Abstract
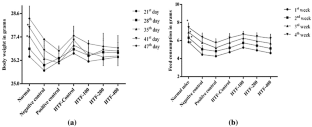
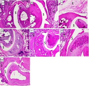
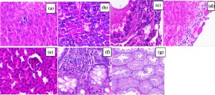
Terminalia chebula Retz. (Fam: Combretaceae) (TC) is widely used in traditional system for the treatment of fever, asthma, urinary diseases, and rheumatism. The aim of the present study is to evaluate the efficacy of hydrolysable tannin-rich fraction (HTF) isolated from TC fruits in collagen-induced arthritic BALB/c mice. Type II collagen-induced arthritis was attained in BALB/c mice. HTF treatment at three gradual doses (100, 200, and 400 mg/kg) was started from 24th day on daily administration up to 4 weeks. Body weight, food intake, and increase in hind paw were monitored at weekly basis. At the end of the study, serum and joint tissues were estimated for proinflammatory cytokines and biochemical parameters and the hind limbs were removed for radiological and histopathological evaluations. Oral administration of HTF could significantly protect CIA in BALB/c mice by reducing paw volume, arthritic score, spleen index, serum and joint cytokine level, and biochemical markers. The anti-inflammatory efficacy of HTF was further demonstrated by morphological observation, histopathological , and radiological evaluations. HTF is a good therapeutic agent for the treatment of joint inflammatory condition, as its action is mediated through cytokine inhibition.








References
Ajala OS, Jukov A, Ma C (2014) Hepatitis C virus inhibitory hydrolysable tannins from the fruits of Terminalia chebula. Fitoterapia 99:117–123
Bartok B, Firestein GS (2010) Fibroblast-like synoviocytes: key effector cells in rheumatoid arthritis. Immunol Rev 233(1):233–255. https://doi.org/10.1111/j.0105-2896.2009.00859.x
Brand DD, Latham KA, Rosloniec EF (2007) Collagen-induced arthritis. Nat Protoc 2(5):1269–1275. https://doi.org/10.1038/nprot.2007.173
Chen CX, Zhang P, Pi HF, Ruan HL, Hu ZH, Wu JZ (2010) Extacts of Arisaema rhizomatum C.E.C. Fischer attenuate inflammatory response on collagen-induced arthritis in BALB/c mice. J Ethnopharmacol 133:573–582. https://doi.org/10.1016/j.jep.2010.10.035
Cock IE (2015) The medicinal properties and phytochemistry of plants of the genus Terminalia (Combretaceae). Inflammopharmacology 23(5):203–229. https://doi.org/10.1007/s10787-015-0246-z
Curtis JR, Xie F, Yun H, Bernatsky S, Winthrop KL (2016) Real-world comparative risks of herpes virus infections in tofacitinib and biologic-treated patients with rheumatoid arthritis. Ann Rheum Dis 75(10):1843–1847. https://doi.org/10.1136/annrheumdis-2016-209131
Das ND, Jung KH, Park JH, Mondol MA, Shin HJ, Lee HS, Park KS, Choi MR, Kim KS, Kim MS, Lee SR, Chai YG (2011) Terminalia chebula extract acts as a potential NF-κB inhibitor in human lymphoblastic T cells. Phytother Res 25(6):927–934. https://doi.org/10.1002/ptr.3398
Han Q, Song J, Qiao C, Wong L, Xu H (2006) Preparative isolation of hydrolysable tannins chebulagic acid and chebulinic acid from Terminalia chebula by high-speed counter-current chromatography. J Sep Sci 29(11):1653–1657
Henderson B, Pettipher ER (1989) Arthritogenic actions of recombinant IL-1 and TNF in the rabbit: Evidence for synergistic interactions between cytokines in vivo. Clin Exp Immunol 75(2):306–310
Jalal H, O’Dell JR, Bridges SL Jr, Cofield S, Curtis JR, Mikuls TR, Moreland LW, Michaud K (2016) Cost-effectiveness of triple therapy versus etanercept plus methotrexate in early aggressive rheumatoid arthritis. Arthritis Care Res (Hoboken) 68(12):1751–1757. https://doi.org/10.1002/acr.22895
Jia N, Chu W, Li Y, Ding L, Duan J, Cui J, Cao S, Zhao C, Wu Y, Wen A (2016) Iridoid glycosides from the flowers of Gentiana macrophylla Pall ameliorate collagen-induced arthritis in rats. J Ethnopharmacol 189:1–9
Jorgensen KK, Olsen IC, Goll GL, Lorentzen M, Bolstad N, Haavardsholm EA, Lundin KEA, Mørk C, Jahnsen J, Kvien TK (2017) Switching from originator infliximab to biosimilar CT-P13 compared with maintained treatment with originator infliximab (NOR-SWITCH): a 52-week, randomised, double-blind, non-inferiority trial. Lancet 389(10086):2304–2316. https://doi.org/10.1016/S0140-6736(17)30068-5
Juang LJ, Sheu SJ, Lin TC (2004) Determination of hydrolyzable tannins in the fruit of Terminalia chebula Retz. by high-performance liquid chromatography and capillary electrophoresis. J Sep Sci 27(9):718–724. https://doi.org/10.1002/issc.200401741
Kumar R, Arora R, Agarwal A, Gupta YK (2018) Protective effect of Terminalia chebula against seizures, seizure-induced cognitive impairment and oxidative stress in experimental models of seizures in rats. J Ethnopharmacol 215:124–131
Lee S, Hyun P, Kim S, Kim K, Lee S, Kim B, Maeng P, Lim J (2005) Suppression of the onset and progression of collagen-induced arthritis by chebulagic acid screened from a natural product library. Arthritis Rheum 52(1):345–353. https://doi.org/10.1002/art.20715
Lee DY, Kim HW, Yang H, Sung SH (2017) Hydrolysable tannins from the fruits of Terminalia chebula Retz and their α-glucosidase inhibitory activities. Phytochemistry 137:109–116
McInnes IB, Schett G (2011) The pathogenesis of rheumatoid arthritis. N Engl J Med 365(23):2205–2219. https://doi.org/10.1056/NEJMra1004965
Misra DP, Agarwal V, Negi VS (2016) Rheumatology in India: a Bird's eye view on organization, epidemiology, training programs and publications. J Korean Med Sci 31(7):1013–1019. https://doi.org/10.3346/jkms.2016.31.7.1013
Nadkarni KM (2011) Indian materia medica. Popular Prakashan Private Limited, Mumbai, pp 1205–1210
Nair V, Singh S, Gupta YK (2010) Anti-arthritic and disease modifying activity of Terminalia chebula Retz. in experimental models. J Pharm Pharmacol 62(12):1801–1806. https://doi.org/10.1111/j.2042-7158.2010.01193.x
Nair V, Kumar R, Singh S, Gupta YK (2012) Anti-granuloma activity of Terminalia chebula Retz. in wistar rats. Eur J Inflamm 10(2):185–192. https://doi.org/10.1177/1721727X1201000203
Niino-Nanke Y, Akama H, Hara M, Kashiwazaki S (1998) Alkaline phosphatase (ALP) activity in rheumatoid arthritis (RA): its clinical significance and synthesis of ALP in RA synovium. Ryumachi 38(4):581–588
Nishida K, Komiyama T, Miyazawa S, Shen ZN, Furumatsu T, Doi H, Yoshida A, Yamana J, Yamamura M, Ninomiya Y, Inoue H, Asahara H (2004) Histone deacetylase inhibitor suppression of autoantibody-mediated arthritis in mice via regulation of p16INK4a and p21 (WAF1/Cip1) expression. Arthritis Rheum 10:3365–3376
Pellati F, Bruni R, Righi D, Grandini A, Tognolini M, Prencipe FP, Poli F, Benvenuti S, Rio DD, Rossi D (2013) Metabolite profiling of polyphenols in a Terminalia chebula Retzius ayurvedic decoction and evaluation of its chemopreventive activity. J Ethnopharmacol 147(2):277–285
Reddy DB, Reddanna P (2009) Chebulagic acid (CA) attenuates LPS-induced inflammation by suppressing NF-kappaB and MAPK activation in RAW 264.7 macrophages. Biochem Biophys Res Commun 381(1):112–117. https://doi.org/10.1016/j.bbrc.2009.02.022
Rioja I, Bush KA, Buckton JB, Dickson MC, Life PF (2004) Joint cytokine quantification in two rodent arthritis models: kinetics of expression, correlation of mRNA and protein levels and response to prednisolone treatment. Clin Exp Immunol 137(1):65–73
Sanmuga Priya E, Keerthi B, Senthamil Selvan P, Durga R (2018) Repeated oral dose toxicity study on hydrolysable tannin rich fraction isolated from fruit pericarps of Terminalia chebula Retz. in Wistar albino rats. Regul Toxicol Pharmacol 92:182–188. https://doi.org/10.1016/j.yrtph.2017.12.001
Seo JB, Jeong JY, Park JY, Jun EM, Lee SI, Choe SS, Park DY, Choi EW, Seen DS, Lim JS, Lee TG (2012) Anti-arthritic and analgesic effect of NDI10218, a standardized extract of Terminalia chebula, on arthritis and pain model. Biomol Ther (Seoul) 20(1):104–112. https://doi.org/10.4062/biomolther.2012.20.1.104
Shashtri S, Nidan M (1985) Part I, 15th edn, Ch 25. Chaukhambha Sanskrit Sansthan, Varanasi, p 460
Smolen JS, Aletaha D, Barton A, Burmester GR, Emery P, Firestein GS, Kavanaugh A, McInnes IB, Solomon DH, Strand V, Yamamoto K (2018) Rheumatoid arthritis. Nat Rev Dis Prim 8(4):18001. https://doi.org/10.1038/nrdp.2018.1
Srirangan S, Choy EH (2010) The role of interleukin 6 in the pathophysiology of rheumatoid arthritis. Ther Adv Musculoskelet Dis 2(5):247–256. https://doi.org/10.1177/1759720X10378372
Sunita SK, Babita Y, Pradeep D, Deep VC, Bikratan D, Sangeeta S, Shashi G, Jain AK, Swami GK, Maheswar T, Saiprasad Alok S, Sahu DS, Tapasi B, Rao MM, Renu M, Kumawat VB, Pitta S, Singh KK, Mehar SK, Dinesh B, Kumari Rajesh, Rakesh R, Richa S, Narayanam S (2017) Clinical safety of selected ayurvedic formulations in rheumatoid arthritis. J Res Ayur Sci 1(2):108–116
Thompson AE, Rieder SW, Pope JE (2011) Tumor necrosis factor therapy and the risk of serious infection and malignancy in patients with early rheumatoid arthritis: a meta-analysis of randomized controlled trials. Arthr Rheum 63(6):1479–1485. https://doi.org/10.1002/art.30310
Vande Loo AAJ, Vanden Berg WB (1990) Effects of murine recombinant IL-1 on synovial joints in mice: measurements of patellar cartilage metabolism and joint inflammation. Ann Rheum Dis 49(4):238–245
Wang Y, Sun W, Chen L, Xu X, Wu Y, Zhang J, Zhang Y (2015) Anti-arthritic activity of Fu-Fang-Lu-Jiao-Shuang on collagen-induced arthritis in Balb/c mice and its underlying mechanisms. Pharmacogn Mag 11(42):242–249. https://doi.org/10.4103/0973-1296.153065
WHO (2018) Chronic Diseases and Health promotion. https://www.who.int/chp/topics/rheumatic/en/. Assessed 2 Sept 2018
World Health Organization (WHO) (1998) Quality control methods for medicinal plant materials. World Health Organization, Geneva
Zhao Y, Liu F, Liu Y, Zhou D, Dai Q, Liu S (2015) Anti-arthritic effect of chebulanin on collagen induced arthritis in mice. PLoS ONE 10(9):e0139052. https://doi.org/10.1371/journal.pone.0139052
Acknowledgements
The authors gratefully acknowledge Science and Engineering Research Board (SERB), New Delhi, India for funding this research work under Start up research Grant no. SB/YS/LS-95/2014.
Author information
Authors and Affiliations
Contributions
SPE designed, conducted the study under “Start-up research grant”, SERB, New Delhi as Principal Investigator. Drafted the manuscript. SSP faculty involved in the standardization of HTF and in animal studies. TE MS Student assisted in the animal studies and in consolidation of results. AS MS student assisted in the animal studies.
Corresponding author
Ethics declarations
Conflict of interest
The authors declare no conflicts of interest.
Additional information
Publisher's Note
Springer Nature remains neutral with regard to jurisdictional claims in published maps and institutional affiliations.
Rights and permissions
About this article
Cite this article
Ekambaram, S.P., Perumal, S.S., Erusappan, T. et al. Hydrolysable tannin-rich fraction from Terminalia chebula Retz. fruits ameliorates collagen-induced arthritis in BALB/c mice. Inflammopharmacol 28, 275–287 (2020). https://doi.org/10.1007/s10787-019-00629-x
Received:
Accepted:
Published:
Issue Date:
DOI: https://doi.org/10.1007/s10787-019-00629-x