Skip to main content

Expression of G-protein-coupled receptor kinase 6 (GRK6) after acute spinal cord injury in adult rat

Abstract

Spinal cord injury frequently results in permanent loss of neurological function. It includes many complex molecular and biochemical mechanisms. G-protein-coupled receptor kinase 6 (GRK6) is an intracellular kinase that regulates the sensitivity of certain G-protein-coupled receptors. Some studies reported GRK2 and GRK5 modulate the NFκB pathway in macrophages. Additionally, GRK2 is referred to as regulating activation of spinal cord microglia and GRK6 expression is significantly elevated in most brain regions in the MPTP-lesioned parkinsonian monkeys. However, the expression and function of GRK6 in nervous system lesion and repair are not well understood. In this study, we performed an acute spinal cord injury (SCI) model in adult rats. Western blot analysis showed the expression of GRK6 was upregulated significantly at protein level in spinal cord after SCI. Immunohistochemistry and immunofluorescence revealed wide expression of GRK6 in the normal spinal cord. After injury, GRK6 expression was increased predominantly in microglia, which expressed F4/80 (marker of macrophages and activated microglia) strongly. To understand whether GRK6 played a role in microglia activation, we applied lipopolysaccharide (LPS) to induce microglia activation in vitro. Western blot analysis demonstrated up-regulation in GRK6 protein expression after LPS stimulation was time- and dose-dependent and that up-regulation in F4/80 expression was concomitant with GRK6. These data suggested that GRK6 might be involved in the pathophysiology of SCI.

This is a preview of subscription content, access via your institution.

Fig. 1
Fig. 2
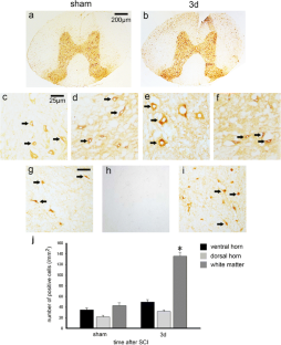
Fig. 3
Fig. 4
Fig. 5
Fig. 6

Abbreviations

BSA:

Bovine serum albumin

DAB:

Diaminobenzidine

ECL:

Enhanced chemiluminescence system

GAPDH:

Glyceraldehyde-3-phosphate dehydrogenase

GFAP:

Glial fibrillary acidic protein

GPCRS:

G protein-coupled receptors

GRK:

G-protein-coupled receptor kinase

HAPI:

Highly aggressively proliferating immortalized

IκBα:

Inhibitor of κBα

LPS:

Lipopolysaccharide

LTB4:

Leukotriene B4

NF-κB:

Nuclear factor κB

PAGE:

Polyacrylamide gel electrophoresis

RT:

Room temperature

SCI:

Spinal cord injury

References

  • Ahmed MR, Berthet A, Bychkov E, Porras G, Li Q, Bioulac BH, Carl YT, Bloch B, Kook S, Aubert I, Dovero S, Doudnikoff E, Gurevich VV, Gurevich EV, Bezard E (2010) Lentiviral overexpression of GRK6 alleviates L-dopa-induced dyskinesia in experimental Parkinson’s disease. Sci Transl Med 2(28):28ra28

    PubMed  Article  Google Scholar 

  • Bareyre FM, Schwab ME (2003) Inflammation, degeneration and regeneration in the injured spinal cord: insights from DNA microarrays. Trends Neurosci 26:555–563

    PubMed  Article  CAS  Google Scholar 

  • Barnes PJ, Karin M (1997) Nuclear factor-kappaB: a pivotal transcription factor in chronic inflammatory diseases. N Engl J Med 336:1066–1071

    PubMed  Article  CAS  Google Scholar 

  • Bartholdi D, Schwab ME (1997) Expression of pro-inflammatory cytokine and chemokine mRNA upon experimental spinal cord injury in mouse: an in situ hybridization study. Eur J Neurosci 9:1422–1438

    PubMed  Article  CAS  Google Scholar 

  • Bezard E, Gross CE, Qin L, Gurevich VV, Benovic JL, Gurevich EV (2005) L-DOPA reverses the MPTP-induced elevation of the arrestin2 and GRK6 expression and enhanced ERK activation in monkey brain. Neurobiol Dis 18:323–335

    PubMed  Article  CAS  Google Scholar 

  • Blight AR (1985) Delayed demyelination and macrophage invasion: a candidate for secondary cell damage in spinal cord injury. Cent Nerv Syst Trauma 2:299–315

    PubMed  CAS  Google Scholar 

  • Carlson SL, Parrish ME, Springer JE, Doty K, Dossett L (1998) Acute inflammatory response in spinal cord following impact injury. Exp Neurol 151:77–88

    PubMed  Article  CAS  Google Scholar 

  • Ceruti S, Villa G, Genovese T, Mazzon E, Longhi R, Rosa P, Bramanti P, Cuzzocrea S, Abbracchio MP (2009) The P2Y-like receptor GPR17 as a sensor of damage and a new potential target in spinal cord injury. Brain 132:2206–2218

    PubMed  Article  Google Scholar 

  • Cheepsunthorn P, Radov L, Menzies S, Reid J, Connor JR (2001) Characterization of a novel brain-derived microglial cell line isolated from neonatal rat brain. Glia 35:53–62

    PubMed  Article  CAS  Google Scholar 

  • Chuang TT, Sallese M, Ambrosini G, Parruti G, De Blasi A (1992) High expression of beta-adrenergic receptor kinase in human peripheral blood leukocytes. Isoproterenol and platelet activating factor can induce kinase translocation. J Biol Chem 267:6886–6892

    PubMed  CAS  Google Scholar 

  • Dohlman HG, Thorner J, Caron MG, Lefkowitz RJ (1991) Model systems for the study of seven-transmembrane-segment receptors. Annu Rev Biochem 60:653–688

    PubMed  Article  CAS  Google Scholar 

  • Dumont RJ, Okonkwo DO, Verma S, Hurlbert RJ, Boulos PT, Ellegala DB, Dumont AS (2001) Acute spinal cord injury, part I: pathophysiologic mechanisms. Clin Neuropharmacol 24:254–264

    PubMed  Article  CAS  Google Scholar 

  • Eijkelkamp N, Heijnen CJ, Elsenbruch S, Holtmann G, Schedlowski M, Kavelaars A (2009) G protein-coupled receptor kinase 6 controls post-inflammatory visceral hyperalgesia. Brain Behav Immunol 23:18–26

    Article  CAS  Google Scholar 

  • Gaudreau R, Le Gouill C, Venne MH, Stankova J, Rola-Pleszczynski M (2002) Threonine 308 within a putative casein kinase 2 site of the cytoplasmic tail of leukotriene B(4) receptor (BLT1) is crucial for ligand-induced, G-protein-coupled receptor-specific kinase 6-mediated desensitization. J Biol Chem 277:31567–31576

    PubMed  Article  CAS  Google Scholar 

  • Gomez J, Benovic JL (1992) Molecular and regulatory properties of the adenylyl cyclase-coupled beta-adrenergic receptors. Int Rev Cytol 137B:1–34

    PubMed  CAS  Google Scholar 

  • Gruner JA (1992) A monitored contusion model of spinal cord injury in the rat. J Neurotrauma 9:123–126; discussion 126–128

    PubMed  Article  CAS  Google Scholar 

  • Hargrave PA, McDowell JH (1992) Rhodopsin and phototransduction. Int Rev Cytol 137B:49–97

    PubMed  CAS  Google Scholar 

  • Horn KP, Busch SA, Hawthorne AL, van Rooijen N, Silver J (2008) Another barrier to regeneration in the CNS: activated macrophages induce extensive retraction of dystrophic axons through direct physical interactions. J Neurosci 28:9330–9341

    PubMed  Article  CAS  Google Scholar 

  • Huan W, Wu X, Zhang S, Zhao Y, Xu H, Wang N, Li H, Chen H, Wei H, Wang Y (2012) Spatiotemporal patterns and essential role of TNF receptor-associated factor 5 expression after rat spinal cord Injury. J Mol Histol 43:527–533

    PubMed  Article  CAS  Google Scholar 

  • Hulsebosch CE (2002) Recent advances in pathophysiology and treatment of spinal cord injury. Adv Physiol Educ 26:238–255

    PubMed  Google Scholar 

  • Imai Y, Kohsaka S (2002) Intracellular signaling in M-CSF-induced microglia activation: role of Iba1. Glia 40:164–174

    PubMed  Article  Google Scholar 

  • Kavelaars A, Vroon A, Raatgever RP, Fong AM, Premont RT, Patel DD, Lefkowitz RJ, Heijnen CJ (2003) Increased acute inflammation, leukotriene B4-induced chemotaxis, and signaling in mice deficient for G protein-coupled receptor kinase 6. J Immunol 171:6128–6134

    PubMed  CAS  Google Scholar 

  • Krupnick JG, Benovic JL (1998) The role of receptor kinases and arrestins in G protein-coupled receptor regulation. Annu Rev Pharmacol Toxicol 38:289–319

    PubMed  Article  CAS  Google Scholar 

  • Kwon BK, Tetzlaff W, Grauer JN, Beiner J, Vaccaro AR (2004) Pathophysiology and pharmacologic treatment of acute spinal cord injury. Spine J 4:451–464

    PubMed  Article  Google Scholar 

  • Lombardi MS, Kavelaars A, Schedlowski M, Bijlsma JW, Okihara KL, Van de Pol M, Ochsmann S, Pawlak C, Schmidt RE, Heijnen CJ (1999) Decreased expression and activity of G-protein-coupled receptor kinases in peripheral blood mononuclear cells of patients with rheumatoid arthritis. FASEB J 13:715–725

    PubMed  CAS  Google Scholar 

  • Lombardi MS, Kavelaars A, Cobelens PM, Schmidt RE, Schedlowski M, Heijnen CJ (2001) Adjuvant arthritis induces down-regulation of G protein-coupled receptor kinases in the immune system. J Immunol 166:1635–1640

    PubMed  CAS  Google Scholar 

  • Lombardi MS, Kavelaars A, Heijnen CJ (2002) Role and modulation of G protein-coupled receptor signaling in inflammatory processes. Crit Rev Immunol 22:141–163

    PubMed  Article  CAS  Google Scholar 

  • Loudon RP, Perussia B, Benovic JL (1996) Differentially regulated expression of the G-protein-coupled receptor kinases, betaARK and GRK6, during myelomonocytic cell development in vitro. Blood 88:4547–4557

    PubMed  CAS  Google Scholar 

  • Nakajima K, Kohsaka S (2004) Microglia: neuroprotective and neurotrophic cells in the central nervous system. Curr Drug Targets Cardiovasc Haematol Disord 4:65–84

    PubMed  Article  CAS  Google Scholar 

  • Olbrich H, Proudfoot AE, Oppermann M (1999) Chemokine-induced phosphorylation of CC chemokine receptor 5 (CCR5). J Leukoc Biol 65:281–285

    PubMed  CAS  Google Scholar 

  • Patial S, Luo J, Porter KJ, Benovic JL, Parameswaran N (2009) G-protein-coupled-receptor kinases mediate TNFalpha-induced NFkappaB signalling via direct interaction with and phosphorylation of IkappaBalpha. Biochem J 425:169–178

    PubMed  Article  Google Scholar 

  • Patial S, Shahi S, Saini Y, Lee T, Packiriswamy N, Appledorn DM, Lapres JJ, Amalfitano A, Parameswaran N (2011) G-protein coupled receptor kinase 5 mediates lipopolysaccharide-induced NFkappaB activation in primary macrophages and modulates inflammation in vivo in mice. J Cell Physiol 226:1323–1333

    PubMed  Article  CAS  Google Scholar 

  • Pearse DD, Chatzipanteli K, Marcillo AE, Bunge MB, Dietrich WD (2003) Comparison of iNOS inhibition by antisense and pharmacological inhibitors after spinal cord injury. J Neuropathol Exp Neurol 62:1096–1107

    PubMed  CAS  Google Scholar 

  • Pitcher JA, Freedman NJ, Lefkowitz RJ (1998) G protein-coupled receptor kinases. Annu Rev Biochem 67:653–692

    PubMed  Article  CAS  Google Scholar 

  • Profyris C, Cheema SS, Zang D, Azari MF, Boyle K, Petratos S (2004) Degenerative and regenerative mechanisms governing spinal cord injury. Neurobiol Dis 15:415–436

    PubMed  Article  Google Scholar 

  • Reiter E, Lefkowitz RJ (2006) GRKs and beta-arrestins: roles in receptor silencing, trafficking and signaling. Trends Endocrinol Metab 17:159–165

    PubMed  Article  CAS  Google Scholar 

  • Schwab ME (2002) Repairing the injured spinal cord. Science 295:1029–1031

    PubMed  Article  CAS  Google Scholar 

  • Schwab ME, Bartholdi D (1996) Degeneration and regeneration of axons in the lesioned spinal cord. Physiol Rev 76:319–370

    PubMed  CAS  Google Scholar 

  • Shen A, Liu Y, Zhao J, Qin J, Shi S, Chen M, Gao S, Xiao F, Lu Q, Cheng C (2008) Temporal-spatial expressions of p27kip1 and its phosphorylation on Serine-10 after acute spinal cord injury in adult rat: implications for post-traumatic glial proliferation. Neurochem Int 52:1266–1275

    PubMed  Article  CAS  Google Scholar 

  • Tanabe S, Heesen M, Yoshizawa I, Berman MA, Luo Y, Bleul CC, Springer TA, Okuda K, Gerard N, Dorf ME (1997) Functional expression of the CXC-chemokine receptor-4/fusin on mouse microglial cells and astrocytes. J Immunol 159:905–911

    PubMed  CAS  Google Scholar 

  • Tator CH, Fehlings MG (1991) Review of the secondary injury theory of acute spinal cord trauma with emphasis on vascular mechanisms. J Neurosurg 75:15–26

    PubMed  Article  CAS  Google Scholar 

  • Vroon A, Lombardi MS, Kavelaars A, Heijnen CJ (2003) Changes in the G-protein-coupled receptor desensitization machinery during relapsing-progressive experimental allergic encephalomyelitis. J Neuroimmunol 137:79–86

    PubMed  Article  CAS  Google Scholar 

  • Willemen HL, Eijkelkamp N, Wang H, Dantzer R, Dorn GW 2nd, Kelley KW, Heijnen CJ, Kavelaars A (2010) Microglial/macrophage GRK2 determines duration of peripheral IL-1beta-induced hyperalgesia: contribution of spinal cord CX3CR1, p38 and IL-1 signaling. Pain 150:550–560

    PubMed  Article  CAS  Google Scholar 

  • Wyndaele M, Wyndaele JJ (2006) Incidence, prevalence and epidemiology of spinal cord injury: what learns a worldwide literature survey? Spinal Cord 44:523–529

    PubMed  Article  CAS  Google Scholar 

  • Xu J, Kim GM, Chen S, Yan P, Ahmed SH, Ku G, Beckman JS, Xu XM, Hsu CY (2001) iNOS and nitrotyrosine expression after spinal cord injury. J Neurotrauma 18:523–532

    PubMed  Article  CAS  Google Scholar 

  • Yu X, Zhong Y, Zhu Z, Wu T, Shen A, Huang Y (2012) Increased expression of nitric oxide synthase interacting protein (NOSIP) following traumatic spinal cord injury in rats. J Mol Histol 43:661–668

    PubMed  Article  CAS  Google Scholar 

  • Zhang J, Cui Z, Shen A, Li W, Xu G, Bao G, Sun Y, Wang L, Gu H, Zhou Y, Cui Z (2012) Upregulation of myelin and lymphocyte protein (MAL) after traumatic spinal cord injury in rats. J Mol Histol [Epub ahead of print]

Download references

Acknowledgments

This work was supported by the National Natural Science Foundation of China (No. 81070992); A Project Funded by the Priority Academic Program Development of Jiangsu Higher Education Institutions (PAPD).

Author information

Affiliations

Authors

Corresponding author

Correspondence to Feng Zhang.

Rights and permissions

Reprints and Permissions

About this article

Cite this article

Sun, B., Gao, Y., Lou, D. et al. Expression of G-protein-coupled receptor kinase 6 (GRK6) after acute spinal cord injury in adult rat. J Mol Hist 44, 259–270 (2013). https://doi.org/10.1007/s10735-013-9486-7

Download citation

  • Received:

  • Accepted:

  • Published:

  • Issue Date:

  • DOI: https://doi.org/10.1007/s10735-013-9486-7

Keywords

  • SCI
  • GRK6
  • Microglia
  • Activation
  • Rats