Skip to main content

Protective Effects of a Rho Kinase Inhibitor on Paraquat-Induced Acute Lung Injuries in Rats

Abstract

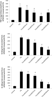
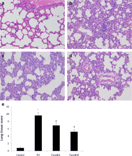
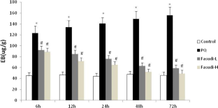
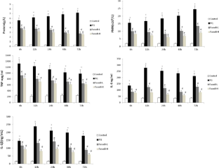
Fasudil, a rock kinase inhibitor, can inhibit systemic inflammation and prevent paraquat (PQ)-induced acute lung injuries in rats; however, the mechanisms for these protective effects remain elusive. This study investigated how the Rho/ROCK signaling pathway enables fasudil to protect against acute lung injuries in PQ-treated rats. Wistar rats (n = 240) were pretreated with fasudil (10 and 30 mg/kg, i.p.) 1 h prior to PQ administration. When compared to rats with PQ-induced lung injuries, rats pretreated with fasudil had significantly fewer polymorphonuclear neutrophils and lower concentrations of protein, TNF-α, IL-1β, and IL-6 in their bronchoalveolar lavage fluid. Moreover, fasudil also reduced the Evans Blue content, wet-to-dry weight ratio, lung injury scores, and levels malondialdehyde and 8-hydroxy-2 deoxyguanosine, but increased superoxide dismutase activity in lung tissue. Furthermore, Rho, ROCK1 expression and the levels of phosphorylated MYPT-1 in lung tissues were drastically decreased in fasudil-treated rats, whereas ZO-1 protein expression was significantly increased (p < 0.05). We found that fasudil downregulated bax and activated caspase-3 mRNA expression but upregulated Bcl-2 mRNA expression. In vitro experiments showed that the levels of TNF-α, IL-1β, and IL-6 secreted by human pulmonary microvascular endothelial cells treated with PQ were attenuated by fasudil. Fasudil inhibited the upregulation Rho and ROCK protein expression and downregulation of ZO-1 protein expression in HPMVECs induced with PQ. Higher concentrations of fasudil produced greater affects than lower concentrations. Fasudil improved endothelial permeability and inhibited inflammation, oxidative stress, and cell apoptosis to alleviate acute lung injuries in PQ-treated rats. Fasudil exerted these therapeutic effects by inhibiting the Rho/ROCK signaling pathway.

This is a preview of subscription content, access via your institution.

Fig. 1
Fig. 2
Fig. 3
Fig. 4
Fig. 5
Fig. 6
Fig. 7
Fig. 8
Fig. 9
Fig. 10

References

  1. Gil, H.W., J.R. Hong, S.H. Jang, and S.Y. Hong. 2014. Diagnostic and therapeutic approach for acute paraquat intoxication. Journal of Korean Medical Science 9: 1441–1449.

    Article  Google Scholar 

  2. Harchegani, A.L., A.A. Hemmati, A. Nili-Ahmadabadi, B. Darabi, and S. Shabib. 2017. Cromolyn sodium attenuates paraquat-induced lung injury by modulation of proinflammatory cytokines. Drug Research (Stuttg) 67: 283–288.

    CAS  Article  Google Scholar 

  3. Olson, D.P., J.A. Diaz, and J.D. Jereda. 2010. A fatal case of paraquat ingestion: clinical course and review of pathophysiology. Medical Science Monitor 16: CS153–CS156.

    PubMed  Google Scholar 

  4. Yan, B., F. Chen, L. Xu, J. Xing, and X. Wang. 2017. HMGB1-TLR4-IL23-IL17A axis promotes paraquat-induced acute lung injury by mediating neutrophil infiltration in mice. Scientific Reports 7: 597. https://doi.org/10.1038/s41598-017-00721-8.

    CAS  Article  PubMed  PubMed Central  Google Scholar 

  5. Dcarden, L.C., R.D. Fairshter, J.T. Morrison, A.F. Wilson, and M. Brundage. 1982. Ultrastructural evidence of pulmonary capillary endothelial damage from paraquat. Toxicology 24: 211–222.

    Article  Google Scholar 

  6. Amin, E., B.N. Dubey, S.C. Zhang, L. Gremer, R. Dvorsky, J.M. Moll, M.S. Taha, L. Nagel-Steger, R.P. Piekorz, A.V. Somlyo, and M.R. Ahmadian. 2013. Rho-kinase: regulation, (dys)function, and inhibition. Biological Chemistry 394: 1399–1410.

    CAS  Article  Google Scholar 

  7. Mong, P.Y., and Q. Wang. 2009. Activation of Rho kinase isoforms in lung endothelial cells during inflammation. Journal of Immunology 182: 2385–2394.

    CAS  Article  Google Scholar 

  8. Yan, Y.Y., X.M. Wang, Y. Jiang, H. Chen, J.T. He, J. Mang, Y.K. Shao, and Z.X. Xu. 2015. The role of Rho/Rho-kinase pathway and the neuroprotective effects of fasudil in chronic cerebral ischemia. Neural Regeneration Research 10: 1441–1449.

    Article  Google Scholar 

  9. Ding, R.Y., D.M. Zhao, Z.D. Zhang, R.X. Guo, and X.C. Ma. 2011. Pretreatment of Rho kinase inhibitor inhibits systemic inflammation and prevents endotoxin-induced acute lung injury in mice. Journal of Surgical Research 171: 209–214.

    Article  Google Scholar 

  10. Bei, Y., T. Hua-Huy, C. Nicco, S. Duong-Quy, N.N. Le-Dong, K.P. Tiev, C. Chéreau, F. Batteux, and A.T. Dinh-Xuan. 2016. RhoA/Rho-kinase activation promotes lung fibrosis in an animal model of systemic sclerosis. Experimental Lung Research 42: 44–55.

    CAS  Article  Google Scholar 

  11. Wu, R., W. Dong, M. Zhou, F. Zhang, C.P. Marini, T.S. Ravikumar, and P. Wang. 2007. Ghrelin attenuates sepsis-induced acute lung injury and mortality in rats. American Journal of Respiratory and Critical Care Medicine 176: 805–813.

    CAS  Article  Google Scholar 

  12. Tasaka, S., H. Koh, W. Yamada, M. Shimizu, Y. Ogawa, N. Hasegawa, K. Yamaguchi, Y. Ishii, S.E. Richer, C.M. Doerschuk, and A. Ishizaka. 2005. Attenuation of endotoxin-induced acute lung injury by the Rho-associated kinase inhibitor, Y-27632. American Journal of Respiratory Cell and Molecular Biology 32: 504–510.

    CAS  Article  Google Scholar 

  13. Wojciak-Stothard, B., and A.J. Ridley. 2002. Rho GTPases and the regulation of endothelial permeability. Vascular Pharmacology 39: 187–199.

    CAS  Article  Google Scholar 

  14. Bogatcheva, N.V., M.A. Zemskova, C. Poirier, T. Mirzapoiazova, I. Kolosova, A.R. Bresnick, and A.D. Verin. 2011. The suppression of myosin light chain (MLC) phosphorylation during the response to lipopolysaccharide (LPS): beneficial or detrimental to endothelial barrier. Journal of Cellular Physiology 226: 3132–3146.

    CAS  Article  Google Scholar 

  15. Citi, S., D. Guerrera, D. Spadaro, and J. Shah. 2014. Epithelial junctions and Rho family GTPases: the zonular signalosome. Small GTPases 5: 1–15.

    Article  Google Scholar 

  16. Hai, Y., X. Zhou, Q. Dai, Y. Fan, and X. Huang. 2015. Hydrogen rich saline ameliorates lung injury associated with cecal ligation and puncture induced sepsis in rats. Experimental and Molecular Pathology 98: 268–276.

    Article  Google Scholar 

  17. Chen, L.W., W. Chen, Z.Q. Hu, J.L. Bian, L. Ying, G.L. Hong, Q.M. Qiu, G.J. Zhao, and Z.Q. Lu. 2016. Protective effects of growth arrest-specific protein 6 (Gas6) on sepsis-induced acute kidney injury. Inflammation 39: 575–582.

    CAS  Article  Google Scholar 

  18. Bessho, M., T. Aki, T. Funakoshi, K. Unuma, K. Noritake, C. Kato, and K. Uemura. 2013. Rho-kinase inhibitor Y 27632 attenuates arsenic trioxide toxicity in H9c2 cardiomyoblastoma cells. Cardiovascular Toxicology 13: 267–277.

    CAS  Article  Google Scholar 

  19. Mertens, H.J., M.J. Heineman, and J.L. Evers. 2002. The expression of apoptosis related proteins Bcl-2 and Ki67 in endometrium of ovulatory menstrual cycles. Gynecologic and Obstetric Investigation 53: 224–230.

    CAS  Article  Google Scholar 

  20. Cory, S., D.C. Huang, and J.M. Adams. 2003. The Bcl-2 family: roles in cell survival and oncogenesis. Oncogene 22: 8590–8607.

    CAS  Article  Google Scholar 

  21. Lorraine, B. 2006. Pathophysiology of acute lung injury and the acute respiratory distress syndrome. Seminars in Respiratory and Critical Care Medicine 27: 337–349.

    Article  Google Scholar 

  22. Chen, C., Y. Zhang, Z. Du, M. Zhang, L. Niu, Y. Wang, and J. Li. 2013. Vagal efferent fiber stimulation ameliorates pulmonary microvascular endothelial cell injury by downregulating inflammatory responses. Inflammation 36: 1567–1575.

    CAS  Article  Google Scholar 

Download references

Author information

Affiliations

Authors

Corresponding author

Correspondence to Min Zhao.

Ethics declarations

Conflict of Interest

The authors declare that they have no conflict of interest.

Rights and permissions

Reprints and Permissions

About this article

Verify currency and authenticity via CrossMark

Cite this article

Zhang, L., Li, Q., Liu, Z. et al. Protective Effects of a Rho Kinase Inhibitor on Paraquat-Induced Acute Lung Injuries in Rats. Inflammation 41, 2171–2183 (2018). https://doi.org/10.1007/s10753-018-0860-1

Download citation

  • Published:

  • Issue Date:

  • DOI: https://doi.org/10.1007/s10753-018-0860-1

KEY WORDS

  • fasudil
  • paraquat
  • acute lung injury
  • Rho
  • Rho kinase
  • ZO-1