Abstract
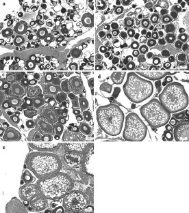
In this study we examined the endocrine mediation between environmental factors (temperature and photoperiod) and the brain–pituitary–gonadal axis in females of pejerrey Odontesthes bonariensis. Changes in the expression of brain gonadotropin-releasing hormones (GnRHs) and gonadotropin (GtH) subunit [follicle stimulating-β (FSH-β), luteinizing hormone-β (LH-β), glycoprotein hormone-α (GPH-α)] genes, plasma gonadal steroids [estradiol (E2) and testosterone (T)], gonadal histology, and gonadosomatic index (GSI) in adult females exposed to combinations of short-day (8 h) or long-day (16 h) photoperiods and low (12°C) or high (20°C) temperatures after winter conditions (8 h light, 12°C) were analyzed. Pejerrey females kept under the short photoperiod had low GSIs, and their ovaries contained only previtellogenic oocytes regardless of the experimental temperature. In contrast, females exposed to the long photoperiod had high GSIs and ovaries with vitellogenic oocytes at both temperatures. These fish also showed a significantly higher expression of sGnRH, pjGnRH, cGnRH-II (the three different GnRH variants found to date in the pejerrey brain), FSH-β, LH-β and GPH-α genes and plasma E2 levels than those at the shorter photoperiod. No significant changes were observed in plasma T levels. Based on these results, we concluded that the increase in day length but not that of temperature triggers the maturation of pejerrey females after the winter period of gonadal rest and that this occurs by an integrated stimulation of the various components of the brain–pituitary–gonad axis.
This is a preview of subscription content, access via your institution.





References
Amano M, Ikuta K, Kitamura S, Aida K (2001) Effects of photoperiod on pituitary gonadotropin levels in masu salmon. J Exp Zool 289:449–455
Amano M, Yamnome T, Yamada H, Okuzawa K, Yamamori K (2004a) Effects of photoperiod on gonadotropin-releasing hormone levels in the brain and pituitary of underyearling male barfin flounder. Fish Sci 70:812–818
Amano M, Okubo K, Yamanome T, Yamada H, Aida K, Yamamori F (2004b) Changes in brain GnRH mRNA and pituitary GnRH peptide during testicular maturation in barfin flounder. Comp Biochem Physiol 138B:435–443
Biswas AK, Takeuchi T (2002) Effects of different photoperiod cycles on metabolic rate and energy loss of both fed and unfed adult tilapia Oreochromis niloticus: part II. Fish Sci 68:543–553
Borg B, Peute J, Reschke M, van den Hurk R (1987) Effects of photoperiod and temperature on testes, renal epithelium and pituitary gonadotropic cells of the threespine stickleback, Gasterosteus aculeatus. Can J Zool 65:14–19
Borg B, Bornestaf C, Hellqvist A, Schmitz M, Mayer I (2004) Mechanisms in the photoperiodic control for reproduction in the stickleback. Behaviour 141:1521–1530
Bromage N, Porter M, Randall C (2001) The environmental regulation of maturation in farmed finfish with special references to the role of photoperiod and melatonin. Aquaculture 197:63–69
Calvo J, Morriconi ER (1972) Fenómenos reproductivos en el pejerrey Basilichthys bonariensis III Estudio de la fecundidad, época y número de desoves. An Soc Cient Argen 93:75–84
Davies B, Bromage N, Swanson P (1999). The brain-pituitary-gonadal axis of female rainbow trout Oncorhynchus mikiss: effects of photoperiod manipulation. Gen Comp Endocrinol 115:155–166
Gines R, Afonso JM, Argüello A, Zamorano MJ, Lopez JL (2003) Growth in adult gilthead sea bream (Sparus aurata L.) as a result of interference in sexual maturation by different photoperiod regimes. Aquac Res 34:73–78
Gómez JM, Weil C, Ollitrault M, Bail PY, Breton B, Gac F (1999) Growth hormone (GH) and gonadotropin subunit gene expression and pituitary and plasma changes during spermatogenesis and oogenesis in rainbow trout (Oncorhynchus mykiss). Gen Comp Endocrinol 113:413–428
Gray SL, Adams BA, Warby CA, von Schalburg KR, Sherwood NM (2002) Transcription and translation of the salmon gonadotropin-releasing hormone genes in brain and gonads of sexually maturing rainbow trout (Oncorhynchus mykiss). Biol Rep 67:1621–1627
Guilgur LG, Ortí G, Strobl-Mazzulla PH, Fernandino JI, Miranda LA, Somoza G (2007) Characterization of the cDNAs encoding three GnRH forms in the pejerrey fish Odontesthes bonariensis (Atheriniformes) and the evolution of GnRH precursors. J Mol Evol 64:614–627
Hellqvist A, Bornestaf C, Borg B, Schmitz M (2004) Cloning and sequencing of the FSH-β and LH-β subunit in the three-spined stickleback, Gasterosteus aculeatus, and effects of photoperiod and temperature on LH-β and FSH-β mRNA expression. Gen Comp Endocrinol 135:167–174
Jackson K, Goldberg D, Ofir M, Abraham M, Degani G (1999) Blue gourami (Trichogaster trichopterus) gonadotropic beta-subunits (I and II) cDNA sequences and expression during oogenesis. J Mol Endocrinol 23:177–187
Jalabert B (2005) Particularities of reproduction and oogenesis in teleost fish compared to mammals. Reprod Nutr Dev 45:261–279
Kajimura S, Yoshiura Y, Suzuki M, Aida K (2001) cDNA cloning of two gonadotropin β subunits (GTH-Iβ and -IIβ) and their expression profiles during gametogenesis in the Japanese flounder (Paralichthys olivaceus). Gen Comp Endocrinol 122:117–129
Lange I, Hartel A, Meyer HHD (2003) Evolution of oestrogen functions in vertebrates. J Steroid Biochem Mol Biol 83:219–226
López HL, Baigún CR, Iwaskiw JM, Delfino RL, Padín OH (2001) La cuenca del Salado: Uso y posibilidades de sus recursos pesqueros. Editorial de la Universidad de La Plata, La Plata
Mateos J, Mañanós E, Martínez-Rodríguez G, Carrillo M, Querat B, Zanuy S (2003) Molecular characterization of sea bass gonadotropin subunits (α, FSHβ, and LHβ) and their expression during the reproductive cycle. Gen Comp Endocrinol 133:216–232
Meiri I, Gothilf Y, Zohar Y, Elizur A (2002) Physiological changes in the spawning gilthead seabream, Sparus aurata, succeeding the removal of males. J Exp Zool 292:555–564
Miranda LA, Cassará MC, Somoza GM (2005) Increase of milt production by hormonal treatment in the pejerrey fish Odontesthes bonariensis. Aquac Res 36:1473–1479
Miranda LA, Berasain GE, Velasco CM, Shirojo Y, Somoza GM (2006) Natural spawning and intensive culture of pejerrey Odontesthes bonariensis juveniles. Biocell 30:89–95
Miranda LA, Strussmann CA, Guilgur LG, Strobl-Mazzulla HP, Somoza GM (2007) Cloning of FSH-β, LH-β and glycoprotein hormone α-subunits in pejerrey Odontesthes bonariensis (Valenciennes): expression profile and relationship with GnRHs expression and plasma sex steroid levels in males fish. J Fish Biol 71:1571–1589
Montaner AD, Park M, Fischer WH, Craig AG, Chang JP, Somoza GM, Rivier JE, Sherwood NM (2001) Primary structure of a novel gonadotropin-releasing hormone (GnRH) variant in the brain of pejerrey (Odontesthes bonariensis). Endocrinology 142:1453–1460
Okuzawa K, Gen K, Bruysters M, Bogerd J, Gothilf Y, Zohar Y, Kagawae H (2003) Seasonal variation of the three native gonadotropin-releasing hormone messenger ribonucleic acids levels in the brain of female red seabream. Gen Comp Endocrinol 130:324–332
Parhar IS, Koibuchi N, Saki M, Iwata M, Yamoaka S (1994) Gonadotropin-releasing hormone hormone (GnRH): expression during salmon migration. Neurosci Lett 172:15–18
Prat F, Sumpter JP, Tyler CR (1996) Validation of radioimmunoassay for two salmon gonadotropins (GTH-I and GTH-II) and their plasma concentrations throughout the reproductive cycle in male and female rainbow trout (Oncorhynchus mykiss). Biol Reprod 54:1375–1382
Rad F, Bozaoðlu S, Gözükara SE, Karahan A, Gülderen K (2006) Effects of different long-day photoperiods on somatic growth and gonadal development in Nile tilapia (Oreochromis niloticus L.). Aquaculture 255:292–300
Rodríguez L, Carrillo M, Sorbera LA, Soubrier MA, Mañanós E, Holland MCH, Zohar Y, Zanuy S (2000) Pituitary levels of three forms of GnRH in the male European sea bass (Dicentrarchus labrax, L.) during sex differentiation and first spawning season. Gen Comp Endocrinol 120:67–74
Rodríguez L, Zanuy S, Carrillo M (2001) Influence of day length on the age at first maturity and somatic growth in male sea bass (Dicentrarchus labrax L.). Aquaculture 196:159–175
Senthilkumaran B, Okuzawa K, Gen K, Ookura T, Kagawa H (1999) Distribution and seasonal variation in levels of three native GnRHs in the brain and pituitary of perciform fish. J Neuroendocrinol 11:181–186
Shimizu A (2003) Effect of photoperiod and temperature on gonadal activity and plasma steroid levels in a reared strain of the mummichog (Fundulus heteroclitus) during different phases of its annual reproductive cycle. Gen Comp Endocrinol 131:310–324
Sohn YC, Yoshiura Y, Kobayashi M, Aida K (1999) Seasonal changes in the mRNA levels of gonadotropin and thyrotropin in the goldfish, Carassius auratus. Gen Comp Endocrinol 113:436–444
Somoza GM, Miranda LA, Guilgur LG, Strobl-Mazzulla PH (2006) Characterization of the brain-pituitary axis in pejerrey Odontesthes bonariensis. Biocell 30:157–162
Stefano AV, Aldana-Marcos HJ, Afanni JM, Somoza GM (2000) Gonadotropin-releasing hormone (GnRH) neuronal systems in the pejerrey Odontesthes bonariensis (Atheriniformes). Fish Physiol Biochem 23:215–223
Strüssmann CA (1989) Basic studies on seed production of pejerrey Odontesthes bonariensis. PhD thesis. Tokyo University of Fisheries, Tokyo
Swanson P, Dickey JT, Campbell B (2003) Biochemistry and physiology of fish gonadotropins. Fish Physiol Biochem 28:1–7
Toda K, Tonami N, Yasuda N, Suzuki S (1995) Cultivo del pejerrey en Japón. New Fish Development Association, Tokyo
Van der Kraak G, Pankhurst NW (1997) Temperature effects on the reproductive performance of fish. In: Wood CM, Mc Donald DG (eds) Global warming: implications for freshwater and marine fish. Cambridge University Press, Cambridge
Weil C, Bongoussa-Houuaadec MM, Gallais C, Itoh S, Sekine S, Valotaire Y (1995) Preliminary evidence suggesting variations of GTH-I and GTH-II mRNA levels at different stages of gonadal development in rainbow trout. Oncorhynchus mykiss. Gen Comp Endocrinol 100:237–233
Acknowledgments
The authors would like to thank Gabriela López and Takahashi Shinoda for their technical assistance. This work was partially supported by grants given to L.A.M (University of San Martín #SA06/009), C.A.S. (Ministry of Education, Culture, Sports, Science and Technology of Japan #15201003), and G.M.S. (CONICET PIP #5425 and ANPCyT PICTR-528).
Author information
Authors and Affiliations
Corresponding author
Rights and permissions
About this article
Cite this article
Miranda, L.A., Strüssmann, C.A. & Somoza, G.M. Effects of light and temperature conditions on the expression of GnRH and GtH genes and levels of plasma steroids in Odontesthes bonariensis females. Fish Physiol Biochem 35, 101–108 (2009). https://doi.org/10.1007/s10695-008-9232-3
Received:
Accepted:
Published:
Issue Date:
DOI: https://doi.org/10.1007/s10695-008-9232-3
Keywords
- Environmental cues
- Gonadotropin-releasing hormone
- Gonadotropins
- Pejerrey
- Reproduction
- Sex steroids