Abstract
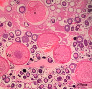
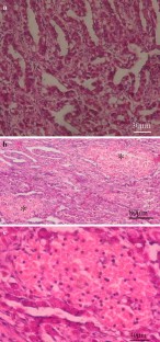
The gonad histology, gonado-somatic index (GSI), 17β-estradiol (E2) levels and acetylcholinesterase (AChE) activity in the carp species Chalcalburnus tarichi from Lake Van and the Karasu river, eastern Turkey, have been investigated. Fish between 5 and 7 years old were sampled from November 2003 to February 2004. The ratio of female fish caught in Lake Van with abnormal ovaries (AbOF) was 43.3%, but the fork length and body weight of these fish were not correlated with this abnormality. The weight of the ovaries and the GSI values of AbOF were very low (P < 0.05). Histological observations on the samples caught each month revealed that the oocytes had degenerated in the perinucleolus and early cortical alveolus stages and that the ovaries were full of somatic stromal tissue. In addition, the seminiferous tubules of male fish with abnormal testes did not contain male reproductive cells at any stage. The ovaries of the fish caught from the Karasu river were also full of oocytes in the perinucleolus and early cortical alveolus stages, but there were fewer atretic follicles. Furthermore, apoptosis was observed in the ovary cells of these fish, in particular in the follicular cells, and the plasma E2 levels of the AbOF was very low (P < 0.05). AChE activity was inhibited only in liver (P < 0.05). We conclude that our sample of C. tarichi must have been exposed to various polluting chemicals or another unknown factors (such as global warming) and that these factors have irreversibly impaired oocyte development in a high percentage of fish.
This is a preview of subscription content, access via your institution.









References
Aliriz S, Türkoğlu V (2003) Purification and characterization of acetylcholinesterase from the lake van fish (Chalcalburnus tarichii Pallas, 1811). Prep Biochem Biotechnol 33:137–145
Bennetau-Pelissero C, Breton BB, Bennetau B, Corraze G, Le Menn F, Davail-Cuisset B, Heleu C, Kaushik SJ (2001) Effect of genistein-enriched diet on the endocrine process of gametogenesis and on reproduction efficiency of the rainbow trout Oncorhynchus mykiss. Gen Comp Endocrinol 121:173–187
Bhavan PS, Geraldine P (2001) Biochemical stress responses in tissues of the prawn Macrobrachium malcolmsonii on exposure to endosulfan. Pestic Biochem Physiol 70:27–41
Bjerregaard LB, Madsen AH, Korsgaard B, Bjerrgaard P (2006) Gonad histology and vitellogenin concentrations in brown trout (Salmo trutta) from Danish streams impacted by sewage effluent. Exotoxicology 15:315–327
Blazer VS (2002) Histopathological assessment of gonadal tissue in wild fishes. Fish Physiol Biochem 26:85–101
Bradford M (1976) A rapid and sensitive method for the quantitation of microgram quantities of protein utilizing the principle of protein-dye binding. Anal Biochem 72:248–254
Bretaud S, Toutant J, And Saglio P (2000) Effects of carbofuran, diuron, and nicosulfuron on acetylcholinesterase activity in goldfish (Carassius auratus). Ecotoxicol Environ Safe 47:117–124
Chuiko GM, Podgornaya VA, Zhelnin YY (2003) Acetylcholinesterase and butyrylcholinesterase activities in brain and plasma of freshwater teleosts: cross-species and cross-family differences. Comp Biochem Physiol B Biochem Mol Biol 135:55–61
Corsi I, Mariottini M, Sensini C, Lancini L, Focardi S (2003a). Fish as bioindicators of brackish ecosystem health: integrating biomarker responses and target pollutant concentrations. Ocenolog Acta 26:129–138
Corsi I, Mariottini M, Sensini C, Lancini L, Focardi S (2003b). Cytochrome P450, acetylcholinesterase and gonadal histology for evaluating contaminant exposure levels in fishes from a highly eutrophic brackish ecosystem: the Orbetello Lagoon, Italy. Mar Pollut Bull 46:203–212
de la Torre FR, Ferrari L, Salibián A (2002) Freshwater pollution biomarker: response of brain acetylcholineesterase activity in two fish species. Comp Biochem Physiol C 131:271–280
De Mel GWJLMVTM, Pathiratne A (2005) Toxicity assessment of insecticides commonly used in rice pest management to the fry of common carp, Cyprinus carpio, a food fish culturable in rice fields. J Appl Ichthyol 21:146–150
De Metrio G, Corrieroa A, Desamtisa S, Zubania D, Cirilloa F, Deflorioa M, Bridgesb CR, Eickreb J, de la Sernac JM, Megalofonoud P, Kime DE (2003) Evidence of a high percentage of intersex in the Mediterranean swordfish (Xiphias gladius L.). Mar Pollut Bull 46:358–361
Dembélé K, Haubruge E, Gaspar C (2000) Concentration effects of selected insecticides on brain acetylcholinesterase in the common carp (Cyprinus carpio L). Toxicol Environ Safe 45:49–54
Donaldson EM, Fagerlund UHM, Higgs DA, McBride JR (1979) Hormonal enhancement of growth. In: Hoar WS, Randall DJ (eds) Fish physiology, VIII. Academic Press, New York, pp 455–579
Elman GL, Courtney KD, Andres V Jr (1961) Featherstone, R.M. A new and rapid colorimetric determination of acetylcholinesterase activity. Biochem Pharmacol 7:88–95
Elp M, Çetinkaya O (2000) İnci Kefali (Chalcalburnus tarichi Pallas, 1811)’nin üreme biyolojisi üzerine bir araştırma. IV. Doğu Anadolu Su Ürünleri Sempozyumu Kitapçığı, 51–66
Fernández-Vega C, Sancho E, Ferrando MD, Andreu E (2002) Thiobencarb-induced changes in acethylcholinesterase activity of the fish Anguilla anguilla. Pestic Biochem Physiol 72:55–63
Fulton MH, Key PB (2001) Acetylcholinesterase inhibition in estuarine fish and invertebrates as an indicator of organophosphorus insecticide exposure and effects. Environ Toxicol Chem 20:37–45
Hemmer MJ, Bowman CJ, Hemmer BL, Friedman SD, Marcovich D, Kroll KJ, Denslow ND (2002) Vitellogenin mRNA regulation and plasma clearance in male sheepshead minnows, (Cyprinodon variegatus) after cessation of exposure to 17β-estradiol and p-nonylphenol. Aquat Toxicol 58:99–112
Kime DE (1999) A strategy for assessing the effects of xenobiotics on fish reproduction. Sci Total Environ 225:3–11
Kiparissis Y, Balch GC, Metcalfe TL, Metcalfe CD (2003) Effects of the isoflavones genistein and equol on the gonadal development of Japanese medaka (Oryzias latipes). Environ Health Persp 111:1158–1163
Lionetto MG, Caricato R, Giordano ME, Pascariello MF, Morinosci L, Schettino T (2003) Integrated use of biomarkers (acetylcholinesterase and antioxidant enzymes activities) in Mytilus galloprovincialis and Mullus barbatus in an Italian coastal marine area. Mar Pollut Bull 46:324–330
Nicolas JM (1999) Vitellogenesis in fish and the effects of polycyclic aromatic hydrocarbon contaminants. Aquat Toxicol 45:77–90
Nimrod AC, Benson WH (1998). Reproduction and development of Japanese medeka following an early life stage exposure to xenoestorgens. Aquat Toxicol 44:141–156
Palace WP, Evans RE, Wautier K, Baron C, Vandenbylllardt L, Vandersteen W, Kidd K (2002) Induction of vitellogenin and histological effects in wild fathead minnows from a lake experimentally treated with the synthetic estrogen, ethynylestradiol. Water Qual Res J Can 37:637–650
Sancho E, Fernández-Vega C, Sanchez M, Ferrando MD, Andreu-Moliner E (2000) Alterations on AChE activity of the fish Anguilla anguilla as response to herbicide-contaminated water. Ecotoxicol Environ Safe 46:57–63
Savabieasfahani M, Lochmiller RL, Janz DM (1999) Elevated ovarian and thymic cell apoptosis in Wild cotton rats inhabiting petrochemical-contaminated terrestrial ecosystems. J Toxicol Environ Health A 57:521–527
Sturm A, da Silva de Assis HC, Hansen P-D (1999) Cholineesterases of marine teleost fish: enzymological characterization and potential use in the monitoring of neurotoxic contamination. Mar Environ Res 47:389–398
Sundararaj BI, Nath P (1981) Synthesis of vitellogenin and its uptake by the ovary in the catfish, Heteropneustes fossilis (Bloch). Gen Comp Endocrinol 43:201–210
Sundararaj BI, Nath P, Burzava-Gerard E (1982) Synthesis of vitellogenin and its uptake by the ovary in the catfish, Heteropneustes fossilis (Bloch) in response to carp gonadotropin and subunits. Gen Comp Endocrinol 46:93–98
Tanaka JN, Grizzle JM (2002) Effects of nonylphenol on the gonadal differentiation of the hermaphroditic fish, Rivulus marmoratus. Aquat Toxicol 57:117–125
Ünal G, Çetinkaya O, Elp M (1999) İnci kefalinde (Chalcalburnus tarichi, P., 1811) gonad gelişiminin histolojik olarak incelenmesi. Tr J Zool 23:329–338
Ünal G, Karakişi H, Elp M (2005) Ovarian follicle ultrastructure and changes in levels of ovarian steroids during oogenesis in Chalcalburnus tarichi Pallas, 1811. Turk J Vet Anim Sci 29:645–653
Versonnen BJ, Janssen CR (2004) Xenobiotic effects of ethinylestradiol in zebrafish (Danio rario) Inc. Environ Toxicol 19:198–206
Wallace RA (1985) Vitellogenesis and oocyte growth in non-mammalian vertebrates. Dev Biol I:127–177
Weber LP, Hill RL, Janz DM (2003) Developmental estrogenic exposure in zebrafish (Danio rerio); II. Histological evaluation of gametogenesis and organ toxicity. Aquat Toxicol 63:431–446
Weber LP, Kiparissis Y, Hwang GS, Niimi AJ, Janz DM, Metcalfe CD (2002) Increased cellular apoptosis after chronic aqueous exposure to nonylphenol and quercetin in adult medaka (Oryzias latipes). Comp Biochem Physiol C 131:51–59
Werner I, Clark SL, Hinton DE (2003) Biomarkers aid understanding of aquatic organism responses to environmental stressors. Calif Agric 57:110–115
Zaroogian G, Gardner G, Horowitz DB, Gutjahr-Gobell R, Haebler R, Mills L (2001) Effects of 17β-estradiol, o,p-DDT, octylphenol and p,p-DDE on gonadal development and liver and kidney pathology in juvenile male summer flounder (Paralichthys dentatus). Aquat Toxicol 54:101–112
Author information
Authors and Affiliations
Corresponding author
Rights and permissions
About this article
Cite this article
Ünal, G., Türkoğlu, V., Oğuz, A.R. et al. Gonadal histology and some biochemical characteristics of Chalcalburnus tarichi (Pallas, 1811) having abnormal gonads. Fish Physiol Biochem 33, 153–165 (2007). https://doi.org/10.1007/s10695-006-9126-1
Received:
Accepted:
Published:
Issue Date:
DOI: https://doi.org/10.1007/s10695-006-9126-1
Keywords
- AChE
- Chalcalburnus tarichi
- Fish gonads
- Lake Van
- Oocyte development