Abstract
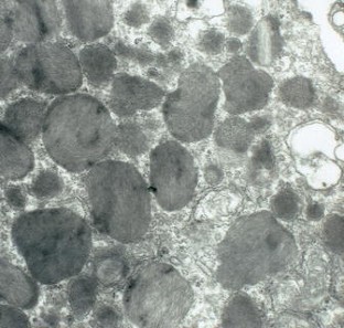
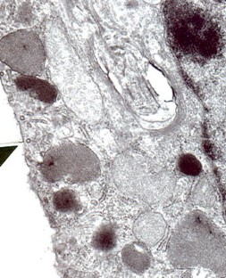
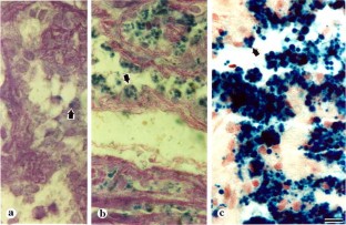
Large amounts of lipofuscin-like pigments were demonstrated by means of the Schmorl’s technique in endocardial cells enveloping the heart muscle trabeculae in adult platyfish (Xiphophorus maculatus). Such pigment granules occurred in a low number in the corresponding cell layers in the heart of 6-mm long prenatal platies. The endocardial cells contained numerous lysosome-like bodies, bristle-coated vesicles, and tubules of agranular endoplasmic reticulum, particularly in adult specimens. The lipofuscin-rich endocardial cell layers displayed deep blue precipitations in hearts from the ferritin-injected adult platies 6 h or more post-injection, when treated with acid ferrocyanide instead of Schmorl’s solution, i.e., this cell type is able to take up foreign particles. The occurrence of much lipofuscin-like pigments in endocardial cell layers in adult platies provides evidence that these cells have performed important scavenger functions at this stage of development.
This is a preview of subscription content, access via your institution.




References
Grimstone AV, Skaer RJ (1972) A guidebook to microscopical methods. Cambridge University Press, London
Hayat MA (1972) Basic electron microscopy techniques. Van Nostrand Reinhold, London
Leknes IL (1980) Ultrastructure of atrial endocardium and myocardium in three species of Gadidae (Teleostei). Cell Tissue Res 210:1–10
Leknes IL (1987) Endocytosis of horse-spleen ferritin by bony fish endocardium. Acta Histochem 81:175–182
Leknes IL (2002) Uptake of foreign ferritin in platy Xiphophorus maculatus (Poeciliidae: Teleostei). Dis Aquat Org 51:233–237
Nakamura H, Shimozawa A (1994) Phagocytotic cells in the fish heart. Arch Histol Cytol 57:415–425
Pearse AGE (1980) Histochemistry: theoretical and applied. Churchill Livingstone, Edinburgh
Reynolds ES (1963) The use of lead citrate at high pH as an electron-opaque stain in electron microscopy. J Cell Biol 17:208–212
Smedsr, Olsen R, Sveinbjson B (1995) Circulating collagen is catabolized by endocytosis mainly by endothelial cells of endocardium in cod (Gadus morhua). Cell Tissue Res 280:39–48
Ssen KK, Melkko J, Smedsr (1998) Scavenger-receptor-mediated endocytosis in endocardial endothelial cells of Atlantic cod Gadus morhua. J Exp Biol 201:1707–1718
Author information
Authors and Affiliations
Corresponding author
Rights and permissions
About this article
Cite this article
Leknes, I.L. Lipofuscin-like pigments in endocardial cells enveloping the heart muscle trabeculae in platyfish (Poeciliidae: Teleostei). Fish Physiol Biochem 33, 103–107 (2007). https://doi.org/10.1007/s10695-006-9121-6
Received:
Accepted:
Published:
Issue Date:
DOI: https://doi.org/10.1007/s10695-006-9121-6
Keywords
- Lipofuscin
- Endocytose
- Endocardium
- Platyfish
- Teleost