Skip to main content

Spatiotemporal patterns and essential role of TNF receptor-associated factor 5 expression after rat spinal cord Injury

Abstract

TRAF5 (TNF receptor-associated factor 5), which has a tumor necrosis factor receptor-associated factor (TRAF) domain in its carboxyl terminus, was identified CD40-associated factor. It was a signal transducer for NF-κB signal pathway and other pathway. To elucidate the expression and roles of TRAF5 in nervous system lesion and repair, we performed an acute spinal cord injury (SCI) model in adult rats and studied the dynamic changes of TRAF5 expression in spinal cord. Western blot and immunohistochemistry analysis revealed that TRAF5 was present in normal spinal cord. It gradually increased, reached a peak at 5 days after SCI, and then declined during the following days. Immunofluorescence double-labeling revealed that TRAF5 was co-expressed with NeuN and GFAP, respectively. Interesting, after injury, TRAF5 expression was increased predominantly in astrocytes, which highly expressed PCNA, a marker for proliferating cells. In conclusion, this is the first description of TRAF5 expression in spinal cord. Our data suggested that TRAF5 might play important roles in CNS pathophysiology after SCI.

This is a preview of subscription content, access via your institution.

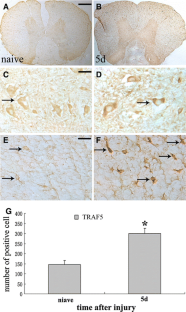
Fig. 1
Fig. 2
Fig. 3
Fig. 4

References

  • Barnes PJ, Karin M (1997) Nuclear factor-kappaB: a pivotal transcription factor in chronic inflammatory diseases. N Engl J Med 336:1066–1071

    PubMed  Article  CAS  Google Scholar 

  • Blight AR (1985) Delayed demyelination and macrophage invasion: a candidate for secondary cell damage in spinal cord injury. Cent Nerv Syst Trauma 2:299–315

    PubMed  CAS  Google Scholar 

  • Chung JY, Park YC, Ye H, Wu H (2002) All TRAFs are not created equal: common and distinct molecular mechanisms of TRAF-mediated signal transduction. J Cell Sci 115:679–688

    PubMed  CAS  Google Scholar 

  • Crowe MJ, Bresnahan JC, Shuman SL, Masters JN, Beattie MS (1997) Apoptosis and delayed degeneration after spinal cord injury in rats and monkeys. Nat Med 3:73–76

    PubMed  Article  CAS  Google Scholar 

  • Davies SJ, Field PM, Raisman G (1996) Regeneration of cut adult axons fails even in the presence of continuous aligned glial pathways. Exp Neurol 142:203–216

    PubMed  Article  CAS  Google Scholar 

  • Dumont RJ, Okonkwo DO, Verma S, Hurlbert RJ, Boulos PT, Ellegala DB, Dumont AS (2001) Acute spinal cord injury, part I: pathophysiologic mechanisms. Clin Neuropharmacol 24:254–264

    PubMed  Article  CAS  Google Scholar 

  • Fawcett JW (1997) Astrocytic and neuronal factors affecting axon regeneration in the damaged central nervous system. Cell Tissue Res 290:371–377

    PubMed  Article  CAS  Google Scholar 

  • Gruner JA (1992) A monitored contusion model of spinal cord injury in the rat. J Neurotrauma 9:123–126 discussion 126–128

    Google Scholar 

  • Kanazawa K, Azuma Y, Nakano H, Kudo A (2003) TRAF5 functions in both RANKL- and TNFalpha-induced osteoclastogenesis. J Bone Miner Res 18:443–450

    PubMed  Article  CAS  Google Scholar 

  • Kraus ZJ, Haring JS, Bishop GA (2008) TNF receptor-associated factor 5 is required for optimal T cell expansion and survival in response to infection. J Immunol 181:7800–7809

    PubMed  CAS  Google Scholar 

  • Kwon BK, Tetzlaff W, Grauer JN, Beiner J, Vaccaro AR (2004) Pathophysiology and pharmacologic treatment of acute spinal cord injury. Spine J 4:451–464

    PubMed  Article  Google Scholar 

  • Liu XZ, Xu XM, Hu R, Du C, Zhang SX, McDonald JW, Dong HX, Wu YJ, Fan GS, Jacquin MF, Hsu CY, Choi DW (1997) Neuronal and glial apoptosis after traumatic spinal cord injury. J Neurosci 17:5395–5406

    PubMed  CAS  Google Scholar 

  • Maragakis NJ, Rothstein JD (2006) Mechanisms of disease: astrocytes in neurodegenerative disease. Nat Clin Pract Neurol 2:679–689

    PubMed  Article  CAS  Google Scholar 

  • McDonald JW, Sadowsky C (2002) Spinal-cord injury. Lancet 359:417–425

    PubMed  Article  Google Scholar 

  • McGraw J, Hiebert GW, Steeves JD (2001) Modulating astrogliosis after neurotrauma. J Neurosci Res 63:109–115

    PubMed  Article  CAS  Google Scholar 

  • Morris GF, Mathews MB (1989) Regulation of proliferating cell nuclear antigen during the cell cycle. J Biol Chem 264:13856–13864

    PubMed  CAS  Google Scholar 

  • Nieto-Sampedro M (1999) Neurite outgrowth inhibitors in gliotic tissue. Adv Exp Med Biol 468:207–224

    PubMed  Article  CAS  Google Scholar 

  • Raghupathi R (2004) Cell death mechanisms following traumatic brain injury. Brain Pathol 14:215–222

    PubMed  Article  Google Scholar 

  • Rothe M, Wong SC, Henzel WJ, Goeddel DV (1994) A novel family of putative signal transducers associated with the cytoplasmic domain of the 75 kDa tumor necrosis factor receptor. Cell 78:681–692

    PubMed  Article  CAS  Google Scholar 

  • Silver J, Miller JH (2004) Regeneration beyond the glial scar. Nat Rev Neurosci 5:146–156

    PubMed  Article  CAS  Google Scholar 

  • Song HY, Regnier CH, Kirschning CJ, Goeddel DV, Rothe M (1997) Tumor necrosis factor (TNF)-mediated kinase cascades: bifurcation of nuclear factor-kappaB and c-jun N-terminal kinase (JNK/SAPK) pathways at TNF receptor-associated factor 2. Proc Natl Acad Sci USA 94:9792–9796

    PubMed  Article  CAS  Google Scholar 

  • Tada K, Okazaki T, Sakon S, Kobarai T, Kurosawa K, Yamaoka S, Hashimoto H, Mak TW, Yagita H, Okumura K, Yeh WC, Nakano H (2001) Critical roles of TRAF2 and TRAF5 in tumor necrosis factor-induced NF-kappa B activation and protection from cell death. J Biol Chem 276:36530–36534

    PubMed  Article  CAS  Google Scholar 

Download references

Acknowledgments

This work was supported by the National Natural Science Foundation of China (No. 81171140, No. 30300099, No. 30770488 and No. 30870320); Natural Science Foundation of Jiangsu province (No. BK2009161, No. BK2009156, and No. BK2009157); Natural science Foundation of Jiangsu Colleges and Universities Grant (09KJD310005); The Society and Technology Grew Project of Nantong City (S2008020).

Author information

Affiliations

Authors

Corresponding author

Correspondence to Youhua Wang.

Additional information

Weipeng Huan and Xiujie Wu contributed equally to this work.

Rights and permissions

Reprints and Permissions

About this article

Cite this article

Huan, W., Wu, X., Zhang, S. et al. Spatiotemporal patterns and essential role of TNF receptor-associated factor 5 expression after rat spinal cord Injury. J Mol Hist 43, 527–533 (2012). https://doi.org/10.1007/s10735-012-9411-5

Download citation

  • Received:

  • Accepted:

  • Published:

  • Issue Date:

  • DOI: https://doi.org/10.1007/s10735-012-9411-5

Keywords

  • Spinal cord injury
  • TRAF5
  • Astrocytes proliferation
  • Rats