Abstract
Objectives
The present study aimed to determine whether intestinal epithelial cell (IECs) apoptosis could be induced by endoplasmic reticulum stress (ERS) in severe acute pancreatitis (SAP), and the role of chemical chaperone 4-phenylbutyric acid (4-PBA) in SAP-associated intestinal barrier injury.
Methods
Twenty-four male Sprague Dawley rats were randomly divided into three groups: the sham operation group, the SAP group, and the SAP model plus 4-PBA treatment group (4-PBA group). A rat model of SAP was induced by retrograde injection of 5% sodium taurocholate (STC) into the biliopancreatic duct; in the 4-PBA group, 4-PBA was injected intraperitoneally at a dose of 50 mg/kg body weight for 3 days before modeling.
Results
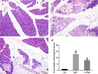
The results indicated that 4-PBA attenuated the following: (1) pancreas and intestinal pathological injuries, (2) serum TNF-α, IL-1β, and IL-6, (3) serum DAO level, serum endotoxin level, (4) the apoptosis of IECs, (5) ER stress markers (caspase-12, CHOP, GRP78, PERK, IRE1α, ATF6) and caspase-3 expression in intestinal. However, the serum AMY, LIPA levels, and the expression of caspase-9, caspase-8 were just slightly decreased.
Conclusions
ERS may be considered a predominant pathway, which is involved in the apoptosis of IECs during SAP. Furthermore, 4-PBA protects IECs against apoptosis in STC-induced SAP by attenuating the severity of ERS.









References
Zerem E. Treatment of severe acute pancreatitis and its complications. World J Gastroenterol. 2014;20:13879–13892. https://doi.org/10.3748/wjg.v20.i38.13879.
Zhou MT, Chen CS, Chen BC, Zhang QY, Andersson R. Acute lung injury and ARDS in acute pancreatitis: mechanisms and potential intervention. World J Gastroenterol. 2010;16:2094–2099.
Jha RK, Yong MQ, Chen SH. The protective effect of resveratrol on the intestinal mucosal barrier in rats with severe acute pancreatitis. Med Sci Monitor Int Med J Exp Clin Res. 2008;14:BR14–BR19.
Yasuda T, Takeyama Y, Ueda T, et al. Protective effect of caspase inhibitor on intestinal integrity in experimental severe acute pancreatitis. J Surg Res. 2007;138:300–307. https://doi.org/10.1016/j.jss.2006.09.022.
Yasuda T, Takeyama Y, Ueda T, et al. Breakdown of intestinal mucosa via accelerated apoptosis increases intestinal permeability in experimental severe acute pancreatitis. J Surg Res. 2006;135:18–26. https://doi.org/10.1016/j.jss.2006.02.050.
Shinzeki M, Takeyama Y, Ueda T, Yasuda T, Kishi S, Kuroda Y. Intraperitoneal administration of oxygenated perfluorochemical inhibits bacterial translocation associated with severe acute pancreatitis. Kobe J Med Sci. 2003;49:17–24.
Kaser A, Blumberg RS. Endoplasmic reticulum stress in the intestinal epithelium and inflammatory bowel disease. Semin Immunol. 2009;21:156–163. https://doi.org/10.1016/j.smim.2009.01.001.
Hwang MS, Baek WK. Glucosamine induces autophagic cell death through the stimulation of ER stress in human glioma cancer cells. Biochem Biophys Res Commun. 2010;399:111–116. https://doi.org/10.1016/j.bbrc.2010.07.050.
Ohta M, Kawano H, Notsu T, Naba H, Imada K. Eicosapentaenoic acid attenuates statin-induced ER stress and toxicity in myoblast. Biochem Biophys Res Commun. 2012;424:301–307. https://doi.org/10.1016/j.bbrc.2012.06.111.
Zhu S, Wang Y, Jin J, et al. Endoplasmic reticulum stress mediates aristolochic acid I-induced apoptosis in human renal proximal tubular epithelial cells. Toxicol Vitro Int J Publ Assoc BIBRA. 2012;26:663–671. https://doi.org/10.1016/j.tiv.2012.03.005.
Yang W, Shen H, Fang G, et al. Mutations of rat surfactant protein A have distinct effects on its glycosylation, secretion, aggregation and degradation. Life Sci. 2014;117:47–55. https://doi.org/10.1016/j.lfs.2014.09.006.
Kim HJ, Jeong JS, Kim SR, Park SY, Chae HJ, Lee YC. Inhibition of endoplasmic reticulum stress alleviates lipopolysaccharide-induced lung inflammation through modulation of NF-kappaB/HIF-1alpha signaling pathway. Sci Rep. 2013;3:1142. https://doi.org/10.1038/srep01142.
Baek HA, Kim DS, Park HS, et al. Involvement of endoplasmic reticulum stress in myofibroblastic differentiation of lung fibroblasts. Am J Respir Cell Mol Biol. 2012;46:731–739. https://doi.org/10.1165/rcmb.2011-0121OC.
Lee BR, Chang SY, Hong EH, et al. Elevated endoplasmic reticulum stress reinforced immunosuppression in the tumor microenvironment via myeloid-derived suppressor cells. Oncotarget. 2014;5:12331–12345. https://doi.org/10.18632/oncotarget.2589.
Schmidt J, Rattner DW, Lewandrowski K, et al. A better model of acute pancreatitis for evaluating therapy. Ann Surg. 1992;215:44–56.
Brown RA, Chiu CJ, Scott HJ, Gurd FN. Ultrastructural changes in the canine ileal mucosal cell after mesenteric arterial occlusion. Arch Surg. 1970;101:290–297.
Petrov MS, Kukosh MV, Emelyanov NV. A randomized controlled trial of enteral versus parenteral feeding in patients with predicted severe acute pancreatitis shows a significant reduction in mortality and in infected pancreatic complications with total enteral nutrition. Dig Surg. 2006;23:336–344. https://doi.org/10.1159/000097949. (discussion 344–335).
Turner JR. Intestinal mucosal barrier function in health and disease. Nat Rev Immunol. 2009;9:799–809. https://doi.org/10.1038/nri2653.
Flint RS, Windsor JA. The role of the intestine in the pathophysiology and management of severe acute pancreatitis. HPB Off J Int Hepato Pancreato Biliary Assoc. 2003;5:69–85. https://doi.org/10.1080/13651820310001108.
Nakajima T, Ueda T, Takeyama Y, et al. Protective effects of vascular endothelial growth factor on intestinal epithelial apoptosis and bacterial translocation in experimental severe acute pancreatitis. Pancreas. 2007;34:410–416. https://doi.org/10.1097/mpa.0b013e3180335c64.
Chen X, Zhao HX, Fu XS, Li CP, Zhong XL. Glucagonlike peptide 2 protects intestinal barrier in severe acute pancreatitis through regulating intestinal epithelial cell proliferation and apoptosis. Pancreas. 2012;41:1080–1085. https://doi.org/10.1097/MPA.0b013e31824966b0.
Danial NN, Korsmeyer SJ. Cell death: critical control points. Cell. 2004;116:205–219.
Shi WY, Che CY, Liu L. Human interleukin 23 receptor induces cell apoptosis in mammalian cells by intrinsic mitochondrial pathway associated with the down-regulation of RAS/mitogen-activated protein kinase and signal transducers and activators of transcription factor 3 signaling pathways. Int J Mol Sci. 2013;14:24656–24669. https://doi.org/10.3390/ijms141224656.
Nakagawa T, Zhu H, Morishima N, et al. Caspase-12 mediates endoplasmic-reticulum-specific apoptosis and cytotoxicity by amyloid-beta. Nature. 2000;403:98–103. https://doi.org/10.1038/47513.
Lin JH, Walter P, Yen TS. Endoplasmic reticulum stress in disease pathogenesis. Ann Rev Pathol. 2008;3:399–425. https://doi.org/10.1146/annurev.pathmechdis.3.121806.151434.
Wu X, Sun L, Zha W, et al. HIV protease inhibitors induce endoplasmic reticulum stress and disrupt barrier integrity in intestinal epithelial cells. Gastroenterology. 2010;138:197–209. https://doi.org/10.1053/j.gastro.2009.08.054.
Galluzzi L, Bravo-San Pedro JM, Kroemer G. Organelle-specific initiation of cell death. Nat Cell Biol. 2014;16:728–736. https://doi.org/10.1038/ncb3005.
Zhao HX, Fu XS, Zhou XY, Chen X. Endoplasmic reticulum stress may not be involved in intestinal epithelial cell apoptosis in experimental acute pancreatitis. Dig Dis Sci. 2015;60:1690–1698. https://doi.org/10.1007/s10620-015-3542-y.
Matsumoto M, Minami M, Takeda K, Sakao Y, Akira S. Ectopic expression of CHOP (GADD153) induces apoptosis in M1 myeloblastic leukemia cells. FEBS Lett. 1996;395:143–147.
Sah RP, Garg SK, Dixit AK, Dudeja V, Dawra RK, Saluja AK. Endoplasmic reticulum stress is chronically activated in chronic pancreatitis. J Biol Chem. 2014;289:27551–27561. https://doi.org/10.1074/jbc.M113.528174.
Wu L, Cai B, Zheng S, Liu X, Cai H, Li H. Effect of emodin on endoplasmic reticulum stress in rats with severe acute pancreatitis. Inflammation. 2013;36:1020–1029. https://doi.org/10.1007/s10753-013-9634-y.
Zhu M, Guo M, Fei L, Pan XQ, Liu QQ. 4-phenylbutyric acid attenuates endoplasmic reticulum stress-mediated pancreatic beta-cell apoptosis in rats with streptozotocin-induced diabetes. Endocrine. 2014;47:129–137. https://doi.org/10.1007/s12020-013-0132-7.
Zeng W, Guo YH, Qi W, et al. 4-Phenylbutyric acid suppresses inflammation through regulation of endoplasmic reticulum stress of endothelial cells stimulated by uremic serum. Life Sci. 2014;103:15–24. https://doi.org/10.1016/j.lfs.2014.03.007.
Qi J, Chen X, Zhang C, et al. Effects of 4-phenylbutyric acid on carbon tetrachloride-induced acute liver injury in mice. Zhonghua gan zang bing za zhi = Zhonghua ganzangbing zazhi = Chin J Hepatol. 2015;23:286–291. https://doi.org/10.3760/cma.j.issn.1007-3418.2015.04.011.
Malo A, Kruger B, Goke B, Kubisch CH. 4-Phenylbutyric acid reduces endoplasmic reticulum stress, trypsin activation, and acinar cell apoptosis while increasing secretion in rat pancreatic acini. Pancreas. 2013;42:92–101. https://doi.org/10.1097/MPA.0b013e318259f6ca.
Acknowledgments
This study was supported by National Natural Science Foundation of China (Nos. 81370562, 81360081), the National Natural Science Foundation Youth Project (Grant No. 81500488), and the Independent Research Project of Wuhan University (No. 2042017kf0141).
Author information
Authors and Affiliations
Corresponding author
Ethics declarations
Conflict of interest
All authors declare that they have no conflict of interest.
Rights and permissions
About this article
Cite this article
You, Yd., Deng, Wh., Guo, Wy. et al. 4-Phenylbutyric Acid Attenuates Endoplasmic Reticulum Stress-Mediated Intestinal Epithelial Cell Apoptosis in Rats with Severe Acute Pancreatitis. Dig Dis Sci 64, 1535–1547 (2019). https://doi.org/10.1007/s10620-018-5437-1
Received:
Accepted:
Published:
Issue Date:
DOI: https://doi.org/10.1007/s10620-018-5437-1