Skip to main content

Neuroprotective effects of dietary borax in the brain tissue of rainbow trout (Oncorhynchus mykiss) exposed to copper-induced toxicity

Abstract

We aimed to investigate the modulating effects of dietary borax on the pathways in rainbow trout brain exposed to copper. For this aim, a comprehensive assessment was performed including biochemical (acetylcholinesterase (AChE), malondialdehyde (MDA), oxidative DNA damage (8-hydroxy-2′-deoxyguanosine (8-OHdG), and caspase-3 levels) and transcriptional parameters (heat shock protein 70 (HSP70) and cytochromes P450 (CYP1A), glutathione peroxidase (gpx), superoxide dismutase (sod), and catalase (cat)) parameters and immunohistochemically staining of 8-OHdG. Special fish feed diets were prepared for the trial. These diets contained different concentrations of borax (1.25, 2.5, and 5 mg/kg) and/or copper (500 and 1000 mg/kg) at the period of pre- and co-treatment strategies for 21 days. At the end of the treatment periods, brain tissue was sampled for each experimental group. As a result, the biochemical parameters were increased and AChE activity decreased in the copper and copper-combined groups in comparison with the control group and also with only borax applications (p < 0.05). We observed an increase or decrease in particular biochemical parameters for the borax group in every application and we established that borax had protective effect against copper toxicity by decreasing and/or increasing the relevant biochemical parameters in brain tissue of fish. The biochemical results of borax and its combinations corresponded to the observations of gene expression data, which similarly concluded that HSP70 and CYP1A genes were strongly induced by copper (p < 0.05). In addition, the expression levels of the sod, cat, and gpx genes in the fish brains exposed to borax and the borax combination groups were significantly higher than the only copper-treated groups. In conclusion, borax supplementation provided significant protection against copper-induced neurotoxicity in trout.

This is a preview of subscription content, access via your institution.

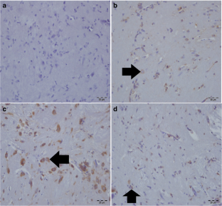
Fig. 1
Fig. 2
Fig. 3
Fig. 4
Fig. 5
Fig. 6

References

  • Alak G, Ucar A, Parlak V, Yeltekin AÇ, Tas IH, Ölmez D, Kocaman EM, Yılgın M, Atamanalp M, Yanık T (2017a) Assessment of 8-hydroxy-2-deoxyguanosine activity, gene expression and antioxidant enzyme activity on rainbow trout (Oncorhynchus mykiss) tissue exposed to biopesticide. Comp Biochem Physiol C Toxicol Pharmacol 203:51–58

    Article  PubMed  CAS  Google Scholar 

  • Alak G, Yeltekin AÇ, Tas IH, Ucar A, Parlak V, Topal A, Kocaman EM, Atamanalp M (2017b) Investigation of 8-OHdG, CYP1A, HSP70 and transcriptional analyses of antioxidant defence system in liver tissues of rainbow trout exposed to eprinomectin. Fish Shellfish Immunol 65:136–144

    Article  PubMed  CAS  Google Scholar 

  • Altun S, Özdemir S, Arslan H (2017) Histopathological effects, responses of oxidative stress, inflammation, apoptosis biomarkers and alteration of gene expressions related to apoptosis, oxidative stress, and reproductive system in chlorpyrifos-exposed common carp (Cyprinus carpio L.). Environ Pollut 230:432–443

    Article  PubMed  CAS  Google Scholar 

  • Benhamed S, Guardiola FA, Martínez S, Martínez-sánchez MJ, Pérez-sirvent C, Mars M, Esteban MA (2016) Exposure of the gilthead seabream (Sparus aurata) to sediments contaminated with heavy metals down-regulates the gene expression of stress biomarkers. Toxicol Rep 3:364–372

    Article  PubMed  PubMed Central  CAS  Google Scholar 

  • Boscolo Papo M, Bertotto D, Quaglio F, Vascellari M, Pascoli F, Negrato E, Binato G, Radaelli G (2014) Histopathology and stress biomarkers in the clam Venerupis philippinarum from the Venice Lagoon (Italy). Fish Shellfish Immunol 39(1):42–50

    Article  PubMed  CAS  Google Scholar 

  • Botté ES, Jerry DR, Codi King S, Smith-Keune C, Negri AP (2012) Effects of chlorpyrifos on cholinesterase activity and stress markers in the tropical reef fish Acanthochromispoly acanthus. Mar Pollut Bull 65:384–393

    Article  PubMed  CAS  Google Scholar 

  • Bradford MM (1976) A rapid and sensitive method for the quantitation of microgram quantities of protein utilizing the principle of protein dye binding. Anal Biochem 72:248–254

    Article  PubMed  CAS  Google Scholar 

  • Capkin E, Ozcelep T, Kayis S, Altinok I (2017) Antimicrobial agents, triclosan, chloroxylenol, methylisothiazolinone and borax, used in cleaning had genotoxic and histopathologic effects on rainbow trout. Chemosphere 182:720–729

    Article  PubMed  CAS  Google Scholar 

  • Cárcamo JG, Aguilar MN, Carreño CF, Vera T, Arias-Darraz L, Figueroa JE, Romerob AP, Alvarez M, Yañez AJ (2017) Consecutive emamectin benzoate and deltamethrin treatments affect the expressions and activities of detoxification enzymes in the rainbowtrout (Oncorhynchus mykiss). Comp Biochem Physiol Part C 191:129–137

    Google Scholar 

  • Coban FK, Ince S, Kucukkurt I, Demirel HH, Hazman O (2015) Boron attenuates malathion-induced oxidative stress and acetylcholinesterase inhibition in rats. Drug Chem Toxicol 38(4):391–399

    Article  PubMed  CAS  Google Scholar 

  • Ellman GL, Courtney KD, Andres V Jr, Feather-Stone RM (1961) A new and rapid colorimetric determination of acetylcholinesterase activity. Biochem Pharmacol 7:88–95

    Article  PubMed  CAS  Google Scholar 

  • European Food Safety Authority (EFSA) (2004) Opinion of the scientific panel on dietetic products, nutrition and allergies on a request from the commission related to the tolerable upper intake level of boron (sodium borate and boric acid). EFSA J 80:1–22

    Article  Google Scholar 

  • Farombi EO, Adelowo OA, Ajimoko YR (2007) Biomarkers of oxidative stress and heavy metal levels as indicators of environmental pollution in African cat fish (Clarias gariepinus) from Nigeria Ogun River. Int J Environ Res Public Health 4(2):158–165

    Article  PubMed  PubMed Central  CAS  Google Scholar 

  • Fernando IPS, Sanjeewa KKA, Kim HS, Wang L, Lee WW, Jeon YJ (2017) Apoptotic and antiproliferative properties of 3β-hydroxy-Δ5- steroidal congeners from a partially purified column fraction of Dendronephthya gigantea against HL-60 and MCF-7 cancer cells. J Appl Toxicol:1–10

  • Fischer TW, Kleszczyn’ski K, Hardkop LH, Kruse N, Zillikens D (2012) Melatonin enhances antioxidative enzyme gene expression (CAT, GPx, SOD), prevents their UVR-induced depletion, and protects against the formation of DNA damage (8-hydroxy-2′-deoxyguanosine) in ex vivo human skin. J Pineal Res 54:303–312

    Article  PubMed  CAS  Google Scholar 

  • Gulsoy N, Yavas C, Mutlu O (2015) Genotoxic effects of boric acid and borax in zebrafish, Danio rerio using alkaline comet assay. EXCLI J 14:890–899

    PubMed  PubMed Central  Google Scholar 

  • Guo H, Lu Z, Zhu X, Zhu C, Wang C, Shena Y, Wang W (2018) Differential expression of microRNAs in hemocytes from white shrimp Litopenaeus vannamei under copper stress. Fish Shellfish Immunol 74:152–161

    Article  PubMed  CAS  Google Scholar 

  • Ince S, Kucukkurt I, Cigerci IH, Fidan AF, Eryavuz A (2010) The effects of dietary boric acid and borax supplementation on lipid peroxidation, antioxidant activity, and DNA damagein rats. J Trace Elem Med Biol 24:161–164

    Article  PubMed  CAS  Google Scholar 

  • Jeon HJ, Lee Y, Mo H, Kim M, Al-Wabel MI, Kim Y, Cho K, Kim T, Ok YS, Lee S (2015) Chlorpyrifos-induced biomarkers in Japanese medaka (Oryzias latipes). Environ Sci Pollut Res 23(2):1071–1080

    Article  CAS  Google Scholar 

  • Jing J, Liu H, Chen H, Hu S, Xiao K, Ma X (2013) Acute effect of copper and cadmium exposure on the expression of heat shock protein 70 in the Cyprinidae fish Tanichthys albonubes. Chemosphere 91:1113–1122

    Article  PubMed  CAS  Google Scholar 

  • Kim BM, Choi BS, Lee KW, Ki JS, Kim IC, Choi IY, Rhee JS, Lee JS (2013) Expression profile analysis of antioxidative stress and developmental pathway genes in the manganese-exposed intertidal copepod Tigriopus japonicus with 6K oligochip. Chemosphere 92:1214–1223

    Article  PubMed  CAS  Google Scholar 

  • Klimaczewski CV, Ecker A, Piccoli B, Aschner M, Barbosa NV, Rocha JBT (2018) Peumus boldus attenuates copper-induced toxicity in Drosophila melanogaster. Biomed Pharmacother 97:1–8

    Article  PubMed  CAS  Google Scholar 

  • Ko JS, Gwak MS, Kim GS, Shin YH, Ryu S, Kim JS, Kim SJ, Kim ST (2013) The protective effect of ischemic preconditioning against hepatic ischemic-reperfusion injury under isoflurane anesthesia in rats. Transplant Proc 45:1704–1707

    Article  PubMed  CAS  Google Scholar 

  • Küpeli T, Altundağ H, Imamoğlu M (2014) Assessment of trace element levels in muscle tissues of fish species collected from a river, stream, lake, and sea in Sakarya, Turkey. Sci World J 24:496107

    Google Scholar 

  • Lanno RP, Slinger SJ, Hilton JW (1985) Maximum tolerable and toxicity levels of dietary copper in rainbow trout (Salmo gairdneri Richardson). Aquaculture 49:257–268

    Article  CAS  Google Scholar 

  • Levine SL, Oris JT (1999) CYP1A expression in liver and gill of rainbow trout following waterborne exposure: implications for biomarker determination. Aquat Toxicol 46(3–4):279–287

    Article  CAS  Google Scholar 

  • Loewengart G (2001) Toxicity of boron to rainbow trout: a weight-of-the-evidence assessment. Environ Toxicol Chem 20:796–803

    Article  PubMed  CAS  Google Scholar 

  • Luo Y, Su Y, Lin RZ, Shi HH, Wang XR (2006) 2-chlorophenol induced ROS generation in fish Carassius auratus based on the EPR method. Chemosphere 65(6):1064–1073

    Article  PubMed  CAS  Google Scholar 

  • Martin JD, Colson TLL, Langlois VS, Metcalfe CD (2016) Biomarkers of exposure to nanosilver and silver accumulation in yellow perch (Perca flavescens). Environ Toxicol Chem 36(5):1211–1220

    Article  PubMed  CAS  Google Scholar 

  • Ng CT, Yong LQ, Hande MP, Ong CN, Yu LE, Bay BH, Baeg GH (2017) Zinc oxide nanoparticles exhibit cytotoxicity and genotoxicity through oxidative stress responses in human lung fibroblasts and Drosophila melanogaster. Int J Nanomedicine 28(12):1621–1637

    Article  Google Scholar 

  • Parlak V (2018) Evaluation of apoptosis, oxidative stress responses, AChE activity and body malformations in zebrafish (Danio rerio) embryos exposed to deltamethrin. Chemosphere 207:397–403

    Article  PubMed  CAS  Google Scholar 

  • Pawa S, Shakir A (2006) Boron ameliorates fulminant hepatic failure by counteracting the changes associated with the oxidative stress. Chem Biol Interact 160:89–98

    Article  PubMed  CAS  Google Scholar 

  • Pinedo-Gil J, Martín-Diana AB, Bertotto D, Sanz-Calvo MÁ, Jover-Cerdá M, Tomás-Vidal A (2018) Effects of dietary inclusions of red beet and betaine on the acute stress response and muscle lipid peroxidation in rainbow trout. Fish Physiol Biochem 44(3):939–948

    Article  PubMed  CAS  Google Scholar 

  • Rios-Sicairos J, Betancourt-Lozano M, Leal-Tarin B, Hernandez-Cornejo R, Aguilar-Zarate G, García-De-La-Parra LM, Gutiérrez JN, Márquez-Rocha F, García-Gasca A (2010) Heat-shock protein (Hsp70) and cytochrome P-450 (CYP1A) in the white mullet Mugil curema (Pisces:Mugilidae) as biomarkers to assess environmental quality in coastal lagoons. J Environ Sci Health A 45(1):68–74

    Article  CAS  Google Scholar 

  • Sandahl JF, Jenkins JJ (2002) Pacific steelhead (Oncorhynchus mykiss) exposed to chlorpyrifos: benchmark concentration estimates for acetylcholinesterase inhibition. Environ Toxicol Chem 21:2452–2458

    Article  PubMed  CAS  Google Scholar 

  • Tang Y, Han L, Chen X, Xie M, Kong W, Wu Z (2018) Dietary supplementation of probiotic bacillus subtilis affects antioxidant defenses and immune response in grass carp under Aeromonas hydrophila challenge. Probiotics Antimicrob Proteins. https://doi.org/10.1007/s12602-018-9409-8

  • Teixido E, Piqué E, Gómez-Catalán J, Llobet JM (2013) Assessment of developmental delay in the zebrafish embryo teratogenicity assay. Toxicol in Vitro 27:469–478

    Article  PubMed  CAS  Google Scholar 

  • Topal A, Atamanalp M, Oruc E, Kırıcı M, Kocaman EM (2014) Apoptotic effects and glucose-6-phosphate dehydrogenase responsesin liver and gill tissues of rainbow trout treated with chlorpyrifos. Tissue Cell 46:490–496

    Article  PubMed  CAS  Google Scholar 

  • Topal A, Oruc E, Altun S, Ceyhun SB, Atamanalp M (2016) The effects of acute boric acid treatment on gill, kidney and muscle tissues in juvenile rainbow trout. J Appl Anim Res 44:297–302

    Article  CAS  Google Scholar 

  • Topal A, Alak G, Altun S, Erol HS, Atamanalp M (2017a) Evaluation of 8-hydroxy-2-deoxyguanosine and NFkB activation, oxidative stress response, acetylcholinesterase activity, and histopathological changes in rainbow trout brain exposed to linuron. Environ Toxicol Pharmacol 49:14–20

    Article  PubMed  CAS  Google Scholar 

  • Topal A, Alak G, Ozkaraca M, Yeltekin AC, Comaklı S, Acıl G, Kokturk M, Atamanalp M (2017b) Neurotoxic responses in brain tissues of rainbow trout exposed to imidacloprid pesticide: assessment of 8-hydroxy-2-deoxyguanosine activity, oxidative stress and acetylcholinesterase activity. Chemosphere 175:186–191

    Article  PubMed  CAS  Google Scholar 

  • Turkez H, Geyikoğlu F, Dirican E, Tatar A (2012) In vitro studies on chemoprotective effect of borax against aflatoxin B1-induced genetic damage in human lymphocytes. Cytotechnology 64(6):607–612

    Article  PubMed  PubMed Central  CAS  Google Scholar 

  • Uram Ł, Nizioła J, Maj P, Sobich J, Rode W, Ruman T (2017) N(4)-[B-(4,4,5,5-tetramethyl-1,3,2-dioxaborolan)methyl]-2′-deoxycytidine as a potential boron delivery agent with respect to glioblastoma. Biomed Pharmacother 95:749–755

    Article  PubMed  CAS  Google Scholar 

  • Urani C, Melchioretto P, Morazzoni F, Canevali C, Camatini M (2001) Copper and zinc uptake and Hsp70 expression in HepG2 cells. Toxicol in Vitro 15:497–502

    Article  PubMed  CAS  Google Scholar 

  • Valdehita A, Fernandez-Cruz ML, Torrent F, Sericano JL, Navas JM (2012) Differences in the induction of CYP1A and related genes in cultured rainbow trout Oncorhynchus mykiss. Additional considerations for the use of EROD activity as a biomarker. J Fish Biol 81:270–287

    Article  PubMed  CAS  Google Scholar 

  • Wang J, Wang Z, Wang H, Zhao J, Zhang Z (2011) Curcumin induces apoptosis in EJ bladder cancer cells via modulating C-Myc and PI3K/Akt signaling pathway. World J Oncol 2(3):113–122

    PubMed  PubMed Central  Google Scholar 

  • Weydert CJ, Cullen JJ (2010) Measurement of superoxide dismutase, catalase, and glutathione peroxidase in cultured cells and tissue. Nat Protoc 5(1):51–66

    Article  PubMed  CAS  Google Scholar 

  • Yousri R, Noaman E, El Shawi O, Fahmy N, Ghazy M (2011) Evaluation of anti-oxidant status and radioprotective activity of a novel anti-Cancer drug in mice. J Cancer Ther 2:616–628

    Article  CAS  Google Scholar 

  • Yu LL, Yu HH, Liang XF, Li N, Wang X, Lie FH, Wu XF, Zheng YH, Xue M, Liang XF (2018) Dietary butylated hydroxytoluene improves lipid metabolism, antioxidant and anti-apoptotic response of largemouth bass (Micropterus salmoides). Fish Shellfish Immunol 72:220–229

    Article  PubMed  CAS  Google Scholar 

  • Zeljezic D, Mladinic M, Zunec S, Lucic Vrdoljak A, Kasuba V, Tariba B, Zivkovic T, Marjanovic AM, Pavicic I, Milic M, Rozgaj R, Kopjar N (2016) Cytotoxic, genotoxic and biochemical markers of insecticide toxicity evaluated in human peripheral blood lymphocytes and an HepG2 cell line. Food Chem Toxicol 96:90e106

    Article  CAS  Google Scholar 

Download references

Author information

Affiliations

Authors

Corresponding author

Correspondence to Gonca Alak.

Rights and permissions

Reprints and Permissions

About this article

Verify currency and authenticity via CrossMark

Cite this article

Alak, G., Ucar, A., Yeltekin, A.Ç. et al. Neuroprotective effects of dietary borax in the brain tissue of rainbow trout (Oncorhynchus mykiss) exposed to copper-induced toxicity. Fish Physiol Biochem 44, 1409–1420 (2018). https://doi.org/10.1007/s10695-018-0530-0

Download citation

  • Received:

  • Accepted:

  • Published:

  • Issue Date:

  • DOI: https://doi.org/10.1007/s10695-018-0530-0

Keywords

  • Brain
  • Borax
  • Fish
  • Toxicity mechanism
  • Copper toxicity
  • Molecular genetic response
  • Neurotoxicity