Skip to main content

RETRACTED ARTICLE: EpCAM: A Potential Antimetastatic Target for Gastric Cancer

This article was retracted on 28 May 2013

Abstract

Purpose

Epithelial cellular adhesion molecule (EpCAM) is an attractive immunotherapeutic target to overcome metastasis of a variety of epithelium-oriented cancers. Edrecolomab, one kind of EpCAM monoclonal antibody (Panorex®), has been approved for clinical application as postoperative adjuvant therapy in breast and colorectal cancer. However, the role of EpCAM in gastric cancer metastasis remains unclear.

Results

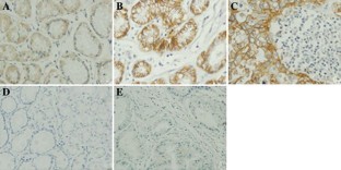
EpCAM was found to be more highly overexpressed in metastatic gastric cancer than in nonmetastatic samples by immunohistochemistry staining. The expression level of EpCAM in gastric cancer cell lines was determined by reverse-transcription polymerase chain reaction (RT-PCR) and Western blotting, respectively. Downregulation of EpCAM by small interfering RNA (siRNA) significantly suppressed in vitro adhesive, invasive, and migratory and in vivo metastatic abilities of gastric cancer cells.

Conclusion

We provide first evidence that EpCAM contributes to the migration of gastric cancer, suggesting that EpCAM-targeted therapy might be a promising strategy in metastatic gastric cancer.

This is a preview of subscription content, access via your institution.

Fig. 1
Fig. 2
Fig. 3
Fig. 4

References

  1. Gulubova MV. Expression of cell adhesion molecules, their ligands and tumour necrosis factor alpha in the liver of patients with metastatic gastrointestinal carcinonoms. Histochem J. 2002;34:67–77.

    PubMed  Article  Google Scholar 

  2. Ploverini P. Cellular adhesion molecules: Newly identified mediators of angiogenesis. Am J Pathol. 1996;148:1023–1029.

    Google Scholar 

  3. Huntsman DG, Carneiro F, Lewis FR, et al. Early gastric cancer in young, asymptomatic carriers of germ-line E-cadherin mutations. N Engl J Med. 2001;344:1904–1909.

    PubMed  Article  CAS  Google Scholar 

  4. Vleminckx K, Vakaet L Jr, Mareel M, Fiers W, van Roy F. Genetic manipulation of E-cadherin expression by epithelial tumor cells reveals an invasion suppressor role. Cell. 1991;66:107–119.

    PubMed  Article  CAS  Google Scholar 

  5. Calabrese G, Crescenzi C, Morizio E, Palka G, Guerra E, Alberti S. Assignment of TACSTD1 (alias TROP1, M4S1) to human chromosome 2p21 and refinement of mapping of TACSTD2 (alias TROP2, M1S1) to human chromosome 1p32 by in situ hybridization. Cytogenet cell genet. 2001;92:164–165.

    PubMed  Article  CAS  Google Scholar 

  6. Balzar M, Winter MJ, de Boer CJ, Litvinov SV. The biology of the 17–1A antigen (Ep-CAM). J Mol Med. 1999;77:699–712.

    PubMed  Article  CAS  Google Scholar 

  7. Baeuere PA, Gires O. EpCAM (CD326) finding its role in cancer. Br J Cancer. 2007;96:417–423.

    Article  Google Scholar 

  8. Riethmüller G, Schneider-Gädicke E, Schlimok G, et al. Randomised trial of monoclonal antibody for adjuvant therapy of resected Duke’s C colorectal carcinoma. Lancet. 1994;343:1177–1183.

    PubMed  Article  Google Scholar 

  9. Punt CJ, Nagy A, Douillard JY, et al. Edrecolomab alone or in combination with fluorouracil and folinic acid in the adjuvant treatment of stage III colon cancer: A randomized study. Lancet. 2002;360:671–677.

    PubMed  Article  CAS  Google Scholar 

  10. Xie X, Wang CY, Cao YX, et al. Expression pattern of epithelial cell adhesion molecule on normal and malignant colon tissues. World J Gastroenterol. 2005;11:344–347.

    PubMed  CAS  Google Scholar 

  11. Liu N, Bi F, Pan Y, et al. Reversal of the malignant phenotype of gastric cancer cells by inhibition of RhoA expression and activity. Clin Cancer Res. 2004;10:6239–6247.

    PubMed  Article  CAS  Google Scholar 

  12. Thamilselvan V, Basson MD. Pressure activates colon cancer cell adhesion by inside-out focal adhesion complex and actin cytoskeletal signaling. Gastroenterology. 2004;126:8–18.

    PubMed  Article  CAS  Google Scholar 

  13. Jin H, Pan Y, He L, et al. p75 neurotrophin receptor inhibits invasion and metastasis of gastric cancer. Mol Cancer Res. 2007;5:423–433.

    PubMed  Article  CAS  Google Scholar 

  14. Pan Y, Zhao L, Liang J, et al. Cellular prion protein promotes invasion and metastasis of gastric cancer. FASEB J. 2006;20:1886–1888.

    PubMed  Article  CAS  Google Scholar 

  15. Chaudry MA, Sales K, Ruf P, Lindhofer H, Winslet MC. EpCAM an immunotherapeutic target for gastrointestinal malignancy: Current experience and future challenges. Br J Cancer. 2007;96:1013–1019.

    PubMed  Article  CAS  Google Scholar 

  16. Ito R, Oue N, Zhu X, et al. Expression of integrin-linked kinase is closely correlated with invasion and metastasis of gastric carcinoma. Virchows Arch. 2003;442:118–123.

    PubMed  CAS  Google Scholar 

  17. Hippo Y, Yashiro M, Ishii M, et al. Differential gene expression profiles of scirrhous gastric cancer cells with high metastatic potential to peritoneum or lymph nodes. Cancer Res. 2001;61:889–895.

    PubMed  CAS  Google Scholar 

  18. Chen JL, Chen WX, Zhu JS, et al. Effect of P-selectin monoclonal antibody on metastasis of gastric cancer and immune function. World J Gastroenterol. 2003;9:1607–1610.

    PubMed  CAS  Google Scholar 

  19. Winter MJ, Nagelkerken B, Mertens AE, Rees-Bakker HA, Briaire-de Bruijn IH, Litvinov SV. Expression of Ep-CAM shifts the state of cadherin-mediated adhesions from strong to weak. Exp Cell Res. 2003;285:50–58.

    PubMed  Article  CAS  Google Scholar 

  20. Schmidt DS, Klingbeil P, Schnölzer M, Zöller M. CD44 variant isoforms associate with tetraspanins and EpCAM. Exp Cell Res. 2004;297:329–347.

    PubMed  Article  CAS  Google Scholar 

  21. Ladwein M, Pape UF, Schmidt DS, et al. The cell-cell adhesion molecule EpCAM interacts directly with the tight junction protein claudin-7. Exp Cell Res. 2005;309:345–357.

    PubMed  Article  CAS  Google Scholar 

  22. Hsieh HF, Yu JC, Ho LI, Chiu SC, Harn HJ. Molecular studies into the role of CD44 variants in metastasis in gastric cancer. Mol Pathol. 1999;52:25–28.

    PubMed  Article  CAS  Google Scholar 

  23. Kominsky SL, Argani P, Korz D, et al. Loss of the tight junction protein claudin-7 correlates with histological grade in both ductal carcinoma in situ and invasive ductal carcinoma of the breast. Oncogene. 2003;22:2021–2033.

    PubMed  Article  CAS  Google Scholar 

Download references

Acknowledgments

This work was supported by grants from the National Natural Science Foundation of China (No. 30670969).

Author information

Affiliations

Authors

Corresponding author

Correspondence to Jie Liu.

Additional information

This article was retracted as it plagiarized content from the following article: "EpCAM is overexpressed in gastric cancer and its downregulation suppresses proliferation of gastric cancer" by Du Wenqi, Wang Li , Cao Shanshan, Chen Bei, Zhang Yafei, Bai Feihu, Liu Jie, Fan Daiming published online on March 18, 2009 by Journal of Cancer Research and Clinical Oncology, DOI http://dx.doi.org/10.1007/s00432-009-0569-5.

The retraction note to this article can be found online at http://dx.doi.org/10.1007/s10620-013-2722-x.

Wenqi Du and Hongzan Ji contributed equally to this work.

Rights and permissions

Reprints and Permissions

About this article

Cite this article

Du, W., Ji, H., Cao, S. et al. RETRACTED ARTICLE: EpCAM: A Potential Antimetastatic Target for Gastric Cancer. Dig Dis Sci 55, 2165–2171 (2010). https://doi.org/10.1007/s10620-009-1033-8

Download citation

  • Received:

  • Accepted:

  • Published:

  • Issue Date:

  • DOI: https://doi.org/10.1007/s10620-009-1033-8

Keywords

  • EpCAM (epithelial cellular adhesion molecule)
  • Gastric cancer
  • Metastasis
  • Small interfering RNA (siRNA)