Skip to main content

Baicalein Inhibits Interleukin-1β-Induced Proliferation of Human Rheumatoid Arthritis Fibroblast-like Synoviocytes

Abstract

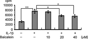
Baicalein shows anti-inflammatory effects in human rheumatoid arthritis fibroblast-like synoviocytes (RAFLS). Considering its anti-proliferatory effects on various cancer cells, we investigated the effects of baicalein on interleukin-1 beta (IL-1β)-induced proliferation of human RAFLS. Cell proliferation was examined by 3H-thymidine incorporation assay. Western blot analysis was performed to assess the phosphorylation of extracellular regulating kinase (ERK), p38, and c-Jun N-terminal kinase, and nuclear translocation of nuclear factor kappa B (NF-κB) subunit p65. Notably, baicalein significantly suppressed IL-1β-mediated RAFLS proliferation (P < 0.05), along with reduced ERK1/2 and p38 phosphorylation. The IL-1β-induced p65 nuclear translocation and NF-κB DNA binding activity was significantly decreased by baicalein. Additionally, the inhibitory effects of baicalein on IL-1β-induced proliferation of RAFLS were dose-dependently reversed by the addition of recombinant macrophage migration inhibitory factory (MIF). Our results indicate that baicalein inhibits IL-1β-induced RAFLS proliferation, which involves suppression of NF-κB transcriptional activity and MIF-mediated signaling.

This is a preview of subscription content, access via your institution.

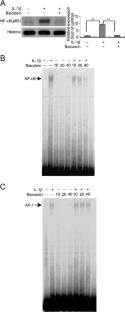
Fig. 1
Fig. 2
Fig. 3
Fig. 4

References

  1. Li, H., and A. Wan. 2013. Apoptosis of rheumatoid arthritis fibroblast-like synoviocytes: possible roles of nitric oxide and the thioredoxin 1. Mediators of Inflammation 2013: 953462.

    PubMed  PubMed Central  Google Scholar 

  2. Han, M.K., J.S. Kim, B.H. Park, J.R. Kim, B.Y. Hwang, H.Y. Lee, E.K. Song, and W.H. Yoo. 2003. NF-kappaB-dependent lymphocyte hyper adhesiveness to synovial fibroblasts by hypoxia and reoxygenation: potential role in rheumatoid arthritis. Journal of Leukocyte Biology 73: 525–529.

    CAS  Article  Google Scholar 

  3. Firestein, G.S. 1996. Invasive fibroblast-like synoviocytes in rheumatoid arthritis. Passive responders or transformed aggressors? Arthritis and Rheumatism 39: 1781–1790.

    CAS  Article  Google Scholar 

  4. Firestein, G.S., M. Yeo, and N.J. Zvaifl er. 1995. Apoptosis in rheumatoid arthritis synovium. Journal of Clinical Investigation 96: 1631–1638.

    CAS  Article  Google Scholar 

  5. Choy, E.H., and G.S. Panayi. 2001. Cytokine pathways and joint inflammation in rheumatoid arthritis. The New England Journal of Medicine 344: 907–916.

    CAS  Article  Google Scholar 

  6. Lacey, D., A. Sampey, R. Mitchell, R. Bucala, L. Santos, M. Leech, and E. Morand. 2003. Control of fibroblast-like synoviocyte proliferation by macrophage migration inhibitory factor. Arthritis and Rheumatism 48: 103–109.

    CAS  Article  Google Scholar 

  7. Ayoub, S., M.J. Hickey, and E.F. Morand. 2008. Mechanisms of disease: macrophage migration inhibitory factor in SLE, RA and atherosclerosis. Nature Clinical Practice Rheumatology 4: 98–105.

    CAS  Article  Google Scholar 

  8. So, F.V., N. Guthrie, A.F. Chambers, and K.K. Carroll. 1997. Inhibition of proliferation of estrogen receptor-positive MCF-7 human breast cancer cells by flavonoids in the presence and absence of excess estrogen. Cancer Letters 112: 127–133.

    CAS  Article  Google Scholar 

  9. Lin, C.C., and D.E. Shieh. 1996. The anti-inflammatory activity of Scutellaria rivularis extracts and its active components, baicalin, baicalein and wogonin. The American Journal of Chinese Medicine 24: 31–36.

    CAS  Article  Google Scholar 

  10. Wong, B.C., W.P. Wang, C.H. Cho, X.M. Fan, M.C. Lin, H.F. Kung, and S.K. Lam. 2001. 12-Lipoxygenase inhibition induced apoptosis in human gastric cancer cells. Carcinogenesis 22: 1349–1354.

    CAS  Article  Google Scholar 

  11. Chen, J., Z. Li, A.Y. Chen, X. Ye, H. Luo, G.O. Rankin, and Y.C. Chen. 2013. Inhibitory effect of baicalin and baicalein on ovarian cancer cells. International Journal of Molecular Sciences 14: 6012–6025.

    CAS  Article  Google Scholar 

  12. Zhang, H.B., P. Lu, Q.Y. Guo, Z.H. Zhang, and X.Y. Meng. 2013. Baicalein induces apoptosis in esophageal squamous cell carcinoma cells through modulation of the PI3K/Akt pathway. Oncology Letters 5: 722–728.

    CAS  Article  Google Scholar 

  13. Yang, J.H., M.Y. Yun, N.H. Lee, D.K. Kim, Y.I. Kim, Y.H. Noh, T.Y. Kim, S.W. Yoon, and S.C. Shin. 2008. The effects of ketorolac tromethamine and baicalein on the levels of inflammatory factors in human synoviocytes. Archives of Pharmacal Research 31: 1517–1523.

    CAS  Article  Google Scholar 

  14. Arnett, F.C., S.M. Edworthy, D.A. Bloch, D.J. McShane, J.F. Fries, N.S. Cooper, L.A. Healey, S.R. Kaplan, M.H. Liang, H.S. Luthra, et al. 1988. The American Rheumatism Association 1987 revised criteria for the classification of rheumatoid arthritis. Arthritis and Rheumatism 31: 315–324.

    CAS  Article  Google Scholar 

  15. Lee, H.Y., H.S. Jeon, E.K. Song, M.K. Han, S.I. Park, S.I. Lee, H.J. Yun, J.R. Kim, J.S. Kim, Y.C. Lee, S.I. Kim, H.R. Kim, J.Y. Choi, I. Kang, H.Y. Kim, and W.H. Yoo. 2006. CD40 ligation of rheumatoid synovial fibroblasts regulates RANKL-mediated osteoclastogenesis: evidence of NF-kappaB-dependent, CD40-mediated bone destruction in rheumatoid arthritis. Arthritis and Rheumatism 54: 1747–1758.

    CAS  Article  Google Scholar 

  16. Noh, E.M., J.S. Kim, H. Hur, B.H. Park, E.K. Song, M.K. Han, K.B. Kwon, W.H. Yoo, I.K. Shim, S.J. Lee, H.J. Youn, and Y.R. Lee. 2009. Cordycepin inhibits IL-1beta-induced MMP-1 and MMP-3 expression in rheumatoid arthritis synovial fibroblasts. Rheumatology (Oxford, England) 48: 45–48.

    CAS  Article  Google Scholar 

  17. Gitter, B.D., J.M. Labus, S.L. Lees, and M.E. Scheetz. 1989. Characteristics of human synovial fibroblast activation by IL-1 beta and TNF alpha. Immunology 66: 196–200.

    CAS  PubMed  PubMed Central  Google Scholar 

  18. Symons, J.A., T.L. McDowell, F.S. di Giovine, N.C. Wood, S.J. Capper, and G.W. Duff. 1989. Interleukin 1 in rheumatoid arthritis: potentiation of immune responses within the joint. Lymphokine Research 8: 365–372.

    CAS  PubMed  Google Scholar 

  19. Williams, A.S., S.G. Jones, R.M. Goodfellow, N. Amos, and B.D. Williams. 1999. Interleukin-1beta (IL-1beta) inhibition: a possible mechanism for the anti-inflammatory potency of liposomally conjugated methotrexate formulations in arthritis. British Journal of Pharmacology 128: 234–240.

    CAS  Article  Google Scholar 

  20. Geiger, T., H. Towbin, A. Cosenti-Vargas, O. Zingel, J. Arnold, C. Rordorf, M. Glatt, and K. Vosbeck. 1993. Neutralization of interleukin-1 beta activity in vivo with a monoclonal antibody alleviates collagen-induced arthritis in DBA/1 mice and prevents the associated acute-phase response. Clinical and Experimental Rheumatology 11: 515–522.

    CAS  PubMed  Google Scholar 

  21. Van den BERG, W.B., L.A.B. JOOSTEN, M. HELSEN, and F.A.J. Van de LOO. 1994. Amelioration of established murine collagen-induced arthritis with anti-IL-1 treatment. Clinical and Experimental Immunology 95: 237–243.

    Article  Google Scholar 

  22. Lee, E.G., S.L. Lee, H.J. Chae, S.J. Park, Y.C. Lee, and W.H. Yoo. 2010. Ethyl acetate fraction from Cudrania tricuspidata inhibits IL-1β-induced rheumatoid synovial fibroblast proliferation and MMPs, COX-2 and PGE2 production. Biological Research 43: 225–231.

    Article  Google Scholar 

  23. Inoue, H., M. Takamori, N. Nagata, T. Nishikawa, H. Oda, S. Yamamoto, and Y. Koshihara. 2001. An investigation of cell proliferation and soluble mediators induced by interleukin 1beta in human synovial fibroblasts: comparative response in osteoarthritis and rheumatoid arthritis. Inflammation Research 50: 65–72.

    CAS  Article  Google Scholar 

  24. McIntyre, K.W., D.J. Shuster, K.M. Gillooly, D.M. Dambach, M.A. Pattoli, P. Lu, X.D. Zhou, Y. Qiu, F.C. Zusi, and J.R. Burke. 2003. A highly selective inhibitor of I kappa B kinase, BMS-345541, blocks both joint inflammation and destruction in collagen-induced arthritis in mice. Arthritis and Rheumatism 48: 2652–2659.

    CAS  Article  Google Scholar 

  25. Robinson, M.J., and M.H. Cobb. 1997. Mitogen-activated protein kinase pathways. Current Opinion in Cell Biology 9: 180–185.

    CAS  Article  Google Scholar 

  26. Han, Z., D.L. Boyle, L. Chang, B. Bennett, M. Karin, L. Yang, A.M. Manning, and G.S. Firestein. 2001. c-Jun N-terminal kinase is required for metalloproteinase expression and joint destruction in inflammatory arthritis. Journal of Clinical Investigation 108(1): 73–81. Erratum in: J. Clin. Invest. 108:1883.

    CAS  Article  Google Scholar 

  27. Nishikawa, M., A. Myoui, T. Tomita, K. Takahi, A. Nampei, and H. Yoshikawa. 2003. Prevention of the onset and progression of collagen-induced arthritis in rats by the potent p38 mitogen-activated protein kinase inhibitor FR167653. Arthritis and Rheumatism 48: 2670–2681.

    CAS  Article  Google Scholar 

  28. Han, Z., D.L. Boyle, A.M. Manning, and G.S. Firestein. 1998. AP-1 and NF-kB regulation in rheumatoid arthritis and murine collagen-induced arthritis. Autoimmunity 28: 197–208.

    CAS  Article  Google Scholar 

  29. Youn, J., H.Y. Kim, J.H. Park, S.H. Hwang, S.Y. Lee, C.S. Cho, and S.K. Lee. 2002. Regulation of TNF-alpha-mediated hyperplasia through TNF receptors, TRAFs, and NF-kappaB in synoviocytes obtained from patients with rheumatoid arthritis. Immunology Letters 83: 85–93.

    CAS  Article  Google Scholar 

  30. Huber, L.C., O. Distler, I. Tarner, R.E. Gay, S. Gay, and T. Pap. 2006. Synovial fibroblasts: key players in rheumatoid arthritis. Rheumatology (Oxford, England) 45: 669–675.

    CAS  Article  Google Scholar 

Download references

Author information

Affiliations

Authors

Corresponding author

Correspondence to Hongbin Liu.

Rights and permissions

Reprints and Permissions

About this article

Cite this article

Chen, S., Yang, Y., Feng, H. et al. Baicalein Inhibits Interleukin-1β-Induced Proliferation of Human Rheumatoid Arthritis Fibroblast-like Synoviocytes. Inflammation 37, 163–169 (2014). https://doi.org/10.1007/s10753-013-9725-9

Download citation

  • Published:

  • Issue Date:

  • DOI: https://doi.org/10.1007/s10753-013-9725-9

KEY WORDS

  • Interleukin-1 Beta (IL-1β)
  • Rheumatoid Arthritis Fibroblast-Like Synoviocytes (RAFLS)
  • Macrophage Migration Inhibitory Factory (MIF)
  • Nuclear Factor Kappa B (NF-κB)
  • Mitogen-Activated Protein Kinase (MAPK)