Abstract
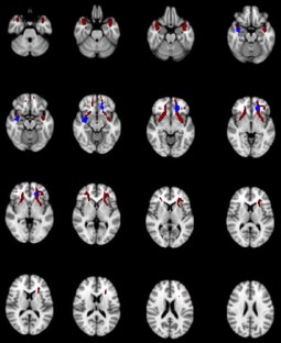
Recent evidence points to white-matter abnormalities as a key factor in autism physiopathology. Using Diffusion Tensor Imaging, we studied white-matter structural properties in a convenience sample of twenty-two subjects with low-functioning autism exposed to long-term augmentative and alternative communication, combined with sessions of cognitive and behavioral therapy. Uncinate fasciculus structural properties correlated significantly with therapy length and early onset, as well as to clinical outcome, independently from IQ, age or symptoms severity at therapy onset. Moreover, adherence to therapy was linked with better clinical outcome and uncinate fasciculus structural integrity. The results point to the capability of a long-term rehabilitation of subjects with low-functioning autism to produce white-matter structural modifications, which could thus play a role in the rehabilitative outcome.



Similar content being viewed by others
References
American Psychiatric Association. (2000). Diagnostic and statistical manual of mental disorders, text revision (4th ed.). Washington, DC: American Psychiatric Association.
Ben Bashat, D., Ben Sira, L., Graif, M., Pianka, P., Hendler, T., Cohen, Y., et al. (2005). Normal white matter development from infancy to adulthood: Comparing diffusion tensor and high b value diffusion weighted MR images. Journal of Magnetic Resonance Imaging JMRI, 21(5), 503–511.
Bloemen, O. J., Deeley, Q., Sundram, F., Daly, E. M., Barker, G. J., Jones, D. K., et al. (2010). White matter integrity in Asperger syndrome: A preliminary diffusion tensor magnetic resonance imaging study in adults. Autism research: Official Journal of the International Society for Autism Research, 3(5), 203–213.
Courchesne, E. (2004). Brain development in autism: Early overgrowth followed by premature arrest of growth. Mental Retardation and Developmental Disabilities Research Reviews, 10(2), 106–111.
de Lange, F. P., Koers, A., Kalkman, J. S., Bleijenberg, G., Hagoort, P., van der Meer, J. W., et al. (2008). Increase in prefrontal cortical volume following cognitive behavioural therapy in patients with chronic fatigue syndrome. Brain A Journal of Neurology, 131(Pt 8), 2172–2180.
Eluvathingal, T. J., Chugani, H. T., Behen, M. E., Juhasz, C., Muzik, O., Maqbool, M., et al. (2006). Abnormal brain connectivity in children after early severe socioemotional deprivation: A diffusion tensor imaging study. Pediatrics, 117(6), 2093–2100.
Fagioli, R., Saccani, M., Persico, A. M., Tancredi, R., Parrini, B., & Igliozzi, R. (2005). Autism diagnostic interview-revised. Italian version. Firenze, Italy: Giunti O. S.
Fletcher, P. T., Whitaker, R. T., Tao, R., DuBray, M. B., Froehlich, A., Ravichandran, C., et al. (2010). Microstructural connectivity of the arcuate fasciculus in adolescents with high-functioning autism. Neuroimage, 51(3), 1117–1125.
Howlin, P., Magiati, I., & Charman, T. (2009). Systematic review of early intensive behavioral interventions for children with autism. American Journal on Intellectual and Developmental Disabilities, 114(1), 23–41.
Just, M. A., Cherkassky, V. L., Keller, T. A., & Minshew, N. J. (2004). Cortical activation and synchronization during sentence comprehension in high-functioning autism: Evidence of underconnectivity. Brain A Journal of Neurology, 127(Pt 8), 1811–1821.
Keller, T. A., & Just, M. A. (2009). Altering cortical connectivity: Remediation-induced changes in the white matter of poor readers. Neuron, 64, 624–631.
Kendall, P. C. (2006). Child and adolescent therapy: Cognitive-behavioral procedures. New York, NY: Guilford Press.
Lang, R., Regester, A., Lauderdale, S., Ashbaugh, K., & Haring, A. (2010). Treatment of anxiety in autism spectrum disorders using cognitive behaviour therapy: A systematic review. Developmental Neurorehabilitation, 13(1), 53–63.
Leiter, R. G. (1979). Instruction manual for the leiter international performance scale. Wood Dale, Il: Stoelting Co.
Linden, D. E. (2006). How psychotherapy changes the brain–the contribution of functional neuroimaging. Molecular Psychiatry, 11(6), 528–538.
Lloyd, L. L., Fuller, D. R., & Arvidson, H. H. (1997). Augmentative and alternative communication: A handbook of principles and practices. Needham Heights, MA: Allyn & Bacon.
Lord, C., Rutter, M., & Le Couteur, A. (1994). Autism diagnostic interview-revised: A revised version of a diagnostic interview for caregivers of individuals with possible pervasive developmental disorders. Journal of Autism and Developmental Disorders, 24(5), 659–685.
Lord, C., Risi, S., Lambrecht, L., Cook, E. H., Leventhal, B. L., DiLavore, P. C., et al. (2000). The autism diagnostic observation schedule-generic: A standard measure of social and communication deficits associated with the spectrum of autism. Journal of Autism and Developmental Disorders, 30(3), 205–223.
Mabbott, D. J., Rovet, J., Noseworthy, M. D., Smith, M. L., & Rockel, C. (2009). The relations between white matter and declarative memory in older children and adolescents. Brain Research, 1294, 80–90.
Muller, R. A. (2007). The study of autism as a distributed disorder. Mental Retardation and Developmental Disabilities Research Reviews, 13(1), 85–95.
Pardini, M., Garaci, F. G., Bonzano, L., Roccatagliata, L., Palmieri, M. G., Pompili, E., et al. (2009). White matter reduced streamline coherence in young men with autism and mental retardation. European Journal of Neurology the Official Journal of the European Federation of Neurological Societies, 16(11), 1185–1190.
Pierpaoli, C., & Basser, P. J. (1996). Toward a quantitative assessment of diffusion anisotropy. Magnetic Resonance in Medicine Official Journal of the Society of Magnetic Resonance in Medicine/Society of Magnetic Resonance in Medicine, 36(6), 893–906.
Pugliese, L., Catani, M., Ameis, S., Dell’Acqua, F., Thiebaut de Schotten, M., Murphy, C., et al. (2009). The anatomy of extended limbic pathways in Asperger syndrome: A preliminary diffusion tensor imaging tractography study. Neuroimage, 47(2), 427–434.
Schmahmann, J. D., Smith, E. E., Eichler, F. S., & Filley, C. M. (2008). Cerebral white matter: neuroanatomy, clinical neurology, and neurobehavioral correlates. Annals of the New York Academy of Sciences, 1142, 266–309.
Schopler, E., Reichler, R. J., DeVellis, R. F., & Daly, K. (1980). Toward objective classification of childhood autism: Childhood autism rating scale (CARS). Journal of Autism and Developmental Disorders, 10(1), 91–103.
Shukla, D. K., Keehn, B., & Muller, R. A. (2011). Tract-specific analyses of diffusion tensor imaging show widespread white matter compromise in autism spectrum disorder. Journal of Child Psychology and Psychiatry and Allied Disciplines, 52, 286–295.
Smith, S. M., Jenkinson, M., Woolrich, M. W., Beckmann, C. F., Behrens, T. E., Johansen-Berg, H., et al. (2004). Advances in functional and structural MR image analysis and implementation as FSL. Neuroimage, 23(Suppl 1), S208–S219.
Spironelli, C., Penolazzi, B., Vio, C., & Angrilli, A. (2010). Cortical reorganization in dyslexic children after phonological training: Evidence from early evoked potentials. Brain, Advance Access published August, 5, 2010.
Tancredi, R., Saccani, M., Persico, A. M., Parrini, B., Igliozzi, R., & Fagioli, R. (2005). Autism diagnostic observation schedule Italian version. Firenze, Italy: Organizzazioni Speciali.
Waiter, G. D., Williams, J. H., Murray, A. D., Gilchrist, A., Perrett, D. I., & Whiten, A. (2004). A voxel-based investigation of brain structure in male adolescents with autistic spectrum disorder. Neuroimage, 22(2), 619–625.
Wakana, S., Caprihan, A., Panzenboeck, M. M., Fallon, J. H., Perry, M., Gollub, R. L., et al. (2007). Reproducibility of quantitative tractography methods applied to cerebral white matter. Neuroimage, 36(3), 630–644.
Conflict of interest
The authors report no conflict of interest.
Author information
Authors and Affiliations
Corresponding author
Rights and permissions
About this article
Cite this article
Pardini, M., Elia, M., Garaci, F.G. et al. Long-term Cognitive and Behavioral Therapies, Combined with Augmentative Communication, are Related to Uncinate Fasciculus Integrity in Autism. J Autism Dev Disord 42, 585–592 (2012). https://doi.org/10.1007/s10803-011-1281-2
Published:
Issue Date:
DOI: https://doi.org/10.1007/s10803-011-1281-2

