Abstract
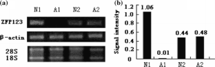
A novel zinc finger protein (ZFP) gene of the Japanese flounder, Paralichthys olicaceus, has been isolated by differential mRNA display (DD). This technique was utilized to simultaneously compare the mRNA transcript populations from pigmented skins of the ocular side of normal Japanese flounder (termed N1 skin) and non-pigmented skins of the ocular side of albino Japanese flounder (termed A1 skin). A reproducibly differentially expressed band was isolated and cloned from N1 skin tissue. The isolated 917-bp DD fragment (termed EST917) was screened and sequenced. Sequence analysis of EST917 revealed that it contains a complete open reading frame and encodes a polypeptide of 123 amino acids (named ZFP123), with a predicted molecular weight of 13.293 kDa. Expression profile analysis by a reverse transcription-PCR (RT-PCR) technique revealed the expression of the ZFP123 gene in N1 skin and its lack of expression in A1 skin; it was expressed, however, in both blind sides of normal Japanese flounder (termed N2 skin) and the blind side of albino Japanese flounder (termed A2 skin) in a very similar manner. ZFP123 mRNA was found to be highly expressed in muscle, eye, brain and liver, but weakly expressed or undetectable in the gill and fat in both normal and albino Japanese flounders. The ZFP123 of the Japanese flounder shows a high homology to those ZFPs of other species, and the phylogenetic relationship among 14 sequences isolated from other species are illustrated.
This is a preview of subscription content, access via your institution.






Abbreviations
- A1:
-
Non-pigmented skin of ocular side of albino Japanese flounder
- A2:
-
Blind side of albino Japanese flounder skin
- DD:
-
Differential mRNA display
- N1:
-
Pigmented skin of the ocular side of normal Japanese flounder
- N2:
-
Blind side of the normal Japanese flounder
- ORF:
-
Open reading frame
- RT-PCR:
-
Reverse transcription-PCR
- ZFP:
-
Zinc finger protein
References
Bauer D, Muller H, Reich J, Riedel H, Ahrenkiel V, Warthoe P, Strauss M (1993) Identification of differentially expressed species by improved display technique (DDRT-PCR). Nucleic Acids 21:4272–4280
Bolker JA, Hill CR (2000) Pigmentation development in hatchery-reared flatfishes. J Fish Biol 56:1029–1052
Cerda-Reverter JM, Haitina T, Schioth HB, Peter RE (2005) Gene structure of the goldfish agouti-signaling protein: a putative role in the dorsal-ventral pigment pattern of fish. Endocrinology 146:1597–1610
Del Marmol V, Beermann F (1996) Tyrosinase and related proteins in mammalian pigmentation. FEBS Lett 381:165–168
Guo H, Huang B, Zhang S, Qi F (2003) Biochemical and histochemical activities of tyrosinase in the skins of normal and albino turbot. Scophthalmus maximus. Fish Physiol Biochem 29:67–76
Huang J, Teng L, Li L, Liu T, Li L, Chen D, Xu LG, Zhai Z, Shu HB (2004) ZNF216 is an A20-like and IKKg-interacting inhibitor of NF-kB activation. J Biol Chem 279:16847–16853
Hyodo-Taguchi Y, Winkler C, Kurihara Y, Schartl A, Schartl M (1997) Phenotypic rescue of the albino mutation in the medakafish (Oryzias latipes) by a mouse tyrosinase transgene. Mech Dev 68:27–35
Iida A, Inagaki H, Suzuki M, Wakamatsu Y, Hori H, Koga A (2004) The tyrosinase gene of the I (b) albino mutant of the medaka fish carries a transposable element insertion in the promoter region. Pigment Cell Res 17:158–164
Iwata N, Kikuchi K (1998) Effects of sandy substrate and light on hypermelanosis of the blind side in cultured Japanese flounder Paralichthys olivaceus. Environ Biol Fishes 52:291–297
Kanazawa A (1993) Nutritional mechanisms involved in the occurrence of abnormal pigmentation in hatchery-reared flatfish. J World Aquacult Soc 24:162–166
Kozak M (1991) Structural features in eukaryotic mRNAs that modulate the initiation of translation. J Biol Chem 266:19867–19870
Kozak M (1996) Interpreting cDNA sequences: some insights from studies on translation. Mamm Genome 7:563–574
Kurokawa T, Suzuki T (1998) Development of intestinal brush border aminopeptidase in the larval Japanese flounder Paralichthys olivaceus. Aquaculture 162:113–124
Naess T, Germain-Henry M, Naas KE (1995) First feeding of Atlantic halibut (Hippoglossus hippoglossus) using different combinations of Artemia and wild zooplankton. Aquaculture 130:235–250
Ottesen OH, Strand HK (1996) Growth, development, and skin abnormalities of halibut (Hippoglossus hippoglossus L.) juveniles kept on different bottom substrates. Aquaculture 146:17–25
Potterf SB, Furumura M, Sviderskaya EV, Santis C, Bennett DC, Hearing VJ (1998) Normal tyrosine transport and abnormal tyrosinase routing in pink-eyed dilution melanocytes. Exp Cell Res 244:319–326
Ravasi T, Huber T, Zavolan M, Forrest A, Gaasterland T, Grimmond S, Hume DA, RIKEN GER Group, GSL Members (2003) Systematic characterization of the zinc-finger-containing proteins in the mouse transcriptome. Genome Res 13:1430–1442
Seikai T (1991) Influences of fluorescent light irradiation, ocular side pigmentation, and source of fishes on the blind side pigmentation in the young Japanese flounder, Paralichthys olivaceus. Suisanzoshoku 39:173–180
Seikai T, Matsumoto J (1991) Mechanisms of albinism in flatfish with regard to pigment cells and skin differentiation. Eur Aquacult Soc 15:328–330
Seikai T, Matsumoto J (1994) Mechanism of pseudoalbinism in flatfish: an association between pigment cell and skin differentiation. J World Aquacult Soc 25:78–85
Tsutsumi M, Imai S, Kyono-Hamaguchi Y, Hamaguchi S, Koga A, Hori H (2006) Color reversion of the albino medaka fish associated with spontaneous somatic excision of the Tol-1 transposable element from the tyrosinase gene. Pigment Cell Res 19:243–247
Venizelos A, Benetti DD (1999) Pigment abnormalities in flatfish. Aquaculture 176:181–188
Yamamoto E (1999) Studies on sex-manipulation and production of cloned populations in hirame, Paralichthys olivaceus (Temminck et Schlegel). Aquaculture 173:235–246
Acknowledgements
The authors thank Drs. Hans-Uwe Dahms, Wan-Xi Yang and Wei Zou for their critical reading of this manuscript. This work was funded by the National Natural Science Foundation of China (NSFC) project (Project No. 30271035).
Author information
Authors and Affiliations
Corresponding author
Rights and permissions
About this article
Cite this article
Wang, J., Hou, L., Zou, X. et al. Cloning and characterization of a novel albinism-related zinc finger protein gene in Japanese flounder. Fish Physiol Biochem 33, 143–151 (2007). https://doi.org/10.1007/s10695-006-9125-2
Received:
Accepted:
Published:
Issue Date:
DOI: https://doi.org/10.1007/s10695-006-9125-2
Keywords
- Albinism-related gene
- Differential mRNA display
- Japanese flounder
- ZFP123