Skip to main content

Structural and functional assessment after intravitreal injection of ranibizumab in diabetic macular edema

Abstract

Purpose

To evaluate structure and function improvement in central retina by optical coherence tomography (OCT) and multifocal electroretinography (mf-ERG) in diabetic macular edema (DME) patients after intravitreal injection of ranibizumab (IVR) treatment.

Methods

Twenty-seven eyes in 27 patients with DME received three consecutive monthly injections of IVR (0.05 ml, 10 mg/ml) and as needed thereafter. The clinical parameters of best-corrected visual acuity (BCVA), central foveal thickness (CFT) and mf-ERG were monitored for 6 months before and after IVR. The findings at baseline, 1, 3 and 6 months were analyzed. Correlation and regression analyses were performed on BCVA, CFT, mf-ERG amplitude and implicit time of the N1 and P1 waves.

Results

IVR significantly improved visual acuity from the beginning of the treatment (P < 0.05). There were significant decreases in the CFT compared with the baseline after IVR (P < 0.05). The mean amplitude of P1 and N1 in the central ring at all examinations increased significantly compared with the baseline (P < 0.05). The mean P1 and N1 implicit times in the central ring were shortened, but not significantly (P > 0.05). There were significant correlations of BCVA with CFT, P1 and N1 amplitudes in the central retina (P < 0.05).

Conclusion

In addition to the improvement in BCVA and the reduction in CFT, IVR improved macular retinal function, as assessed by mf-ERG, in diabetic eyes. The combination of OCT and mf-ERG for macular evaluation may better assess DME.

This is a preview of subscription content, access via your institution.

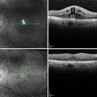
Fig. 1
Fig. 2
Fig. 3
Fig. 4
Fig. 5

References

  1. Klein R, Knudtson MD, Lee KE, Gangnon R, Klein BE (2008) The Wisconsin Epidemiologic Study of Diabetic Retinopathy: XXII the twenty-five-year progression of retinopathy in persons with type 1 diabetes. Ophthalmology 115(11):1859–1868

    Article  PubMed  PubMed Central  Google Scholar 

  2. Photocoagulation for diabetic macular edema. Early Treatment Diabetic Retinopathy Study report number 1. Early Treatment Diabetic Retinopathy Study research group (1985) Arch Ophthalmol. 103(12):1796–1806

  3. Ferrara N (2004) Vascular endothelial growth factor: basic science and clinical progress. Endocr Rev 25(4):581–611

    CAS  Article  PubMed  Google Scholar 

  4. Nguyen QD, Tatlipinar S, Shah SM, Haller JA, Quinlan E, Sung J, Zimmer-Galler I, Do DV, Campochiaro PA (2006) Vascular endothelial growth factor is a critical stimulus for diabetic macular edema. Am J Ophthalmol 142(6):961–969

    CAS  Article  PubMed  Google Scholar 

  5. Nguyen QD, Shah SM, Khwaja AA, Channa R, Hatef E, Do DV, Boyer D, Heier JS, Abraham P, Thach AB, Lit ES, Foster BS, Kruger E, Dugel P, Chang T, Das A, Ciulla TA, Pollack JS, Lim JI, Eliott D, Campochiaro PA, Read-Study Group (2010) Two-year outcomes of the ranibizumab for edema of the mAcula in diabetes (READ-2) study. Ophthalmology 117(11):2146–2151

    Article  PubMed  Google Scholar 

  6. Bachmann A, Leitgeb R, Lasser T (2006) Heterodyne Fourier domain optical coherence tomography for full range probing with high axial resolution. Opt Express 14(4):1487–1496

    Article  PubMed  Google Scholar 

  7. Hood DC, Bach M, Brigell M, Keating D, Kondo M, Lyons JS, Marmor MF, McCulloch DL, Palmowski-Wolfe AM, International Society For Clinical Electrophysiology of Vision (2012) ISCEV standard for clinical multifocal electroretinography (mfERG) (2011 edition). Doc Ophthalmol 124(1):1–13

    Article  PubMed  Google Scholar 

  8. Lung JC, Swann PG, Chan HH (2012) Early local functional changes in the human diabetic retina: a global flash multifocal electroretinogram study. Graefes Arch Clin Exp Ophthalmol 250(12):1745–1754

    Article  PubMed  Google Scholar 

  9. Erol N, Gursoy H, Kimyon S, Topbas S, Colak E (2012) Vision, retinal thickness, and foveal avascular zone size after intravitreal bevacizumab for diabetic macular edema. Adv Ther 29(4):359–369

    CAS  Article  PubMed  Google Scholar 

  10. Marmor MF et al (2003) Guidelines for basic multifocal electroretinography (mfERG). Doc Ophthalmol 106(2):105–115

    Article  PubMed  Google Scholar 

  11. Pedersen KB, Moller F, Sjolie AK, Andreasson S (2010) Electrophysiological assessment of retinal function during 6 months of bevacizumab treatment in neovascular age-related macular degeneration. Retina 30(7):1025–1033

    Article  PubMed  Google Scholar 

  12. Holm K, Schroeder M, Lovestam Adrian M (2015) Peripheral retinal function assessed with 30-Hz flicker seems to improve after treatment with Lucentis in patients with diabetic macular oedema. Doc Ophthalmol 131(1):43–51

    Article  PubMed  Google Scholar 

  13. Mitchell P, Bandello F, Schmidt-Erfurth U, Lang GE, Massin P, Schlingemann RO, Sutter F, Simader C, Burian G, Gerstner O, Weichselberger A (2011) Restore study group, The RESTORE study: ranibizumab monotherapy or combined with laser versus laser monotherapy for diabetic macular edema. Ophthalmology 118(4):615–625

    Article  PubMed  Google Scholar 

  14. Sivaprasad S, Prevost AT, Vasconcelos JC, Riddell A, Murphy C, Kelly J, Bainbridge J, Tudor-Edwards R, Hopkins D, Hykin P, CLARITY Study Group (2017) Clinical efficacy of intravitreal aflibercept versus panretinal photocoagulation for best corrected visual acuity in patients with proliferative diabetic retinopathy at 52 weeks (CLARITY): a multicentre, single-blinded, randomised, controlled, phase 2b, non-inferiority trial. Lancet 389(10085):2193–2203

    CAS  Article  PubMed  Google Scholar 

  15. Nguyen QD, Brown DM, Marcus DM, Boyer DS, Patel S, Feiner L, Gibson A, Sy J, Rundle AC, Hopkins JJ, Rubio RG, Ehrlich JS, Rise, Ride Research Group (2012) Ranibizumab for diabetic macular edema: results from 2 phase III randomized trials: RISE and RIDE. Ophthalmology 119(4):789–801

    Article  PubMed  Google Scholar 

  16. Kumagai K, Furukawa M, Ogino N, Uemura A, Larson E (2007) Long-term outcomes of vitrectomy with or without arteriovenous sheathotomy in branch retinal vein occlusion. Retina 27(1):49–54

    Article  PubMed  Google Scholar 

  17. Diabetic Retinopathy Clinical Research, Browning DJ, Glassman AR, Aiello LP, Beck RW, Brown DM, Fong DS, Bressler NM, Danis RP, Kinyoun JL, Nguyen QD, Bhavsar AR, Gottlieb J, Pieramici DJ, Rauser ME, Apte RS, Lim JI, Miskala PH (2007) Relationship between optical coherence tomography-measured central retinal thickness and visual acuity in diabetic macular edema. Ophthalmology 114(3):525–536

    Article  Google Scholar 

  18. Sutter EE, Tran D (1992) The field topography of ERG components in man—I. The photopic luminance response. Vis Res 32(3):433–446

    CAS  Article  PubMed  Google Scholar 

  19. Yamamoto S, Yamamoto T, Hayashi M, Takeuchi S (2001) Morphological and functional analyses of diabetic macular edema by optical coherence tomography and multifocal electroretinograms. Graefes Arch Clin Exp Ophthalmol 239(2):96–101

    CAS  Article  PubMed  Google Scholar 

  20. Hood DC, Odel JG, Chen CS, Winn BJ (2003) The multifocal electroretinogram. J Neuroophthalmol 23(3):225–235

    Article  PubMed  Google Scholar 

  21. Hvarfner C, Andreasson S, Larsson J (2006) Multifocal electroretinography and fluorescein angiography in retinal vein occlusion. Retina 26(3):292–296

    Article  PubMed  Google Scholar 

  22. Eksandh L, Ekstrom U, Abrahamson M, Bauer B, Andreasson S (2001) Different clinical expressions in two families with Stargardt’s macular dystrophy (STGD1). Acta Ophthalmol Scand 79(5):524–530

    CAS  Article  PubMed  Google Scholar 

  23. Campochiaro PA, Brown DM, Awh CC, Lee SY, Gray S, Saroj N, Murahashi WY, Rubio RG (2011) Sustained benefits from ranibizumab for macular edema following central retinal vein occlusion: twelve-month outcomes of a phase III study. Ophthalmology 118(10):2041–2049

    Article  PubMed  Google Scholar 

  24. Shimura M, Yasuda K, Nakazawa T, Hirano Y, Sakamoto T, Ogura Y, Shiono T (2011) Visual outcome after intravitreal triamcinolone acetonide depends on optical coherence tomographic patterns in patients with diffuse diabetic macular edema. Retina 31(4):748–754

    Article  PubMed  Google Scholar 

  25. Seo KH, Yu SY, Kim M, Kwak HW (2016) Visual and morphologic outcomes of intravitreal ranibizumab for diabetic macular edema based on optical coherence tomography patterns. Retina 36(3):588–595

    CAS  Article  PubMed  Google Scholar 

  26. Klemp K, Larsen M, Sander B, Vaag A, Brockhoff PB, Lund-Andersen H (2004) Effect of short-term hyperglycemia on multifocal electroretinogram in diabetic patients without retinopathy. Invest Ophthalmol Vis Sci 45(10):3812–3819

    Article  PubMed  Google Scholar 

Download references

Author information

Affiliations

Authors

Corresponding author

Correspondence to DaBo Wang.

Ethics declarations

Conflict of interest

All authors certify that they have no affiliations with or involvement in any organization or entity with any financial interest (such as honoraria; educational grants; participation in speakers’ bureaus; membership, employment, consultancies, stock ownership or other equity interest; and expert testimony or patent-licensing arrangements), or non-financial interest (such as personal or professional relationships, affiliations, knowledge or beliefs) in the subject matter or materials discussed in this manuscript.

Informed consent

Informed consent was obtained from all individual participants included in the study.

Statement of human rights

All procedures performed in studies involving human participants were in accordance with the ethical standards of the institutional and/or national research committee and with the 1964 Helsinki Declaration and its later amendments or comparable ethical standards.

Statement on the welfare of animals

This article does not contain any studies with animals performed by any of the authors.

Rights and permissions

Reprints and Permissions

About this article

Verify currency and authenticity via CrossMark

Cite this article

Fu, Y., Wang, P., Meng, X. et al. Structural and functional assessment after intravitreal injection of ranibizumab in diabetic macular edema. Doc Ophthalmol 135, 165–173 (2017). https://doi.org/10.1007/s10633-017-9604-z

Download citation

  • Received:

  • Accepted:

  • Published:

  • Issue Date:

  • DOI: https://doi.org/10.1007/s10633-017-9604-z

Keywords

  • Ranibizumab
  • Diabetic macular edema
  • Mf-ERG
  • OCT