Abstract
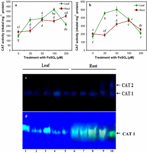
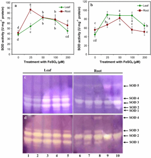
In the present study the response of antioxidant enzyme activities and the level of expression of their corresponding genes on bioaccumulation of iron (Fe) were investigated. In vitro germinated Withania somnifera L. were grown in Murashige and Skoog’s liquid medium with increasing concentrations (0, 25, 50, 100 and 200 µM) of FeSO4 for 7 and 14 days. Root and leaf tissues analyzed for catalase (CAT, EC 1.11.1.6), superoxide dismutase (SOD, EC 1.15.1.1) and guaiacol peroxidase (GPX, EC 1.11.1.7), have shown an increase in content with respect to exposure time. Isoforms of CAT, SOD and GPX were separated using non-denaturing polyacrylamide gel electrophoresis and observed that the isoenzymes were greatly affected by higher concentrations of Fe. Reverse transcriptase polymerase chain reaction analysis performed by taking three pairs of genes of CAT (RsCat, Catalase1, Cat1) and SOD (SodCp, TaSOD1.2, MnSOD) to find out the differential expression of antioxidant genes under Fe excess. RsCat from CAT and MnSOD from SOD have exhibited high levels of gene expression under Fe stress, which was consistent with the changes of the activity assayed in solution after 7 days of treatment. Analysis by proton induced X-ray emission exhibited an increasing uptake of Fe in plants by suppressing and expressing of other nutrient elements. The results of the present study suggest that higher concentration of Fe causes disturbance in nutrient balance and induces oxidative stress in plant.





Similar content being viewed by others
Explore related subjects
Discover the latest articles and news from researchers in related subjects, suggested using machine learning.References
Aebi HE (1983) Catalase. In: Bergmeyer H (ed) Method of enzymatic analysis. Chemie, Weinheim, pp 273–277
Alloush GA, Clark RB (2001) Maize response to phosphate rock and arbuscular mycorrhizal fungi in acidic soil. Commun Soil Sci Plant Anal 32(1–2):231–254. doi:10.1081/CSS-100103004
Appenroth KJ (2010) What are “heavy metals” in plant science. Acta Physiol Plant 32:615–619. doi:10.1007/s11738-009-0455-4
Asada K (1992) Ascorbate peroxidase a hydrogen peroxide scavenging enzyme in plants. Physiol Plant 85:235–241. doi:10.1111/j.1399-3054.1992.tb04728.x
Ashraf MY, Azhar N, Ashraf M, Hussain M, Arshad M (2011) Influence of lead on growth and nutrient accumulation in canola (Brassica napus L.) cultivars. J Environ Biol 32:659–666
Beauchamp C, Fridovich I (1971) Superoxide dismutase: improved assay applicable to acrylamide gels. Anal Biochem 44:276–287. doi:10.1016/0003-2697(71)90370-8
Bergmeyer HU (1974) Methods of enzymatic analysis, 2nd edn. Academic Press, New york
Bernhard R, Verkleij JAC, Nelissen HJM, Vink JPM (2005) Plant specific responses to zinc contamination in a semi-field lysimeter and on hydroponics. Environ Pollut 138:100–108. doi:10.1016/j.envpol.2005.02.015
Chongpraditnum P, Mori S, Chino M (1992) Excess copper induces a cytosolic Cu, Zn-superoxide dismutase in soybean root. Plant Cell Physiol 33:239–244
Clark RB, Zeto SK (2000) Mineral acquisition by arbuscular mycorrhizal plants. J Plant Nutr 23(7):867–902. doi:10.1080/01904160009382068
Cui Y, Wang Q (2006) Physiological responses of maize to elemental sulphur and cadmium stress. Plant Soil Environ 11:523–529
Das K, Samanta L, Chainy GBN (2000) A modified spectrophotometric assay of superoxide dismutase using nitrite formation by superoxide radicals. Indian J Biochem Biophys 37:201–204
Gill SS, Tuteja N (2010) Reactive oxygen species and antioxidant machinery in abiotic stress tolerance in crop plants. Plant Physiol Biochem 48:909–930. doi:10.1016/j.plaphy.2010.08.016
Halliwell B, Gutteridge JMC (2007) Free radicals in biology and medicine, 4th edn. Oxford University Press, New York
Hamill DE, Brewbaker JL (1969) Isoenzyme polymorphism in flowering plants. IV. The peroxidase isoenzymes of maize (Zea mays L.). Physiol Plant 22:945–958. doi:10.1111/j.1399-3054.1969.tb07453.x
Israr M, Jewell A, Kumar D, Sahi SV (2011) Interactive effects of lead, copper, nickel and zinc on growth, metal uptake and antioxidative metabolism of Sesbania drummondii. J Hazard Mater 186:1520–1526. doi:10.1016/j.jhazmat.2010.12.021
Jiang L, Zhang D, Shao Y, Yang S, Li T, Zhang Z, Li C (2012) Real-time quantitative PCR monitoring of antioxidant enzyme gene expression in wheat radicles treated with Cu2+ and Cd2+. Life Sci J 9:1679–1685
Khatun S, Ali MB, Hahn E, Paek K (2008) Copper toxicity in Withania somnifera: growth and antioxidant enzymes responses of in vitro plants. Environ Exp Bot 64:279–285. doi:10.1016/j.envexpbot.2008.02.004
Kwon SI, Lee H, An CS (2007) Differential expression of three catalase genes in the small radish (Rhphanus sativus L. var. sativus). Mol Cells 24:37–44
Laemmli UK (1970) Cleavage of structural proteins during the assembly of the head of bacteriophage T4. Nature 227:680–685. doi:10.1038/227680a0
Li X, Ma H, Jia P, Wang J, Jia L, Zhang T, Yang Y, Chen H, Wei X (2012) Responses of seedling growth and antioxidant activity to excess iron and copper in Triticum aestivum L. Ecotoxicol Environ Saf 86:47–53. doi:10.1016/j.ecoenv.2012.09.010
Liu Z, Chen W, He X (2011) Cadmium-induced changes in growth and antioxidative mechanisms of a medicine plant (Lonicera japonica Thunb.). J Med Plants Res 5:1411–1417
Lombardi L, Sebastiani L (2005) Copper toxicity in Prunus cerasifera: growth and antioxidant enzymes responses of in vitro grown plants. Plant Sci 168:797–802. doi:10.1016/j.plantsci.2004.10.012
Lowry OH, Rosebrough NJ, Farr AL, Randall RJ (1951) Protein measurement with the folin phenol reagent. J Biol Chem 193:265–275
Ma C, Wang PP, Cao ZY, Zhao YX, Zhang H (2003) Cloning and differential gene expression of two catalases in Suaeda salsa in response to salt stress. Acta Bot Sin 45:93–97
Mehraban P, Abdolzadeh A (2012) Effects of iron excess on the antioxidant activity and patterns of protein electrophoresis in Oryza sativa var. Shafagh. J Plant Prod 19:85–106
Mehraban P, Zadeh AA, Sadeghipour HR (2008) Iron toxicity in rice (Oryza sativa L.), under different potassium nutrition. Asian J Plant Sci 7:251–259. doi:10.3923/ajps.2008.251.259
Michiels C, Raes M, Toussaint O, Remacle J (1994) Importance of Se-glutathione peroxidase, catalase and Cu/Zn-SOD for cell survival against oxidative stress. Free Radic Biol Med 17:235–248. doi:10.1016/0891-5849(94)90079-5
Mulware SJ (2013) Comparative trace elemental analysis in cancerous and nanocancerous humam tissues using PIXE. J Biophy 2013:1–8. doi:10.1155/2013/192026
Murashige T, Skoog F (1962) A revised medium for rapid growth and bioassay with tobacco tissue cultures. Physiol Plant 15:473–497. doi:10.1111/j.1399-3054.1962.tb08052.x
Naz S, Pandey B, Shrivastava AK (2012) Significance of antioxidant enzymes in stress signaling in Withania sominifera (L.) Dunal. Int J Res BioSci 1:42–48
Oliva SR, Mingorance MD, Valdes B, Leidi EO (2010) Uptake, localization and physiological changes in response to copper excess in Erica andevalensis. Plant Soil 328:411–420. doi:10.1007/s11104-009-0121-z
Panda SK, Matsumoto H (2010) Changes in antioxidant gene expression and induction of oxidative stress in pea (Pisum sativum L.) under Al stress. Biometals 23:753–762. doi:10.1007/s10534-010-9342-0
Pedler JF, Kinraide TB, Parker DR (2004) Zn rhizotoxicity in wheat and radish is alleviated by micro molar levels of magnesium and potassium in solution culture. Plant Soil 259:191–199. doi:10.1023/B:PLSO.0000020958.42158.f5
Radotic K, Ducic T, Mutavdzic D (2000) Changes in perxidase activity and isoenzymes in spruce needles after exposure to different concentrations of cadmium. Environ Exp Bot 44:105–113. doi:10.1016/S0098-8472(00)00059-9
Rahnama H, Ebrahimzadeh H (2006) Antioxidant isoenzymes activities in potato plants (Solanum tuberosum L.) under salt stress. J Sci Islam Repub Iran 17:225–230
Rastgoo L, Alemzadeh A (2011) Biochemical responses of Gouan (Aeluropus littoralis) to heavy metals stress. Aust J Crop Sci 5:375–383
Rout JR, Sahoo SL (2012) Morphological and protein profile alterations in Withania somnifera L. with response to iron stress. Indian J Life Sci 2:21–25
Rout JR, Sahoo SL (2013) Antioxidant enzyme gene expression in response to copper stress in Withania somnifera L. Plant Growth Regul 71:95–99. doi:10.1007/s10725-013-9806-7
Rout JR, Ram SS, Das R, Chakraborty A, Sudarshan M, Sahoo SL (2013) Copper-stress induced alterations in protein profile and antioxidant enzymes activities in the in vitro grown Withania somnifera L. Physiol Mol Biol Plants 19:353–361. doi:10.1007/s12298-013-0167-5
Sambrook J, Fritsch EF, Maniatis T (1989) Molecular cloning: a laboratory mannual. Cold Spring Harbor Laboratory Press, New York
Scandalios JG, Guan L, Polidoros AN (1997) Catalase in plants: gene structure, properties, regulation and expression. In: Scandalios JG (ed) Oxidative stress and molecular biology of antioxidant defenses. Cold Spring Harbor Laboratory Press, Cold Spring Harbor, pp 343–406
Sharma SS, Dietz KJ (2009) The relationship between metal toxicity and cellular redox imbalance. Trends Plant Sci 14:43–50. doi:10.1016/j.tplants.2008.10.007
Sharma P, Jha AB, Dubey RS, Pessarakli M (2012) Reactive oxygen species, oxidative damage, and anti-oxidative defense mechanism in plants under stressful conditions. J Botany 2012:1–26. doi:10.1155/2012/217037
Sinha S, Saxena R (2006) Effect of iron on lipid peroxidation, and enzymatic and non-enzymatic antioxidants and bacoside-A content in medicinal plant Bacopa monnieri L. Chemosphere 62:1340–1350. doi:10.1016/j.chemosphere.2005.07.030
Sinha S, Saxena R, Singh S (2005) Chromium induced lipid peroxidation in the plants of Pistia stratiotes L.: role of antioxidants and antioxidant enzymes. Chemosphere 58:595–604. doi:10.1016/j.chemosphere.2004.08.071
Sudo E, Itouga M, Yoshida-Hatanaka K, Ono Y, Sakakibara H (2008) Gene expression and sensitivity in response to copper stress in rice leaves. J Exp Bot 59:3465–3474. doi:10.1093/jxb/ern196
Tanyolac D, Ekmekci Y, Unalan S (2007) Changes in photochemical and antioxidant enzyme activities in maize (Zea mays L.) leaves exposed to excess copper. Chemosphere 67:89–98. doi:10.1016/j.chemosphere.2006.09.052
Tereshonok DV, Stepanova AY, Dolgikh YI, Osipova ES, Belyaev DV, Kudoyarova GR, Vysotskaya LB, Vartapetian BB (2011) Effect of the ipt gene expression on wheat tolerance to root flooding. Russ J Plant Physiol 58:799–807. doi:10.1134/S1021443711050244
Thounaojam TC, Panda P, Mazumdar P, Kumar D, Sharma GD, Sahoo L, Panda SK (2012) Excess copper induced oxidative stress and response of antioxidants in rice. Plant Physiol Biochem 53:33–39. doi:10.1016/j.plaphy.2012.01.006
Treeby M, Marschner H, Römheld V (1989) Mobilization of iron and other micronutrient cations from a calcareous soil by plant-borne, microbial and synthetic metal chelators. Plant Soil 114:217–226. doi:10.1007/BF02220801
Vijayarengan P (2012) Mineral nutrient variations in rice (Oryza sativa) after treatment with exogenous cadmium. Int J Environ Biol 2:147–152
Wang FZ, Wang QB, Kwon SY, Kwak SS, Su WA (2005) Enhanced drought tolerance of transgenic rice plants expressing a pea manganese superoxide dismutase. J Plant Physiol 162:465–472. doi:10.1016/j.jplph.2004.09.009
Wang Y, Wisniewski M, Meilan R, Uratsu SL, Cui M, Dandekar A, Fuchigami L (2007) Ectopic expression of Mn-SOD in Lycopersicon esculentum leads to enhanced tolerance to salt and oxidative stress. J Appl Hortic 9:3–8
Wang C, Zhang SH, Wang PF, Hou J, Zhang WJ, Li W, Lin ZP (2009) The effect of excess Zn on mineral nutrition and antioxidative response in rapeseed seedlings. Chemosphere 75:1468–1476. doi:10.1016/j.chemosphere.2009.02.033
Wani PA, Khan MS, Zaidi A (2008) Effect of heavy metal toxicity on growth, symbiosis, seed yield and metal uptake in pea grown in metal amended soil. Bull Environ Contam Toxicol 81:152–158. doi:10.1007/s00128-008-9383-z
Woodbury W, Spencer A, Stahman M (1971) An improved procedure using ferricyanide for detecting catalase isozymes. Anal Biochem 44:301–305. doi:10.1016/0003-2697(71)90375-7
Wu TM, Hsu YT, Lee TM (2009) Effects of cadmium on the regulation of antioxidant enzyme activity, gene expression, and antioxidant defenses in the marine macroalga Ulva fasciata. Bot Stud 50:25–34
Acknowledgments
The authors like to thank the Director, Institute of Physics, Bhubaneswar for providing ion beam laboratory to study the metal analysis by PIXE. This work is financially supported by UGC-DAE Consortium for Scientific Research, Kolkata, India (Grant No. UGC-DAE-CSR-KC/CRS/2009/TE-01/1539), SAP-DRS Programme of UGC, New Delhi and Department of Biotechnology, Government of India, New Delhi, India.
Conflict of interest
The authors declare that they have no conflict of interest.
Author information
Authors and Affiliations
Corresponding author
Rights and permissions
About this article
Cite this article
Rout, J.R., Behera, S., Keshari, N. et al. Effect of iron stress on Withania somnifera L.: antioxidant enzyme response and nutrient elemental uptake of in vitro grown plants. Ecotoxicology 24, 401–413 (2015). https://doi.org/10.1007/s10646-014-1389-1
Accepted:
Published:
Issue Date:
DOI: https://doi.org/10.1007/s10646-014-1389-1

