Summary
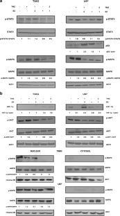
Development of drug resistance after standard chemotherapy for glioblastoma multiforme (GBM) with temozolomide (TMZ) is associated with poor prognosis of GBM patients and is at least partially mediated by a direct DNA repair pathway involving O6-methylguanine methyltransferase (MGMT). This enzyme is under post-translational control by a multisubunit proteolytic cellular machinery, the 26S proteasome. Inhibition of the proteasome by bortezomib (BZ), a boronic acid dipeptide already in clinical use for the treatment of myeloma, has been demonstrated to induce growth arrest and apoptosis in GBM cells. In this study we investigated the effect of sequential treatment with BZ and TMZ on cell proliferation-viability and apoptosis of the human T98G and U87 GBM cell lines. We also tested for an effect of treatment on MGMT expression and important upstream regulators of the latter, including nuclear factor kappa B (NFκB), p44/42 mitogen-activated protein kinase (MAPK), p53, signal transducer and activator of transcription 3 (STAT3) and hypoxia-inducible factor 1α (HIF-1α). The sequence of drug administration for maximal cytotoxicity favored BZ prior to TMZ in T98G cells while the opposite was the case for U87 cells. Maximal efficacy was associated with downregulation of MGMT, reduced IκBα-mediated proteasome-dependent nuclear accumulation of NFκB, attenuation of p44/42 MAPK, AKT and STAT3 activation, and stabilization of p53 and inactive HIF-1α. Collectively, these results suggest that proteasome inhibition by BZ overcomes MGMT-mediated GBM chemoresistance, with scheduling of administration being critical for obtaining the maximal tumoricidal effect of combination with TMZ.
This is a preview of subscription content, access via your institution.





References
Preusser M, de Ribaupierre S, Wöhrer A et al (2011) Current concepts and management of glioblastoma. Ann Neurol 70:9–21
Christmann M, Verbeek B, Roos WP, Kaina B (1816) O(6)-Methylguanine-DNA methyltransferase (MGMT) in normal tissues and tumors: Enzyme activity, promoter methylation and immunohistochemistry. Biochim Biophys Acta 2011:179–190
Xu-Welliver M, Pegg AE (2002) Degradation of the alkylated form of the DNA repair protein, O(6)-alkylguanine-DNA alkyltransferase. Carcinogenesis 23:823–830
Hegi ME, Liu L, Herman JG et al (2008) Correlation of O6-methylguanine methyltransferase (MGMT) promoter methylation with clinical outcomes in glioblastoma and clinical strategies to modulate MGMT activity. J Clin Oncol 26:4189–4199
Harris LC, Remack JS, Houghton PJ, Brent TP (1996) Wild-type p53 suppresses transcription of the human O6-methylguanine-DNA methyltransferase gene. Cancer Res 56:2029–2032
Chen FY, Harris LC, Remack JS, Brent TP (1997) Cytoplasmic sequestration of an O6-methylguanine-DNA methyltransferase enhancer binding protein in DNA repair-deficient human cells. Proc Natl Acad Sci U S A 94:4348–4353
Boldogh I, Ramana CV, Chen Z, Biswas T, Hazra TK, Grösch S, Grombacher T, Mitra S, Kaina B (1998) Regulation of expression of the DNA repair gene O6-methylguanine-DNA methyltransferase via protein kinase C-mediated signaling. Cancer Res 58:3950–3956
Biswas T, Ramana CV, Srinivasan G, Boldogh I, Hazra TK, Chen Z, Tano K, Thompson EB, Mitra S (1999) Activation of human O6-methylguanine-DNA methyltransferase gene by glucocorticoid hormone. Oncogene 18:525–532
Bhakat KK, Mitra S (2000) Regulation of the human O(6)-methylguanine-DNA methyltransferase gene by transcriptional coactivators cAMP response element-binding protein-binding protein and p300. J Biol Chem 275:34197–34204
Lavon I, Fuchs D, Zrihan D, Efroni G, Zelikovitch B, Fellig Y, Siegal T (2007) Novel mechanism whereby nuclear factor kappaB mediates DNA damage repair through regulation of O(6)-methylguanine-DNA-methyltransferase. Cancer Res 67:8952–8959
Bocangel D, Sengupta S, Mitra S, Bhakat KK (2009) p53-mediated down-regulation of the human DNA repair gene O6-methylguanine-DNA methyltransferase (MGMT) via interaction with Sp1 transcription factor. Anticancer Res 29:3741–3750
Sato A, Sunayama J, Matsuda K, Seino S, Suzuki K, Watanabe E, Tachibana K, Tomiyama A, Kayama T, Kitanaka C (2011) MEK-ERK signaling dictates DNA-repair gene MGMT expression and temozolomide resistance of stem-like glioblastoma cells via the MDM2-p53 axis. Stem Cells 29:1942–1951
Persano L, Pistollato F, Rampazzo E, Della Puppa A, Abbadi S, Frasson C, Volpin F, Indraccolo S, Scienza R, Basso G (2012) BMP2 sensitizes glioblastoma stem-like cells to TMZ by affecting HIF-1α stability and MGMT expression. Cell Death Dis 3:e412. doi:https://doi.org/10.1038/cddis.2012.153
Kohsaka S, Wang L, Yachi K, Mahabir R, Narita T, Itoh T, Tanino M, Kimura T, Nishihara H, Tanaka S (2012) STAT3 inhibition overcomes TMZ resistance in GBM by downregulating MGMT expression. Mol Cancer Ther 11:1289–1299
Zhang W, Zhang J, Hoadley K, Kushwaha D, Ramakrishnan V, Li S, Kang C, You Y, Jiang C, Song SW, Jiang T, Chen CC (2012) miR-181d: a predictive glioblastoma biomarker that downregulates MGMT expression. Neuro Oncol 14:712–719
Adams J (2003) The proteasome: structure, function, and role in the cell. Cancer Treat Rev 29(Suppl 1):3–9
Yin D, Zhou H, Kumagai T, Liu G, Ong JM, Black KL, Koeffler HP (2005) Proteasome inhibitor PS-341 causes cell growth arrest and apoptosis in human glioblastoma multiforme (GBM). Oncogene 24:344–354
Tianhu Z, Shiguang Z, Xinghan L (2010) Bmf is upregulated by PS-341-mediated cell death of glioma cells through JNK phosphorylation. Mol Biol Rep 37:1211–1219
Unterkircher T, Cristofanon S, Vellanki SH, Nonnenmacher L, Karpel-Massler G, Wirtz CR, Debatin KM, Fulda S (2011) BZ primes glioblastoma, including glioblastoma stem cells, for TRAIL by increasing tBid stability and mitochondrial apoptosis. Clin Cancer Res 17:4019–4030
Seol DW (2011) p53-Independent up-regulation of a TRAIL receptor DR5 by proteasome inhibitors: a mechanism for proteasome inhibitor-enhanced TRAIL-induced apoptosis. Biochem Biophys Res Commun 416:222–225
Kubicek GJ, Werner-Wasik M, Machtay M, Mallon G, Myers T, Ramirez M, Andrews D, Curran WJ Jr, Dicker AP (2009) Phase I trial using proteasome inhibitor BZ and concurrent TMZ and radiotherapy for central nervous system malignancies. Int J Radiat Oncol Biol Phys 74:433–439
Portnow J, Frankel P, Koehler S, Twardowski P, Shibata S, Martel C, Morgan R, Cristea M, Chow W, Lim D, Chung V, Reckamp K, Leong L, Synold TW (2012) A phase I study of bortezomib and temozolomide in patients with advanced solid tumors. Cancer Chemother Pharmacol 69:505–514
Fischel JL, Formento P, Milano G (2005) Epidermal growth factor receptor double targeting by a tyrosine kinase inhibitor (Iressa) and a monoclonal antibody (Cetuximab) Impact on cell growth and molecular factors. Br J Cancer 92:1063–1068
Voutsadakis IA, Patrikidou A, Tsapakidis K, Karagiannaki A, Hatzidaki E, Stathakis NE, Papandreou CN (2010) Additive inhibition of colorectal cancer cell lines by aspirin and bortezomib. Int J Colorectal Dis 25:795–804
Patrikidou A, Vlachostergios PJ, Voutsadakis IA, Hatzidaki E, Valeri RM, Destouni C, Apostolou E, Daliani D, Papandreou CN (2011) Inverse baseline expression pattern of the NEP/neuropeptides and NFκB/proteasome pathways in androgen-dependent and androgen-independent prostate cancer cells. Cancer Cell Int 11:13
Hirose Y, Berger MS, Pieper RO (2001) Abrogation of the Chk1-mediated G(2) checkpoint pathway potentiates temozolomide-induced toxicity in a p53-independent manner in human glioblastoma cells. Cancer Res 61:5843–5849
Hirose Y, Berger MS, Pieper RO (2001) p53 effects both the duration of G2/M arrest and the fate of temozolomide-treated human glioblastoma cells. Cancer Res 61:1957–1963
Bredel M, Bredel C, Juric D, Duran GE, Yu RX, Harsh GR, Vogel H, Recht LD, Scheck AC, Sikic BI (2006) Tumor necrosis factor-alpha-induced protein 3 as a putative regulator of nuclear factor-kappaB-mediated resistance to O6-alkylating agents in human glioblastomas. J Clin Oncol 24:274–287
Roccaro AM, Vacca A, Ribatti D (2006) Bortezomib in the treatment of cancer. Recent Pat Anticancer Drug Discov 1:397–403
Yamini B, Yu X, Dolan ME, Wu MH, Darga TE, Kufe DW, Weichselbaum RR (2007) Inhibition of nuclear factor-kappaB activity by temozolomide involves O6-methylguanine induced inhibition of p65 DNA binding. Cancer Res 67:6889–6898
Belanich M, Randall T, Pastor MA, Kibitel JT, Alas LG, Dolan ME, Schold SC Jr, Gander M, Lejeune FJ, Li BF, White AB, Wasserman P, Citron ML, Yarosh DB (1996) Intracellular Localization and intercellular heterogeneity of the human DNA repair protein O(6)-methylguanine-DNA methyltransferase. Cancer Chemother Pharmacol 37:547–555
Pore N, Jiang Z, Shu HK, Bernhard E, Kao GD, Maity A (2006) Akt1 activation can augment hypoxia-inducible factor-1alpha expression by increasing protein translation through a mammalian target of rapamycin-independent pathway. Mol Cancer Res 4:471–479
Mylonis I, Chachami G, Samiotaki M, Panayotou G, Paraskeva E, Kalousi A, Georgatsou E, Bonanou S, Simos G (2006) Identification of MAPK phosphorylation sites and their role in the localization and activity of hypoxia-inducible factor-1alpha. J Biol Chem 281:33095–33106
Befani CD, Vlachostergios PJ, Hatzidaki E, Patrikidou A, Bonanou S, Simos G, Papandreou CN, Liakos P (2012) Bortezomib represses HIF-1α protein expression and nuclear accumulation by inhibiting both PI3K/Akt/TOR and MAPK pathways in prostate cancer cells. J Mol Med (Berl) 90:45–54
Weller M, Stupp R, Hegi ME, van den Bent M, Tonn JC, Sanson M, Wick W, Reifenberger G (2012) Personalized care in neuro-oncology coming of age: why we need MGMT and 1p/19q testing for malignant glioma patients in clinical practice. Neuro Oncol 14(Suppl 4):iv100–iv108
Korkolopoulou P, Levidou G, Saetta AA, El-Habr E, Eftichiadis C, Demenagas P, Thymara I, Xiromeritis K, Boviatsis E, Thomas-Tsagli E, Panayotidis I, Patsouris E (2008) Expression of nuclear factor-kappaB in human astrocytomas: relation to pI kappa Ba, vascular endothelial growth factor, Cox-2, microvascular characteristics, and survival. Hum Pathol 39:1143–1152
Saetta AA, Levidou G, El-Habr EA, Panayotidis I, Samaras V, Thymara I, Sakellariou S, Boviatsis E, Patsouris E, Korkolopoulou P (2011) Expression of pERK and pAKT in human astrocytomas: correlation with IDH1-R132H presence, vascular endothelial growth factor, microvascular characteristics and clinical outcome. Virchows Arch 458:749–759
Wang Y, Chen L, Bao Z, Li S, You G, Yan W, Shi Z, Liu Y, Yang P, Zhang W, Han L, Kang C, Jiang T (2011) Inhibition of STAT3 reverses alkylator resistance through modulation of the AKT and β-catenin signaling pathways. Oncol Rep 26:1173–1180
Piperi C, Samaras V, Levidou G, Kavantzas N, Boviatsis E, Petraki K, Grivas A, Barbatis C, Varsos V, Patsouris E, Korkolopoulou P (2011) Prognostic significance of IL-8-STAT-3 pathway in astrocytomas: correlation with IL-6, VEGF and microvessel morphometry. Cytokine 55:387–395
Mashiko R, Takano S, Ishikawa E, Yamamoto T, Nakai K, Matsumura A (2011) Hypoxia-inducible factor 1α expression is a prognostic biomarker in patients with astrocytic tumors associated with necrosis on MR image. J Neurooncol 102:43–50
Korkolopoulou P, Patsouris E, Konstantinidou AE, Pavlopoulos PM, Kavantzas N, Boviatsis E, Thymara I, Perdiki M, Thomas-Tsagli E, Angelidakis D, Rologis D, Sakkas D (2004) Hypoxia-inducible factor 1alpha/vascular endothelial growth factor axis in astrocytomas. Associations with microvessel morphometry, proliferation and prognosis. Neuropathol Appl Neurobiol 30:267–278
Hideshima T, Chauhan D, Hayashi T, Akiyama M, Mitsiades N, Mitsiades C, Podar K, Munshi NC, Richardson PG, Anderson KC (2003) Proteasome inhibitor PS-341 abrogates IL-6 triggered signaling cascades via caspase-dependent downregulation of gp130 in multiple myeloma. Oncogene 22:8386–8893
Chun YS, Kim MS, Park JW (2002) Oxygen-dependent and -independent regulation of HIF-1alpha. J Korean Med Sci 17:581–588
Dey A, Wong E, Kua N, Teo HL, Tergaonkar V, Lane D (2008) Hexamethylene bisacetamide (HMBA) simultaneously targets AKT and MAPK pathway and represses NF kappaB activity: implications for cancer therapy. Cell Cycle 7:3759–3767
Chen KF, Liu CY, Lin YC, Yu HC, Liu TH, Hou DR, Chen PJ, Cheng AL (2010) CIP2A mediates effects of bortezomib on phospho-Akt and apoptosis in hepatocellular carcinoma cells. Oncogene 29:6257–6266
Ng K, Nitta M, Hu L, Kesari S, Kung A, D’Andrea A, Chen CC (2009) A small interference RNA screen revealed proteasome inhibition as strategy for glioblastoma therapy. Clin Neurosurg 56:107–118
Fisher T, Galanti G, Lavie G, Jacob-Hirsch J, Kventsel I, Zeligson S, Winkler R, Simon AJ, Amariglio N, Rechavi G, Toren A (2007) Mechanisms operative in the antitumor activity of temozolomide in glioblastoma multiforme. Cancer J 13(5):335–344
Brell M, Ibáñez J, Tortosa A (2011) O6-Methylguanine-DNA methyltransferase protein expression by immunohistochemistry in brain and non-brain systemic tumours: systematic review and meta-analysis of correlation with methylation-specific polymerase chain reaction. BMC Cancer 11:35
Sonoda Y, Yokosawa M, Saito R, Kanamori M, Yamashita Y, Kumabe T, Watanabe M, Tominaga T (2010) O(6)-Methylguanine DNA methyltransferase determined by promoter hypermethylation and immunohistochemical expression is correlated with progression-free survival in patients with glioblastoma. Int J Clin Oncol 15:352–358
Capper D, Mittelbronn M, Meyermann R, Schittenhelm J (2008) Pitfalls in the assessment of MGMT expression and in its correlation with survival in diffuse astrocytomas: proposal of a feasible immunohistochemical approach. Acta Neuropathol 115:249–259
Christmann M, Nagel G, Horn S, Krahn U, Wiewrodt D, Sommer C, Kaina B (2010) MGMT activity, promoter methylation and immunohistochemistry of pretreatment and recurrent malignant gliomas: a comparative study on astrocytoma and glioblastoma. Int J Cancer 127:2106–2118
van Nifterik KA, van den Berg J, van der Meide WF, Ameziane N, Wedekind LE, Steenbergen RD, Leenstra S, Lafleur MV, Slotman BJ, Stalpers LJ, Sminia P (2010) Absence of the MGMT protein as well as methylation of the MGMT promoter predict the sensitivity for temozolomide. Br J Cancer 103:29–35
Szeliga M, Zgrzywa A, Obara-Michlewska M, Albrecht J (2012) Transfection of a human glioblastoma cell line with liver-type glutaminase (LGA) down-regulates the expression of DNA-repair gene MGMT and sensitizes the cells to alkylating agents. J Neurochem 123:428–436
Felsberg J, Thon N, Eigenbrod S, Hentschel B, Sabel MC, Westphal M, Schackert G, Kreth FW, Pietsch T, Löffler M, Weller M, Reifenberger G, Tonn JC, Network GG (2011) Promoter methylation and expression of MGMT and the DNA mismatch repair genes MLH1, MSH2, MSH6 and PMS2 in paired primary and recurrent glioblastomas. Int J Cancer 129:659–670
Brandes AA, Franceschi E, Tosoni A, Bartolini S, Bacci A, Agati R, Ghimenton C, Turazzi S, Talacchi A, Skrap M, Marucci G, Volpin L, Morandi L, Pizzolitto S, Gardiman M, Andreoli A, Calbucci F, Ermani M (2010) O(6)-methylguanine DNA-methyltransferase methylation status can change between first surgery for newly diagnosed glioblastoma and second surgery for recurrence: clinical implications. Neuro Oncol 12:283–288
Kreth S, Thon N, Eigenbrod S, Lutz J, Ledderose C, Egensperger R, Tonn JC, Kretzschmar HA, Hinske LC, Kreth FW (2011) O-methylguanine-DNA methyltransferase (MGMT) mRNA expression predicts outcome in malignant glioma independent of MGMT promoter methylation. PLoS One 6:e17156
Conflict of interest statement
The authors declare that there are no conflicts of interest.
Author information
Authors and Affiliations
Corresponding author
Electronic supplementary material
Below is the link to the electronic supplementary material.
Suppl Fig. 1
Bar graphs of representative western blots of T98G cells, illustrated in Figs 2a, 3a, 3c and 4. Results were normalized to histone 2B and actin which served as nuclear and cytoplasmic loading markers, respectively. Results represent the mean (±SEM) of three independent experiments. *p<0.01; baseline vs treated cells, #p<0.01; TMZ(1)/BZ(2) vs TMZ(2)/BZ(1). (JPEG 119 kb)
Suppl Fig. 2
Bar graphs of representative western blots of U87 cells, illustrated in Figs 2a, 3a, 3c and 4. Results were normalized to histone 2B and actin which served as nuclear and cytoplasmic loading markers, respectively. Results represent the mean (±SEM) of three independent experiments. *p<0.01; baseline vs treated cells, #p<0.01; TMZ(1)/BZ(2) vs TMZ(2)/BZ(1). (JPEG 127 kb)
Rights and permissions
About this article
Cite this article
Vlachostergios, P.J., Hatzidaki, E., Befani, C.D. et al. Bortezomib overcomes MGMT-related resistance of glioblastoma cell lines to temozolomide in a schedule-dependent manner. Invest New Drugs 31, 1169–1181 (2013). https://doi.org/10.1007/s10637-013-9968-1
Received:
Accepted:
Published:
Issue Date:
DOI: https://doi.org/10.1007/s10637-013-9968-1
Keywords
- Bortezomib
- Temozolomide
- Glioblastoma
- MGMT
- NFκB
- MAPK
- p53
- STAT3
- HIF-1α
- AKT