Abstract
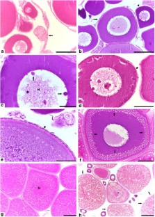
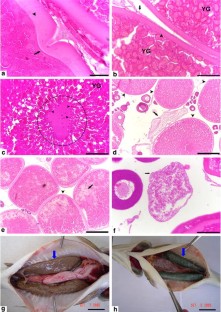
Fecundity and oocyte development in Salminus hilarii female brood stock were analyzed with the aim of investigating the impact of migration impediment on oogenesis. Histological analyses of the ovaries were performed in adult females caught in two different environments—the Tietê River (natural) and captivity—and the gonadossomatic index, oocyte diameter and fecundity determined. Five germ cell development stages (oogonium, perinucleolar, cortical alveoli, vitellogenic, ripe) and two other structures (postovulatory follicles and atretic oocytes) were observed in females caught in the river. Captive animals lacked the ripe oocytes and postovulatory follicles and had a relatively higher number of atretic oocytes. Females in captivity are known to produce larger oocytes, and they release fewer eggs in each spawn (absolute fecundity) when compared with animals that are able to migrate. Our results suggest that the Tietê River is undergoing alterations which are being reflected in the reproductive performance of S. hilarii, mainly due to the presence of atretic oocytes in females caught in the river. The lack of postovulatory follicles and ripe oocytes in captive animals reveals that migratory impediment negatively impacts final oocyte maturation. However, the stage of maturation reached is adequate for ovulation induction with hormone manipulation.
This is a preview of subscription content, access via your institution.






References
Agostinho AA, Miranda LE, Bini LM, Gomes LC, Thomaz SM, Suzuki HI (1999) Patters of colonization in neotropical reservoirs and prognoses on aging. In: Tundisi JG, Straskraba M (eds) Theoretical reservoir ecology and its applications. Backhuys/International Institute of Ecology, São Carlos, pp 227–265
Agostinho AA, Gomes LC, Suzuki HI, Júlio HF (2003) Migratory fish from the upper Paraná River Basin, Brazil. In: Carolsfeld J, Harvey B, Ross C, Baer A (eds) Migratory fishes of South America: biology, fisheries and conservation status. World Fisheries Trust. The World Bank and the International Development Research Center, Victoria, pp 19–99
Agostinho AA, Gomes LC, Pelicice FM (2007) Ecologia e manejo de recursos pesqueiros em reservatórios do Brasil. EDUEM, Maringá
Amaral JS, de Melo RG, Honji RM, Moreira RG (2007) Effects of migration impediment of Salminus hilarii (Teleost: Characidae) on the pituitary-gonad axis. Comp Biochem Physiol Part A 148S:44
Andrade PM, Braga FMS (2005) Reproductive seasonality of fish from a lotic stretch of the Grande River, High Paraná River Basin, Brasil. Braz J Biol 65:387–394
Andrade DR, Godinho AL, Godinho HP, Shimoda E (2006) Biologia reprodutiva da tabarana, Salminus hilarii (Osteichthyes, Characidae) na represa de Três Marias, MG. Rev Bras Med Vet 28:26–32
Araújo RB (2001) Ecologia e reprodução de Aspidoras fuscoguttatus Nijssen & Isbrucker, 1976 (Siluriformes, Callichthyidae) da região de São José do Rio Preto. PhD thesis. São Paulo State University, São Paulo
Baldisserotto B (2002) Fisiologia de peixes aplicada à piscicultura. UFSM, Rio Grande do Sul
Behmer OA, Tolosa EMC, Neto AGF (1976) Manual de técnicas para histologia normal e patológica. EDART, São Paulo
Braga FMS (2001) Reprodução de peixes (Osteichthyes) em afluentes do Reservatório de Volta Grande, Sudeste do Brasil. Iheringia, Ser Zool 91:67–74
Camargo C (2007) Efeitos do bloqueio da migração reprodutiva nas reservas metabólicas da tabarana Salminus hilarii (Characiformes: Characidae). PhD thesis. University of Mogi das Cruzes, Mogi das Cruzes
Corriero A, Medina A, Mylonas CC, Abscal FJ, Deflorio M, Aragon L, Bridges CR, Santamaría N, Heinisch G, Vassallo-Agius R, Belmonte A, Fauvel C, Garcia A, Gordin H, De Metrio G (2007) Histological study of the effects of treatment with gonadotropin-releasing hormone agonist (GnRHa) on the reproductive maturation of captive-reared Atlantic bluefin tuna (Thunnus thynnus L.). Aquaculture 272:675–686
Dias JF, Peres-Rios E, Chaves PTC, Rossi-Wongtschowski CLDB (1998) Análise macroscópica dos ovários de teleósteos: problemas de classificação e recomendações de procedimentos. Rev Brasil Biol 58:55–69
Duponchelle F, Cecchi P, Corbin D, Nunes J, Legendre M (2000) Variations in fecundity and egg size of female Nile tilapia, Oreochromis niloticus, from man-made lakes of Côte d'Ivoire. Environ Biol Fishes 57:155–170
Godinho HM, Basile-Martins MA, Fenerich NA, Naharara NY (1977) Fecundidade e tipo de desova do Mandi, Pimelodus maculatus Lacépède, 1803 (Pisces, Siluroidei). Rev Brasil Biol 37:737–774
Godinho AL, Kynard B, Godinho HP (2007) Migration and spawning of female surubim (Pseudoplatystoma corruscans, Pimelodidae) in the São Francisco river, Brasil. Environ Biol Fish 80:421–433
Godoy MP (1975) Peixes do Brasil—Sub-ordem Characoidei. Bacia do Rio Mogi-Guaçu. Franciscana, Piracicaba
Honji RM, Vaz-dos-Santos AM, Rossi-Wongtschowski CLDB (2006) Identification of the stages of ovarian maturation of the argentine hake Merluccius hubbsi Marini, 1933 (Teleostei: Merluciidae): advantages and disadvantages of the use of the macroscopic and microscopic scales. Neotrop Ichthyol 4:329–337
Izquierdo MS, Fernández-Palacios H, Tacon AGJ (2001) Effect of broodstock nutrition on reproductive performance of fish. Aquaculture 197:25–42
Kah O, Zanuy S, Pradelles P, Cerdá J, Carrillo M (1994) An enzyme inmunoassay for salmon gonadotropin-releasing hormone and its application to the study of the effects of diet on brain and pituitary GnRH in the sea bass, Dicentrarchus labrax. Gen Comp Endocrinol 95:464–474
Koya Y, Mori H, Nakagawa M (2004) Serum 17,20β-dihydroxy-4-pregnen-3-one levels in pregnant and non-pregnant female rockfish, Sebastes schlegeli, viviparous teleost and its production by post-ovulatory follicles. Zool Sci 21:565–573
Lima RLVA, Val-Sella MV, Torquato VC (1986) Organização e desenvolvimento das gômadas do dourado (Salminus maxillosus Val.) durante o ciclo reprodutivo. Bol Fisiol Anim 10:139–154
Lima FCT, Malabarba LR, Buckup PA, Pezzi da Silva JF, Vari RP, Harold A, Benine R, Oyakawa OT, Pavanelli CS, Menezes NA, Lucena CA, Malabarba MCSL, Lucena ZMS, Reis RE, Langeani F, Cassati L, Bertaco VA, Moreira C, Lucinda PHF (2003) Genera incertae sedis in Characidae. In: Reis RE, Kullander SO, Ferraris CJ (eds) Check list of the freshwater fishes of South and Central America. EDIPUCRS, Porto Alegre, pp 106–169
Lima FCT, Buckup PA, Menezes NA, Lucena CAS, Toledo-Piza M, Zanata A (2007) Família Characidae: gêneros incertae sedis. In: Buckup PA, Menezes NA, Ghazzi MS (eds) Catálogo das espécies de peixes de água doce do Brasil. Série Livros 23. Museu Nacional, Universidade Federal do Rio de Janeiro, pp 44–62
Lowe-McConnell RH (1999) Estudos ecológicos de comunidades de peixes tropicais. EDUSP, São Paulo
Lucas MC, Baras E (2001) Migration of freshwater fishes. Blackwell Science, Oxford
Nagahama Y, Kagawa H (1982) In vitro steroid production in the postovulatory follicles of the amago salmon, Oncorhynchus rhodurus, in response to salmon gonadotropin. J Exp Zool 219:105–109
Navas JM, Trush M, Ramos J, Bruce M, Carrillo M, Zanuy S, Bromage N (1996) The effect of seasonal alteration in the lipid composition of broodstock diets on egg quality in the European sea bass (Dicentrarchus labrax). In: Goetz FW, Thomas P (eds) Proc 5th Int Symp Reproductive Physiol Fish. University of Texas, Austin
Peter RE, Yu KL (1997) Neuroendocrine regulation of ovulation in fishes: basics applied aspects. Rev Fish Biol Fish 7:173–197
Powell ML, Kavanaugh S, Sower SA (2006) Identification of a funcional corpus luteum in the atlantic hagfish Myxine glutinosa. Gen Comp Endocrinol 148:95–101
Rocha MJ, Rocha E (2006) Morphofunctional aspects of reproduction from synchronous to asynchronous fishes—an overview. In: Reinecke M, Zaccone G, Kappor BG (eds) Fish endocrinology, vol. 2. Science Publishers, New Hampshire, pp 571–624
Romagosa E, Paiva P, Godinho H, Storfer E (1988) Desenvolvimento dos oócitos de Piaractus mesopotamicus, em condições de cultivo intensivo. Cienc Cult 40:60–64
Romagosa E, Narahara MY, Borella MI, Fenerich-Verani N (2001) Seleção e caracterização de fêmeas de matrinxã, Brycon cephalus, induzidas a reprodução. Bol Inst Pesca 27:139–147
Romagosa E, Batlouni SR, Borella MI, Leonardo AFG (2005) Involução dos folículos pós-ovulatóios em Pseudoplatystoma fasciatum (Pisces, Teleostei). Bol Inst Pesca 31:129–135
Santos GB, Formagio PS (2000) Estrutura da ictiofauna dos reservatórios do rio Grande, com ênfase no estabelecimento de peixes piscívoros. Inf Agrop 21:98–106
Santos HB, Rizzo E, Bazzoli N, Sato Y, Moro L (2005) Ovarian regression and apoptosis in the South American teleost Leporinus taeniatus Lütken (Characiformes, Anostomidae) from the São Francisco Basin. J Fish Biol 67:1446–1459
Sato Y, Fenerich-Verani N, Nuñer APO, Godinho HP, Verani JR (2003) Padrões reprodutivos de peixes da bacia do São Francisco. In: Godinho HP, Godinho AL (eds) Águas, peixes e pescadores do São Francisco das Minas Gerais. PUC-Minas, Belo Horizonte
Selman K, Wallace RA (1989) Review cellular aspects of oocyte growth in teleosts. Zool Sci 6:211–231
Silva FSD, Deus JRM, Hilsdorf AWS (2006) The upper reached ichthyofauna of the Tietê River, São Paulo, Brazil: aspects of their diversity and conservation. Biodivers Conserv 15:3569–3577
Simpson AC (1951) The fecundity of the plaice. Fish Invest 5:1–27
Takahashi ELH (2006) Ciclo reprodutivo da tabarana Salminus hilarii (Valenciennes, 1849) (Characidae, Salmininae) na região do baixo Rio Sorocaba, SP. PhD thesis. São Paulo State University, São Paulo
Vazzoler AEAM (1981) Manual de métodos para estudos biológicos de populações de peixes: reprodução e crescimento. CNPq, Brasília
Vazzoler AEAM (1996) Biologia da reprodução de peixes teleósteos: teoria e prática. EDUEM, Maringá
Wallace RA, Selman K (1981) Cellular and dynamic aspects of oocyte growth in teleost. Am Zool 21:325–343
Weltzien FA, Andersson E, Andersen Ø, Shalchian-Tabrizi K, Norberg B (2004) The brain–pituitary–gonad axis in male teleosts, with special emphasis on flatfish (Pleuronectiformes). Comp Biochem Physiol Part A 137:447–277
West G (1990) Methods of assessing ovarian development in fish: a review. Aust J Mar Freshw Res 41:199–222
Wilson EO (1988) The current stage of biological diversity. National Academy Press, Washington DC
Yaron Z, Silvan B (2006) Reproduction. In: Evans DH, Claiborne JB (eds) The Physiology of Fish. CRC Press, Boca Raton
Zohar Y, Mylonas CC (2001) Endocrine manipulations of spawning in cultured fish: from hormones to genes. Aquaculture 197:99–136
Acknowledgments
This work was supported by a research grant from FAPESP (01/10483-1) and a Master's student fellowship (CNPq 134451/2005-8). The authors would also like to thank the fishermen who collected the wild females as well as the Ponte Nova Fish Farm for providing the facilities for the maintenance of the captive animals.
Author information
Authors and Affiliations
Corresponding author
Rights and permissions
About this article
Cite this article
Honji, R.M., Narcizo, A.M., Borella, M.I. et al. Patterns of oocyte development in natural habitat and captive Salminus hilarii Valenciennes, 1850 (Teleostei: Characidae). Fish Physiol Biochem 35, 109–123 (2009). https://doi.org/10.1007/s10695-008-9239-9
Received:
Accepted:
Published:
Issue Date:
DOI: https://doi.org/10.1007/s10695-008-9239-9
Keywords
- Fecundity
- Histology
- Ovarian development
- Reproduction
- Salminus hilarii
- Tabarana