Abstract
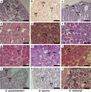
The demography and reproductive biology of three Epinephelus groupers (Serranidae), namely E. polyphekadion, E. tauvina, and E. howlandi in the Yaeyama Islands, Okinawa, were examined based on age assessment using otoliths and gonadal histology. The maximum ages for these three species were 26 year, 23 year, and 17 year. The von Bertalanffy growth functions were also determined for each species. The size and age at 50% female maturity were estimated to be 358 mm in total length (TL) and 6.0 year for E. polyphekadion, 371 mm TL and 6.7 year for E. tauvina, and 327 mm TL and 4.1 year for E. howlandi, respectively. Significant differences between the sexes in size and age frequencies were found in all three species, with males being larger and older than females, or transitional individuals. These results strongly indicated that the population of these three grouper species showed monandric protogynous hermaphroditism. The sex ratios of E. polyphekadion and E. tauvina were biased in favor of females, but that of E. howlandi was equivalent between sexes. The relative sizes of ripe testes indicated that the intensity of sperm competition varied among species suggesting different mating system of each species. Reproductive seasonality was similar among species, with active vitellogenesis coinciding with the annual rise in water temperature. The active spawning period was determined to be between April and May for E polyphekadion, in May for E. howlandi, and from March to June for E. tauvina.












Similar content being viewed by others
References
Abu-Hakima R (1987) Aspects of the reproductive biology of the grouper, Epinephelus tauvina (Foskål), in Kuwaiti waters. J Fish Biol 30:213–222
Adams S (2003) Morphological ontogeny of the gonad of three plectropomid species through sex differentiation and transition. J Fish Biol 63:22–36
Akita Y, Tachihara K (2014) Age, growth, maturity, and sex changes of monogrammed monocle bream Scolopsis monogramma in the waters around Okinawa-jima Island, Japan. Fish Sci 80:679–685
Akita Y, Yamauchi M (2012) Fishing survey around reserved spawning site of Yaeyama Islands. Annual Report of Okinawa Prefectural Fisheries Research and Extension Center 73:29-36 (in Japanese)
Akita Y, Ohta I, Ebisawa A (2011) Body length frequency of coral reef fishes around the Yaeyama Islands. Annual Report of Okinawa Prefectural Fisheries Research and Extension Center 72:25-40 (in Japanese)
Akita Y, Ohta I, Ebisawa A, Uehara M (2015) Fishery statistics of coral reef fish in the Yaeyama Islands from 1989 to 2013. Annual Report of Okinawa Prefectural Fisheries Research and Extension Center 75:65-88 (in Japanese)
Alonzo SH, Mangel M (2004) The effects of size-selective fisheries on the stock dynamics of and sperm limitation in sex-changing fish. Fish Bull 102:1–13
Armsworth PR (2001) Effects of fishing on a protogynous hermaphrodite. Can J Fish Aquat Sci 58:568–578
Brown-Peterson NJ, Wyanski DM, Saborido-Rey F, Macewicz BJ, Lowerre-Barbieri SK (2011) A standard terminology for describing reproductive development of fishes. Mar Coast Fish: Dyn Manag Ecosyst Sci 3:52–70
Bruslé-Sicard S, Debas L, Fourcault B, Fuchs J (1992). Ultrastructural study of sex inversion in a protogynous hermaphrodite, Epinephelus microdon (Teleostei, Serranidae). Reproduction Nutrition Development, EDP Sciences, 1992, 32 (4), pp. 393-406. <hal-00899526>
Campana SE (2001) Accuracy, precision and quality control in age determination, including a review of the use and abuse of age validation methods. J Fish Biol 59:197–242
Choat JH, Robertoson DR (2002) Age-Based Studies. In: Sale PF (ed) Coral Reef Fishes. Dynamics and Diversity in a Complex Ecosystems. Academic Press, pp 57-80
Coleman FC, Koenig CC, Huntsman GR, Musick JA, Eklund AM, JC MG, Chapman RW, Sedbery GR, Grimes CB (2000) Long-lived reef fishes: the grouper-snapper complex. Fisheries 25:14–20
Domeier ML, Colin PL (1997) Tropical reef fish spawning aggregations: defined and reviewed. Bull Mar Sci 60:698–726
Ebisawa A (1999) Reproductive and sexual characteristics in the Pacific yellowtail emperor, Lethrinus atkinsoni, in waters off the Ryukyu Islands. Ichthyol Res 46:341–358
Ebisawa A (2006) Reproductive and sexual characteristics in five Lethrinus species in waters off the Ryukyu Islands. Ichthyol Res 53:269–280
Ebisawa A (2013) Life history traits of leopard coralgrouper Plectropomus leopardus in the Okinawa Islands, southwestern Japan. Fish Sci 79:911–921
Edwards RRC, Bakhader A, Shaher S (1985) Growth, mortality, age composition and fisheries yields of fish from the Gulf of Aden. J Fish Biol 27:13–21
El-Sayed AFM (1999) Reproductive biology of grouper fish Epinephelus tauvina (Family Serranidae) in the Arabian Gulf waters. J Mar Sci 28:89–91
Erisman BE, Buckhorn ML, Hastings PA (2007) Spawning patterns in the leopard grouper, Mycteroperca rosacea, in comparison with other aggregating groupers. Mar Biol 151:1849–1861
Erisman BE, Rosales-Casián JA, Hastings PA (2008) Evidence of gonochorism in a grouper, Mycteroperca rosacea, from the Gulf of California, Mexico. Environ Biol Fish 82:23–33
Erisman BE, Craig MT, Hastings PA (2009) A phylogenetic test of the size-adavantage model: evolutionary changes in mating behavior influence the loss of sex change in a fish lineage. Am Nat 174:E83–E99
Fennessy ST (2006) Reproductive biology and growth of the yellowbelly rockcod Epinephelus marginatus (Serranidae) from South-East Africa. Afr J Mar Sci 28:1–16
Fennessy ST, Sadovy Y (2002) Reproductive biology of a diandric protogynous hermaphrodite, the serranid Epinephelus andersoni. Mar Freshw Res 53:147–158
Grandcourt E (2005) Demographic characteristics of selected epinepheline groupers (Family: Serranidae; Subfamily: Epinephelinae) from Aldabra Atoll, Seychelles. Atoll Res Bull 539:201–216
Grier HJ (1981) Cellular organization of the testis and spermatogenesis in fishes. Am Zool 21:245–363
Hamilton RJ, Matawai M, Potuku T, Kama W, Lahui P, Warku J, Smith AJ (2005) Applying local knowledge and science to the management of grouper aggregation sites in Melanesia. SPC Live Reef Fish Information Bulletin 14:7–19
Hamilton RJ, Adams S, Choat JH (2008) Sexual development and reproductive demography of the green humphead parrotfish (Bolbometopon muricatum)in the Solomon Islands. Coral Reefs 27:153–163
Heemstra PC, Randall JE (1993) FAO Species Catalogue, Vol. 16. Groupers of the world (Family Serranidae, Subfamily Epinephelinae). An annotated and illustrated catalogue of the grouper, rockcod, hind, coral grouper and lyretail species known to date. Roma: FAO
Huntsman GR, Schaaf WE (1994) Simulation of the impact of fishing on reproduction of a protogynous grouper, the graysby. N Am J Fish Manag 14:41–52
Johannes RE (1978) Reproductive strategies of coastal marine fishes in the tropics. Environ Biol Fish 3:65–84
Johannes RE, Squire L, Sadovy Y, Renguul H (1999) Spawning aggregations of groupers (Serranidae) in Palau. Marine Conservation Research Series Publ. No. 1, The Nature Conservancy
Kaunda-Arara B, Rose GA (2004) Homing and site fidelity in the greasy grouper Epinephelus tauvina (Serranidae) within a marine protected area in coastal Kenya. Mar Ecol Prog Ser 277:245–251
Kulbicki M (2008) Epinephelus howlandi. The IUCN Red List of Threatened Species 2008: e.T132829A3463254. https://doi.org/10.2305/IUCN.UK.2008.RLTS.T132829A3463254.en
Lee YD, Park SH, Takemura A, Takano K (2002) Histological observations of seasonal reproductive and lunar-related spawning cycles in the female honeycomb grouper Epinephelus merra in Okinawan waters. Fish Sci 68:872–883
Manooch CS (1987) Age and growth of snappers and groupers. In: Polvina JJ, Ralston S (eds) Tropical snappers and groupers: biology and fisheries management. Westview Press, Boulder, Colorado, pp 329–373
Mapleston A, Currey LM, Williams AJ, Pears R, Simpfendorfer CA, Penny AL, Tobin A, Welch D (2009) Comparative biology of key inter-reefal serranid species on the Great Barrier Reef. Project Milestone Report to the Marine and Tropical Sciences Research Facility. Cairns: Reef and Rainforest Research Centre Limited. http://www.rrrc.org.au/mtsrf/theme_4/project_4_8_3.html
Marques S, Ferreira BP (2011) Sexual development and reproductive pattern of the Mutton hamlet, Alphestes afer (Teleostei: Epinephelidae): a diandric, hermaphroditic reef fish. Neotrop Ichthyol 9:547–558
Matheson RH, Huntsman GR (1984) Growth, mortality, and yeild-per-recruit models for speckled hind and snowy grouper from the United States South Atlantic Bight. Trans Am Fish Soc 113:607–616
Molloy PP, Goodwin NB, Côté IM, Reynolds JD, Gage MJG (2007) Sperm competition and sex change: a comparative analysis across fishes. Evolution:640–652
Nanami A, Okuzawa K, Yamada H, Suzuki N, Aonuma Y (2010b) Reproductive activity in the checkered snapper, Lutjanus decussatus, off Ishigaki Island, Okinawa. Ichthyol Res 57:314–318
Nanami A, Sato T, Ohta I, Akita Y, Suzuki N (2013) Preliminary observations of spawning behavior of white-streaked grouper (Epinephelus ongus) in an Okinawan coral reef. Ichthyol Res 60:380–385
Nanami A, Kurihara T, Kurita Y, Aonuma Y, Suzuki N, Yamada H (2010a) Age, growth and reproduction of the humpback red snapper Lutjanus gibbus off Ishigaki Island, Okinawa. Ichthyol Res 57:240–244
Ohta I (2007) Current status of coral reef fish fisheries in the Yaeyama Islands. Annual Report of Okinawa Prefectural Fisheries and Ocean Research Center 68:189-196 (in Japanese)
Ohta I (2008) Current status of coral reef fish fisheries in the Yaeyama Islands II. Annual Report of Okinawa Prefectural Fisheries and Ocean Research Center 69:95-102 (in Japanese)
Ohta I, Ebisawa A (2015) Reproductive biology and spawning aggregation fishing of the white-streaked grouper, Epinephelus ongus, associated with seasonal and lunar cycles. Environ Biol Fish 98:1555–1570
Ohta I, Ebisawa A (2016) Age-based demography and sexual pattern of the white-streaked grouper, Epinephelus ongus, in Okinawa. Environ Biol Fish 99:741–751
Ohta I, Ebisawa A (2017) Inter-annual variation of the spawning aggregations of the white-streaked grouper Epinephelus ongus, in relation to the lunar cycle and water temperature fluctuation. Fish Oceanogr 26:350–363
Ohta I, Kudo T, Ebisawa A (2007) Current status of coral reef fish fisheries in the Yaeyama Islands. Annual Report of Okinawa Prefectural Fisheries and Ocean Research Center 67:165-175 (in Japanese)
Pears RJ, Choat JH, Mapstone BD, Begg GA (2006) Demography of a large grouper, Epinephelus fuscoguttatus, from Australia's Great Barrier Reef: implications for fishery management. Mar Ecol Prog Ser 307:259–272
Rhodes KL, Sadovy Y (2002a) Temporal and spatial trends in spawning aggregations of camouflage grouper, Epinephelus polyphekadion, in Pohnpei, Micronesia. Environ Biol Fish 63:27–39
Rhodes KL, Sadovy Y (2002b) Reproduction in the camouflage grouper (Pisces: Serranidae) in Pohnpei, Federated States of Micronesia. Bull Mar Sci 70:851–869
Rhodes KL, Tupper MH (2007) A preliminary market-based analysis of the Pohnpei, Micronesia, grouper (Serranidae: Epinephelinae) fishery reveals unsustainable fishing practice. Coral Reefs 26:335–344
Rhodes KL, Taylor BM, McIlwain JL (2011) Detailed demographic analysis of an Epinephelus polyphekadion spawning aggregation and fishery. Mar Ecol Prog Ser 421:183–198
Rhodes KL, Russell B, Pollard D, Kulbicki M (2008) Epinephelus tauvina. The IUCN Red List of Threatened Species 2008: e.T132758A3443010. https://doi.org/10.2305/IUCN.UK.2008.RLTS.T132758A3443010.en
Rhodes KL, Nemeth RS, Kadison E, Joseph E (2014) Spatial, temporal, and environmental dynamics of a multi-species epinephelid spawning aggregation in Ponpei, Micronesia. Coral Reefs 33:765–775
Robinson J, Aumeeruddy R, Jörgensen TL, Öhman MC (2008) Dynamics of camouflage (Epinephelus polyphekadion) and brown marbled grouper (Epinephelus fuscoguttatus) spawning aggregations at a remote reef site, Seychelles. Bull Mar Sci 83:415–431
Russell B, Situ A, Cornish A (2006) Epinephelus polyphekadion. The IUCN Red List of Threatened Species 2006: e.T61339A12464342. https://doi.org/10.2305/IUCN.UK.2006.RLTS.T61339A12464342.en
Sadovy Y, Colin PL (1995) Sexual development and sexuality in the Nassau grouper. J Fish Biol 46:961–976
Sadovy Y, Shapiro DY (1987) Criteria for the diagnosis of hermaphroditism in Fishes. Copeia 1987:136–162
Sadovy Y, Ekulund AM (1999) Synopsis of biological data on the Nassau grouper, Epinephelus striatus (Bloch, 1792) and the jewfish, E. itajara (Lichtenstein, 1822). NOAA Technical Report National Marine Fisheries Service 146:1-65
Sadovy Y, Flguerola M, Román A (1992) Age and growth of red hind Epinephelus guttatus in Puerto Rico and St. Thomas. Fish Bull 90:516–528
Sadovy Y, Rosario A, Román A (1993) Reproduction in an aggregating grouper, the red hind, Epinephelus guttatus. Environ Biol Fish 41:269–286
Sadovy de Mitcheson Y (2016) Mainstreaming fish spawning aggregations into fishery management calls for a precautionary approach. Bioscience XX:1–12. https://doi.org/10.1093/biosci/biw013
Sadovy de Mitcheson Y, Liu M (2008) Functional hermaphroditism in teleosts. Fish Fish 9:1–48
Sadovy de Mitcheson Y, Colin PL (2012) Appendix: species that form spawning aggregation. In: Sadovy de Mitcheson Y, Colin PL (eds) Reef Fish Spawning aggregations: Biology, Research and Management. Fish and Fisheries Series 35, Springer, pp 595-604
Sadovy de Mitcheson Y, Craig MT, Bertoncini AA, Carpenter KE, Cheung WWL, Choat JH, Cornish AS, Fennessy ST, Ferreira BP, Heemstra PC, Liu M, Myers RF, Pollard DA, Rhodes KL, Rocha LA, Russell BC, Samoilys MA, Sanciangco J (2013) Fishing groupers towards extinction: a global assessment of threats and extinction risks in a billion dollar fishery. Fish Fish 14:119–136
Shapiro DY (1987) Reproduction in groupers. In: Polvina JJ, Ralston S (eds) Tropical snappers and groupers: biology and fisheries management. Westview Press, Boulder, Colorado, pp 295–327
Shapiro DY, Sadovy Y, McGehee MA (1993) Periodicity of sex change and reproduction in the red hind, Epinephelus guttatus, a protogynous grouper. Bull Mar Sci 53:1151–1168
Shimose T, Nanami A (2014) Age, growth, and reproductive biology of blacktail snapper, Lutjanus fulvus, around the Yaeyama Islands, Okinawa, Japan. Ichthyol Res 61:322–331
Shimose T, Nanami A (2015) Age, growth and reproduction of the blackspot snapper Lutjanus fulviflammus (Forsskål 1775) around Yaeyama Islands, southern Japan, between 2010 and 2014. J Appl Ichthyol 2015:1–8
Siau Y (1994) Population structure, reproduction and sex-change in a tropical east Atlantic grouper. J Fish Biol 44:205–211
Stockley P, Gage MJG, Parker GA, Møller AP (1997) Sperm competition in fishes: the evolution of testis size and ejaculate characteristics. Am Nat 149:933–954
Teruya K, Masuma S, Hondo Y, Hamasaki K (2008) Spawning season, lunar-related spawning and mating systems in the camouflage grouper Epinephelus polyphekadion at Ishigaki Island, Japan. Aquac Sci 56:359–374
Warner RR, Hoffman SG (1980) Local population size as a determinant of mating system and sexual composition in two tropical marine fishes (Thalassoma spp.) Evolution 34:508–518
Warner RR (1984) Mating behavior and hermaphroditism in coral reef fishes. Am Sci 72:128–136
Williams AJ, Davies CR, Mapstone BD, Currey LM, Welch DJ, Begg GA, Ballagh AC, Choat JH, Murchie CD, Simpfendorfer CA (2009) Age-based demography of humpback grouper Cromileptes altivelis: implications for fisheries management and conservation. Endanger Species Res 9:67–79
Zar JH (1984) Biostatistical Analysis, Second edn. Prentice-Hall, NJ
Acknowledgements
We sincerely thank all the fishermen of Yaeyama Fisheries Cooperative who provided us with a great deal of information on fishery and the ecology of fishes. We thank I. Yamamoto, Y. Fukuda, A. Yano, T. Yohena, Masaya Yoshida, K. Iwamoto, T. Arimitsu, Maki Yoshida, K. Kida, S. Samejima, K. Matsuzaki, A. Shingaki, Y. Tanaka, A. Matake, M. Ono, A. Ashitomi, Y. Yamashiro, and M. Tomizato for their assistance. We also thank anonymous reviewers for constructive comments on the manuscripts. This study was supported by the Okinawa prefectural government and the government subsidy related Okinawa Promotion.
Author information
Authors and Affiliations
Corresponding author
Rights and permissions
About this article
Cite this article
Ohta, I., Akita, Y., Uehara, M. et al. Age-based demography and reproductive biology of three Epinephelus groupers, E. polyphekadion, E. tauvina, and E. howlandi (Serranidae), inhabiting coral reefs in Okinawa. Environ Biol Fish 100, 1451–1467 (2017). https://doi.org/10.1007/s10641-017-0655-5
Received:
Accepted:
Published:
Issue Date:
DOI: https://doi.org/10.1007/s10641-017-0655-5


