Skip to main content

Theaflavins Extracted from Black Tea Inhibit Airway Mucous Hypersecretion Induced by Cigarette Smoke in Rats

Abstract

Theaflavins isolated from black tea have been used in studies on the prevention of tumor growth. The aim of this study was to investigate whether treatment with theaflavins influences the mucus hypersecretion induced by cigarette smoke in the lungs of experimental rats. Firstly, cigarette smoke was aerosolized using a machine designed for inhalation by rats. The rats were divided into the negative control group, the cigarette smoke inhalation group, the theaflavins (TFs) treatment group, and the TFs + cigarette smoke inhalation group. The animals were sacrificed on day 60 of the experiment. Secondly, the rats were treated with theaflavins at different doses via a gastric tube and sacrificed on day 30. The changes in the levels of mucin 5AC (MUC5AC) and epidermal growth factor receptor (EGFR) in the airway were evaluated. Cigarette smoke induced a significant increase in the levels of MUC5AC and EGFR in all groups. These increases could be reversed by intragastric administration of theaflavins. The effect was more pronounced with the duration of treatment and coincided with a decrease in the expression of both targets. The rats showed various degrees of reduction in the expression of these parameters, which correlated with the theaflavin dose. TFs could inhibit the activation of EGFR, decrease the level of MUC5AC, and relieve airway mucous hypersecretion via the EGFR signaling pathway. These effects correlated directly with the duration of action and the dosage. In the future, oral theaflavins might be valuable in the treatment of chronic airway inflammation.

This is a preview of subscription content, access via your institution.

Fig. 1
Fig. 2
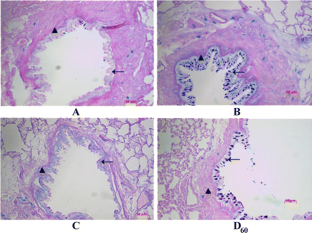
Fig. 3
Fig. 4
Fig. 5

Abbreviations

TFs:

Theaflavins

MUC5AC:

Mucin 5AC

EGFR:

Epidermal growth factor receptor

CS:

Cigarette smoke

COPD:

Chronic obstructive pulmonary diseases

REFERENCES

  1. Chung, K.F. 2005. Inflammatory mediators in chronic obstructive pulmonary disease. Current Drug Targets. Inflammation and Allergy 4(6): 619–625.

    PubMed  Article  CAS  Google Scholar 

  2. Wedzicha, J.A., and G.C. Donaldson. 2003. Exacerbations of chronic obstructive pulmonary disease. Respiratory Care 48(12): 1204–1213.

    PubMed  Google Scholar 

  3. Macnee, W. 2007. Pathogenesis of chronic obstructive pulmonary disease. Clinics in Chest Medicine 28(3): 479–513.

    PubMed  Article  Google Scholar 

  4. Pandey, M., and S. Gupta. 2009. Green tea and prostate cancer: from bench to clinic. Frontiers in Bioscience (Elite Edition) 1: 13–25.

    Google Scholar 

  5. Banerjee, S., S. Manna, S. Mukherjee, et al. 2006. Black tea polyphenols restrict benzopyrene-induced mouse lung cancer progression through inhibition of Cox-2 and induction of caspase-3 expression. Asian Pacific Journal of Cancer Prevention 7(4): 661–666.

    PubMed  Google Scholar 

  6. Lee, H.H., C.T. Ho, and J.K. Lin. 2004. Theaflavin-3,3′-digallate and penta-O-galloyl-beta-D-glucose inhibit rat liver microsomal 5alpha-reductase activity and the expression of androgen receptor in LNCaP prostate cancer cells. Carcinogenesis 25(7): 1109–1118.

    PubMed  Article  CAS  Google Scholar 

  7. Banerjee, S., S. Manna, P. Saha, C.K. Panda, and S. Das. 2005. Black tea polyphenols suppress cell proliferation and induce apoptosis during benzo(a)pyrene-induced lung carcinogenesis. European Journal of Cancer Prevention 14(3): 215–221.

    PubMed  Article  CAS  Google Scholar 

  8. Mizuno, H., Y.Y. Cho, F. Zhu, et al. 2006. Theaflavin-3,3′-digallate induces epidermal growth factor receptor downregulation. Molecular Carcinogenesis 45(3): 204–212.

    PubMed  Article  CAS  Google Scholar 

  9. Vermeer, P.D., R. Harson, L.A. Einwalter, et al. 2003. Interleukin-9 induces goblet cell hyperplasia during repair of human airway epithelia. American Journal of Respiratory Cell and Molecular Biology 28(3): 286–295.

    PubMed  Article  CAS  Google Scholar 

  10. Griffin, S., T.P. Carroll, C.M. Greene, et al. 2007. Effect of pro-inflammatory stimuli on mucin expression and inhibition by secretory leucoprotease inhibitor. Cellular Microbiology 9(3): 670–679.

    PubMed  Article  CAS  Google Scholar 

  11. Roqers, D.F. 2005. The role of airway secretions in COPD: pathophysiology, epidemiology and pharmacotherapeutic options. COPD 2(3): 341–353.

    Article  Google Scholar 

  12. Haswell, L.E., K. Hewitt, D. Thorne, et al. 2010. Cigarette smoke total particulate matter increases mucous secreting cell numbers in vitro: a potential model of goblet cell hyperplasia. Toxicology In Vitro 24(3): 981.

    PubMed  Article  CAS  Google Scholar 

  13. Mossman, B.T., K.M. Lounsbury, and S.P. Redy. 2006. Oxidants and signaling by mitogen-activated protein kinases in lung epithelium. American Journal of Respiratory Cell and Molecular Biology 34(6): 666–669.

    PubMed  Article  CAS  Google Scholar 

  14. Vernooy, J.H., J.H. Lindeman, J.A. Jacobs, et al. 2004. Increased activity of matrix metalloproteinase-8 and matrix metalloproteinase-9 in induced sputum from patients with COPD. Chest 126(6): 1802–1810.

    PubMed  Article  CAS  Google Scholar 

  15. Rubin, B.K. 2002. Physiology of airway mucus clearance. Respiratory Care 47(7): 761–768.

    PubMed  Google Scholar 

  16. Foster, W.M. 2002. Mucociliary transport and cough in humans. Pulmonary Pharmacology and Therapeutics 15(3): 277–282.

    PubMed  Article  Google Scholar 

  17. Voynow, J.A., S.J. Gendler, and M.C. Rose. 2006. Regulation of mucin genes in chronic inflammatory airway diseases. American Journal of Respiratory Cell and Molecular Biology 34(6): 661–665.

    PubMed  Article  CAS  Google Scholar 

  18. Kettle, R., J. Simmons, F. Sehindler, et al. 2010. Regulation of neuregulin 1beta1-induced MUC5AC and MUC5B expression in human airway epithelium. American Journal of Respiratory Cell and Molecular Biology 42(4): 472–481.

    PubMed  Article  CAS  Google Scholar 

  19. Wine, J.J., and N.S. Joo. 2004. Submucosal glands and airway defense. Proceedings of the American Thoracic Society 1(1): 47–53.

    PubMed  Article  CAS  Google Scholar 

  20. Shao, M.X., T. Nakanaga, and J.A. Nadel. 2004. Cigarette smoke induces MUC5AC mucin overproduction via tumor necrosis factor-alpha-converting enzyme in human airway epithelial (NCI-H292) cells. American Journal of Physiology. Lung Cellular and Molecular Physiology 287(2): L420–L427.

    PubMed  Article  CAS  Google Scholar 

  21. Takeyama, K., K. Dabbagh, Jeong, et al. 2000. Oxidative stress causes mucin synthesis via transactivation of epidermal growth factor receptor: role of neutrophils. Journal of Immunology 164: 1546–1552.

    CAS  Google Scholar 

  22. Lee, H.M., L. Malm, K. Dabbagh, et al. 2001. Epidermal growth factor receptor signaling mediates regranulation of rat nasal goblet cells. The Journal of Allergy and Clinical Immunology 107: 1046–1050.

    PubMed  Article  CAS  Google Scholar 

  23. Shim, J.J., K. Dabbagh, I.F. Ueki, et al. 2001. IL-13 induces mucin production by stimulating epidermal growth factor receptors and by activating neutrophils. The American Journal of Physiology 280: L134–L140.

    CAS  Google Scholar 

  24. Perrais, M., P. Pigny, M.C. Copin, et al. 2002. Induction of MUC2 and MUC5AC mucins by factors of the epidermal growth factor (EGF) family is mediated by EGF receptor/Ras/Raf/extracellular signal-regulated kinase cascade and Sp1. Biological Chemistry 277(35): 32258–32267.

    Article  CAS  Google Scholar 

  25. Kitazaki, T., H. Soda, S. Doi, et al. 2005. Gefitinib inhibits MUC5AC synthesis in mucin-secreting non-small cell lung cancer cells. Lung Cancer 50: 19–24.

    PubMed  Article  Google Scholar 

Download references

ACKNOWLEDGMENTS

This work was supported by grant from the National Nature Science Foundation of China (No.81070031) and China–Russia Cooperation Research Foundation (No.81011120108).

Author information

Affiliations

Authors

Corresponding author

Correspondence to Xiangdong Zhou.

Rights and permissions

Reprints and Permissions

About this article

Cite this article

Wu, H., Li, Q., Zhou, X. et al. Theaflavins Extracted from Black Tea Inhibit Airway Mucous Hypersecretion Induced by Cigarette Smoke in Rats. Inflammation 35, 271–279 (2012). https://doi.org/10.1007/s10753-011-9314-8

Download citation

  • Published:

  • Issue Date:

  • DOI: https://doi.org/10.1007/s10753-011-9314-8

KEY WORDS

  • cigarette smoke
  • MUC5AC
  • theaflavins
  • epidermal growth factor receptor