Skip to main content

Lysine supplement benefits the growth performance, protein synthesis, and muscle development of Megalobrama amblycephala fed diets with fish meal replaced by rice protein concentrate

Abstract

This study aimed to investigate the effects of lysine supplement on the growth performance of blunt snout bream Megalobrama amblycephala fed diets with fish meal (FM) replaced by rice protein concentrate (RPC) with the potential mechanisms characterized. Fish were fed three diets, including the FM diet (containing FM), the RPC diet (FM replaced by RPC), and the MRPC diet (the RPC diet supplemented with lysine) for 8 weeks. Weight gain, protein efficiency ratio, and nitrogen and energy utilization of fish fed the FM diet were all significantly higher than those of the RPC treatment, but they showed no statistical difference with those of the MRPC group. Fish fed the RPC diet showed shorter villi length of the distal intestine than that of the other treatments. No significance was found in whole-body composition and intestinal and hepatic cell proliferation among all the treatments. However, fish fed the RPC diet obtained relatively low transcriptions of growth hormone (GH), GH receptor, insulin-like growth factor-I (IGF-I), target of rapamycin (TOR), ribosomal protein S6 kinase 1, myoblast determination protein, myogenic factor 5, and myostatin a (MSTNa) but high levels of eukaryotic translation initiation factor 4E-binding protein 2 (4E-BP2) than those of the other groups. Furthermore, little difference was found in the transcriptions of 4E-BP2, myogenin, muscle-specific regulatory 4, and MSTNb in muscle. Overall, these results showed that dietary supplement of lysine benefits the growth performance of blunt snout bream fed FM-free diets through the mediation of the GH-IGF-I axis, TOR signaling pathway, myogenic regulatory factors, and MSTN.

This is a preview of subscription content, access via your institution.

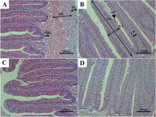
Fig. 1
Fig. 2
Fig. 3
Fig. 4
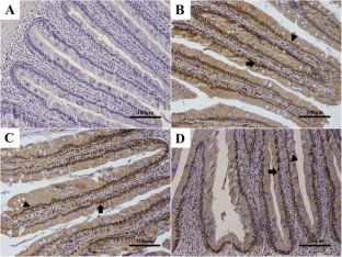
Fig. 5
Fig. 6

References

  • AOAC (1995) Agricultural chemicals, contaminants, drugs. In: Official methods of analysis of AOAC International. AOAC International, Arlington, p 1298

    Google Scholar 

  • Baeverfjord G, Krogdahl A (1996) Development and regression of soybean meal induced enteritis in Atlantic salmon, Salmo salar L, distal intestine: a comparison with the intestines of fasted fish. J Fish Dis 19:375–387

    Article  Google Scholar 

  • Bao HJ, Liu Y, Qin JH, Xu CS, Hei NN, Jaber JR, Chen QS (2011) An immunohistochemical study of S-100 protein in the intestinal tract of Chinese soft-shelled turtle, Pelodiscus sinensis. Res Vet Sci 91:16–24

    Article  CAS  Google Scholar 

  • Björnsson BT, Johansson V, Benedet S, Einarsdottir IE, Hildahl J, Agustsson T, Jönsson E (2002) Growth hormone endocrinology of salmonids: regulatory mechanisms and mode of action. Fish Physiol Biochem 27:227–242

    Article  Google Scholar 

  • Butler AA, Roith DL (2001) Control of growth by the somatropic axis: growth hormone and the insulin-like growth factors have related and independent roles. Annu Rev Physiol 63:141–164

    Article  PubMed  CAS  Google Scholar 

  • Cai WC, Jiang GZ, Li XF, Sun CX, Mi HF, Liu SQ, Liu WB (2018) Effects of complete fish meal replacement by rice protein concentrate with or without lysine supplement on growth performance, muscle development and flesh quality of blunt snout bream (Megalobrama amblycephala). Aquac Nutr 24:481–491

    Article  CAS  Google Scholar 

  • Chikwati EM, Gu J, Penn MH, Bakke AM, Krogdahl Å (2013) Intestinal epithelial cell proliferation and migration in Atlantic salmon, Salmo salar L.: effects of temperature and inflammation. Cell Tissue Res 353:123–137

    Article  PubMed  CAS  Google Scholar 

  • Dabrowska H, Ostaszewska T, Kamaszewski M, Antoniak A, Napora-Rutkowski L, Kopko O, Lang T, Fricke NF, Lehtonen KK (2012) Histopathological, histomorphometrical, and immunohistochemical biomarkers in flounder (Platichthys flesus) from the southern Baltic Sea. Ecotoxicol Environ Saf 78:14–21

    Article  PubMed  CAS  Google Scholar 

  • Deng W, Zhao YH, Wang WM, Gui Y, Cao JM, Huang YH, Sheng GC, Ding ZJ, Du R (2014) Anti-stress properties and two HSP70s mRNA expressions of blunt snout bream (Megalobrama amblycephala) fed with all-plant-based diet. Fish Physiol Biochem 40:817–825

    Article  PubMed  CAS  Google Scholar 

  • Ferraris RP, Carey HV (2000) Intestinal transport during fasting and malnutrition. Annu Rev Nutr 20:195–219

    Article  PubMed  CAS  Google Scholar 

  • Figueiredo MDA, Lanes CFC, Almeida DV, Proietti MC, Marins LF (2007) The effect of GH overexpression on GHR and IGF-I gene regulation in different genotypes of GH-transgenic zebrafish. Comp Biochem Phys D 2:228–233

    Google Scholar 

  • Fuentes EN, Valdés JA, Molina A, Björnsson BT (2013) Regulation of skeletal muscle growth in fish by the growth hormone-insulin-like growth factor system. Gen Comp Endocrinol 192:136–148

    Article  PubMed  CAS  Google Scholar 

  • Gao ZX, Luo W, Liu H, Zeng C, Liu XL, Yi SK, Wang WM (2012) Transcriptome analysis and SSR/SNP markers information of the blunt snout bream (Megalobrama amblycephala). PLoS One 7:e42637

    Article  PubMed  PubMed Central  CAS  Google Scholar 

  • Garikipati DK, Rodgers BD (2012) Myostatin inhibits myosatellite cell proliferation and consequently activates differentiation: evidence for endocrine-regulated transcript processing. J Endocrinol 215:177–187

    Article  PubMed  CAS  Google Scholar 

  • Gatlin DM, Barrows FT, Brown P, Dabrowski K, Gaylord TG, Hardy RW, Herman E, Hu G, Krogdahl Å, Nelson R, Overturf K, Rust M, Sealey W, Skonberg D, Souza EJ, Stone D, Wilson R, Wurtele E (2007) Expanding the utilization of sustainable plant products in aquafeeds: a review. Aquac Res 38:551–579

    Article  CAS  Google Scholar 

  • Güroy D, Şahin İ, Güroy B, Merrifield DL, Bulut M, Tekinay AA (2013) Replacement of fishmeal with rice protein concentrate in practical diets for European sea bass Dicentrarchus labrax reared at winter temperatures. Aquac Res 44:462–471

    Article  CAS  Google Scholar 

  • Habte-Tsion H, Ge XP, Liu B, Xie J, Ren MC, Zhou QL, Miao LH, Pan LK, Chen R (2015) A deficiency or an excess of dietary threonine level affects weight gain, enzyme activity, immune response and immune-related gene expression in juvenile blunt snout bream (Megalobrama amblycephala). Fish Shellfish Immunol 42:439–446

    Article  PubMed  CAS  Google Scholar 

  • Hardy RW (2010) Utilization of plant proteins in fish diets: effects of global demand and supplies of fish meal. Aquac Res 41:770–776

    Article  CAS  Google Scholar 

  • Jiang J, Zheng T, Zhou XQ, Liu Y, Feng L (2009) Influence of glutamine and vitamin E on growth and antioxidant capacity of fish enterocytes. Aquac Nutr 15:409–414

    Article  CAS  Google Scholar 

  • Jiang J, Shi D, Zhou XQ, Feng L, Liu Y, Jiang WD, Wu P, Tang L, Wang Y, Zhao Y (2015) Effects of lysine and methionine supplementation on growth, body composition and digestive function of grass carp (Ctenopharyngodon idella) fed plant protein diets using high-level canola meal. Aquac Nutr 132:927–927

    Google Scholar 

  • Kumar V, Khalil WKB, Weiler U, Becker K (2013) Influences of incorporating detoxified Jatropha curcas kernel meal in common carp (Cyprinus carpio L.) diet on the expression of growth hormone- and insulin-like growth factor-1-encoding genes. J Anim Physiol Anim Nutr 97:97–108

    Article  CAS  Google Scholar 

  • Li XF, Jiang YY, Liu WB (2012) Protein-sparing effect of dietary lipid in practical diets for blunt snout bream (Megalobrama amblycephala) fingerlings: effects on digestive and metabolic responses. Fish Physiol Biochem 38:529–541

    Article  PubMed  CAS  Google Scholar 

  • Li XF, Wang F, Qian Y, Jiang GZ, Zhang DD, Liu WB (2016) Dietary vitamin B12 requirement of fingerling blunt snout bream Megalobrama amblycephala determined by growth performance, digestive and absorptive capability and status of the GH-IGF-I axis. Aquaculture 464:647–653

    Article  CAS  Google Scholar 

  • Liang HL, Ren MC, Habte-Tsion HM, Ge XP, Xie J, Mi HF, Xi BW, Miao LH, Liu B, Zhou QL, Fang W (2016) Dietary arginine affects growth performance, plasma amino acid contents and gene expressions of the TOR signaling pathway in juvenile blunt snout bream, Megalobrama amblycephala. Aquaculture 461:1–8

    Article  CAS  Google Scholar 

  • Liu YJ, Tian LX, Liu DH, Liang GY, Zhao XK, Zhu X, Yang HJ, Guan GQ (2002) Influence of practical diet supplementation with free or coated lysine on the growth, plasma free amino acids and protein synthesis rates in the muscle of Ctenopharyngodon idellus. J Fish China 26:252–258

    CAS  Google Scholar 

  • Livak KJ, Schmittgen TD (2001) Analysis of relative gene expression data using real-time quantitative PCR and the 2-△△CT method. Methods 25:402–408

    Article  PubMed  CAS  Google Scholar 

  • Martínez-Llorens S, Baeza-Ariño R, Nogales-Mérida S, Jover-Cerdá M, Tomás-Vidal A (2012) Carob seed germ meal as a partial substitute in gilthead sea bream (Sparus aurata) diets: amino acid retention, digestibility, gut and liver histology. Aquaculture 338-341:124–133

    Article  CAS  Google Scholar 

  • Ministry of Agriculture of the People’s Republic of China (2015) China fishery statistical yearbook. Chinese Agricultural Press, Beijing, p 31

    Google Scholar 

  • Moorman BP, Yamaguchi Y, Lerner DT, Grau EG, Seale AP (2016) Rearing Mozambique tilapia in tidally-changing salinities: effects on growth and the growth hormone/insulin-like growth factor I axis. Comp Biochem Physiol A Mol Integr Physiol 198:8–14

    Article  PubMed  CAS  Google Scholar 

  • Olsen RL, Hasan MR (2012) A limited supply of fishmeal: impact on future increases in global aquaculture production. Trends Food Sci Technol 27:120–128

    Article  CAS  Google Scholar 

  • Ostaszewska T, Dabrowski K, Kamaszewski M, Grochowski P, Verri T, Rzepkowska M, Wolnicki J (2010) The effect of plant protein-based diet supplemented with dipeptide or free amino acids on digestive tract morphology and PepT1 and PepT2 expressions in common carp (Cyprinus carpio L.). Comp Biochem Physiol A Mol Integr Physiol 157:158–169

    Article  PubMed  CAS  Google Scholar 

  • Oujifard A, Seyfabadi J, Kenari AA, Rezaei M (2012) Fish meal replacement with rice protein concentrate in a practical diet for the Pacific white shrimp, Litopenaeus vannamei Boone (1931). Aquac Int 20:117–129

    Article  CAS  Google Scholar 

  • Overturf K, Barrows FT, Hardy RW, Brezas A, Dumas A (2016) Energy composition of diet affects muscle fiber recruitment, body composition, and growth trajectory in rainbow trout (Oncorhynchus mykiss). Aquaculture 457:1–14

    Article  CAS  Google Scholar 

  • Palmegiano GB, Daprà F, Forneris G, Gai F, Gasco L, Guo K, Peiretti PG, Sicuro B, Zoccarato I (2006) Rice protein concentrate meal as a potential ingredient in practical diets for rainbow trout (Oncorhynchus mykiss). Aquaculture 258:357–367

    Article  CAS  Google Scholar 

  • Palmegiano GB, Costanzo MT, Daprà F, Gai F, Galletta MG, Maricchiolo G, Micale V, Peiretti PG, Genovese L (2007) Rice protein concentrate meal as potential dietary ingredient in practical diets for blackspot seabream (Pagellus bogaraveo). J Anim Physiol Anim Nutr 91:235–239

    Article  CAS  Google Scholar 

  • Penn MH, Bendiksen EÅ, Campbell P, Krogdahl Å (2011) High level of dietary pea protein concentrate induces enteropathy in Atlantic salmon (Salmo salar L.). Aquaculture 310:267–273

    Article  CAS  Google Scholar 

  • Pohlenz C, Buentello A, Bakke AM, Gatin DM III (2012) Free dietary glutamine improves intestinal morphology and increases enterocyte migration rates, but has limited effects on plasma amino acid profile and growth performance of channel catfish Ictalurus punctatus. Aquaculture 370-371:32–39

    Article  CAS  Google Scholar 

  • Rolland M, Dalsgaard J, Holm J, Gómez-Requeni P, Skov PV (2015) Dietary methionine level affects growth performance and hepatic gene expression of GH-IGF system and protein turnover regulators in rainbow trout (Oncorhynchus mykiss) fed plant protein-based diets. Comp Biochem Physiol B 181:33–41

    Article  PubMed  CAS  Google Scholar 

  • Sanden M, Berntssen MHG, Krogdahl Å, Hemre GI, Bakke-Mckellep AM (2005) An examination of the intestinal tract of Atlantic salmon, Salmo salar L., parr fed different varieties of soy and maize. J Fish Dis 28:317–330

    Article  PubMed  CAS  Google Scholar 

  • Sirri R, Bianco C, Vico GD, Carella F, Bonaldo A, Sarli G, Tondini G, Mandrioli L (2014) Proliferation, apoptosis, and fractal dimension analysis for the quantification of intestinal trophism in sole (Solea solea) fed mussel meal diets. BMC Vet Res 10:1–7

    Article  Google Scholar 

  • Tacon AGJ, Metian M (2008) Global overview on the use of fish meal and fish oil in industrially compounded aquafeeds: trends and future prospects. Aquaculture 285:146–158

    Article  CAS  Google Scholar 

  • Tu YQ, Xie SQ, Han D, Yang YX, Jin JY, Liu HK, Zhu XM (2015) Growth performance, digestive enzyme, transaminase and GH-IGF-I axis gene responsiveness to different dietary protein levels in broodstock allogenogynetic gibel carp (Carassius auratus gibelio) CAS III. Aquaculture 446:290–297

    Article  CAS  Google Scholar 

  • Valente LMP, Cornet J, Donnay-Moreno C, Gouygou JP, Bergé JP, Bacelar M, Escórcio C, Rocha E, Malhão F, Cardinal M (2011) Quality differences of gilthead sea bream from distinct production systems in southern Europe: intensive, integrated, semi-intensive or extensive systems. Food Control 22:708–717

    Article  CAS  Google Scholar 

  • Valente LMP, Moutou KA, Conceição LEC, Engrola S, Fernandes JMO, Johnston IA (2013) What determines growth potential and juvenile quality of farmed fish species? Rev Aquac 5:168–193

    Article  Google Scholar 

  • Wang XF, Li XQ, Leng XJ, Shan LL, Zhao JX, Wang YT (2014) Effects of dietary cottonseed meal level on the growth, hematological indices, liver and gonad histology of juvenile common carp (Cyprinus carpio). Aquaculture 428-429:79–87

    Article  CAS  Google Scholar 

  • Wang Q, He G, Mai K, Xu W, Zhou H (2016) Fish meal replacement by mixed plant proteins and maggot meal on growth performance, target of rapamycin signaling and metabolism in juvenile turbot (Scophthalmus maximus L.). Aquac Nutr 22:752–758

    Article  CAS  Google Scholar 

  • Wu Y, Liu WB, Li HY, Xu WN, He JX, Li XF, Jiang GZ (2013) Effects of dietary supplementation of fructooligosaccharide on growth performance, body composition, intestinal enzymes activities and histology of blunt snout bream (Megalobrama amblycephala) fingerlings. Aquac Nutr 19:886–894

    Article  CAS  Google Scholar 

  • Wullschleger S, Loewith R, Hall MN (2006) TOR signaling in growth and metabolism. Cell 124:471–484

    Article  PubMed  CAS  Google Scholar 

  • Xu C, Li XF, Tian HY, Jiang GZ, Liu WB (2016) Feeding rates affect growth, intestinal digestive and absorptive capabilities and endocrine functions of juvenile blunt snout bream Megalobrama amblycephala. Fish Physiol Biochem 42:689–700

    Article  PubMed  CAS  Google Scholar 

  • Yamamoto T, Ikeda K, Unuma T, Akiyama T (1997) Apparent availabilities of amino acids and minerals from several protein sources for fingerling rainbow trout. Fish Sci 63:995–1001

    Article  CAS  Google Scholar 

  • Yu DH, Gong SY, Lin YC, Yuan YC (2014) Partial replacement of fish meal by several plant proteins with or without iron and lysine supplement in diets for juvenile Chinese sucker, Myxocyprinus asiaticus. Aquac Nutr 20:205–212

    Article  CAS  Google Scholar 

  • Zhang J, Wei XL, Chen LP, Chen N, Li YH, Wang WM, Wang HL (2013) Sequence analysis and expression differentiation of chemokine receptor CXCR4b among three populations of Megalobrama amblycephala. Dev Comp Immunol 40:195–201

    Article  PubMed  CAS  Google Scholar 

  • Zhao J, Liu Y, Jiang J, Wu P, Chen GF, Jiang WD, Li SH, Tang L, Kuang SY, Feng L, Zhou XQ (2012) Effects of dietary isoleucine on growth, the digestion and absorption capacity and gene expression in hepatopancreas and intestine of juvenile Jian carp (Cyprinus carpio var. Jian). Aquaculture 368-369:117–128

    Article  CAS  Google Scholar 

  • Zhou XQ, Zhao CR, Lin Y (2007) Compare the effect of diet supplementation with uncoated or coated lysine on juvenile Jian carp (Cyprinus carpio var. Jian). Aquac Nutr 13:457–461

    Article  CAS  Google Scholar 

  • Zhu KC, Wang HL, Wang HJ, Gul Y, Yang M, Zeng C, Wang WM (2014) Characterization of muscle morphology and satellite cells, and expression of muscle-related genes in skeletal muscle of juvenile and adult Megalobrama amblycephala. Micron 64:66–75

    Article  PubMed  CAS  Google Scholar 

Download references

Acknowledgements

This research was funded by supported by the Earmarked Fund for China Agriculture Research System (CARS-45-14).

Author information

Affiliations

Authors

Corresponding author

Correspondence to Xiang-Fei Li.

Rights and permissions

Reprints and Permissions

About this article

Verify currency and authenticity via CrossMark

Cite this article

Cai, WC., Liu, WB., Jiang, GZ. et al. Lysine supplement benefits the growth performance, protein synthesis, and muscle development of Megalobrama amblycephala fed diets with fish meal replaced by rice protein concentrate. Fish Physiol Biochem 44, 1159–1174 (2018). https://doi.org/10.1007/s10695-018-0503-3

Download citation

  • Received:

  • Accepted:

  • Published:

  • Issue Date:

  • DOI: https://doi.org/10.1007/s10695-018-0503-3

Keywords

  • Fish meal
  • Rice protein concentrate
  • Growth performance
  • Tissue histology
  • Transcriptional regulation