Abstract
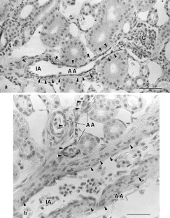
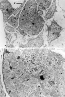
Renin immunoreactivity was localized at the light and electron microscopic level in two elasmobranch fish species, the Atlantic stingray, Dasyatis sabina, and river ray, Potamotrygon humerosa. At the light microscopic level, the peroxidase–anti-peroxidase method showed a positive immunoreactivity in modified smooth muscle cells in kidney afferent arterioles as well as in arterioles of several organs: rectal gland, inter-renal gland, conus arteriosus, and gill. Electron microscopic renin-positive immunogold localization was confined to the contents of membrane bound granules in the modified smooth muscle cells of these arterioles. The presence of renin-containing granules in the modified smooth muscle, “granular cells,” of the renal glomerular afferent arteriole of these two stingray species adds support to earlier studies which showed the structural components of a complete juxtaglomerular apparatus and some of the biochemical and molecular components of a renin–angiotensin system (RAS) as found in teleost fish, reptiles, birds, and mammals. A notable result, however, was the renin-positive immunoreaction in the arteriolar wall of all other organs studied here. The presence of this “diffuse renin system” in the connective tissue of various organs suggests that in these two stingray species in addition to local organ-specific functions, the RAS may act as a systemic mechanism to regulate blood pressure and blood flow in the body.



Similar content being viewed by others
Explore related subjects
Discover the latest articles and news from researchers in related subjects, suggested using machine learning.References
Cerra MC, Tierney ML, Takei Y, Hazon N, Tota B (2001) Angiotensin II binding sites in the heart of Scyliorhinus canicula: an autoradiographic study. Gen Comp Endocrinol 121(2):126–134
Christensen JA, Mikeler E, Bohle A (1989) Granular epithelioid cells of the kidneys in salmon adapted to fresh and seawater. Anat Rec 223:21–26
Daniel JF (1934) The elasmobranch fishes. University of California Press, Berkeley
Deschepper CF, Ganong WF (1988) Renin and angiotensin in endocrine glands. In: Martini L, Ganong WF (eds) Frontiers in neuroendocrinology. Raven Press, NY, pp 79–98
DeVlaming VL, Sage M (1973) Osmoregulation in the euryhaline elasmobranch, Dasyatissabina. Comp Biochem Physiol 45A:31–44
Egerer G, Taugner R, Tiedman K (1984) Renin immunohistochemistry in the mesonephros and metanephros of the pig embryo. Histochemistry 81:385–390
Elger M, Sakai T, Kriz W (1998) The vascular pole of the renal glomerulus of rat. Adv Anat Embryol Cell Biol 139:1–98
Evans AN, Henning T, Gelsleichter J, Nunez BS (2010) Molecular classification of an elasmobranch angiotensin receptor: quantification of angiotensin receptor and natriuretic peptide receptor mRNAs in saltwater and freshwater populations of the Atlantic stingray. Comp Biochem Physiol B 157:422–431
Fournier D, Luft FC, Bader M, Ganten D, Andrade-Navarro MA (2012) Emergence and evolution of the renin-angiotensin-aldosterone system. J Mol Med 90:495–508
Frohlich ED, Re RN (2009) The local cardiac renin-angiotensin-aldosterone system. Springer, New York
Gardiner DS, Lindop GBM (1985) The granular peripolar cells of the human glomerulus: A new component of the juxtaglomerular apparatus? Histopathology 9:675–685
Gelsleichter J, Evans AN (2012) Hormonal regulation of elasmobranch physiology. In: Carrier JC, Musick JA, Heithaus MR (eds) Biology of sharks and their relatives, 2nd edn. CRC Press, Boca Raton, pp 313–348
Gerst JW, Thorson TB (1977) Effects of saline acclimation on plasma electrolytes, urea excretion, and hepatic urea biosynthesis in a freshwater stingray, Potamotrygon sp. Garman. Comp Biochem Physiol A56:87–93
Hazon N, Balment RJ, Perrott M, O’Toole LB (1989) The renin angiotensin system and vascular and dipsogenic regulation in elasmobranchs. Gen Comp Endocrinol 74:230–236
Hazon N, Tierney ML, Takei Y (1999) Renin-angiotensin system in elasmobranch fish: a review. J Exp Zool 284:526–534
Henderson IW, Oliver JA, McKeever A, Hazon N (1981) Phylogenetic aspects of the renin-angiotensin system. In: Pethes G, Frenyo VL (eds) Advances in animal and comparative physiology. Pergammon Press, Oxford, pp 355–363
Henderson IW, O’Toole LB, Hazon N (1988) Kidney function. In: Shuttleworth TJ (ed) Physiology of elasmobranch fishes. Springer, Berlin, pp 201–212
Ischii I, Yabuki A, Ojima T, Matsomoto M, Taniguchi K, Suzuki S (2008) Immunohistochemical localization of renin, NO synthase-1, and cyclooxygenase-2 in rodent kidney. Histol Histopathol 23:143–150
Janech MG, Piermarini PM (2002) Renal water and solute excretion in the Atlantic stingray in fresh water. J Fish Biol 61:1053–1057
Janech MJ, Fitzgibbon WR, Ploth DW, Lacy ER, Miller DH (2006) Effect of low environmental salinity on plasma composition and renal function of the Atlantic stingray, a euryhaline elasmobranch. Am J Physiol Renal 291:F770–F780
Kobayashi H, Takei Y (1996) The renin angiotensin system: comparative aspects. Zoophysiology 35:1–245
Kon Y, Hashimoto Y, Kitagawa H, Kudo N, Murakami K (1986) Immunohistochemical demonstration of juxtaglomerular cells in the kidneys of domestic mammals and fowls. Jpn J Vet Res 34:111–123
Kon Y, Hashimoto Y, Kitagawa H, Kudo N (1987) Morphological and immunohistochemical studies of juxtaglomerular cells in the carp Cyprinus carpio. Jpn J Vet Sci 49:323–331
Kon Y, Hashimoto Y, Kitagawa H, Kudo N (1988) Distribution and morphology of the renin-containing cells in the amphibian kidneys. Jpn J Vet Sci 50:325–332
Kon Y, Hashimoto Y, Kitagawa H, Kudo N (1989) An immunohistochemical study on the embryonic development of renin-containing cells in the mouse and pig. Anat Histol Embryol 18:14–26
Kriz W, Kaissling B (2012) Structural organization of the mammalian kidney. In: Alpers RJ, Caplan MJ, Moe OW (eds) Seldin and Giebisch’s the kidney; physiology and pathophysiology, 5th edn. Academic Press, London, pp 595–692
Lacy ER, Reale E (1989) Granulated peripolar cells in the renal corpuscle of elasmobranchs. Cell Tissue Res 257:61–67
Lacy ER, Reale E (1990) The presence of a juxtaglomerular apparatus in elasmobranch fish. Anat Embryol 182:249–262
Lacy ER, Reale E (1995) Functional morphology of the elasmobranch nephron and retention of urea. In: Wood CM, Shuttleworth JJ (eds) Fish physiology, ion regulation: cellular and molecular approaches. Academic Press, New York, pp 107–146
Lacy ER, Reale E (1999) Urinary system. In: Hamlet WC (ed) Sharks, skates and rays: biology of elasmobranch fishes. John Hopkins Press, Baltimore, pp 353–397
Lacy ER, Reale E, Schlusselberg DS, Smith WK, Woodward DJ (1985) A renal countercurrent system in marine elasmobranch fish: a computer assisted reconstruction. Science 227:1351–1354
Lamars APM, Verhofstad AAJ, Stadhouders AM, Michelakis AM (1985) Immunohistochemical demonstration of renin in the juxtaglomerular apparatus of three Bufo species. Cell Tissue Res 239:677–682
Laurent V, Bulet P, Salzet M (1995) A comparison of the leech, Theromyzon tessulatum, angiotensin I-like molecule with forms of vertebrate angiotensinogens: a hormonal system conserved in the course of evolution. Neurosci Lett 190:175–178
Lavoie JL, Sigmund CD (2013) Minireview: overview of the renin-angiotensin system—an endocrine and paracrine system. Endocrinology 144:2179–2183
Martin P, Mehr AP, Kreutz R (2006) Physiology of local renin-angiotensin systems. Physiol Rev 86:747–848
Minuth M, Hackenthal E, Poulsen K, Rix E, Taugner R (1981) Renin immunocytochemistry of the differentiating juxtaglomerular apparatus. Anat Embryol 162:173–181
Nishimura H (2004) Phylogeny and ontogeny of the renin-angiotensin system. In: Unger T, Scholhins BA (eds) Angiotensin, handbook of experimental pharmacology, vol 163. Springer, Berlin, pp 31–70
Nolly HL, Fasciolo JC (1972) The renin-angiotensin system through the phylogenetic scale. Comp Biochem Physiol 41:249–254
Ohse T, Pippin JW, Chang AM, Krofft RD, Miner JH, Vaughn MR, Shankland SJ (2009) The enigmatic parietal epithelial cell is finally getting noticed: a review. Kidney Int 76:1225–1238
Paul M, Mehr AP, Kreutz R (2006) Physiology of local renin-angiotensin systems. Physiol Rev 86:747–803
Piermarini PM, Evans DH (1998) Osmoregulation of the Atlantic stingray (Dasyatis sabina) from the freshwater Lake Jessup of the St. Johns River, Florida. Physiol Zool 71:533–560
Roth J (1984) The protein A-gold technique for localization in tissue sections by light and electron microscopy. In: Polak JM, Varndell IM (eds) Immuno-labelling for electron microscopy. Elsevier Press, London, pp 113–121
Ryan GB, Coghlan JP, Scoggins BA (1979) The granulated peripolar cell: a potential secretory component of the renal juxtaglomerular complex. Nature 277:655–656
Salzet M, Verger-Bocquet M, Wattez C, Malecha J (1992) Cellular and molecular biology of the renin-angiotensin system, evidence for angiotensin-like molecules in the central nervous system of the leech (Theromyzon tessulatum O.F.M): a possible diuretic effect. Comp Biochem Physiol 101A:83–90
Schnermann J, Castrop H (2012) Function of the juxtaglomerular apparatus: control of glomerular hemodynamics and renin secretion. In: Alpers RJ, Caplan MJ, Moe OW (eds) Seldin and Giebisch’s the kidney; physiology and pathophysiology, 5th edn. Academic Press, London, pp 757–802
Schnermann J, Ploth DW, Hermle M (1976) Activation of tubuloglomerular feedback by chloride transport. Pfluegers Arch 362:229–240
Shuttleworth TJ (1988) Salt and water balance—extrarenal mechanisms. In: Shuttleworth TJ (ed) Physiology of elasmobranch fishes. Springer, Berlin, pp 171–194
Takei Y, Hasegawa Y, Watanabe TX, Nakajima K, Hazon N (1993) A novel angiotensin I isolated from an elasmobranch fish. J Endocrinol 139:281–285
Taugner R, Hackenthal E (1989) The juxtaglomerular apparatus. Springer, Heidelberg
Taugner C, Poulsen K, Hackenthal E, Taugner R (1979) Immunohistochemical localization of renin in mouse kidney. Histochemistry 62:19–27
Taugner R, Hackenthal E, Nobiling R, Harlacher M, Reb G (1981) The distribution of renin in the different segments of the renal arterial tree. Histochemistry 73:75–88
Taugner R, Hackenthal E, Rix E, Nobiling R, Poulsen K (1982a) Immunocytochemistry of the renin-angiotensin system: renin, angiotensin I, angiotensin II, and converting enzyme in the kidneys of mice, rats and tree shrews. Kidney Int 22(12):33–43
Taugner R, Hackenthal E, Helmschen U, Ganten D, Kugler P, Maren-grenz M, Nobiling R, Unger T, Lockwald I, Keilbach R (1982b) The intrarenal renin-angiotensin system. An immunohistochemical study on the localization of renin, angiotensinogen, converting enzyme and the angiotensins in the kidney of mouse and rat. Klin Wochenschr 60:1218–1222
Thorson TB (1970) Potamotrygon spp.: failure to concentrate urea when exposed to saline media. Life Sci 9:893–900
Thorson TB, Cowman CM, Watson DE (1967) Potamotrygon spp.: elasmobranchs with low urea content. Science 158:375–377
Thurau K, Schnermann J (1965) Die Natriumkonzentration an den Macula densa-Zellen als regulierender Faktor fur das Glomerulumfiltrat. Klin Wochenschr 43:410–413
Tierney ML, Takei Y, Hazon N (1997) The presence of angiotensin II receptors in elasmobranchs. Gen Comp Endocrinol 105:9–17
Tierney ML, Takei Y, Hazon N (1998) A radioimmunoassay for the determination of angiotensin II in elasmobranch fish. Gen Comp Endocrinol 111:299–305
Uva B, Masini MA, Hazon N, O’Toole LB, Henderson IW, Ghiani P (1992) Renin and angiotensin converting enzyme in elasmobranchs. Gen Comp Endocrinol 86:407–412
Wright FS, Briggs JP (1979) Feedback control of glomerular blood flow, pressure and filtration rate. Physiol Rev 59:958–1006
Author information
Authors and Affiliations
Corresponding author
Additional information
E. Reale: Deceased.
Rights and permissions
About this article
Cite this article
Lacy, E.R., Reale, E. & Luciano, L. Immunohistochemical localization of renin-containing cells in two elasmobranch species. Fish Physiol Biochem 42, 995–1004 (2016). https://doi.org/10.1007/s10695-015-0191-1
Received:
Accepted:
Published:
Issue Date:
DOI: https://doi.org/10.1007/s10695-015-0191-1


