Skip to main content

High Serum Vaspin Concentrations in Patients with Ulcerative Colitis

Abstract

Background

Adipocytokines are associated with energy homeostasis and mediate various immune responses and inflammatory processes. Vaspin is a novel adipocytokine that is thought to exhibit anti-inflammatory effects.

Aim

We aimed to evaluate serum vaspin levels in inflammatory bowel disease (IBD) and determine its possible associations with the course and to clarify its intestinal localization.

Methods

Serum samples were obtained from patients with Crohn’s disease (CD; n = 30) and ulcerative colitis (UC; n = 33) and from healthy volunteers (controls; n = 26). Enzyme-linked immunosorbent assays were performed for all patients. Vaspin immunohistochemical staining was performed for intestines affected with IBD.

Results

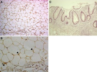
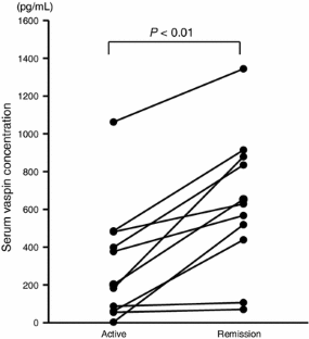
Serum vaspin concentrations were significantly higher in patients with UC than in patients with CD and controls (422.9 ± 361.9 vs. 163.4 ± 116.2 vs. 147.5 ± 89.4 pg/mL, respectively; P < 0.01). There was no difference in the serum vaspin concentrations between the patients with CD and controls. There was also no difference in the serum vaspin concentrations between the patients with active IBD and those with inactive IBD. However, the serum vaspin concentrations of most patients with UC increased after remission induction. Vaspin was expressed in the adipocytes of the mesenteric adipose tissues but not in the epithelial or inflammatory cells of large intestines of the patients with IBD.

Conclusions

Serum vaspin concentrations are elevated in patients with UC and increase further after remission induction, suggesting that vaspin may aid the auxiliary diagnosis of UC and may be useful for assessing disease activity in patients.

This is a preview of subscription content, access via your institution.

Fig. 1
Fig. 2
Fig. 3
Fig. 4
Fig. 5
Fig. 6

References

  1. Zhang Y, Proenca R, Maffei M, et al. Positional cloning of the mouse obese gene and its human homologue. Nature. 1994;372:425–432.

    CAS  PubMed  Article  Google Scholar 

  2. Maeda K, Okubo K, Shimomura I, et al. cDNA cloning and expression of a novel adipose specific collagen-like factor, apM1 (AdiPose most abundant gene transcript 1). Biochem Biophys Res Commun. 1996;221:286–289.

    CAS  PubMed  Article  Google Scholar 

  3. Arita Y, Kihara S, Ouchi N, et al. Paradoxical decrease of an adipose-specific protein, adiponectin, in obesity. Biochem Biophys Res Commun. 1999;257:79–83.

    CAS  PubMed  Article  Google Scholar 

  4. Steppan CM, Bailey ST, Bhat S, et al. The hormone resistin links obesity to diabetes. Nature. 2001;409:307–312.

    CAS  PubMed  Article  Google Scholar 

  5. Fukuhara A, Matsuda M, Nishizawa M, et al. Visfatin: a protein secreted by visceral fat that mimics the effects of insulin. Science. 2005;307:426–430.

    CAS  PubMed  Article  Google Scholar 

  6. Maeda K, Okubo K, Shimomura I, et al. Analysis of an expression profile of genes in the human adipose tissue. Gene. 1997;190:227–235.

    CAS  PubMed  Article  Google Scholar 

  7. Sheehan AL, Warren BF, Gear MW, et al. Fat-wrapping in Crohn’s disease: pathological basis and relevance to surgical practice. Br J Surg. 1992;79:955–958.

    CAS  PubMed  Article  Google Scholar 

  8. Desreumaux P, Ernst O, Geboes K, et al. Inflammatory alterations in mesenteric adipose tissue in Crohn’s disease. Gastroenterology. 1999;117:73–81.

    CAS  PubMed  Article  Google Scholar 

  9. Hida K, Wada J, Eguchi J, et al. Visceral adipose tissue-derived serine protease inhibitor: a unique insulin-sensitizing adipocytokine in obesity. Proc Natl Acad Sci USA. 2005;102:10610–10615.

    CAS  PubMed  Article  Google Scholar 

  10. Valentini L, Wirth EK, Schweizer U, et al. Circulating adipokines and the protective effects of hyperinsulinemia in inflammatory bowel disease. Nutrition. 2009;25:172–181.

    CAS  PubMed  Article  Google Scholar 

  11. Nishi Y, Isomoto H, Ueno H, et al. Plasma leptin and ghrelin concentrations in patients with Crohn’s disease. World J Gastroenterol. 2005;11:7314–7317.

    CAS  PubMed  Google Scholar 

  12. El-Mesallamy HO, Kassem DH, El-Demerdash E, et al. Vaspin and visfatin/Nampt are interesting interrelated adipokines playing a role in the pathogenesis of type 2 diabetes mellitus. Metabolism. 2011;60:63–70.

    CAS  PubMed  Article  Google Scholar 

  13. Aktas B, Yilmaz Y, Eren F, et al. Serum levels of vaspin, obestatin, and apelin-36 in patients with nonalcoholic fatty liver disease. Metabolism. 2011;60:544–549.

    CAS  PubMed  Article  Google Scholar 

  14. Ozgen M, Koca SS, Dagli N, et al. Serum adiponectin and vaspin levels in rheumatoid arthritis. Arch Med Res. 2010;41:457–463.

    CAS  PubMed  Article  Google Scholar 

  15. Kadoglou NP, Gkontopoulos A, Kapelouzou A, et al. Serum levels of vaspin and visfatin in patients with coronary artery disease-Kozani study. Clin Chim Acta. 2011;412:48–52.

    CAS  PubMed  Article  Google Scholar 

  16. Kukla M, Zwirska-Korczala K, Gabriel A, et al. Chemerin, vaspin and insulin resistance in chronic hepatitis C. J Viral Hepat. 2010;17:661–667.

    CAS  PubMed  Article  Google Scholar 

  17. Fioravanti A, Simonini G, Cantarini L, et al. Circulating levels of the adipocytokines vaspin and omentin in patients with Kawasaki disease. Rheumatol Int. 2012;32:1481–1482.

    PubMed  Article  Google Scholar 

  18. Saalbach A, Vester K, Rall K, et al. Vaspin—a link of obesity and psoriasis? Exp Dermatol. 2012;21:309–312.

    CAS  PubMed  Article  Google Scholar 

  19. Auguet T, Quintero Y, Riesco D, et al. New adipokines vaspin and omentin. Circulating levels and gene expression in adipose tissue from morbidly obese women. BMC Med Genet. 2011;12:60.

    CAS  PubMed Central  PubMed  Article  Google Scholar 

  20. Klaasen R, Herenius MM, Wijbrandts CA, et al. Treatment-specific changes in circulating adipocytokines: a comparison between tumour necrosis factor blockade and glucocorticoid treatment for rheumatoid arthritis. Ann Rheum Dis. 2012;71:1510–1516.

    CAS  PubMed Central  PubMed  Article  Google Scholar 

  21. Lee JA, Park HS, Song YS, et al. Relationship between vaspin gene expression and abdominal fat distribution of Korean women. Endocr J. 2011;58:639–646.

    CAS  PubMed  Article  Google Scholar 

  22. Phalitakul S, Okada M, Hara Y, et al. Vaspin prevents TNF-α-induced intracellular adhesion molecule-1 via inhibiting reactive oxygen species-dependent NF-κB and PKCθ activation in cultured rat vascular smooth muscle cells. Pharmacol Res. 2011;64:493–500.

    CAS  PubMed  Article  Google Scholar 

Download references

Conflict of interest

None.

Author information

Affiliations

Authors

Corresponding author

Correspondence to Fuminao Takeshima.

Electronic supplementary material

Below is the link to the electronic supplementary material.

Supplementary material 1 (pptx 97 kb)

Rights and permissions

Reprints and Permissions

About this article

Cite this article

Morisaki, T., Takeshima, F., Fukuda, H. et al. High Serum Vaspin Concentrations in Patients with Ulcerative Colitis. Dig Dis Sci 59, 315–321 (2014). https://doi.org/10.1007/s10620-013-2905-5

Download citation

  • Received:

  • Accepted:

  • Published:

  • Issue Date:

  • DOI: https://doi.org/10.1007/s10620-013-2905-5

Keywords

  • Adipocytokine
  • Vaspin
  • Inflammatory bowel disease
  • Crohn’s disease
  • Ulcerative colitis