Skip to main content

Expression of an intron-containing β-tubulin mRNA in catfish olfactory epithelium

Abstract

β-Tubulin genes code for very similar proteins, sharing extensive identity in amino acid sequence within and across species, each of which manifests characteristic patterns of cell and tissue expression. While searching for olfactory specific mRNAs in the channel catfish (Ictalurus punctatus), we isolated a novel β-tubulin cDNA. In the putative ORF, 1298 nucleotides were 80–88% identical to cloned cDNAs from zebrafish to human for β-tubulin isotype IVb. This ORF is interrupted by an insert of 111 nucleotides located between the regions corresponding to exons 2 and 3 in other species. This insert lacks similarity to any sequence in the NCBI databases. We showed that this novel cDNA fragment hybridizes specifically to catfish olfactory epithelium mRNA on Northern analysis. Here we demonstrate by in situ analysis of catfish olfactory epithelium that the expression of this mRNA is spatially restricted to the outer two-thirds of each olfactory lamella where olfactory receptor neurons reside. These results suggest that this nucleotide sequence is the result of incomplete RNA transcript processing. The growing awareness of the regulatory roles played by RNAs transcribed from intronic regions of genes suggests that this observation may have relevance to regulation of gene expression in olfactory tissue during development and axon targeting.

This is a preview of subscription content, access via your institution.

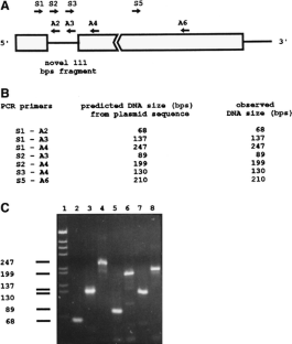
Fig. 1
Fig. 2
Fig. 3
Fig. 4

References

  • Bell LR, Maine EM, Schedl P, Cline TW (1988) Sex-lethal, a Drosophila sex determination switch gene, exhibits sex-specific RNA splicing and sequence similarity to RNA binding proteins. Cell 55:1037–1046

    PubMed  Article  CAS  Google Scholar 

  • Bettini E, Porta A, Dahmen N, Wang H, Margolis FL (1994) Expressed sequence tags (est) identify genes preferentially expressed in catfish chemosensory tissues. Mol Brain Res 23:285–291

    PubMed  Article  CAS  Google Scholar 

  • Bond RW, Wyborski RJ, Gottlieb DI (1990) Developmentally regulated expression of an exon containing a stop codon in the gene for glutamic acid decarboxylase. Proc Natl Acad Sci USA 87:8771–8775

    PubMed  Article  CAS  Google Scholar 

  • Bor YC, Swartz J, Morrison A, Rekosh D, Ladomery M, Hammarskjold ML (2006) The Wilms' tumor 1 (WT1) gene (+KTS isoform) functions with a CTE to enhance translation from an unspliced RNA with a retained intron. Genes Dev 20:1597–1608

    PubMed  Article  CAS  Google Scholar 

  • Brooks PJ, Funabashi T, Kleopoulos SP, Mobbs CV, Pfaff DW (1993) Cell-specific expression of preproenkephalin intronic heteronuclear RNA in the rat forebrain. Mol Brain Res 19:22–30

    PubMed  Article  CAS  Google Scholar 

  • Buttgereit D, Renkawitz-Pohl R (1993) Expression of beta 1 tubulin (beta Tub56D) in Drosophila testis stem cells is regulated by a short upstream sequence while intron elements guide expression in somatic cells. Mol Gen Genet 241:263–270

    PubMed  Article  CAS  Google Scholar 

  • Cai X, Lancto CA, Abrahamsen MS, Zhu G (2004) Intron-containing beta-tubulin transcripts in Cryptosporidium parvum cultured in vitro. Microbiology 150:1191–1195

    PubMed  Article  CAS  Google Scholar 

  • Cohen JB, Broz SD, Levinson AD (1993) Expression of H-ras proto-oncogene is controlled by alternative splicing. Cell 58:461–472

    Article  Google Scholar 

  • Du T, Zamore PD (2005) MicroPrimer: the biogenesis and function of microRNA. Development 132:4645–4652

    PubMed  Article  CAS  Google Scholar 

  • Dustin P (1984) Microtubules 2nd ed. Springer-Verlag, New York

    Google Scholar 

  • Farbman AI, Margolis FL (1980) Olfactory marker protein during ontogeny: Immunohistochemical localization. Dev Biol 74:205–215

    PubMed  Article  CAS  Google Scholar 

  • Fiume E, Christou P, Giani S, Breviario D (2004) Introns are key regulatory elements of rice tubulin expression. Planta 218:693–703

    PubMed  Article  CAS  Google Scholar 

  • Gianl S, Morello L, Bardini M, Breviario D (2003) Tubulin intron sequences: multi-functional tools. Cell Biol Int 27:203–205

    Article  Google Scholar 

  • Gordon-Weeks PR (1993) Organization of microtubules in axonal growth cones: a role for microtubule-associated protein MAP 1B. J Neurocytol 22:717–725

    PubMed  Article  CAS  Google Scholar 

  • Gower HJ, Barton CH, Elsom VL, Thompson J, Moore SE, Dickson G, Walsh FS (1988) Alternative splicing generates a secreted form of N-CAM in muscle and brain. Cell 55:955–964

    PubMed  Article  CAS  Google Scholar 

  • Hansen A, Rolen SH, Anderson K, Morita Y, Caprio J, Finger TE (2003) Correlation between olfactory receptor cell type and function in the channel catfish. J Neurosci 23:9328–9339

    PubMed  CAS  Google Scholar 

  • Herve D, Rogard M, Levi-Strauss M (1995) Molecular analysis of the multiple Golf alpha subunit mRNAs in the rat brain. Brain Res Mol Brain Res 32:125–134

    PubMed  Article  CAS  Google Scholar 

  • Keller A, Margolis FL (1975) Immunological studies of the rat olfactory marker protein. J Neurochem 24:1101–1106

    PubMed  Article  CAS  Google Scholar 

  • Kohler J, Schafer-Preuss S, Buttgereit D (1996) Related enhancers in the intron of the beta1 tubulin gene of Drosophila melanogaster are essential for maternal and CNS-specific expression during embryogenesis. Nucleic Acids Res 24:2543–2550

    PubMed  Article  CAS  Google Scholar 

  • Kozak M (1978) How do eucaryotic ribosomes select initiation regions in messenger RNA? Cell 15:1109–1123

    PubMed  Article  CAS  Google Scholar 

  • Le Hir H, Nott A, Moore MJ (2003) How introns influence and enhance eukaryotic gene expression. Trends Biochem Sci 28:215–220

    PubMed  Article  CAS  Google Scholar 

  • Li Y, Bor YC, Misawa Y, Xue Y, Rekosh D, Hammarskjold ML (2006) An intron with a constitutive transport element is retained in a Tap messenger RNA. Nature 443:234–237

    PubMed  Article  CAS  Google Scholar 

  • Luduena RF (1993) Are tubulin isotypes functionally significant? Mol Biol Cell 4:445–457

    PubMed  CAS  Google Scholar 

  • Margolis JW, Munger SD, Zhao H, Margolis FL. OMP: A cautionary tale of a gene within a gene (2004) AChemS XXVI 2004, 151

  • McKean PG, Vaughan S, Gull K (2001) The extended tubulin superfamily. J Cell Sci 114:2723–2733

    PubMed  CAS  Google Scholar 

  • McKeown M (1992) Alternative mRNA splicing. Ann Rev Cell Biol 8:133–155

    PubMed  CAS  Google Scholar 

  • McLaughlin SK, Margolskee RF (1993) 33P is preferable to 35S for labeling probes used in in situ hybridization. Biotechniques 15:506–511

    PubMed  CAS  Google Scholar 

  • Mezquita J, Lopez-Ibor B, Pau M, Mezquita C (1993) Intron and intronless transcription of the chicken polyubiquitin gene UbII. FEBS Lett 319:244–248

    PubMed  Article  CAS  Google Scholar 

  • Monti-Graziadei GA, Margolis FL, Harding JW Graziadei PPC (1977) Immunocytochemistry of the olfactory marker protein. J Histochem Cytochem 25:1311–1316

    PubMed  CAS  Google Scholar 

  • Muller JF, Marc RE (1984) Three distinct morphological classes of receptors in fish olfactory organs. J Comp Neurol 222:482–495

    PubMed  Article  CAS  Google Scholar 

  • Nakaya HI, Amaral PP, Louro R, Lopes A, Fachel AA, Moreira YB, El-Jundi TA, da Silva AM, Reis EM, Verjovski-Almeida S (2007) Genome mapping and expression analyses of human intronic noncoding RNAs reveal tissue-specific patterns and enrichment in genes related to regulation of transcription. Genome Biol 8:R43

    PubMed  Article  Google Scholar 

  • Ngai J, Chess A, Dowling MM, Necles N, Macagno ER (1993) Coding of olfactory information: topography of odorant receptor expression in the catfish olfactory epithelium. Cell 72:667–680

    PubMed  Article  CAS  Google Scholar 

  • Noe V, MacKenzie S, Ciudad CJ (2003) An intron is required for dihydrofolate reductase protein stability. J Biol Chem 278:38292–38300

    PubMed  Article  CAS  Google Scholar 

  • Nott A, Meislin SH, Moore MJ (2003) A quantitative analysis of intron effects on mammalian gene expression. RNA 9:607–617

    PubMed  Article  CAS  Google Scholar 

  • O’Connor V, Genin A, Davis S, Karishma KK, Doyere V, De Zeeuw CI, Sanger G, Hunt SP, Richter-Levin G, Mallet J, Laroche S, Bliss TV, French PJ (2004) Differential amplification of intron-containing transcripts reveals long term potentiation-associated up-regulation of specific Pde10A phosphodiesterase splice variants. J Biol Chem 279:15841–15849

    PubMed  Article  CAS  Google Scholar 

  • Rama Krishna NS, Getchell M, Buiakova O, Margolis FL, Getchell T (1995) Human olfactory receptor neurons contain OMP mRNA in their dendritic and axonal processes. Neuroreport 6:817–821

    Article  Google Scholar 

  • Sabry JH, O’Connor TP, Evans L, Toroian-Raymond A, Kirschner M, Bentley D (1991) Microtubule behavior during guidance of pioneer neuron growth cones in situ. J Cell Biol 115:381–395

    PubMed  Article  CAS  Google Scholar 

  • Schratt GM, Tuebing F, Nigh EA, Kane CG, Sabatini ME, Kiebler M, Greenberg ME (2006) A brain-specific microRNA regulates dendritic spine development. Nature 439:283–289

    PubMed  Article  CAS  Google Scholar 

  • Shapiro MB, Senapathy P (1987) RNA splice junctions of different classes of eukaryotes: sequence statistics and functional implications in gene expression. Nucl Acids Res 15:7155–7174

    PubMed  Article  CAS  Google Scholar 

  • Sullivan KF (1988) Structure and utilization of tubulin isotypes. Ann Rev Cell Biol 4:687–716

    PubMed  CAS  Google Scholar 

  • Sullivan KF, Machlin PS, Ratrie H III, Cleveland DW (1993) Sequence and expression of the chicken β3 tubulin gene. J Biol Chem 261:13317–13322

    Google Scholar 

  • Vassar R, Chao SK, Sitcheran R, Nunez JM, Vosshall LB, Axel R (1994) Topographic organization of sensory projections to the olfactory bulb. Cell 79:981–991

    PubMed  Article  CAS  Google Scholar 

  • Vo N, Klein ME, Varlamova O, Keller DM, Yamamoto T, Goodman RH, Impey S (2005) A cAMP-response element binding protein-induced microRNA regulates neuronal morphogenesis. Proc Natl Acad Sci USA 102:16426–16431

    PubMed  Article  CAS  Google Scholar 

  • Wang HF, Feng L, Niu DK (2007) Relationship between mRNA stability and intron presence. Biochem Biophys Res Commun 354:203–208

    PubMed  Article  CAS  Google Scholar 

  • Wensley CH, Stone DM, Baker H, Kauer JS, Margolis FL, Chikaraishi DM (1995) Olfactory marker protein mRNA is found in axons of olfactory receptor neurons. J Neurosci 15:4827–4837

    PubMed  CAS  Google Scholar 

  • Zieske E, Theisen B, Bruecker H (1992) Structure, development and evolutionary aspects of the peripheral olfactory system. In: Hara TJ (ed) Fish chemoreception, Chapman and Hall, London, pp 13–39

    Google Scholar 

Download references

Acknowledgments

We thank R. Wurzburger for oligonucleotide synthesis and DNA sequencing, A. Porta for genomic DNA preparation, Linda Biagini and A. Puche for assistance with histology and figure preparation respectively. Supported in part by NIH-DC03112 (FLM) and the Roche Institute of Molecular Biology (EB).

Author information

Affiliations

Authors

Corresponding author

Correspondence to Frank L. Margolis.

Rights and permissions

Reprints and Permissions

About this article

Cite this article

Bettini, E., Margolis, F.L. Expression of an intron-containing β-tubulin mRNA in catfish olfactory epithelium. J Mol Hist 38, 571–579 (2007). https://doi.org/10.1007/s10735-007-9139-9

Download citation

  • Received:

  • Accepted:

  • Published:

  • Issue Date:

  • DOI: https://doi.org/10.1007/s10735-007-9139-9

Keywords

  • PCR
  • β-Tubulin
  • Ictalurus punctatus
  • In situ hybridization
  • Olfactory