Skip to main content

As the Worm Turns: A Globally Prevalent Cause of Chronic Diarrhea

This is a preview of subscription content, access via your institution.

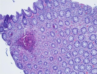
Fig. 1
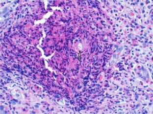
Fig. 2
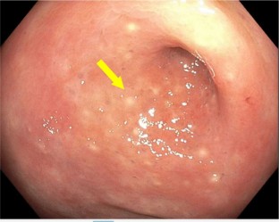
Fig. 3
Fig. 4

References

  1. Genta RM. Global prevalence of strongyloidiasis: critical review with epidemiologic insights into the prevention of disseminated disease. Rev Infect Dis. 1989;11(5):755–767.

    CAS  Article  Google Scholar 

  2. Liu LX, Weller PF. Strongyloidiasis and other intestinal nematode infections. Infect Dis Clin North Am. 1993;7(3):655–682.

    CAS  PubMed  Google Scholar 

  3. Olsen A, et al. Strongyloidiasis–the most neglected of the neglected tropical diseases? Trans R Soc Trop Med Hyg. 2009;103(10):967–972.

    Article  Google Scholar 

  4. Concha R, Harrington W Jr, Rogers AI. Intestinal strongyloidiasis: recognition, management, and determinants of outcome. J Clin Gastroenterol. 2005;39(3):203–211.

    Article  Google Scholar 

  5. Mark Feldman, L.S.F.M.H.S., Sleisenger & Fordtran's gastrointestinal and liver disease: pathophysiology, diagnosis, management. 2002, Seventh edition. Philadelphia: Saunders, [2002] ©2002. p. 1972.

  6. Ganesh S, Cruz RJ Jr. Strongyloidiasis: a multifaceted disease. Gastroenterol Hepatol (N Y). 2011;7(3):194–196.

    Google Scholar 

  7. Fardet L, et al. Severe strongyloidiasis in corticosteroid-treated patients: case series and literature review. J Infect. 2007;54(1):18–27.

    Article  Google Scholar 

  8. Schaeffer MW, et al. Strongyloides hyperinfection syndrome after heart transplantation: case report and review of the literature. J Heart Lung Transplant. 2004;23(7):905–911.

    Article  Google Scholar 

  9. Porto AF, et al. HTLV-1 decreases Th2 type of immune response in patients with strongyloidiasis. Parasite Immunol. 2001;23(9):503–507.

    CAS  Article  Google Scholar 

  10. Keiser PB, Nutman TB. Strongyloides stercoralis in the Immunocompromised Population. Clin Microbiol Rev. 2004;17(1):208–217.

    Article  Google Scholar 

  11. Pirisi M, et al. Unsuspected strongyloidiasis in hospitalised elderly patients with and without eosinophilia. Clin Microbiol Infect. 2006;12(8):787–792.

    CAS  Article  Google Scholar 

  12. Kassalik M, Monkemuller K. Strongyloides stercoralis hyperinfection syndrome and disseminated disease. Gastroenterol Hepatol (N Y). 2011;7(11):766–768.

    Google Scholar 

  13. Roxby AC, Gottlieb GS, Limaye AP. Strongyloidiasis in transplant patients. Clin Infect Dis. 2009;49(9):1411–1423.

    Article  Google Scholar 

  14. Boulware DR, et al. Maltreatment of Strongyloides infection: case series and worldwide physicians-in-training survey. Am J Med. 2007;120(6):545.e1–545.e8.

    Article  Google Scholar 

  15. Gill GV, et al. Chronic Strongyloides stercoralis infection in former British Far East prisoners of war. Qjm. 2004;97(12):789–795.

    CAS  Article  Google Scholar 

  16. Roman-Sanchez P, et al. High prevalence of Strongyloides stercoralis among farm workers on the Mediterranean coast of Spain: analysis of the predictive factors of infection in developed countries. Am J Trop Med Hyg. 2003;69(3):336–340.

    CAS  Article  Google Scholar 

  17. Vadlamudi RS, Chi DS, Krishnaswamy G. Intestinal strongyloidiasis and hyperinfection syndrome. Clin Mol Allergy. 2006;4:8.

    Article  Google Scholar 

  18. Sato Y, et al. Efficacy of stool examination for detection of Strongyloides infection. Am J Trop Med Hyg. 1995;53(3):248–250.

    CAS  Article  Google Scholar 

  19. Bailey JW. A serological test for the diagnosis of Strongyloides antibodies in ex Far East Prisoners of War. Ann Trop Med Parasitol. 1989;83(3):241–247.

    CAS  Article  Google Scholar 

  20. Uparanukraw P, Phongsri S, Morakote N. Fluctuations of larval excretion in Strongyloides stercoralis infection. Am J Trop Med Hyg. 1999;60(6):967–973.

    CAS  Article  Google Scholar 

  21. Huaman MC, et al. Gelatin particle indirect agglutination and enzyme-linked immunosorbent assay for diagnosis of strongyloidiasis using Strongyloides venezuelensis antigen. Trans R Soc Trop Med Hyg. 2003;97(5):535–538.

    CAS  Article  Google Scholar 

  22. Ghasemikhah R, et al. A PCR-Based Molecular Detection of Strongyloides stercoralisin Human Stool Samples from Tabriz City. Iran. Scientia pharmaceutica. 2017;85(2):17.

    Article  Google Scholar 

  23. Loutfy MR, et al. Serology and eosinophil count in the diagnosis and management of strongyloidiasis in a non-endemic area. Am J Trop Med Hyg. 2002;66(6):749–752.

    Article  Google Scholar 

  24. Gann PH, Neva FA, Gam AA. A randomized trial of single- and two-dose ivermectin versus thiabendazole for treatment of strongyloidiasis. J Infect Dis. 1994;169(5):1076–1079.

    CAS  Article  Google Scholar 

Download references

Author information

Affiliations

Authors

Corresponding author

Correspondence to Swathi Paleti.

Additional information

Publisher's Note

Springer Nature remains neutral with regard to jurisdictional claims in published maps and institutional affiliations.

Rights and permissions

Reprints and Permissions

About this article

Verify currency and authenticity via CrossMark

Cite this article

Paleti, S., Memon, J., Okwara, C. et al. As the Worm Turns: A Globally Prevalent Cause of Chronic Diarrhea. Dig Dis Sci 65, 74–77 (2020). https://doi.org/10.1007/s10620-019-05998-5

Download citation

  • Published:

  • Issue Date:

  • DOI: https://doi.org/10.1007/s10620-019-05998-5

Keywords

  • Diarrhea
  • Strongyloides
  • Parasites
  • Eosinophilic colitis