normalization, applied to bladder and colon cancer data sets. Cancer Res 64:5245–5250
Barber RD, Harmer DW, Coleman RA, Clark BJ (2005) GAPDH as a housekeeping gene: analysis of GAPDH mRNA expression in a panel of 72 human tissues. Physiol Genomics 21:389–395
Bas A, Forsberg G, Hammarström S, Hammarström ML (2004) Utility of the housekeeping genes 18S rRNA, β-actin and glyceraldehyde-3-phosphate-dehydrogenase for normalization in real-time quantitative reverse transcriptase-polymerase chain reaction analysis of gene expression in human T lymphocytes. Scad J Immunol 59:566–573
Bendich AJ, Drlica K (2000) Prokaryotic and eukaryotic chromosomes: what’s the difference? Bioessays 22:481–486
Bhaud Y, Guillebault D, Lennon J, Defacque H, Soyer-Gobillard M-O, Moreau H (2000) Morphology and behaviour of dinoflagellate chromosomes during the cell cycle and mitosis. J Cell Sci 113:1231–1239
Bohle K, Jungebloud A, Göcke Y, Dalpiaz A, Cordes C, Horn H, Hempel D (2007) Selection of reference genes for normalization of specific gene quantification data of Aspergillus niger. J Biotechnol 132:353–358
Boldt L, Yellowlees D, Leggat W (2009) Measuring Symbiodinium sp. gene expression patterns with quantitative real-time PCR. Proceedings of the 11th ICRS:118–122
Brand LE, Sunda WG, Guillard RR (1983) Limitation of marine phytoplankton reproductive rates by zinc, manganese, and iron. Limnol Oceanogr 28:1182–1198
Brunner AM, Yakovlev IA, Strauss SH (2004) Validating internal controls for quantitative plant gene expression studies. BMC Plant Biol 4(1):1
Bustin S, Benes V, Nolan T, Pfaffl M (2005) Quantitative real-time RT-PCR–a perspective. J Mol Endocrinol 34:597–601
Bustin SA, Benes V, Garson JA, Hellemans J, Huggett J, Kubista M, Mueller R, Nolan T, Pfaffl MW, Shipley GL (2009) The MIQE guidelines: minimum information for publication of quantitative real-time PCR experiments. Clin Chem 55:611–622
Cao S, Zhang X, Ye N, Fan X, Mou S, Xu D, Liang C, Wang Y, Wang W (2012) Evaluation of putative internal reference genes for gene expression normalization in Nannochloropsis sp. by quantitative real-time RT-PCR. Biochem Biophys Res Commun 424:118–123
Chen I-H, Wang J-H, Chou S-J, Wu Y-H, Li T-H, Leu M-Y, Chang W-B, Yang WC (2016) Selection of reference genes for RT-qPCR studies in blood of beluga whales (Delphinapterus leucas). PeerJ 4:e1810
Chong G, Kuo F-W, Tsai S, Lin C (2017) Validation of reference genes for cryopreservation studies with the gorgonian coral endosymbiont Symbiodinium. Sci Rep 7:39396
De Jonge HJ, Fehrmann RS, de Bont ES, Hofstra RM, Gerbens F, Kamps WA, de Vries EG, van der Zee AG, te Meerman GJ, ter Elst A (2007) Evidence based selection of housekeeping genes. PLoS One 2(9):e898
de Kok JB, Roelofs RW, Giesendorf BA, Pennings JL, Waas ET, Feuth T, Swinkels DW, Span PN (2005) Normalization of gene expression measurements in tumor tissues: comparison of 13 endogenous control genes. Lab Investig 85:154–159
de la Espina SMD, Alverca E, Cuadrado A, Franca S (2005) Organization of the genome and gene expression in a nuclear environment lacking histones and nucleosomes: the amazing dinoflagellates. Eur J Cell Biol 84:137–149
Demidenko NV, Logacheva MD, Penin AA (2011) Selection and validation of reference genes for quantitative real-time PCR in buckwheat (Fagopyrum esculentum) based on transcriptome sequence data. PLoS One 6(5):e19434
Deng Y, Hu Z, Ma Z, Tang YZ (2016) Validation of reference genes for gene expression studies in the dinoflagellate Akashiwo sanguinea by quantitative real-time RT-PCR. Acta Oceanol Sinica 35::106–113
Ding Y, Sun H, Zhang R, Yang Q, Liu Y, Zang X, Zhang X (2015) Selection of reference gene from Gracilaria lemaneiformis under temperature stress. J Appl Phycol 27:1365–1372
Dong M, Zhang X, Chi X, Mou S, Xu J, Xu D, Wang W, Ye N (2012) The validity of a reference gene is highly dependent on the experimental conditions in green alga Ulva linza. Curr Genet 58:13–20
Feng L, Yu Q, Li X, Ning X, Wang J, Zou J, Zhang L, Wang S, Hu J, Hu X (2013) Identification of reference genes for qRT-PCR analysis in Yesso Scallop Patinopecten yessoensis. PLoS One 8(9):e75609
Galleron C (1976) Synchronization of the marine dinoflagellate Amphidinium carteri in dense cultures. J Phycol 12:69–73
Geng H, Sui Z, Zhang S, Du Q, Ren Y, Liu Y, Kong F, Zhong J, Ma Q (2015) Identification of microRNAs in the toxigenic dinoflagellate Alexandrium catenella by high-throughput Illumina sequencing and bioinformatic analysis. PLoS One 10(9):e0138709
Ginzinger DG (2002) Gene quantification using real-time quantitative PCR: an emerging technology hits the mainstream. Exp Hematol 30:503–512
Giulietti A, Overbergh L, Valckx D, Decallonne B, Bouillon R, Mathieu C (2001) An overview of real-time quantitative PCR: applications to quantify cytokine gene expression. Methods 25:386–401
Guillard RRL (1975) Culture of phytoplankton for feeding marine invertebrates. In: Smith WL, Chanley MH (eds) Culture of marine invertebrate animals. Plenum Press, New York, pp 29–60
Guo R, Ki J-S (2012) Evaluation and validation of internal control genes for studying gene expression in the dinoflagellate Prorocentrum minimum using real-time PCR. Eur J Protistol 48:199–206
Gutierrez L, Mauriat M, Guénin S, Pelloux J, Lefebvre JF, Louvet R, Rusterucci C, Moritz T, Guerineau F, Bellini C (2008) The lack of a systematic validation of reference genes: a serious pitfall undervalued in reverse transcription-polymerase chain reaction (RT-PCR) analysis in plants. Plant Biotechnol J 6:609–618
Hackett JD, Anderson DM, Erdner DL, Bhattacharya D (2004) Dinoflagellates: a remarkable evolutionary experiment. Am J Bot 91:1523–1534
He J-Q, Sandford AJ, Wang I-M, Stepaniants S, Knight DA, Kicic A, Stick SM, Paré PD (2008) Selection of housekeeping genes for real-time PCR in atopic human bronchial epithelial cells. Eur Respir J 32:755–762
Hobbie JE, Daley RJ, Jasper S (1977) Use of nuclepore filters for counting bacteria by fluorescence microscopy. Appl Environ Microbiol 33:1225–1228
Huang J, Liang S, Sui Z, Mao Y, Guo H (2010) Cloning and characterization of proliferating cell nuclear antigen gene of Alexandrium catenella (Dinoflagellate) with respect to cell growth. Acta Oceanol SinicA 29::90–96
Huggett J, Dheda K, Bustin S, Zumla A (2005) Real-time RT-PCR normalisation; strategies and considerations. Genes Immun 6:279–284
Huis R, Hawkins S, Neutelings G (2010) Selection of reference genes for quantitative gene expression normalization in flax (Linum usitatissimum L.). BMC Plant Biol 10(1):1
Jacob F, Guertler R, Naim S, Nixdorf S, Fedier A, Hacker NF, Heinzelmann-Schwarz V (2013) Careful selection of reference genes is required for reliable performance of RT-qPCR in human normal and cancer cell lines. PLoS One 8(3):e59180
Jain M, Nijhawan A, Tyagi AK, Khurana JP (2006) Validation of housekeeping genes as internal control for studying gene expression in rice by quantitative real-time PCR. Biochem Biophys Res Commun 345:646–651
Janssens N, Janicot M, Perera T, Bakker A (2004) Housekeeping genes as internal standards in cancer research. Mol Diagn 8:107–113
Jarczak J, Kaba J, Bagnicka E (2014) The validation of housekeeping genes as a reference in quantitative real time PCR analysis: application in the milk somatic cells and frozen whole blood of goats infected with caprine arthritis encephalitis virus. Gene 549:280–285
Ji N, Li L, Lin L, Lin S (2015) Screening for suitable reference genes for quantitative real-time PCR in Heterosigma akashiwo (Raphidophyceae). PLoS One 10(7):e0132183
Khanlou KM, Van Bockstaele E (2012) A critique of widely used normalization software tools and an alternative method to identify reliable reference genes in red clover (Trifolium pratense L.). Planta 236:1381–1393
Kianianmomeni A, Hallmann A (2013) Validation of reference genes for quantitative gene expression studies in Volvox carteri using real-time RT-PCR. Mol Biol Rep 40:6691–6699
Kouadjo KE, Nishida Y, Cadrin-Girard JF, Yoshioka M, St-Amand J (2007) Housekeeping and tissue-specific genes in mouse tissues. BMC Genomics 8(1):127
Le Bail A, Dittami SM, de Franco P-O, Rousvoal S, Cock MJ, Tonon T, Charrier B (2008) Normalisation genes for expression analyses in the brown alga model Ectocarpus siliculosus. BMC Mol Biol 9(1):75
Li B, Chen C, Xu Y, Ji D, Xie C (2014) Validation of housekeeping genes as internal controls for studying the gene expression in Pyropia haitanensis (Bangiales, Rhodophyta) by quantitative real-time PCR. Acta Oceanol Sinica 33:152–159
Lin S, Zhang H, Hou Y, Zhuang Y, Miranda L (2009) High-level diversity of dinoflagellates in the natural environment, revealed by assessment of mitochondrial cox1 and cob genes for dinoflagellate DNA barcoding. Appl Environ Microbiol 75:1279–1290
Liu C, Wu G, Huang X, Liu S, Cong B (2012) Validation of housekeeping genes for gene expression studies in an ice alga Chlamydomonas during freezing acclimation. Extremophiles 16:419–425
Mascia T, Santovito E, Gallitelli D, Cillo F (2010) Evaluation of reference genes for quantitative reverse-transcription polymerase chain reaction normalization in infected tomato plants. Mol Plant Pathol 11:805–816
Matsuda A, Nishijima T, Fukami K (1999) Effects of nitrogenous and phosphorus nutrients on the growth of toxic dinoflagellate Alexandrium catenella. Nippon Suisan Gakkaishi 65:847–855
McCurley AT, Callard GV (2008) Characterization of housekeeping genes in zebrafish: male-female differences and effects of tissue type, developmental stage and chemical treatment. BMC Mol Biol 9(1):1
Moestrup Ø, Daugbjerg N (2007) On dinoflagellate phylogeny and classification. In: Brodie J, Lewis J (eds) Unravelling the algae: the past, present, and future of algal systematics. CRC Press, Boca Raton pp 251-230
Moura JCMS, Araújo P, dos S Brito M, Souza UR, Viana JOF, Mazzafera P (2012) Validation of reference genes from Eucalyptus spp. under different stress conditions. BMC Res Notes 5(1):634
Murthi P, Fitzpatrick E, Borg A, Donath S, Brennecke S, Kalionis B (2008) GAPDH, 18S rRNA and YWHAZ are suitable endogenous reference genes for relative gene expression studies in placental tissues from human idiopathic fetal growth restriction. Placenta 29:798–801
Nicot N, Hausman J-F, Hoffmann L, Evers D (2005) Housekeeping gene selection for real-time RT-PCR normalization in potato during biotic and abiotic stress. J Exp Bot 56:2907–2914
Ohl F, Jung M, Radonić A, Sachs M, Loening SA, Jung K (2006) Identification and validation of suitable endogenous reference genes for gene expression studies of human bladder cancer. J Urol 175:1915–1920
Paerl HW (1997) Coastal eutrophication and harmful algal blooms: importance of atmospheric deposition and groundwater as “new” nitrogen and other nutrient sources. Limnol Oceanogr 42:1154–1165
Paerl HW, Dyble J, Moisander PH, Noble RT, Piehler MF, Pinckney JL, Steppe TF, Twomey L, Valdes LM (2003) Microbial indicators of aquatic ecosystem change: current applications to eutrophication studies. FEMS Microbiol Ecol 46:233–246
Parkhill J-P, Cembella AD (1999) Effects of salinity, light and inorganic nitrogen on growth and toxigenicity of the marine dinoflagellate Alexandrium tamarense from northeastern Canada. J Plankton Res 21:939–955
Pereira-Fantini PM, Rajapaksa AE, Oakley R, Tingay DG (2016) Selection of reference genes for gene expression studies related to lung injury in a preterm lamb model. Sci Rep 6:26476
Pfaffl MW (2001) A new mathematical model for relative quantification in real-time RT–PCR. Nucleic Acids Res 29(9):e45–e45
Pfaffl MW, Tichopad A, Prgomet C, Neuvians TP (2004) Determination of stable housekeeping genes, differentially regulated target genes and sample integrity: BestKeeper–excel-based tool using pair-wise correlations. Biotechnol Lett 26:509–515
Radonić A, Thulke S, Mackay IM, Landt O, Siegert W, Nitsche A (2004) Guideline to reference gene selection for quantitative real-time PCR. Biochem Biophys Res Commun 313:856–862
Redfield AC (1958) The biological control of chemical factors in the environment. Am Sci 46 (3):230A,205-221
Ren YY (2015) Physiological and gene expression studies on the explosive growth of Alexandrium catenella. Graduation Paper, Ocean University of China
Rosic NN, Pernice M, Rodriguez-Lanetty M, Hoegh-Guldberg O (2011) Validation of housekeeping genes for gene expression studies in Symbiodinium exposed to thermal and light stress. Mar Biotechnol 13:355–365
Rosic N, Kaniewska P, Chan C-KK, Ling EYS, Edwards D, Dove S, Hoegh-Guldberg O (2014) Early transcriptional changes in the reef-building coral Acropora aspera in response to thermal and nutrient stress. BMC Genomics 15(1):1052
Schoen K (2016) In Situ Identifizierung und Charakterisierung endothelialer Progenitorzellen im bovinen Ovar. Thesis, Freie University of Berlin, Germany, Institute of Veterinary Anatomy
Selvey S, Thompson EW, Matthaei K, Lea RA, Irving MG, Griffiths LR (2001) β-Actin—an unsuitable internal control for RT-PCR. Mol Cell Probes 15:307–311
Silver N, Best S, Jiang J, Thein SL (2006) Selection of housekeeping genes for gene expression studies in human reticulocytes using real-time PCR. BMC Mol Biol 7(1):33
Su J, Yang X, Zheng T, Hong H (2007) An efficient method to obtain axenic cultures of Alexandrium tamarense—a PSP-producing dinoflagellate. J Microbiol Methods 69:425–430
Tang R, Dodd A, Lai D, McNabb WC, Love DR (2007) Validation of zebrafish (Danio rerio) reference genes for quantitative real-time RT-PCR normalization. Acta Biochim Biophys Sinica 39:384–390
Tatsumi K, Ohashi K, Taminishi S, Okano T, Yoshioka A, Shima M (2008) Reference gene selection for real-time RT-PCR in regenerating mouse livers. Biochem Biophys Res Commun 374:106–110
Taylor F, Hoppenrath M, Saldarriaga JF (2008) Dinoflagellate diversity and distribution. Biodivers Conserv 17:407–418
Thomas F, Barbeyron T, Michel G (2011) Evaluation of reference genes for real-time quantitative PCR in the marine flavobacterium Zobellia galactanivorans. J Microbiol Methods 84:61–66
Tong Z, Gao Z, Wang F, Zhou J, Zhang Z (2009) Selection of reliable reference genes for gene expression studies in peach using real-time PCR. BMC Mol Biol 10(1):71
Toulza E, Shin M-S, Blanc G, Audic S, Laabir M, Collos Y, Claverie J-M, Grzebyk D (2010) Gene expression in proliferating cells of the dinoflagellate Alexandrium catenella (Dinophyceae). Appl Environ Microbiol 76:4521–4529
Tricarico C, Pinzani P, Bianchi S, Paglierani M, Distante V, Pazzagli M, Bustin SA, Orlando C (2002) Quantitative real-time reverse transcription polymerase chain reaction: normalization to rRNA or single housekeeping genes is inappropriate for human tissue biopsies. Anal Biochem 309:293–300
Vandesompele J, De Preter K, Pattyn F, Poppe B, Van Roy N, De Paepe A, Speleman F (2002) Accurate normalization of real-time quantitative RT-PCR data by geometric averaging of multiple internal control genes. Genome Biol 3(7):1–12
Wan Q, Whang I, Choi CY, Lee J-S, Lee J (2011) Validation of housekeeping genes as internal controls for studying biomarkers of endocrine-disrupting chemicals in disk abalone by real-time PCR. Comp Biochem Physiol C 153:259–268
Wen R, Sui Z, Bao Z, Zhou W, Wang C (2014) Isolation and characterization of calmodulin gene of Alexandrium catenella (Dinoflagellate) and its performance in cell growth and heat stress. J Ocean Univ China 13:290–296
Wong ML, Medrano JF (2005) Real-time PCR for mRNA quantitation. Biotechniques 39:75–85
Wu X, Niu J, Huang A, Xu M, Wang G (2012) Selection of internal control gene for expression studies in Porphyra haitanensis (Rhodophyta) at different life-history stages. J Phycol 48:1040–1044
Xie F, Xiao P, Chen D, Xu L, Zhang B (2012) miRDeepFinder: a miRNA analysis tool for deep sequencing of plant small RNAs. Plant Mol Biol 80:75–84
Xu Y, Zhu X, Gong Y, Xu L, Wang Y, Liu L (2012) Evaluation of reference genes for gene expression studies in radish (Raphanus sativus L.) using quantitative real-time PCR. Biochem Biophys Res Commun 424:398–403
Yoo WG, Im Kim T, Li S, Kwon OS, Cho PY, Kim T-S, Kim K, Hong S-J (2009) Reference genes for quantitative analysis on Clonorchis sinensis gene expression by real-time PCR. Parasitol Res 104:321–328
Yoon HS, Hackett JD, Van Dolah FM, Nosenko T, Lidie KL, Bhattacharya D (2005) Tertiary endosymbiosis driven genome evolution in dinoflagellate algae. Mol Biol Evol 22:1299–1308
YuaYuan R (2015) Physiological and gene expression studies on the explosive growth of Alexandrium catenella. Ocean University of China, Qingdao
Zhang S, Sui Z, Chang L, Kang K, Ma J, Kong F, Zhou W, Wang J, Guo L, Geng H (2014) Transcriptome de novo assembly sequencing and analysis of the toxic dinoflagellate Alexandrium catenella using the Illumina platform. Gene 537:285–293
Funding
This work was supported by the National Natural Science Foundation of China (No. 41676091 and No. 41176098).
Author information
Authors and Affiliations
Corresponding author
Ethics declarations
Conflict of interest
The authors declare that they have no conflict of interest.
Rights and permissions
About this article
Cite this article
Niaz, Z., Sui, Z., Riaz, S. et al. Identification of valid reference genes for the normalization of RT-qPCR gene expression data in Alexandrium catenella under different nutritional conditions. J Appl Phycol 31, 1819–1833 (2019). https://doi.org/10.1007/s10811-018-1664-2
Received:
Revised:
Accepted:
Published:
Issue Date:
DOI: https://doi.org/10.1007/s10811-018-1664-2


