Skip to main content

Comparison of Pulmonary Inflammatory and Antioxidant Responses to Intranasal Live and Heat-Killed Streptococcus pneumoniae in Mice

Abstract

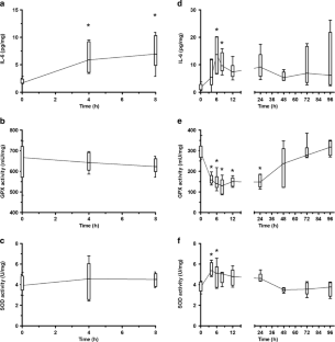
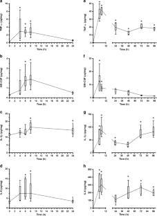
Inflammatory and antioxidant responses, in male C57Bl6J mice, to single intranasal inoculations with live or heat-killed Streptococcus pneumoniae were studied in order to tease out differences in responses. Heat-killed bacteria elicited weak lung neutrophil infiltration and raised concentrations (peak 6–8 h), in serum or lung tissue, of CXCL1 and 2, tumor necrosis factor alpha (TNFα), interleukin-6 (IL-6), and granulocyte-macrophage-colony stimulating factor, with later increases in CCL2 and IL-1β. Live bacteria induced profound pulmonary neutrophil infiltration and acute chemokine/cytokine elevations. After 72–96 h, live S. pneumoniae induced a delayed rise in chemokines CXCL2 and CCL2, preceded by increases in TNFα, IL-1β, and IL-6 and mononuclear infiltration of lungs. With both live and heat-killed bacteria, alveolar epithelial type II cells and alveolar macrophages were the main sources of TNFα and IL-1β. Only live bacteria caused an acute decrease in lung glutathione peroxidase, an increase in superoxide dismutase, and a sustained increase in serum amyloid protein A. Acute innate immune responses to live and heat-killed S. pneumoniae are similar. In response to live bacteria, inflammation is greater, accompanied by changes in antioxidant enzymes and has an additional, later mononuclear component.

This is a preview of subscription content, access via your institution.

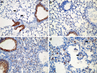
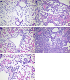
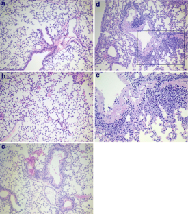
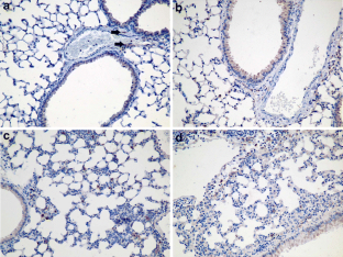
Fig. 1
Fig. 2
Fig. 3
Fig. 4
Fig. 5
Fig. 6
Fig. 7
Fig. 8
Fig. 9
Fig. 10

References

  1. Lode, H.M. 2007. Managing community-acquired pneumonia: A European perspective. Respiratory Medicine 101: 1864–1873.

    PubMed  Article  Google Scholar 

  2. Carbonara, S., L. Monno, B. Longo, and G. Angarano. 2009. Community-acquired pneumonia. Current Opinion in Pulmonary Medicine 15: 261–273.

    PubMed  Article  Google Scholar 

  3. Lynch 3rd, J.P., and G.G. Zhanel. 2009. Streptococcus pneumoniae: Does antimicrobial resistance matter? Seminars in Respiratory and Critical Care Medicine 30: 210–238.

    PubMed  Article  Google Scholar 

  4. Amsden, G.W. 2005. Anti-inflammatory effects of macrolides—An underappreciated benefit in the treatment of community-acquired respiratory tract infections and chronic inflammatory pulmonary conditions? The Journal of Antimicrobial Chemotherapy 55: 10–21.

    PubMed  Article  CAS  Google Scholar 

  5. Bergeron, Y., N. Ouellet, A.-M. Deslauriers, M. Simard, M. Olivier, and M.G. Bergeron. 1998. Cytokine kinetics and other host factors in response to pneumococcal pulmonary infection in mice. Infection and Immunity 66: 912–922.

    PubMed  CAS  Google Scholar 

  6. Wang, E., N. Ouellet, M. Simard, I. Fillion, Y. Bergeron, D. Beauchamp, and M.G. Bergeron. 2001. Pulmonary and systemic host response to Streptococcus pneumoniae and Klebsiella pneumoniae bacteremia in normal and immunosuppressed mice. Infection and Immunity 69: 5294–5304.

    PubMed  Article  CAS  Google Scholar 

  7. Fillion, I., N. Ouellet, M. Simard, Y. Bergeron, S. Sato, and M.G. Bergeron. 2001. Role of chemokines and formyl peptides in pneumococcal pneumonia-induced monocyte/macrophage recruitment. Journal of Immunology 166: 7353–7361.

    CAS  Google Scholar 

  8. Bergeron, Y., N. Ouellet, A.-M. Deslauriers, M. Simard, M. Olivier, and M.G. Bergeron. 1998. Reduction by cefodizime of the pulmonary inflammatory response induced by heat-killed Streptococcus pneumoniae in mice. Antimicrobial Agents and Chemotherapy 42: 2527–2533.

    PubMed  CAS  Google Scholar 

  9. Duong, M., M. Simard, Y. Bergeron, N. Ouellet, M. Côté-Richer, and M.G. Bergeron. 1998. Immunomodulating effects of HMR 3004 on pulmonary inflammation caused by heat-killed Streptococcus pneumoniae in mice. Antimicrobial Agents and Chemotherapy 42: 3309–3312.

    PubMed  CAS  Google Scholar 

  10. Mizgerd, J.P. 2002. Molecular mechanisms of neutrophil recruitment elicited by bacteria in the lungs. Immunology 14: 123–132.

    CAS  Google Scholar 

  11. Pan, L.-H., H. Ohtani, K. Yamauchi, and H. Nagura. 1996. Co-expression of TNFα and IL-1β in human acute pulmonary fibrotic diseases: An immunohistochernical analysis. Pathology Interactive 46: 91–99.

    Article  CAS  Google Scholar 

  12. Gauthier, J.-F., A. Fortin, Y. Bergeron, M.-C. Dumas, M.-E. Champagne, and M.G. Bergeron. 2007. Differential contribution of bacterial N-formyl-methionyl-leucyl-phenylalanine and host-derived CXC chemokines to neutrophil infiltration into pulmonary alveoli during murine pneumococcal pneumonia. Infection and Immunity 75: 5361–5367.

    PubMed  Article  CAS  Google Scholar 

  13. Park, J.H., Y.G. Kim, M. Shaw, T.D. Kanneganti, Y. Fujimoto, K. Fukase, N. Inohara, and G. Núñez. 2007. Nod1/RICK and TLR signaling regulate chemokine and antimicrobial innate immune responses in mesothelial cells. Journal of Immunology 179: 514–521.

    CAS  Google Scholar 

  14. Dhanireddy, S., W.A. Altemeier, G. Matute-Bello, D.S. O’Mahony, R.W. Glenny, T.R. Martin, and W.C. Liles. 2006. Mechanical ventilation induces inflammation, lung injury, and extra-pulmonary organ dysfunction in experimental pneumonia. Laboratory Investigation 86: 790–799.

    PubMed  Article  CAS  Google Scholar 

  15. Santos-Sierra, S., D.T. Golenbock, and P. Henneke. 2006. Toll-like receptor-dependent discrimination of streptococci. Journal of Endotoxin Research 12: 307–312.

    PubMed  CAS  Google Scholar 

  16. Mogensen, T.H. 2009. Pathogen recognition and inflammatory signaling in innate immune defenses. Clinical Microbiology Reviews 22: 240–273.

    PubMed  Article  CAS  Google Scholar 

  17. Tokairin, Y., Y. Shibata, M. Sata, S. Abe, N. Takabatake, A. Igarashi, T. Ishikawa, S. Inoue, and I. Kubota. 2008. Enhanced immediate inflammatory response to Streptococcus pneumoniae in the lungs of mice with pulmonary emphysema. Respirology 13: 324–332.

    PubMed  Article  Google Scholar 

  18. Bosnar, M., B. Bošnjak, S. Čuži, B. Hrvači, N. Marjanovi, I. Glojnari, O. Čuli, M.J. Parnham, and V. Erakovi Haber. 2009. Azithromycin and clarithromycin inhibit lipopolysaccharide-induced murine pulmonary neutrophilia mainly through effects on macrophage-derived GM-CSF and IL-1β. The Journal of Pharmacology and Experimental Therapeutics 331: 104–113.

    PubMed  Article  CAS  Google Scholar 

  19. Mogensen, T.H., S.R. Paludan, M. Kilian, and L. Ostergaard. 2006. Live Streptococcus pneumoniae, Haemophilus influenzae, and Neisseria meningitidis activate the inflammatory response through toll-like receptors 2, 4, and 9 in species-specific patterns. J Leukoc Biol 80: 267–77.

    PubMed  Article  CAS  Google Scholar 

  20. Albiger, B., S. Dahlberg, A. Sandgren, F. Wartha, K. Beiter, H. Katsuragi, S. Akira, S. Normark, and B. Henriques-Normark. 2007. Toll-like receptor 9 acts at an early stage in host defence against pneumococcal infection. Cellular Microbiology 9: 633–644.

    PubMed  Article  CAS  Google Scholar 

  21. Knapp, S., C.W. Wieland, C. van ’t Veer, O. Takeuchi, S. Akira, S. Florquin, and T. van der Poll. 2004. Toll-like receptor 2 plays a role in the early inflammatory response to murine pneumococcal pneumonia but does not contribute to antibacterial defense. Journal of Immunology 172: 3132–3138.

    CAS  Google Scholar 

  22. Nakayama, T., S. Sonoda, T. Urano, T. Yamada, and M. Okada. 1993. Monitoring both serum amyloid protein A and C-reactive protein as inflammatory markers in infectious diseases. Clinical Chemistry 39: 293–297.

    PubMed  CAS  Google Scholar 

  23. Dallaire, F., N. Ouellet, Y. Bergeron, V. Turmel, M.-C. Gauthier, M. Simard, and M.G. Bergeron. 2001. Microbiological and inflammatory factors associated with the development of pneumococcal pneumonia. The Journal of Infectious Diseases 184: 292–300.

    PubMed  Article  CAS  Google Scholar 

  24. Winter, C., K. Taut, M. Srivastava, F. Länger, M. Mack, D.E. Briles, J.C. Paton, R. Maus, T. Welte, M.D. Gunn, and U.A. Maus. 2007. Lung-specific overexpression of CC chemokine ligand (CCL) 2 enhances the host defense to Streptococcus pneumoniae infection in mice: Role of the CCL2-CCR2 axis. Journal of Immunology 178: 5828–5838.

    CAS  Google Scholar 

  25. Martner, A., C. Dahlgren, J.C. Paton, and A.E. Wold. 2008. Pneumolysin released during Streptococcus pneumoniae autolysis is a potent activator of intracellular oxygen radical production in neutrophils. Infection and Immunity 76: 4079–4087.

    PubMed  Article  CAS  Google Scholar 

  26. Zang, Q., D.L. Maass, S.J. Tsai, and J.W. Horton. 2007. Cardiac mitochondrial damage and inflammation responses in sepsis. Surgical Infection (Larchmt.) 8: 41–54.

    Article  Google Scholar 

  27. Tan, R.J., J.S. Lee, M.L. Manni, C.L. Fattman, J.M. Tobolewski, M. Zheng, J.K. Kolls, T.R. Martin, and T.D. Oury. 2006. Inflammatory cells as a source of airspace extracellular superoxide dismutase after pulmonary injury. American Journal of Respiratory Cell and Molecular Biology 34: 226–232.

    PubMed  Article  CAS  Google Scholar 

Download references

ACKNOWLEDGEMENTS

We thank Željko Javorščak, Vedran Vrban, Slavica Skender, Ksenija Štajcer and Marija Škalic for excellent technical assistance.

Author information

Affiliations

Authors

Corresponding author

Correspondence to Miroslava Dominis-Kramari.

Rights and permissions

Reprints and Permissions

About this article

Cite this article

Dominis-Kramari, M., Bosnar, M., Kelneri, Ž. et al. Comparison of Pulmonary Inflammatory and Antioxidant Responses to Intranasal Live and Heat-Killed Streptococcus pneumoniae in Mice. Inflammation 34, 471–486 (2011). https://doi.org/10.1007/s10753-010-9255-7

Download citation

  • Published:

  • Issue Date:

  • DOI: https://doi.org/10.1007/s10753-010-9255-7

KEY WORDS

  • S. pneumoniae infection
  • murine lung inflammation
  • pro-inflammatory cytokines
  • antioxidant enzymes