Skip to main content

Echocardiography for left ventricular assist device implantation and evaluation: an indispensable tool

Abstract

Echocardiography is an indispensable tool in the evaluation, placement, management and follow-up of patients with left ventricular assist devices (LVAD). While transoesophageal echocardiography is the ideal tool in guiding the implantation procedure, transthoracic echocardiography is essential during the initial evaluation, patient selection and in the post-operative follow-up. This review attempts to summarize which parameters the echocardiographic assessment should focused on during each step. In particular, during the pre-operative assessment, it is of paramount importance to assess the presence of aortic regurgitation and most importantly to evaluate right ventricular function, since it is one of the strongest predictor of post-implant right ventricular failure. During the procedure, through transoesophageal echocardiography, it is possible to confirm the correct placement of the inflow cannula, to assess right ventricular function and to guide the choice of the right pump speed. Transthoracic echocardiographic is an essential part in the patient’s follow-up once the LVAD has been implanted, in order to attest the onset of possible complications.

This is a preview of subscription content, access via your institution.

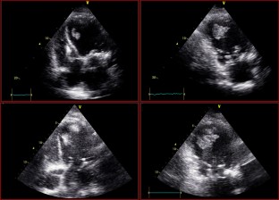
Fig. 1
Fig. 2
Fig. 3
Fig. 4
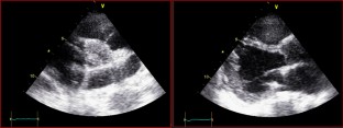
Fig. 5
Fig. 6
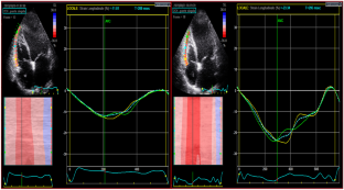
Fig. 7

References

  1. Todaro MC, Khandheria BK, Paterick TE et al (2014) The practical role of echocardiography in selection, implantation, and management of patients requiring LVAD therapy. Curr Cardiol Rep 16:468

    PubMed  Article  Google Scholar 

  2. Kühl HP, Schreckenberg M, Rulands D et al (2004) High-resolution transthoracic real-time three-dimensional echocardiography: quantitation of cardiac volumes and function using semi-automatic border detection and comparison with cardiac magnetic resonance imaging. J Am Coll Cardiol 43:2083–2090

    PubMed  Article  Google Scholar 

  3. Dorosz JL, Lezotte DC, Weitzenkamp DA et al (2012) Performance of 3-dimensional echocardiography in measuring left ventricular volumes and ejection fraction: a systematic review and meta-analysis. J Am Coll Cardiol 59:1799–1808

    PubMed  PubMed Central  Article  Google Scholar 

  4. Kato TS, Farr M, Schulze PC et al (2012) Usefulness of two-dimensional echocardiographic parameters of the left side of the heart to predict right ventricular failure after left ventricular assist device implantation. Am J Cardiol 109:246–251

    PubMed  Article  Google Scholar 

  5. Topilsky Y, Oh JK, Shah DK et al (2011) Echocardiographic predictors of adverse outcomes after continuous left ventricular assist device implantation. JACC Cardiovasc Imaging 4:211–222

    PubMed  Article  Google Scholar 

  6. Moon MR, De Anda A, Castro LJ, Daughters GT, Ingels NB, Miller DC (1997) Effects of mechanical left ventricular support on right ventricular diastolic function. J Heart Lung Transplant 16:398–407

    CAS  PubMed  Google Scholar 

  7. Neyer J, Arsanjani R, Moriguchi J, Siegel R, Kobashigawa J (2016) Echocardiographic parameters associated with right ventricular failure after left ventricular assist device: a review. J Heart Lung Transplant 35(3):283–293

    PubMed  Article  Google Scholar 

  8. Longobardo L, Kramer C, Carerj S, Zito C, Jain R, Suma V, Thohan V, Sulemanjee N, Downey FX, Khandheria BK (2016) Role of echocardiography in the evaluation of left ventricular assist devices: the importance of emerging technologies. Curr Cardiol Rep 18(7):62

    PubMed  Article  Google Scholar 

  9. Cameli M, Mondillo S, Righini FM, Lisi M, Dokollari A, Lindqvist P, Maccherini M, Henein M (2016) Left ventricular deformation and myocardial fibrosis in patients with advanced heart failure requiring transplantation. J Card Fail 22(11):901–907

    PubMed  Article  Google Scholar 

  10. Cameli M, Mondillo S, Solari M, Righini FM, Andrei V, Contaldi C, De Marco E, Di Mauro M, Esposito R, Gallina S, Montisci R, Rossi A, Galderisi M, Nistri S, Agricola E, Mele D (2016) Echocardiographic assessment of left ventricular systolic function: from ejection fraction to torsion. Heart Fail Rev 21(1):77–94

    PubMed  Article  Google Scholar 

  11. Matthews JC, Koelling TM, Pagani FD, Aaronson KD (2008) The right ventricular failure risk score a pre-operative tool for assessing the risk of right ventricular failure in left ventricular assist device candidates. J Am Coll Cardiol 51:2163–2172

    PubMed  PubMed Central  Article  Google Scholar 

  12. Bellavia D, Iacovoni A, Scardulla C, Moja L, Pilato M, Kushwaha SS, Senni M, Clemenza F, Agnese V, Falletta C, Romano G, Maalouf J, Dandel M (2017) Prediction of right ventricular failure after ventricular assist device implant: systematic review and meta-analysis of observational studies. Eur J Heart Fail 19(7):926–946

    CAS  PubMed  Article  Google Scholar 

  13. Cameli M, Lisi M, Righini FM, Tsioulpas C, Bernazzali S, Maccherini M, Sani G, Ballo P, Galderisi M, Mondillo S (2012) Right ventricular longitudinal strain correlates well with right ventricular stroke work index in patients with advanced heart failure referred for heart transplantation. J Card Fail 18:208–215

    PubMed  Article  Google Scholar 

  14. Kato TS, Jiang J, Schulze PC, Jorde U, Uriel N, Kitada S, Takayama H, Naka Y, Mancini D, Gillam L, Homma S, Farr M (2013) Serial echocardiography using tissue Doppler and speckle tracking imaging to monitor right ventricular failure before and after left ventricular assist device surgery. JACC Heart Fail 1:216–222

    PubMed  PubMed Central  Article  Google Scholar 

  15. Cameli M, Bernazzali S, Lisi M, Tsioulpas C, Croccia MG, Lisi G, Maccherini M, Mondillo S (2012) Right ventricular longitudinal strain and right ventricular stroke work index in patients with severe heart failure: left ventricular assist device suitability for transplant candidates. Transplant Proc 44:2013–2015

    CAS  PubMed  Article  Google Scholar 

  16. Tamborini G, Pepi M, Galli CA, Maltagliati A, Celeste F, Muratori M, Rezvanieh S, Veglia F (2007) Feasibility and accuracy of a routine echocardiographic assessment of right ventricular function. Int J Cardiol 115:86–89

    PubMed  Article  Google Scholar 

  17. Cameli M, Lisi M, Righini FM, Focardi M, Lunghetti S, Bernazzali S, Marchetti L, Biagioli B, Galderisi M, Maccherini M, Sani G, Mondillo S (2013) Speckle tracking echocardiography as a new technique to evaluate right ventricular function in patients with left ventricular assist device therapy. J Heart Lung Transplant 32:424–430

    PubMed  Article  Google Scholar 

  18. Kato TS, Farr M, Schulze PC, Maurer M, Shahzad K, Iwata S, Homma S, Jorde U, Takayama H, Naka Y, Gillam L, Mancini D (2012) Usefulness of two-dimensional echocardiographic parameters of the left side of the heart to predict right ventricular failure after left ventricular assist device implantation. Am J Cardiol 109:246–251

    PubMed  Article  Google Scholar 

  19. Raina A, Seetha Rammohan HR, Gertz ZM, Rame JE, Woo YJ, Kirkpatrick JN (2013) Postoperative right ventricular failure after left ventricular assist device placement is predicted by preoperative echocardiographic structural, hemodynamic, and functional parameters. J Card Fail 19:16–24

    PubMed  Article  Google Scholar 

  20. Cameli M, Loiacono F, Sparla S, Solari M, Iardino E, Mandoli GE, Bernazzali S, Maccherini M, Mondillo S (2017) Systematic left ventricular assist device implant eligibility with non-invasive assessment: the SIENA protocol. J Cardiovasc Ultrasound 25(2):39–46

    PubMed  PubMed Central  Article  Google Scholar 

  21. Field ME, Solomon SD, Lewis EF, Kramer DB, Baughman KL, Stevenson LW, Tedrow UB (2006) Right ventricular dysfunction and adverse outcome in patients with advanced heart failure. J Card Fail 12:616–620

    PubMed  Article  Google Scholar 

  22. Lisi M, Cameli M, Righini FM, Malandrino A, Tacchini D, Focardi M, Tsioulpas C, Bernazzali S, Tanganelli P, Maccherini M, Mondillo S, Henein MY (2015) RV longitudinal deformation correlates with myocardial fibrosis in patients with end-stage heart failure. JACC Cardiovasc Imaging 8:514–522

    PubMed  Article  Google Scholar 

  23. Aggarwal A, Raghuvir R, Eryazici P et al (2013) The development of aortic insufficiency in continuous-flow left ventricular assist device-supported patients. Ann Thorac Surg 95:493–498

    PubMed  Article  Google Scholar 

  24. Tuzun E, Pennings K, van Tuijl S et al (2014) Assessment of aortic valve pressure overload and leaflet functions in an ex vivo beating heart loaded with a continuous flow cardiac assist device. Eur J Cardiothorac Surg 45:377–383

    PubMed  Article  Google Scholar 

  25. Feldman D, Pamboukian SV, Teuteberg JJ et al (2013) The 2013 International Society for Heart and Lung Transplantation Guidelines for mechanical circulatory support: executive summary. J Heart Lung Transplant 32:157–187

    PubMed  Article  Google Scholar 

  26. Rana BS, Thomas MR, Calvert PA et al (2010) Echocardiographic evaluation of patent foramen ovale prior to device closure. JACC Cardiovasc Imaging 3:749–760

    PubMed  Article  Google Scholar 

  27. Huang J, Bouvette MJ (2012) Occluding the pulmonary artery to improve detection of patent foramen ovale during ventricular assist device placement. Ann Card Anaesth 15(2118):21

  28. Feldman D, Pamboukian SV, Teuteberg JJ, Birks E, Lietz K, Moore SA et al (2013) The 2013 International Society for Heart and Lung Transplantation Guidelines for mechanical circulatory support: executive summary. J Heart Lung Transpl 32:157–187

    Article  Google Scholar 

  29. Cohen DG, Thomas JD, Freed BH, Rich JD, Sauer AJ (2015) Echocardiography and continuous-flow left ventricular assist devices. Evidence and Limitations. JACC Hear. Fail 3:554–564

  30. Chumnanvej S, Wood MJ, MacGillivray TE, Melo MFV (2007) Perioperative echocardiographic examination for ventricular assist device implantation. Anesth Analg 105:583–601

    PubMed  Article  Google Scholar 

  31. Sheinberg R, Brady MB, Mitter N (2011) Intraoperative transesophageal echocardiography and ventricular assist device insertion. Semin Cardiothorac Vasc Anesth 15:14–24

    PubMed  Article  Google Scholar 

  32. Patangi SO, George A, Pauli H, Leary D, Roysam C, Butt T, Schueler S, Prabhu M, MacGowan G (2013) Management issues during HeartWare left ventricular assist device implantation and the role of transesophageal echocardiography. Ann Card Anaesth 16:259–267

    PubMed  Article  Google Scholar 

  33. Stainback RF, Estep JD, Agler DA, Birks EJ, Bremer M, Hung J, Kirkpatrick JN, Rogers JG, Shah NR (2015) Echocardiography in the management of patients with left ventricular assist devices: recommendations from the american society of echocardiography. J Am Soc Echocardiogr 28:853–909

    PubMed  Article  Google Scholar 

  34. Flores AS, Essandoh M, Yerington GC, Bhatt AM, Iyer MH, Perez W, Davila VR, Tripathi RS, Turner K, Dimitrova G, Andritsos MJ (2015) Echocardiographic assessment for ventricular assist device placement. J Thorac Dis 7:2139–2150

    PubMed  PubMed Central  Google Scholar 

  35. Horton SC, Khodaverdian R, Chatelain P, McIntosh ML, Horne BD, Muhlestein JB, Long JW (2005) Left ventricular assist device malfunction. J Am Coll Cardiol 45:1435–1440

    PubMed  Article  Google Scholar 

  36. Kirkpatrick JN, Wiegers SE, Lang RM (2010) Left ventricular assist devices and other devices for end-stage heart failure: utility of echocardiography. Curr Cardiol Rep 12:257–264

    PubMed  Article  Google Scholar 

  37. Ferns J, Dowling R, Bhat G (2001) Evaluation of a patient with left ventricular assist device dysfunction. ASAIO J 47:696–698

    CAS  PubMed  Article  Google Scholar 

  38. Rich JD (2012) Right ventricular failure in patients with left ventricular assist devices. Cardiol Clin 30:291–302

    PubMed  Article  Google Scholar 

  39. Ammar KA, Umland MM, Kramer C, Sulemanjee N, Jan MF, Khandheria BK, Seward JB, Paterick TE (2012) The ABCs of left ventricular assist device echocardiography: a systematic approach. Eur Heart J Cardiovasc Imaging 13:885–899

    PubMed  Article  Google Scholar 

  40. Estep JD, Stainback RF, Little SH, Torre G, Zoghbi WA (2010) The role of echocardiography and other imaging modalities in patients with left ventricular assist devices. JACC Cardiovasc Imaging 3:1049–1064

    PubMed  Article  Google Scholar 

  41. Ishino K, Murakami T, Takata K, Kino K,nSenoo Y, Teramoto S 1(994) Assessment of myocardial function during mechanical left ventricular support using serial echocardiography: a case report. Acta Med. Okayama 48(165):8

  42. Frea S, Centofanti P, Pidello S, Giordana F, Bovolo V, Baronetto A, Franco B, Cingolani MM, Attisani M, Morello 3, Bergerone S, Rinaldi M, Gaita F (2019) Noninvasive assessment of hemodynamic status in heartware left ventricular assist device patients. JACC Cardiovasc. Imaging 12:1121-1131

  43. Sciaccaluga C, D’Ascenzi F, Mandoli GE, Rizzo L, Sisti N, Carrucola C, Cameli P, Bigio E, Mondillo S, Cameli M (2020) Traditional and novel imaging of right ventricular function in patients with heart failure and reduced ejection fraction. Curr Heart Fail Rep 17(2):28–33

    CAS  PubMed  Article  Google Scholar 

  44. Ramani G, Chen W, Patel S, Judy J, Ton VK (2019) Noninvasive assessment of right ventricular function in patients with pulmonary arterial hypertension and left ventricular assist device. Curr Cardiol Rep 21:82

    PubMed  Article  Google Scholar 

  45. Imamura T, Chung B, Nguyen A, Sayer G, Uriel N (2018) Clinical implications of hemodynamic assessment during left ventricular assist device therapy. J Cardiol 71:352–358

    PubMed  Article  Google Scholar 

  46. Bouchez S, Van Belleghem Y, De Somer F, De Pauw M, Stroobandt R, Wouters P (2019) Haemodynamic management of patients with left ventricular assist devices using echocardiography: the essentials. Eur Heart J Cardiovasc Imaging 20(4):373–382

    PubMed  Article  Google Scholar 

  47. Hannawi B, Estep JD (2018) A comprehensive imaging approach to guide the management of patients with continuous-flow left ventricular assist devices. Cardiol Clin 36:583–597

    PubMed  Article  Google Scholar 

  48. May-Newman K, Hillen B, Sironda C, Dembitsky W (2004) Effect of LVAD outflow conduit insertion angle on flow through the native aorta. J Med Eng Technol 28:105–109

    CAS  PubMed  Article  Google Scholar 

  49. Hamilton A, Huang SL, Warnick D, Stein A, Rabbat M, Madhav T, Kane B, Nagaraj A, Klegerman M, MacDonald R, McPherson D (2002) Left ventricular thrombus enhancement after intravenous injection of echogenic immunoliposomes. Circulation 11(105):2772–2778

    Article  Google Scholar 

  50. Rasalingam R, Johnson SN, Bilhorn KR, Huang PH, Makan M, Moazami N, Pérez JE (2011) Transthoracic echocardiographic assessment of continuous-flow left ventricular assist devices. J Am Soc Echocardiogr 24:135–148

    PubMed  Article  Google Scholar 

  51. Jain A, Rohrer B, Gebhardt B, Breeze JL, Quick JD, Couper G, Kiernan MS, Lawrence M, Cobey FC (2017) Left ventricular assist device thrombosis is associated with an increase in the systolic-to-diastolic velocity ratio measured at the inflow and outflow cannulae. J Cardiothorac Vasc Anesth 31(2):497–504

    PubMed  Article  Google Scholar 

  52. Goldstein DJ, John R, Salerno C, Silvestry S, Moazami N, Horstmanshof D, Adamson R, Boyle A, Zucker M, Rogers J, Russell S, Long J, Pagani F, Jorde U (2013) Algorithm for the diagnosis and management of suspected pump thrombus. J Heart Lung Transplant 32(7):667–670

    PubMed  Article  Google Scholar 

  53. Uriel N, Morrison KA, Garan AR, Kato TS, Yuzefpolskaya M, Latif F, Restaino SW, Mancini DM, Flannery M, Takayama H, John R, Colombo PC, Naka Y, Jorde UP (2012) Development of a novel echocardiography ramp test for speed optimization and diagnosis of device thrombosis in continuous-flow left ventricular assist devices. J Am Coll Cardiol 60(18):1764–1775

    PubMed  PubMed Central  Article  Google Scholar 

  54. Hetzer R, Müller JH, Weng Y, Meyer R, Dandel M (2001) Bridging-to-recovery. Ann Thorac Surg 71(3):S109–S113

    CAS  PubMed  Article  Google Scholar 

  55. Khan T et al (2003) Dobutamine stress echocardiography predicts myocardial improvement in patients supported by left ventricular assist devices (LVADs): hemodynamic and histologic evidence of improvement before LVAD explantation. J Heart Lung Transplant 22(2):137–146

    PubMed  Article  Google Scholar 

Download references

Author information

Affiliations

Authors

Corresponding author

Correspondence to Carlotta Sciaccaluga.

Ethics declarations

Conflicts of interest

The authors declare that they have no conflict of interest.

Additional information

Publisher’s Note

Springer Nature remains neutral with regard to jurisdictional claims in published maps and institutional affiliations.

Rights and permissions

Reprints and Permissions

About this article

Verify currency and authenticity via CrossMark

Cite this article

Sciaccaluga, C., Soliman-Aboumarie, H., Sisti, N. et al. Echocardiography for left ventricular assist device implantation and evaluation: an indispensable tool. Heart Fail Rev (2021). https://doi.org/10.1007/s10741-021-10073-1

Download citation

  • Accepted:

  • Published:

  • DOI: https://doi.org/10.1007/s10741-021-10073-1

Keywords

  • Left ventricular assist device
  • Echocardiography
  • Right ventricular function