Abstract
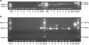
Decline of European beech (Fagus sylvatica) due to Phytophthora spp. has become an increasing problem in Europe, including Norway, the northernmost distribution of this beech species in the world. Observations of the invasive slug Arion vulgaris in a Phytophthora-infested beech forest in southeastern Norway, led to investigation of A. vulgaris as a potential vector for Phytophthora spp. Thus, the primary goal of this work was to reveal if Phytophthora plurivora and P. cambivora isolated from beech in Norway may survive passing through the digestive system of the slugs. The slugs were allowed to feed on hyphal mats of Phytophthora for 6 days. Faeces from the slugs were examined for the presence of mycelium using both light microscope and Phytophthora specific PCR (polymerase chain reaction). Faeces were also directly dropped or transferred onto Phytophthora selective agar to investigate if the hyphae were viable. The experiments showed that A. vulgaris slugs were capable of ingesting and excreting hyphae of P. cambivora and hyphae and oospores of P. plurivora. Hyphae from both species proved to be viable when faeces were excreted directly on the agar.





Similar content being viewed by others
References
Alvarez, L. A., Gramaje, D., Abad-Campos, P., & García-Jiménez, J. (2009). Role of the Helix aspersa snail as a vector of Phytophthora citrophthora causing branch cankers on clementine trees in Spain. Plant Pathology, 58, 956–963.
Brasier, C. M. (2008). The biosecurity threat to the UK and global environment from international trade in plants. Plant Pathology, 57, 792–808.
El-Hamalawi, Z. A., & Menge, J. A. (1996). The role of snails and ants in transmitting the avocado stem canker pathogen, Phytophthora citricola. Journal of the American Society for Horticultural Science, 121, 973–977.
Gregg, M. (1957). Germination of oospores of Phytophthora erythroseptica. Nature, 180, 150–150.
Hansen, E. M., Goheen, D. J., Jules, E. S., & Ullian, B. (2000). Managing Port-Orford-Cedar and the introduced pathogen Phytophthora lateralis. Plant Disease, 84, 4–14.
Hatteland, B. A., Roth, S., Andersen, A., Kaasa, K., Støa, B., & Solhøy, T. (2013). Distribution and spread of the invasive slug Arion vulgaris Moquin-Tandon in Norway. Fauna Norvegica, 32, 13–26.
Jung, T. (2009). Beech decline in Central Europe driven by the interaction between Phytophthora infections and climatic extremes. Forest Pathology, 39, 73–94.
Jung, T., & Burgess, T. I. (2009). Re-evaluation of Phytophthora citricola isolates from multiple woody hosts in Europe and North America reveals a new species. Phytophthora Plurivora sp. nov. Persoonia, 22, 95–110.
Jung, T., Hudler, G. W., Jensen-Tracy, S. L., Griffiths, H. M., Fleischmann, F., & Osswald, W. (2005). Involvement of Phytophthora species in the decline of European beech in Europe and the USA. Mycologist, 19, 159–166.
Keast, D., & Walsh, L. G. (1979). Passage and survival of chlamydospores of Phytophthora cinnamomi Rands, the causal agent of forest dieback disease, through the gastrointestinal tracts of termites and wild birds. Applied and Environmental Microbiology, 37, 661–664.
Konam, J. K., & Guest, D. I. (2004). Role of beetles (Coleoptera: Scolytidae and Nitidulidae) in the spread of Phytophthora palmivora pod rot of cocoa in Papua New Guinea. Australasian Plant Pathology, 33, 55–59.
Nelson, A. H., Weiland, J. E., & Hudler, G. W. (2010). Prevalence, distribution and identification of Phytophthora species from bleeding canker on European beech. Journal of Environmental Horticulture, 28, 150–158.
Parke, J. L., Oguchi, A., Fichtner, E. J., & Rizzo, A. M. (2008). Viability of Phytophthora ramorum after passage through slugs. Phytopathology, 98, 121–121.
Schena, L., Hughes, K. J. D., & Cooke, D. E. L. (2006). Detection and quantification of Phytophthora ramorum, P. kernoviae, P. citricola and P. quercina in symptomatic leaves by multiplex real-time PCR. Molecular Plant Pathology, 7, 365–379.
Schena, L., Duncan, J. M., & Cooke, D. E. L. (2008). Development and application of a PCR-based ‘molecular tool box’ for the identification of Phytophthora species damaging forests and natural ecosystems. Plant Pathology, 57, 64–75.
Scott, P., Burgess, T., & Hardy, G. (2013). Globalization and Phytophthora. In K. Lamour (Ed.), Phytophthora: A global perspective (pp. 226–232). Wallingford: CABI.
Telfer, K. H. (2013). A survey of Phytophthora in a beech forest in Norway. Master thesis 60 credits. Department of Plant and Environmental Sciences. Norwegian University of Life Sciences. 62 pp.
Turner, G. J. (1967). Snail transmission of species of Phytophthora with special reference to foot rot of Piper nigrum. Transactions of the British Mycological Society, 50, 251–258.
Webber, J. F. & Rose, J. (2008). Dissemination of aerial and root infecting Phytophthoras by human vectors. (Paper presented at the Sudden Oak Death 3rd Science Symposium. Gen. Tech. Rep. PSW-GTR-214, Albany, USA).
White, T. J., Bruns, T., Lee, S., & Taylor, J. (1990). Amplification and direct sequencing of fungal ribosomal RNA genes for phylogenetics. In M. A. Innis, D. H. Gelfand, J. J. Sninsky, & T. J. White (Eds.), PCR protocols, a guide to methods and applications (pp. 315–322). New York: Academic.
Acknowledgments
We want to thank Trude Slørstad, Grete Lund, and Karin Westrum at Bioforsk for valuable technical assistance.
Author information
Authors and Affiliations
Corresponding author
Rights and permissions
About this article
Cite this article
Telfer, K.H., Brurberg, M.B., Haukeland, S. et al. Phytophthora survives the digestive system of the invasive slug Arion vulgaris . Eur J Plant Pathol 142, 125–132 (2015). https://doi.org/10.1007/s10658-015-0597-8
Accepted:
Published:
Issue Date:
DOI: https://doi.org/10.1007/s10658-015-0597-8


